4.5-35mmTubridge双密网支架干预
Jujianfang
患者,女,71岁。
主诉:“反复头痛2年,加重伴头晕、视物模糊20日”入院;
现病史:患者诉2年来反复发作性头痛,顶枕部为主,因自己考虑高血压可能,未予系统检查;患者约20日前无明显诱因下突发剧烈头晕,有天旋地转感,不能睁眼,伴视物模糊;外院查头颅MRI+MRA提示:左侧颈内动脉C6段动脉瘤;遂至复旦大学附属华山医院就诊,于2023-12-08行全脑血管造影提示:右侧颈内动脉C6段动脉瘤,瘤颈6.68mm,动脉瘤大小13.28*12.34mm,建议行密网支架辅助栓塞术治疗,因缺乏相关材料遂出院。现患者仍有顶枕部头痛不适,为求进一步诊疗脑血管病变至我科就诊,收治入院。
既往史;一般健康状况良好。否认肝炎史。否认结核史。否认疟疾史。有脑血管病史。否认精神病史。有高血压史20年余,服用厄贝沙坦降压,血压控制尚可。否认心脏病史。否认糖尿病史。有手术史:2023-12-08行脑血管造影。 否认外伤史。 否认输血史。有食物、药物过敏史:青霉素过敏史。否认预防接种史。
辅助检查;2023-11 外院 头颅MRI+MRA:左侧颈内动脉C6段动脉瘤;
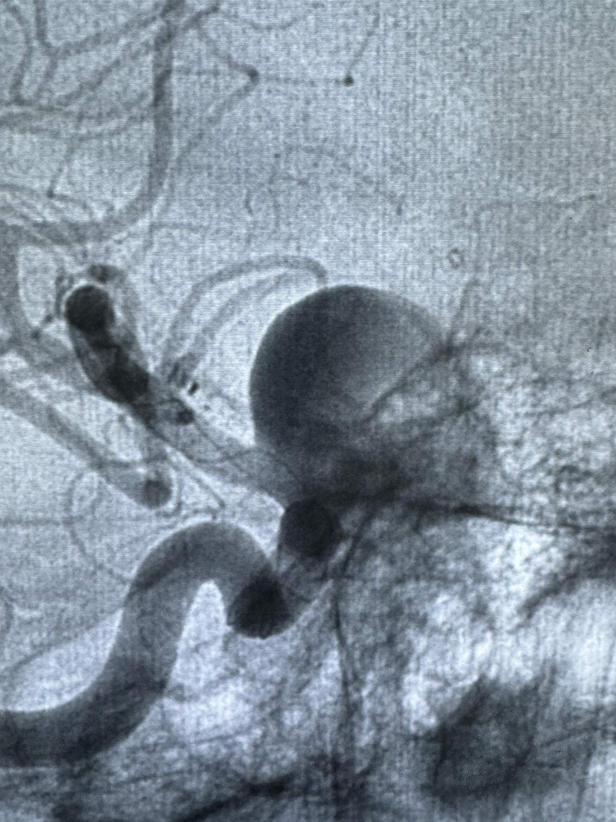
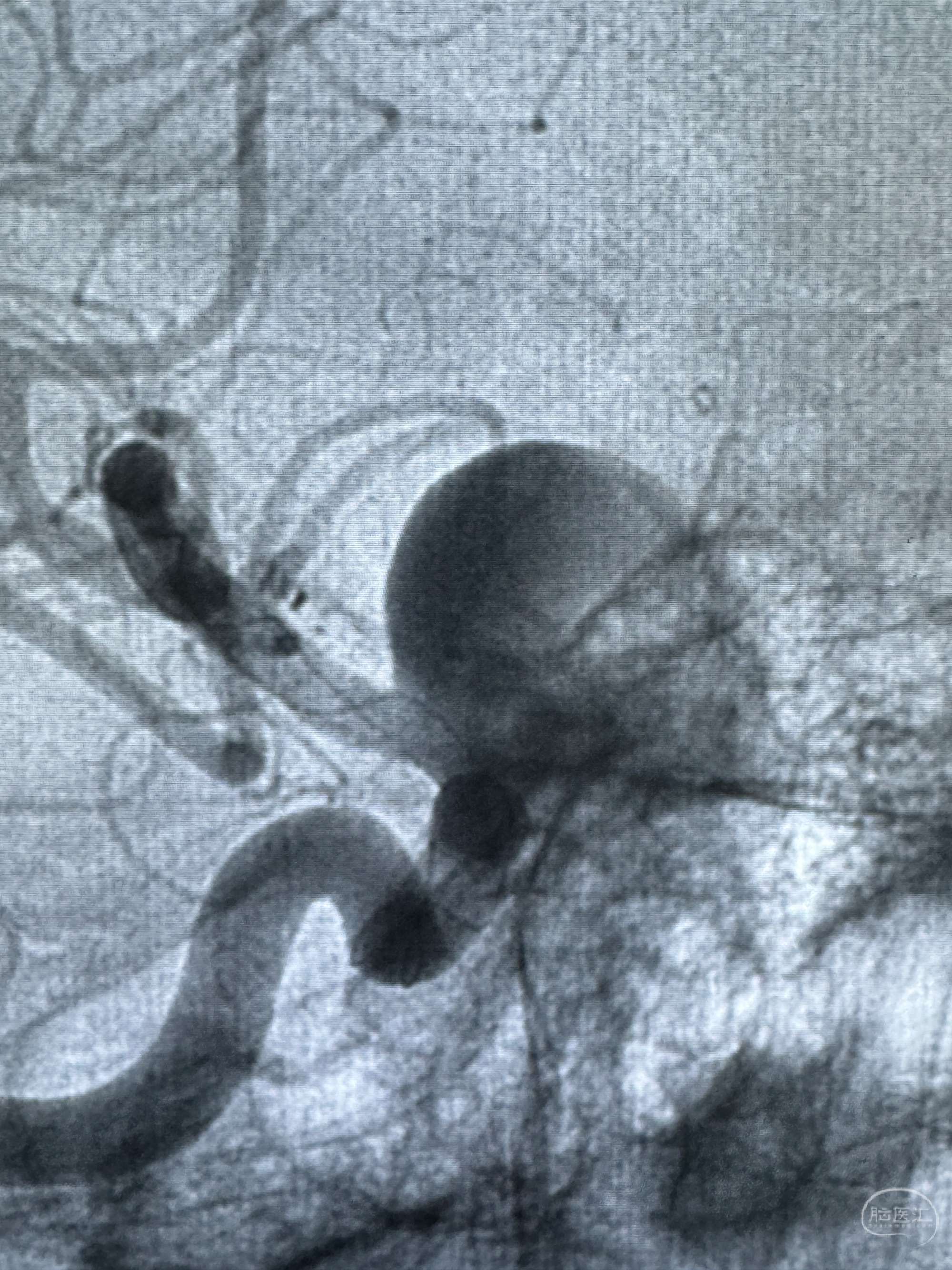
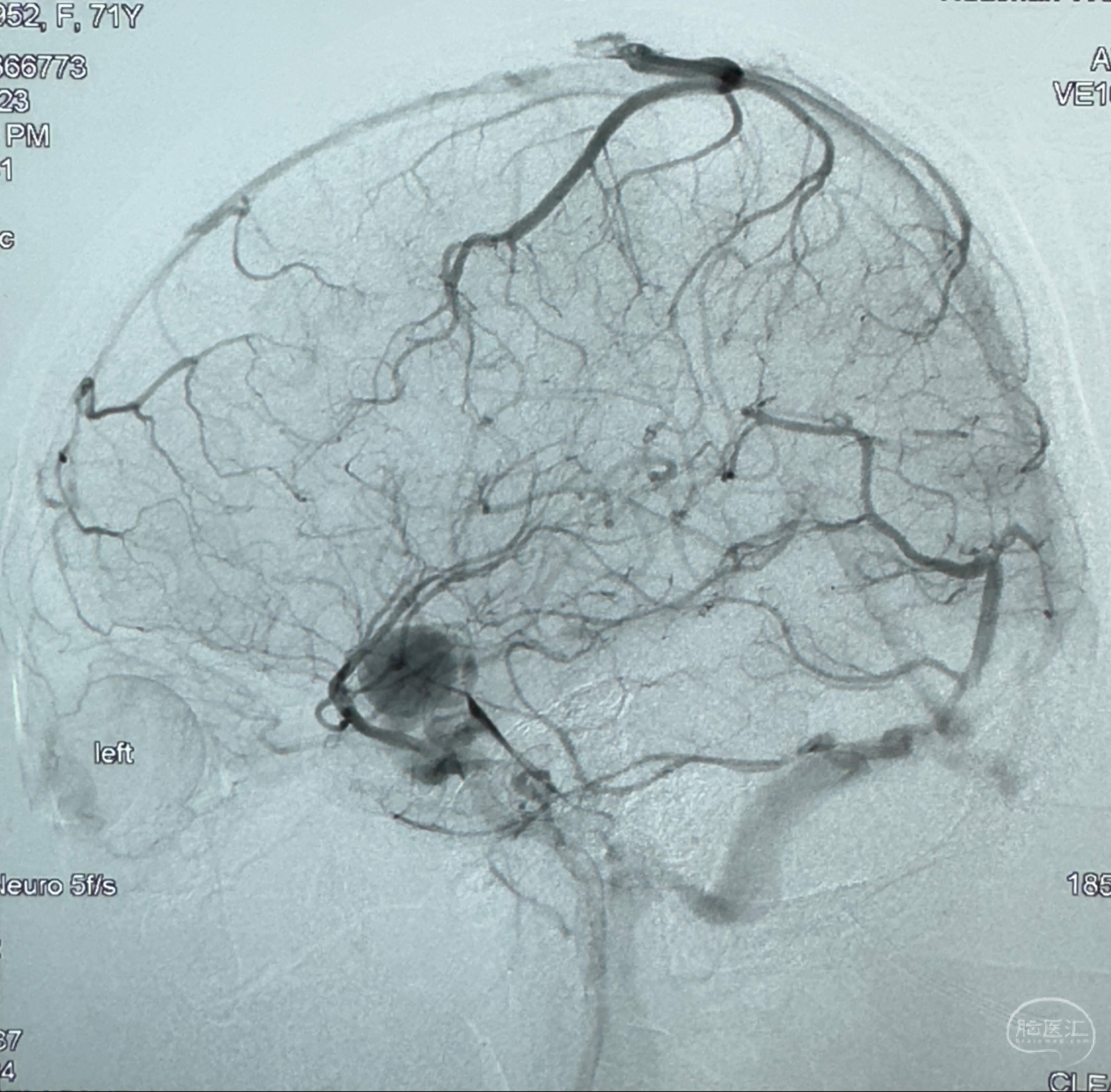
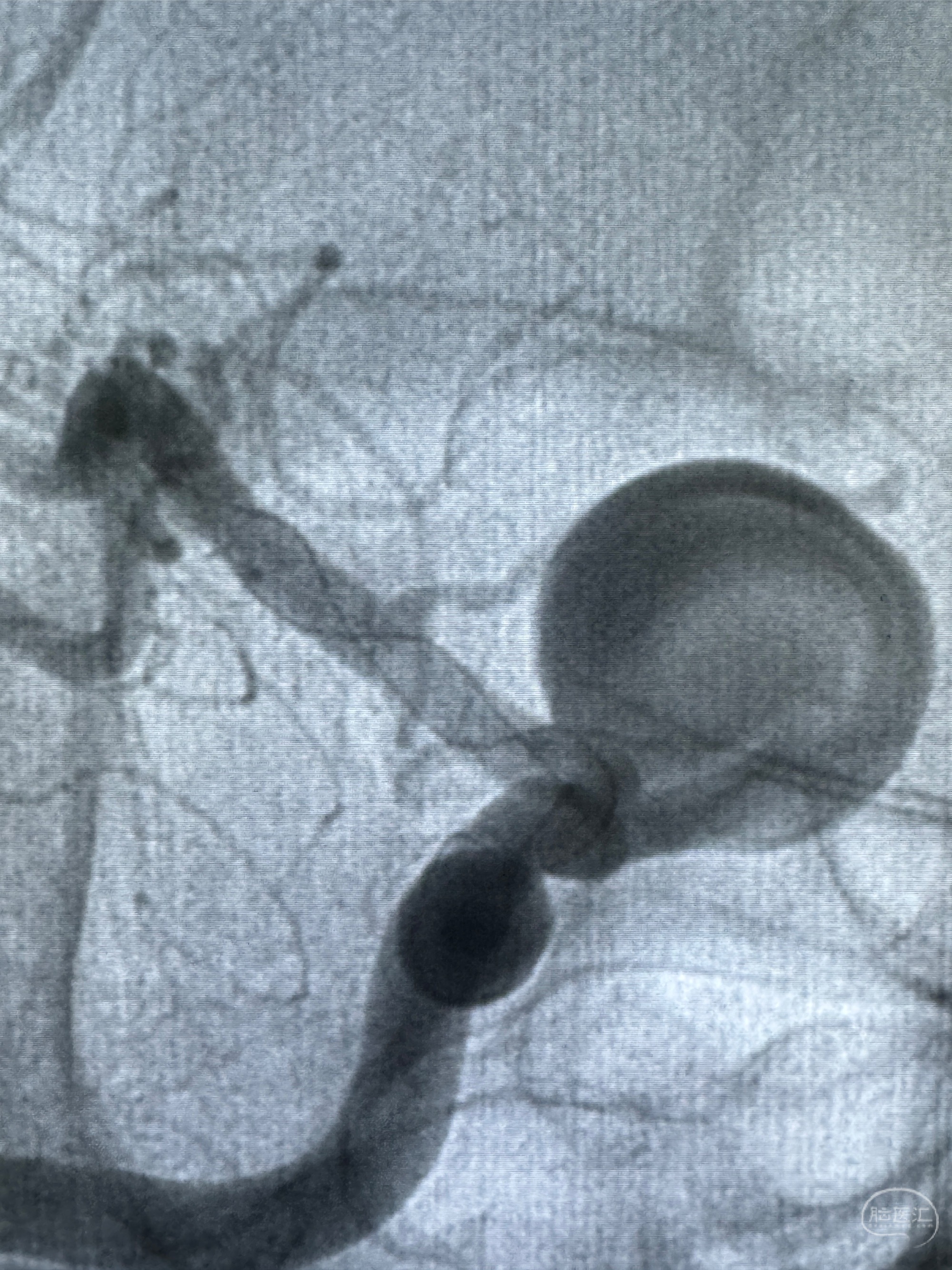
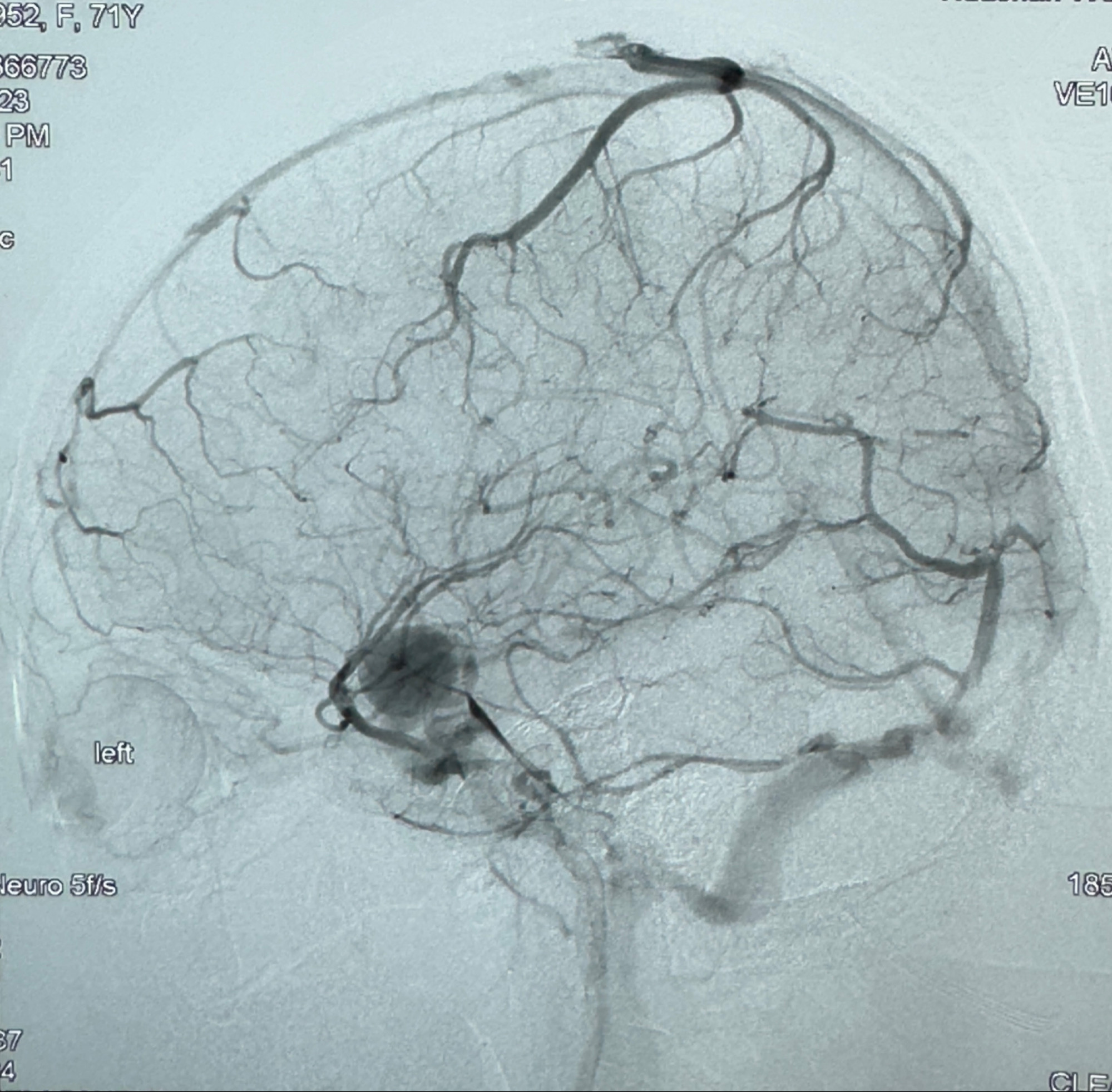
2023-12-08 复旦大学附属华山医院 全脑血管造影:右侧颈内动脉C6段动脉瘤,瘤颈6.68mm,动脉瘤大小13.28*12.34mm
初步诊断:1.右侧颈内动脉眼动脉段动脉瘤
2.高血压2级
2023-12-12MRI
2023-12-08外院DSA:右侧颈眼动脉瘤,约13*12mm大小,压颈试验显示左右向及后向前代偿可
2023-12-18全麻下行DSA➕密网支架植入备弹簧圈辅助栓塞
手术开始了,088导管在MPA及泥鳅导丝引导下进入右侧颈内动脉,灌注盐酸法舒地尔5mg
造影见血管痉挛改变,再灌注盐酸法舒地尔5mg
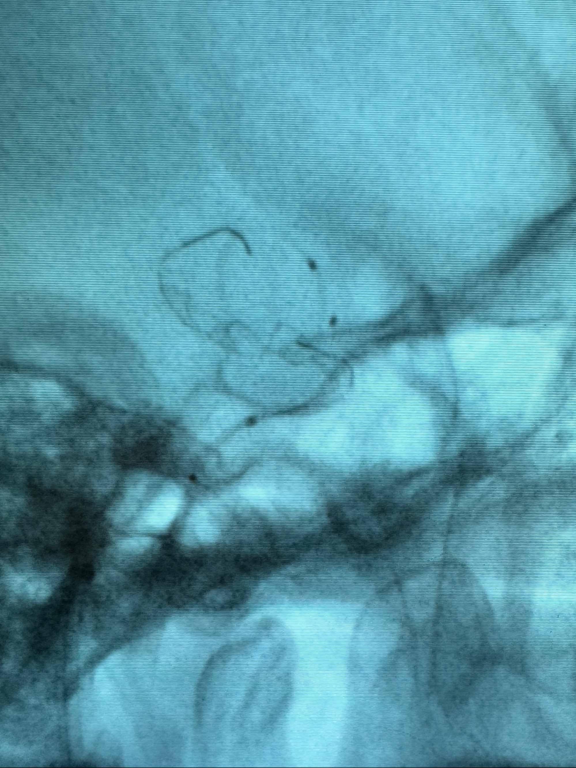
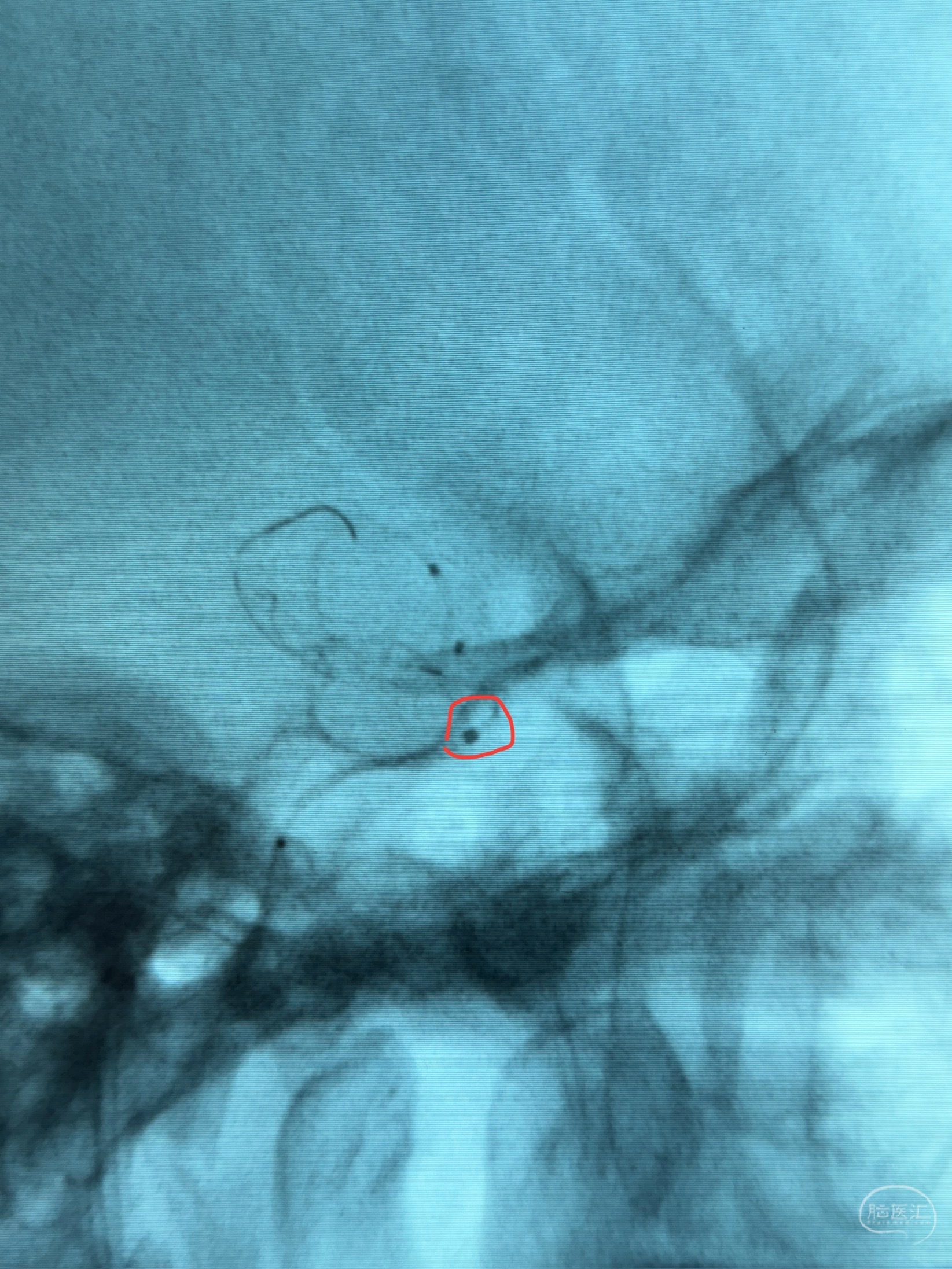
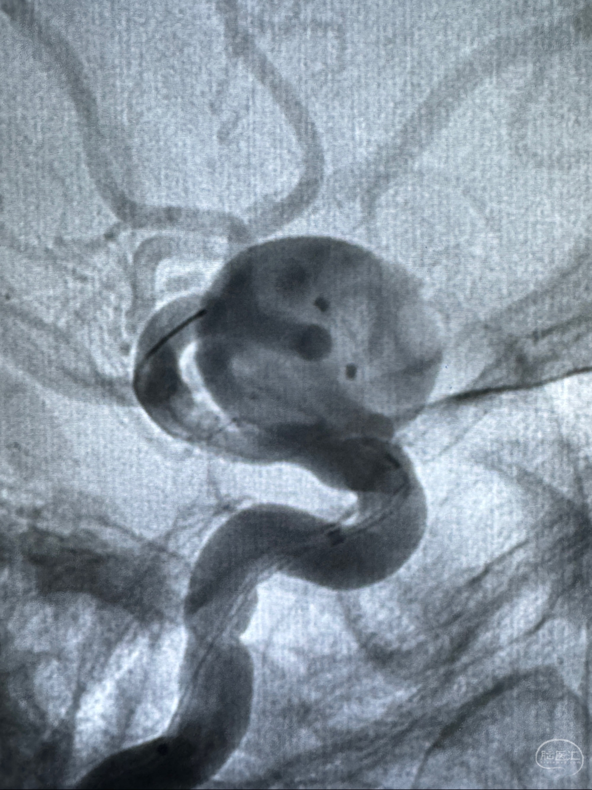
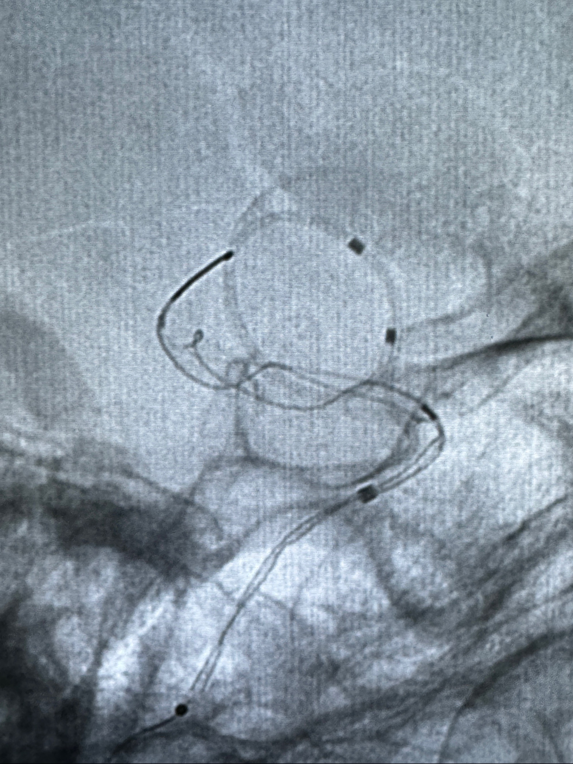
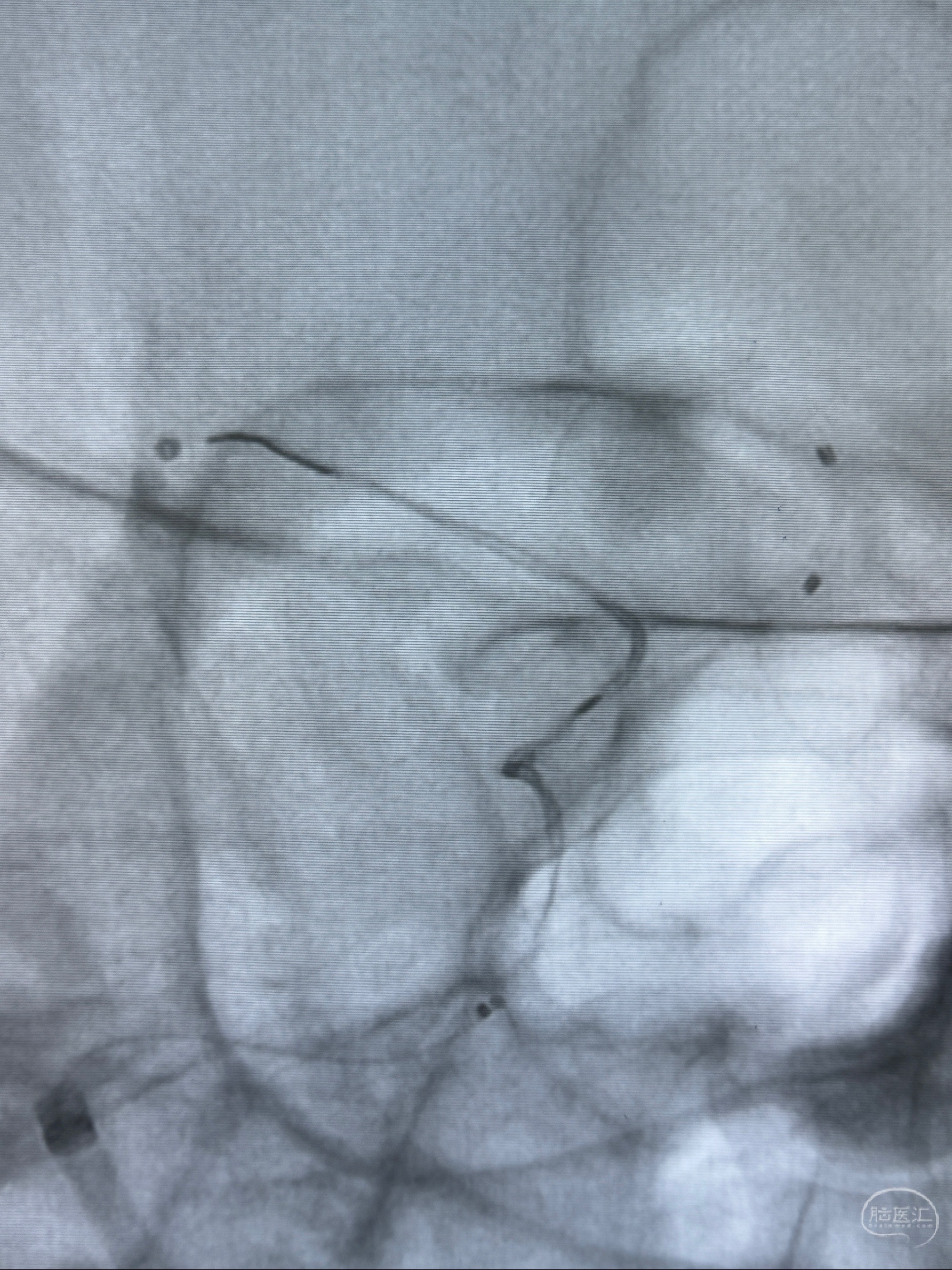
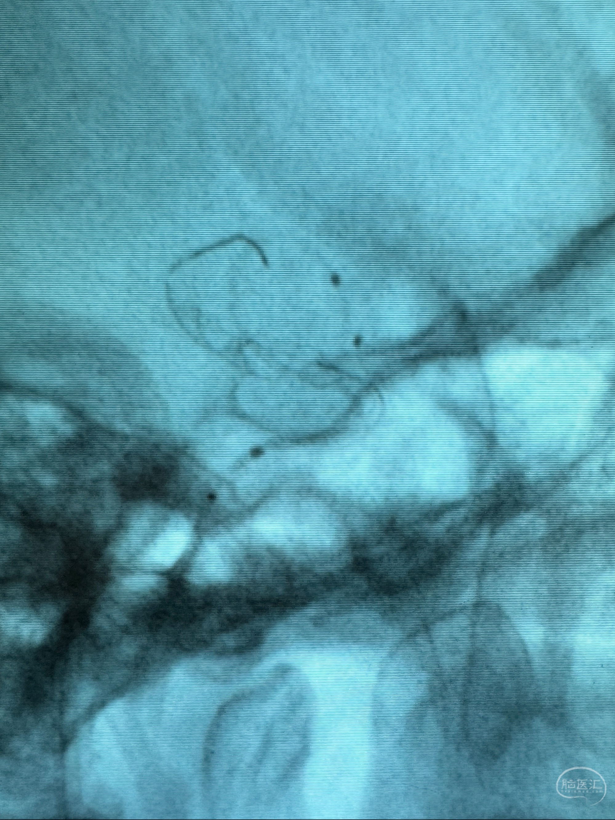
依次选取支架远段释放角度、动脉瘤近心段支架释放角度及瘤颈部切线位置
旋转3D展示动脉瘤局部的血管构筑
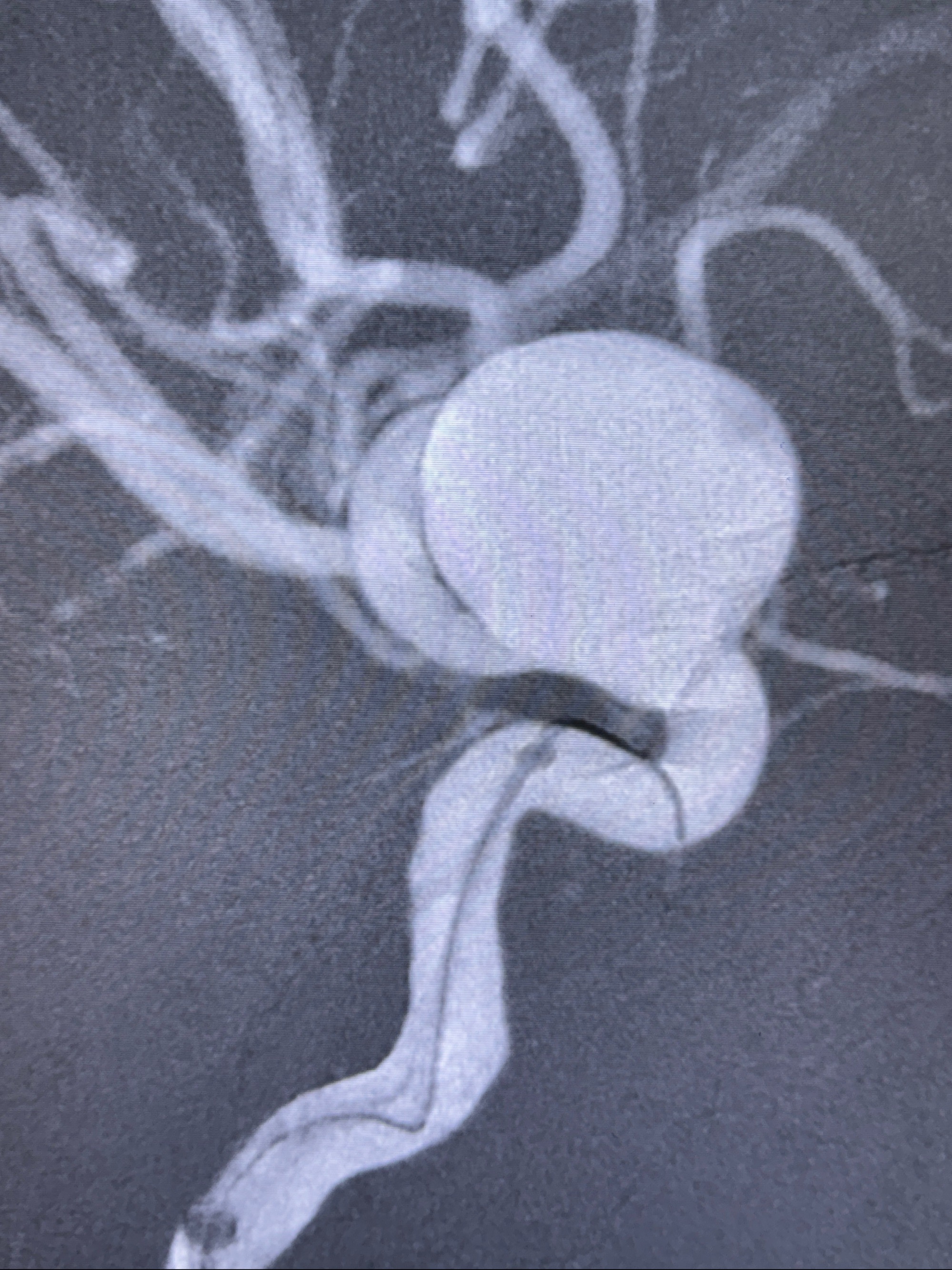
测量动脉瘤的大小:16*13.8*7.6mm大小,较原先变大,考虑双抗后瘤内血栓溶解可能
观察动脉瘤腔内的血流动力学情况
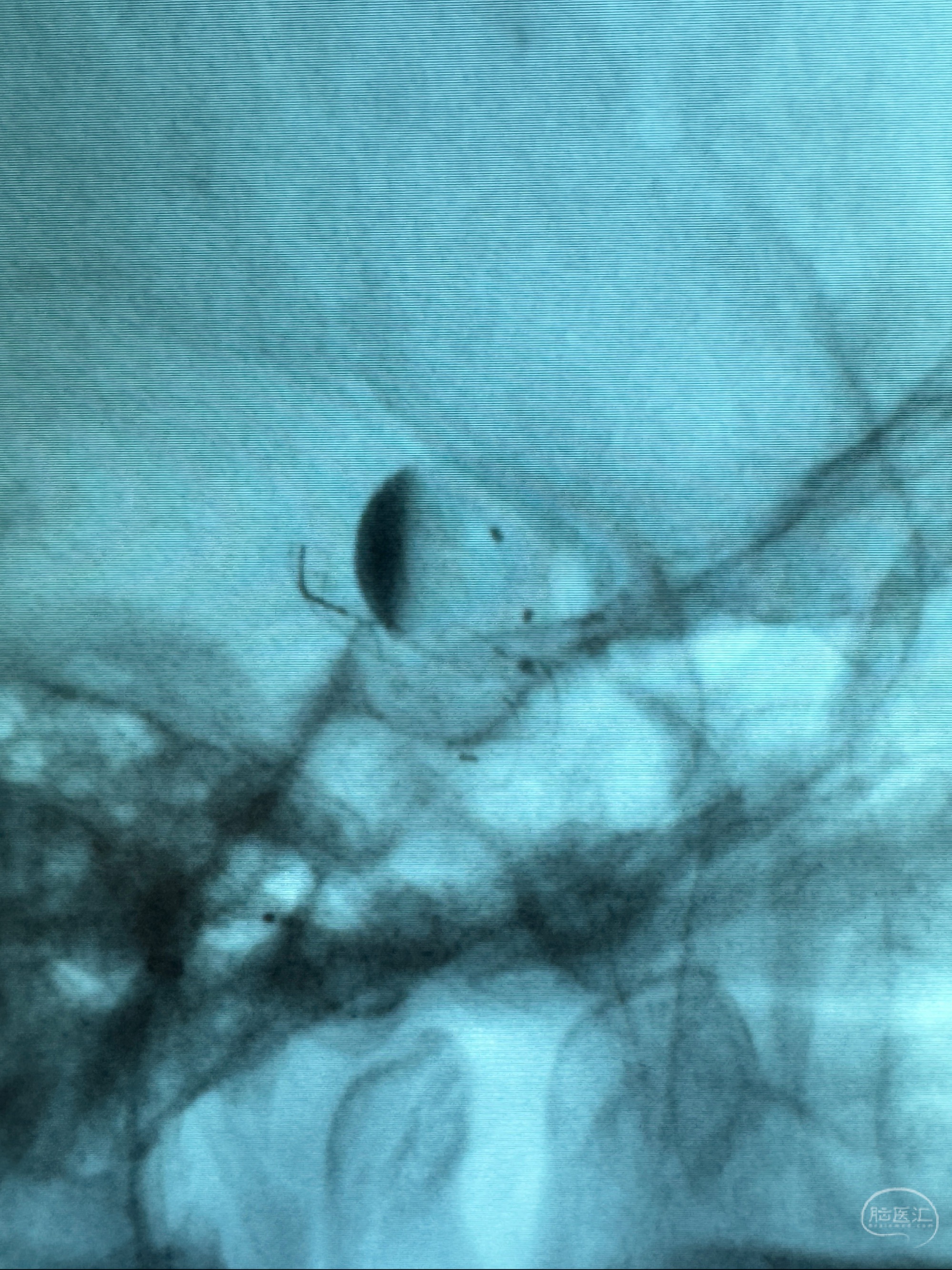
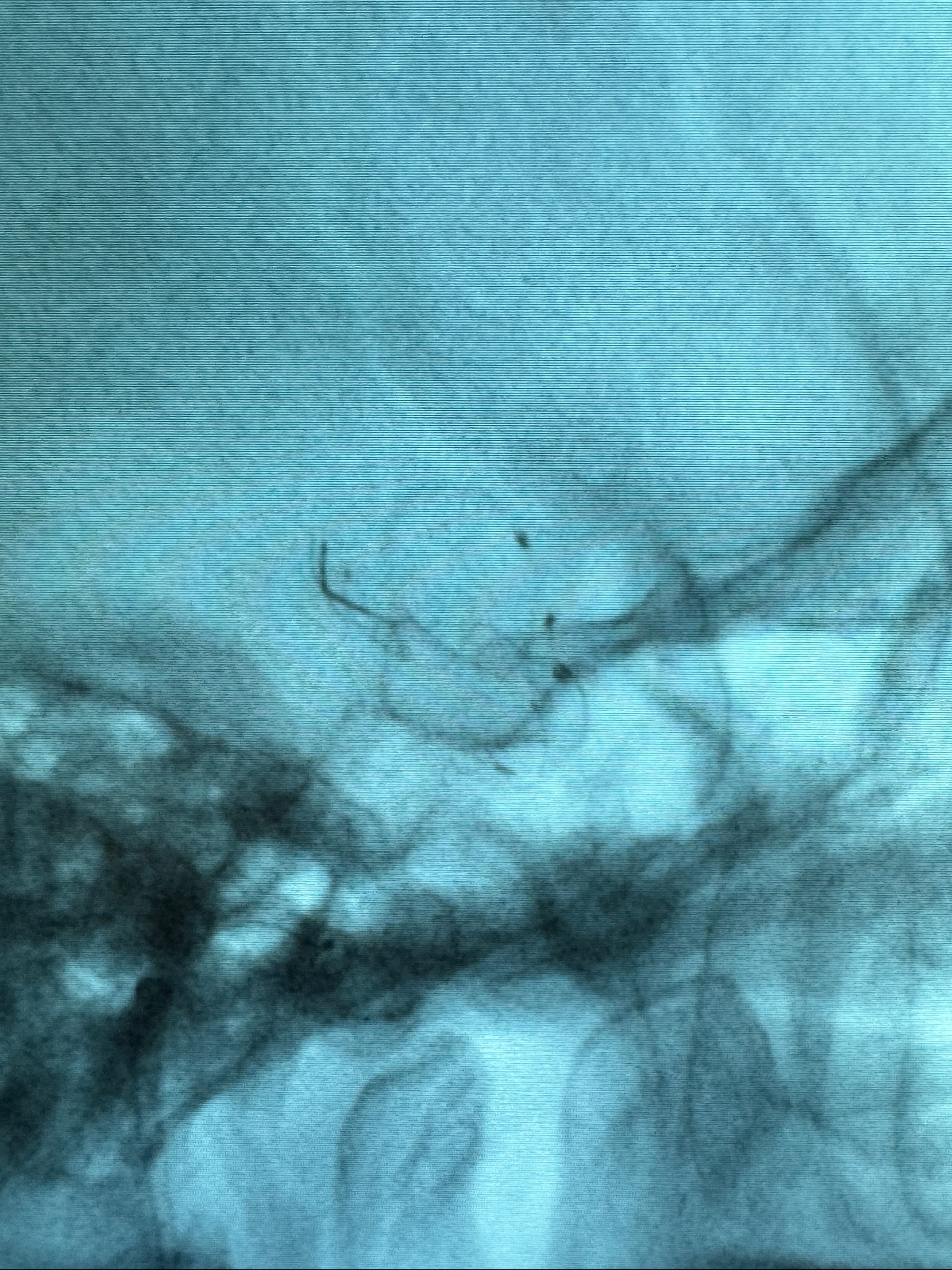
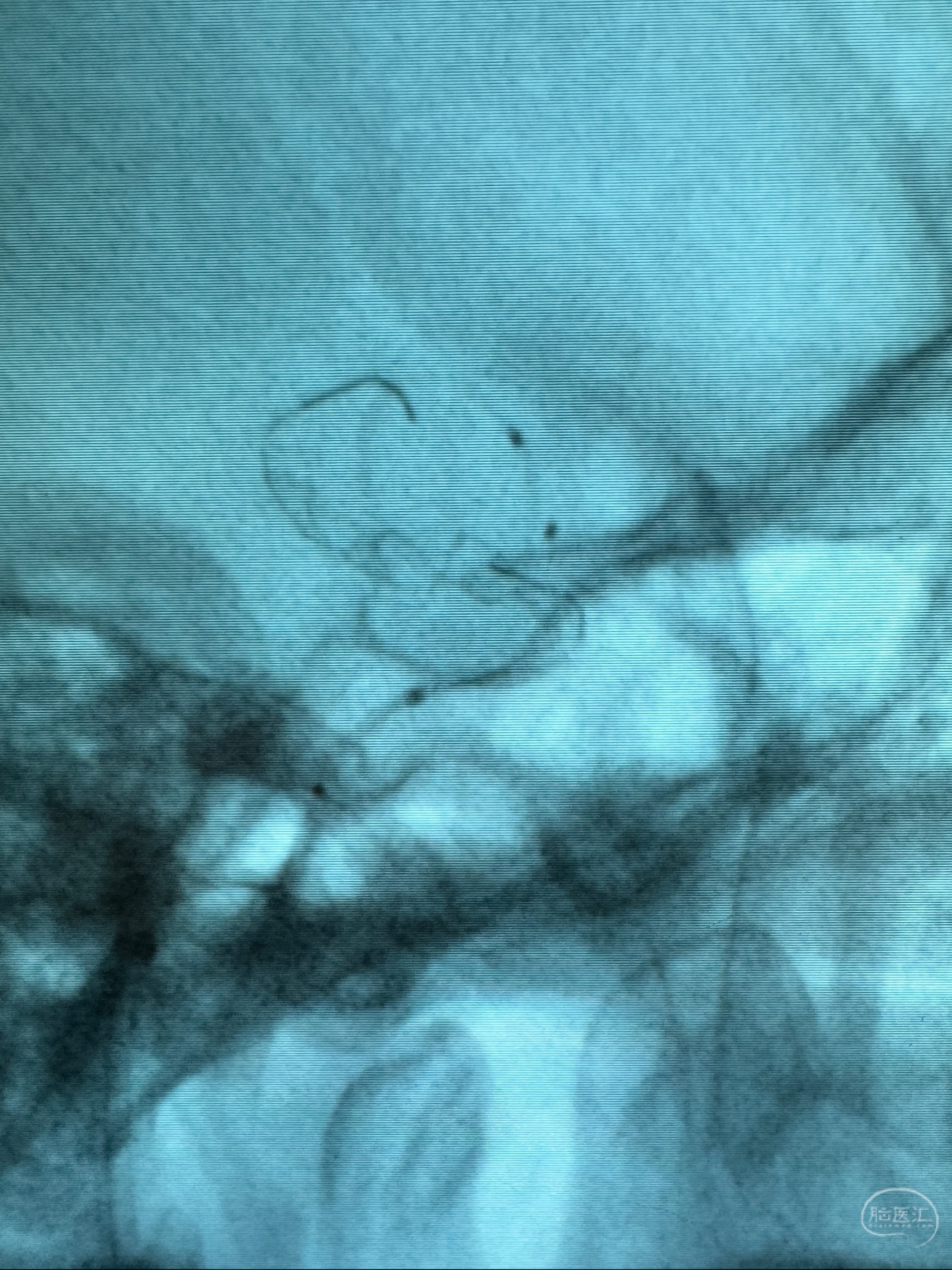
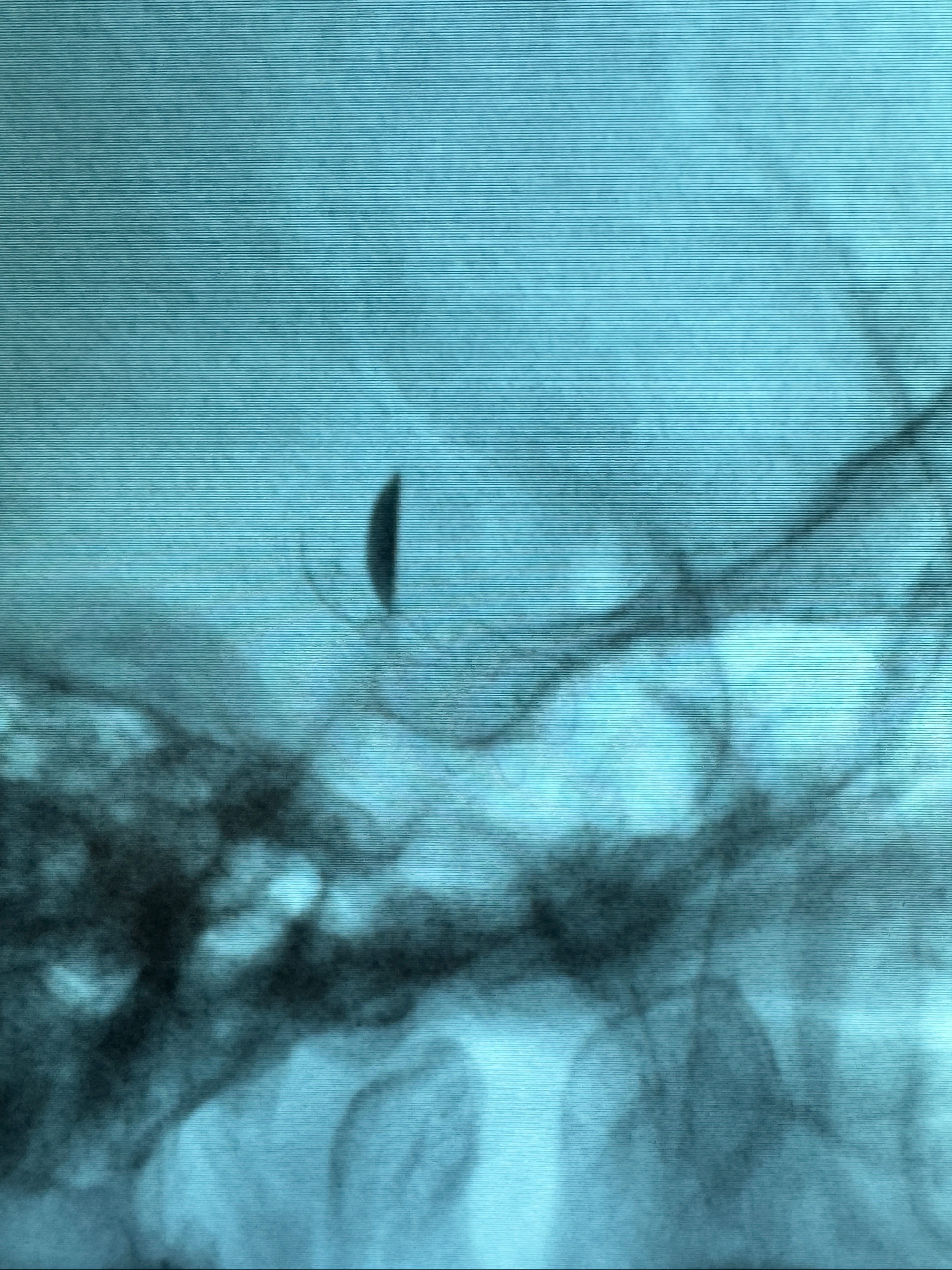
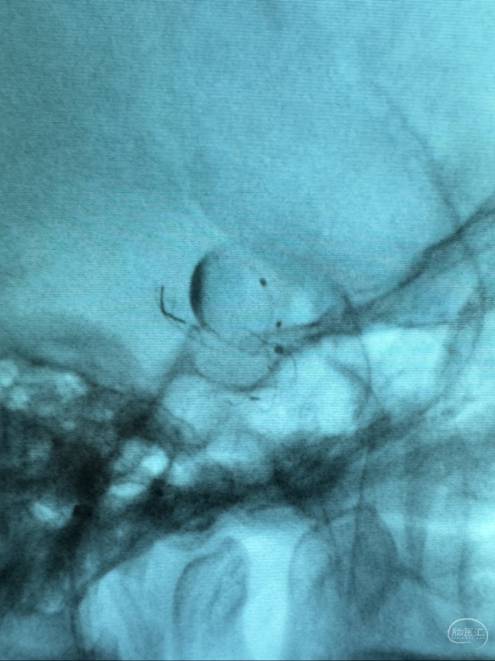
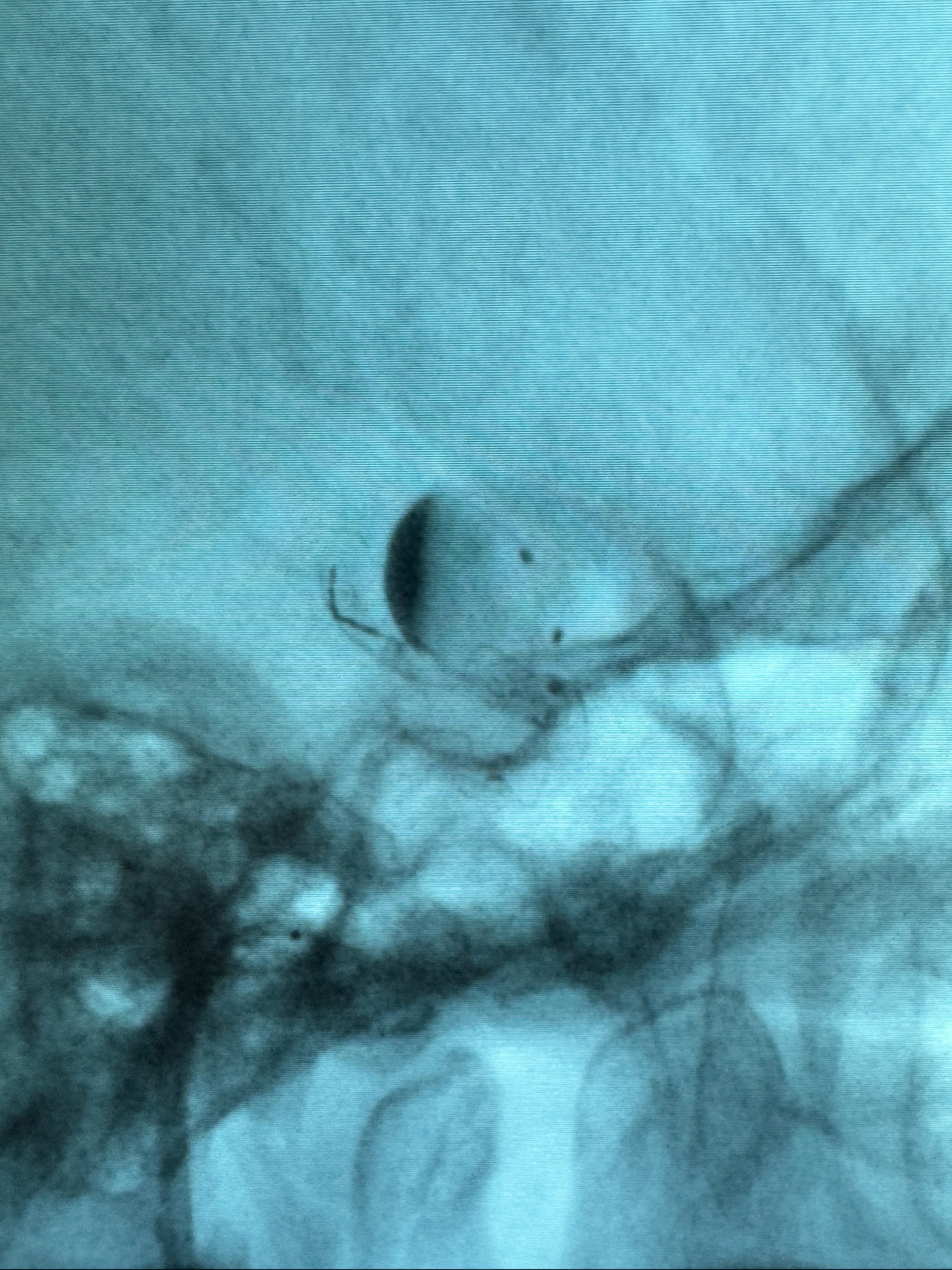
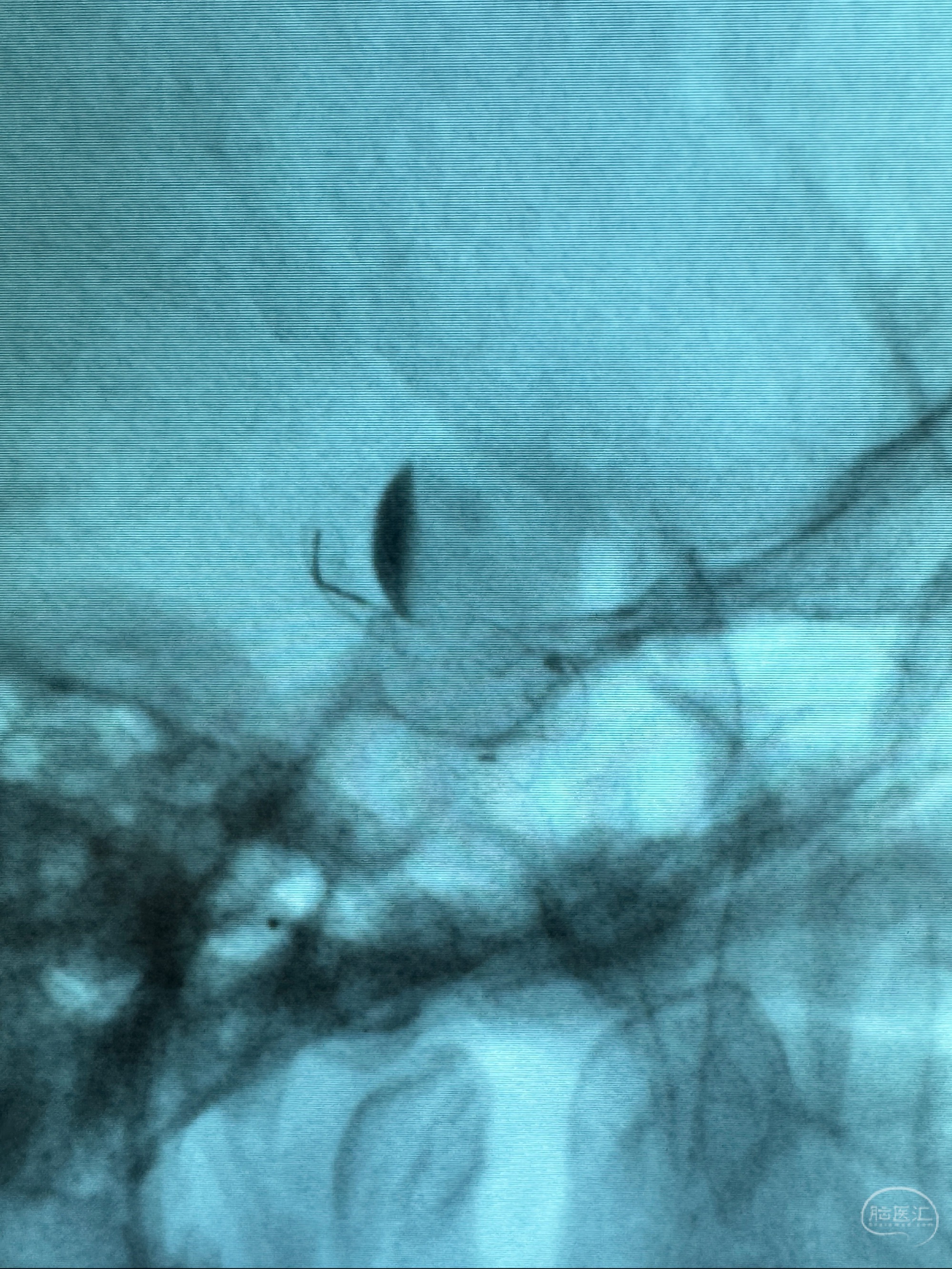
密网支架微导管在微导丝引导下超选择性插入右侧大脑中动脉
越慢越快,越快越慢:耐心细致的操作是顺利的保障
切换到动脉瘤瘤颈的角度,栓塞导管塑形后引入动脉瘤内
再次切换到动脉瘤远段血管支架释放角度,预备植入支架
4.5-30mmTurbridge密网支架,于M1近心端打开
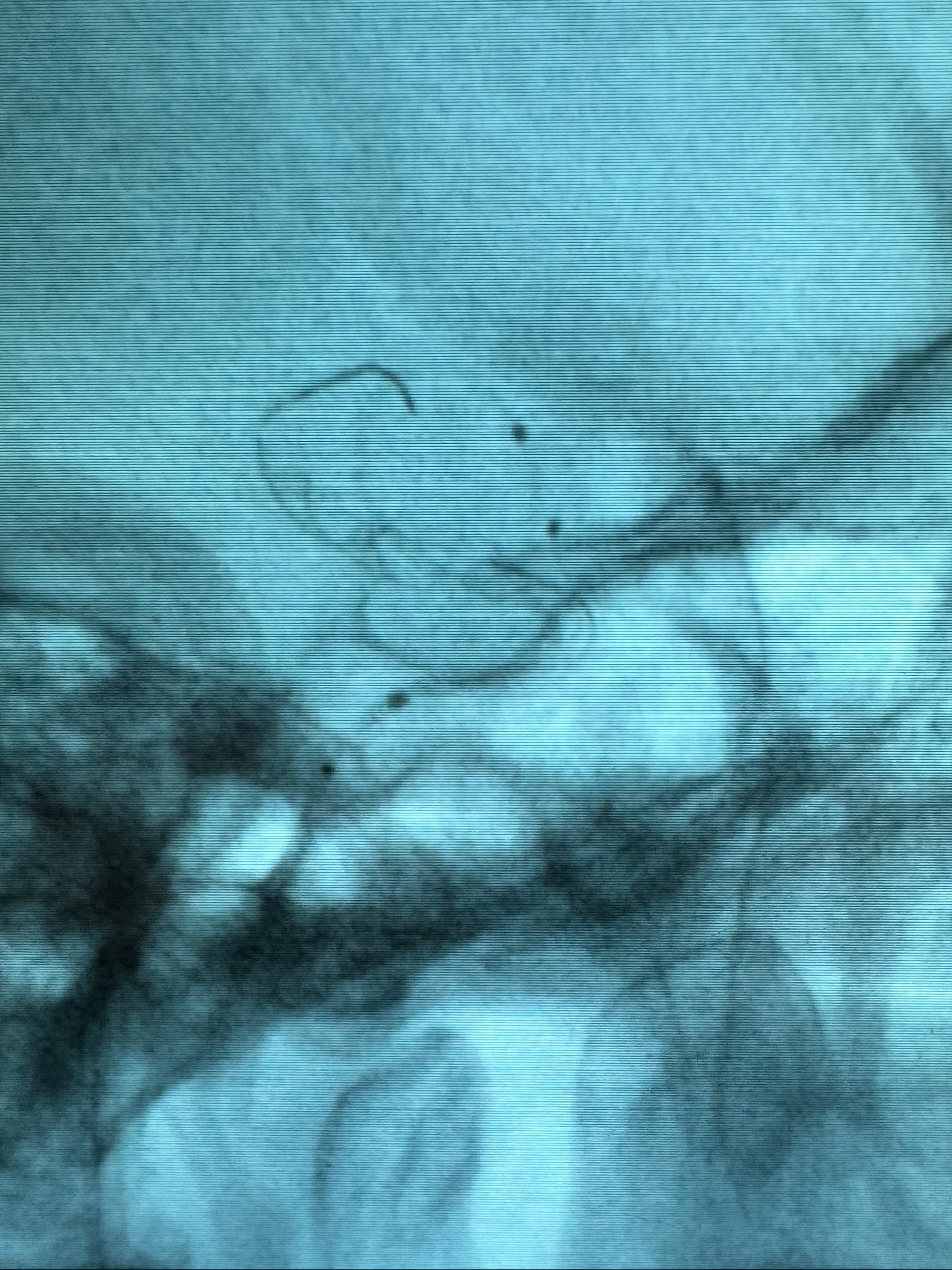
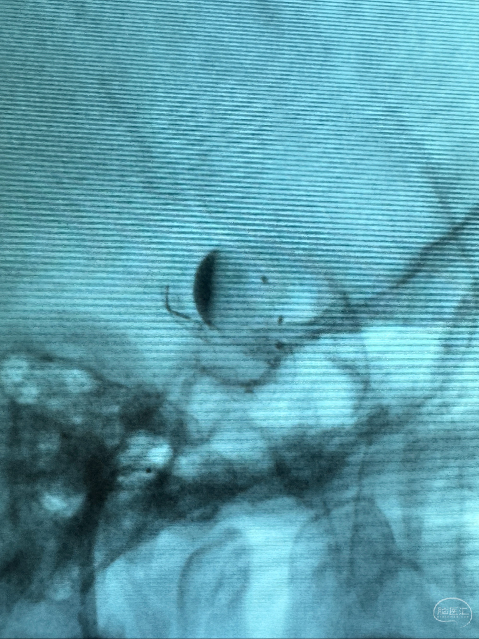
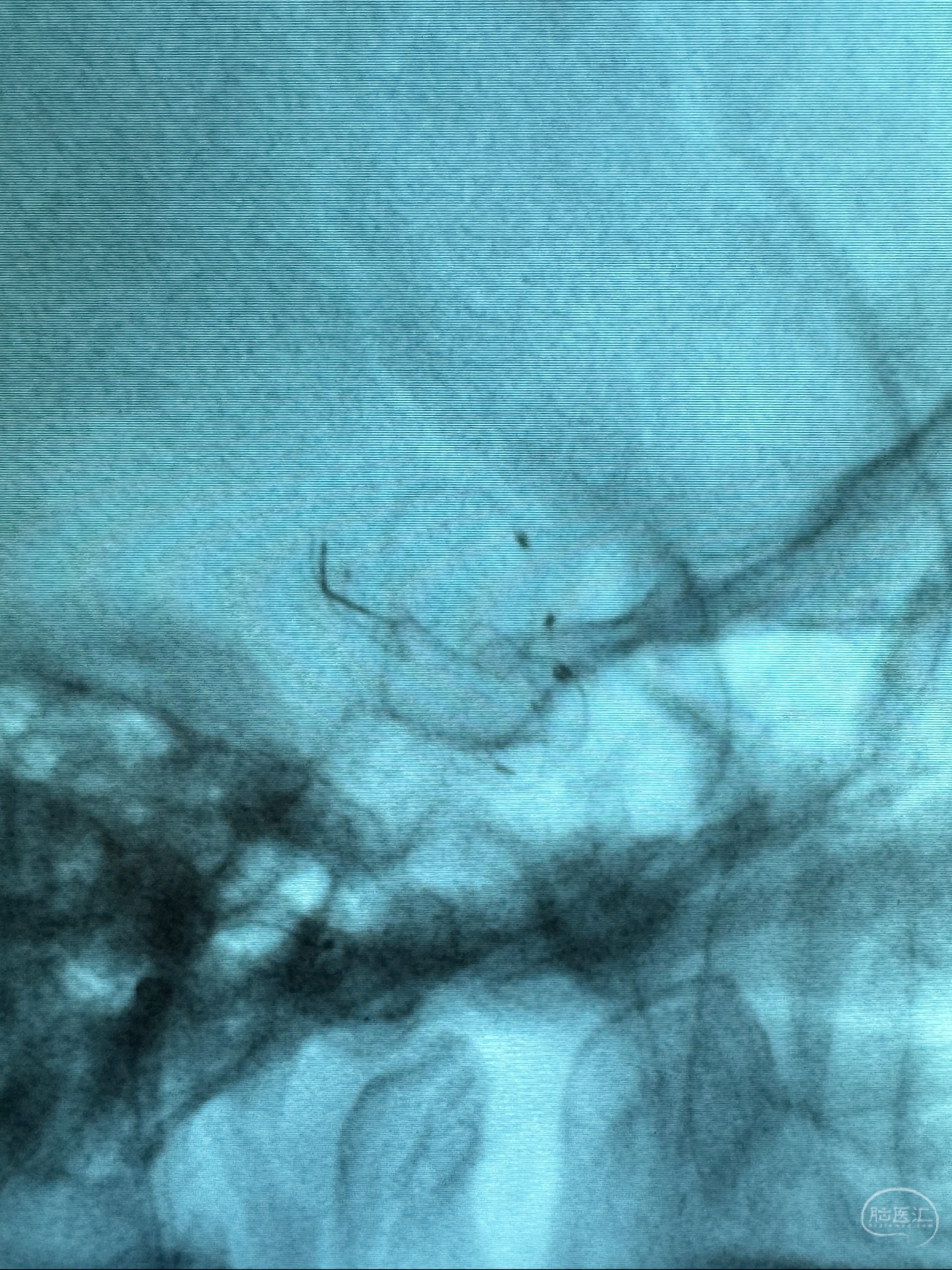
透视下支架释放满意
多角度显示支架打开情况
造影显示支架贴壁情况
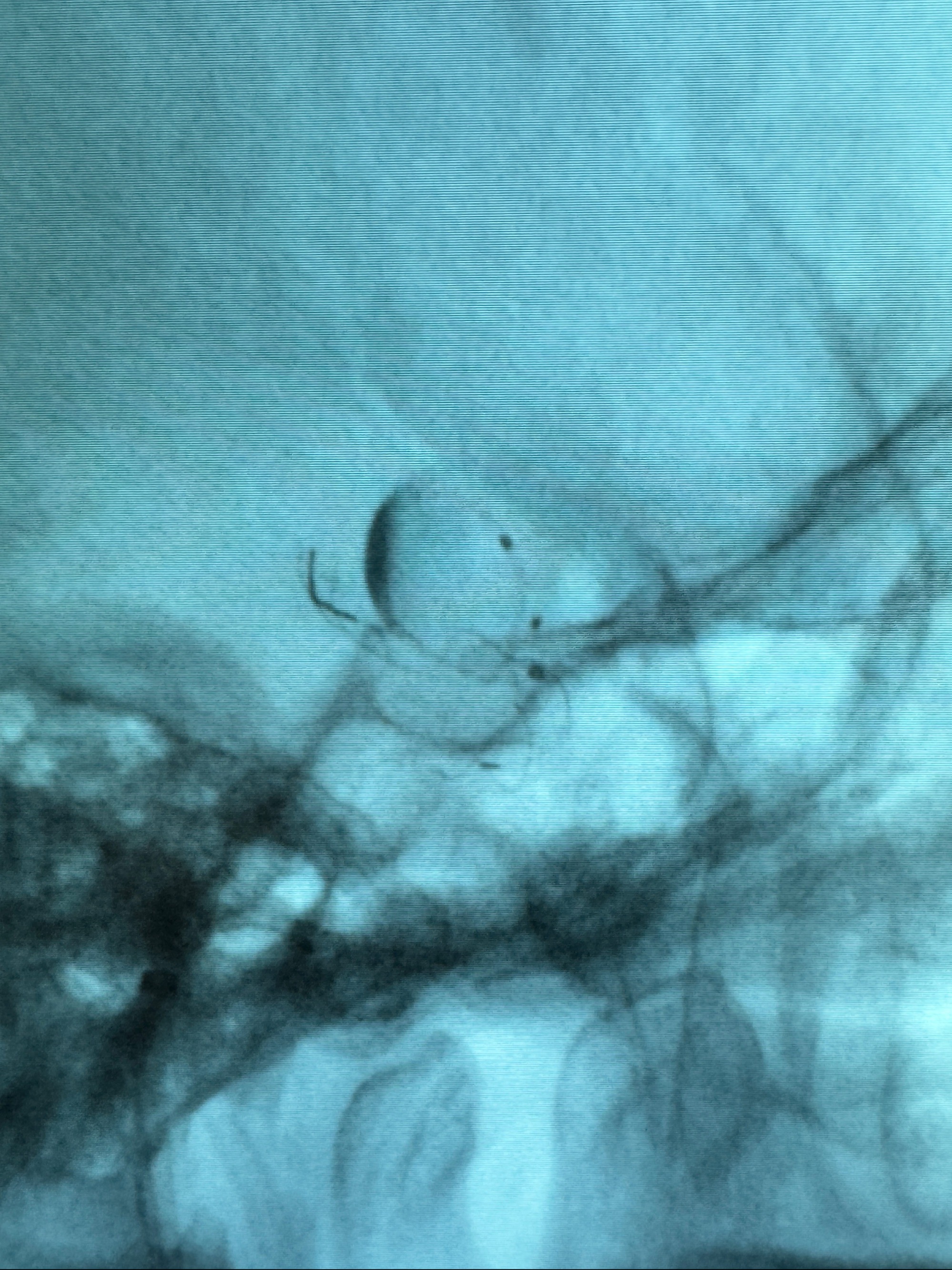
调整好角度,透视下推挤支架,使支架贴壁
再次造影确认支架贴壁情况
预备完全释放支架
再次手推造影确认:请不要眨眼!到最后一帧图像时,图像突然闪烁,黑了!
重要的图像看了3遍
再透视就如下图。。。。。。
两眼一抹黑,不可置信,怀疑人生
以为是技师碰到机器
确认过眼神后内心确认是机器出问题!!!
不能透视,也不能造影
懵圈了
所有人都看着我!
- 没有第二台DSA
- 院内只有骨科的小C臂(楼上手术室)、胃肠机(隔壁放射科)
- 患者全麻状态,搬运禁忌
立马下台协调骨科、麻醉科借用小C臂;
15分钟左右麻醉科的兄弟亲自跟工务员推着机器来了,同时骨科的兄弟也来帮助使用机器
此时此刻一万个感谢从心头飞过。。。。。。
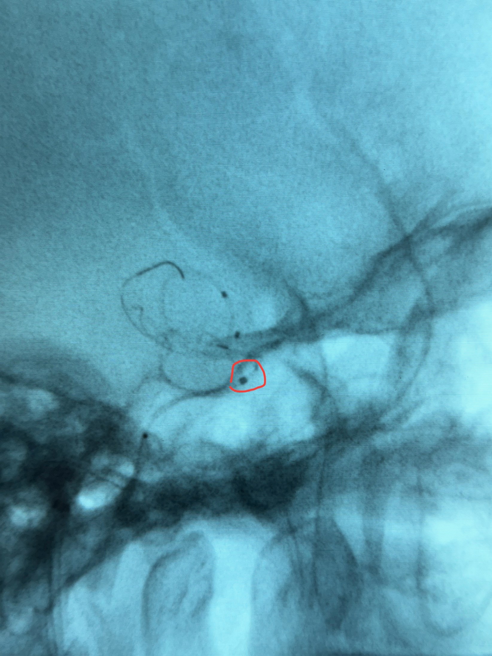
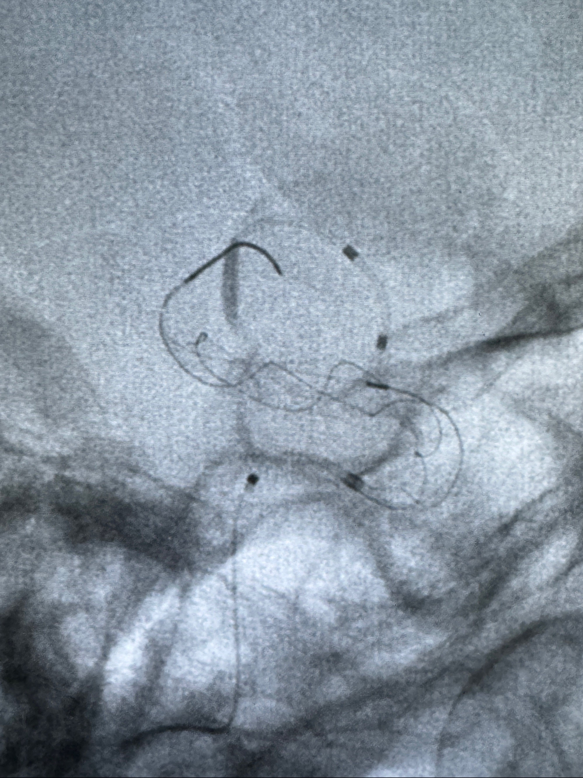
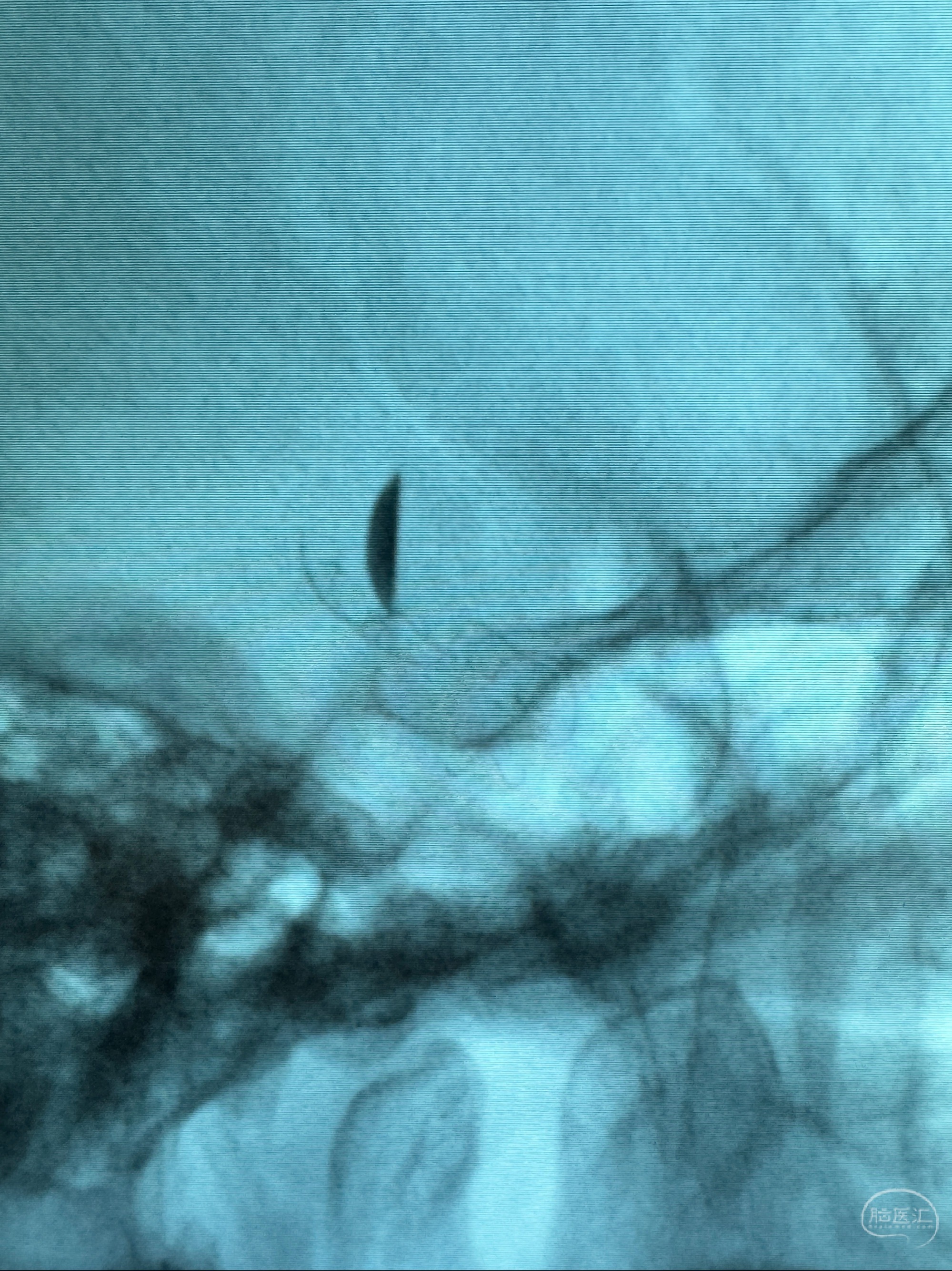
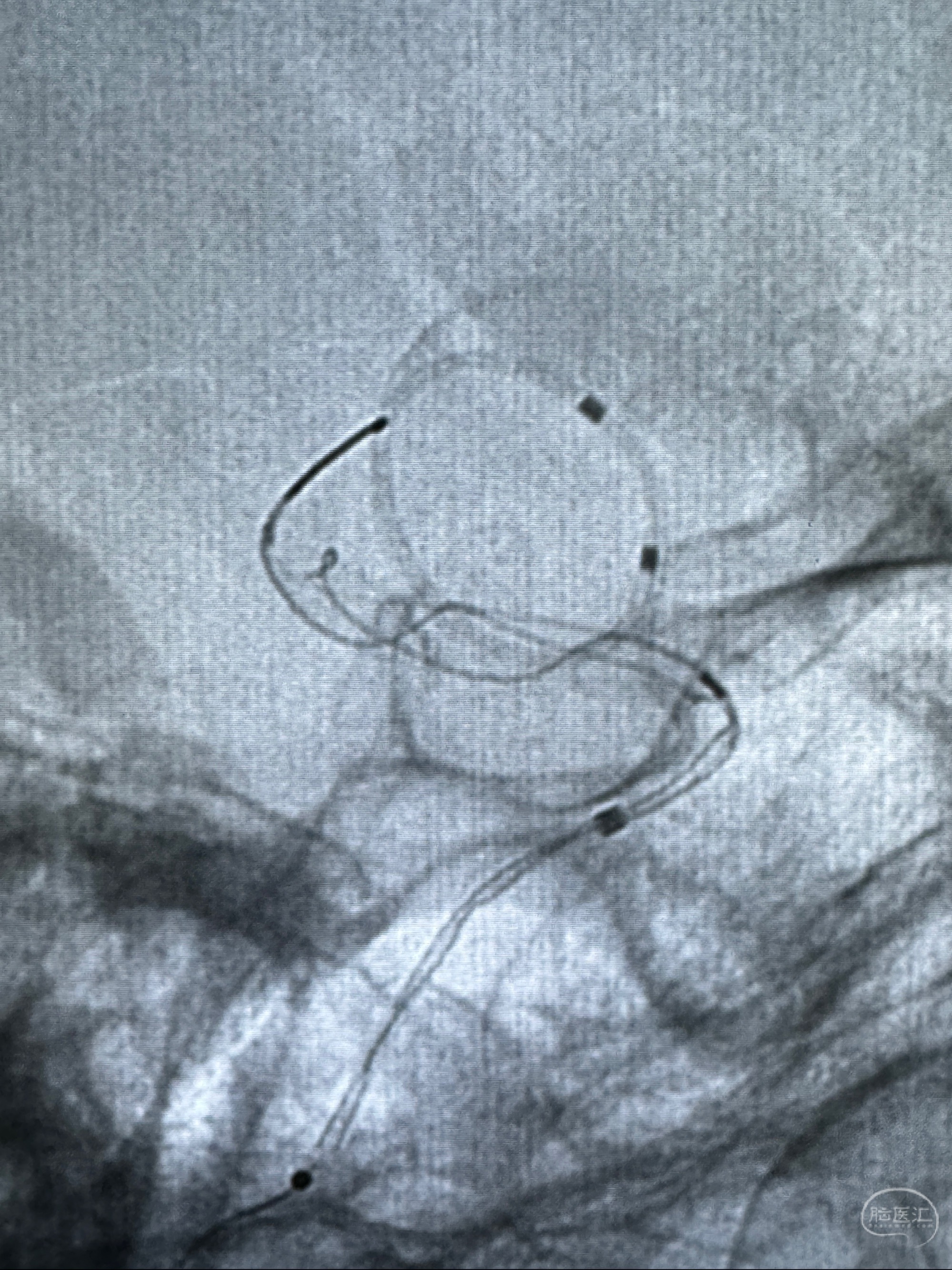
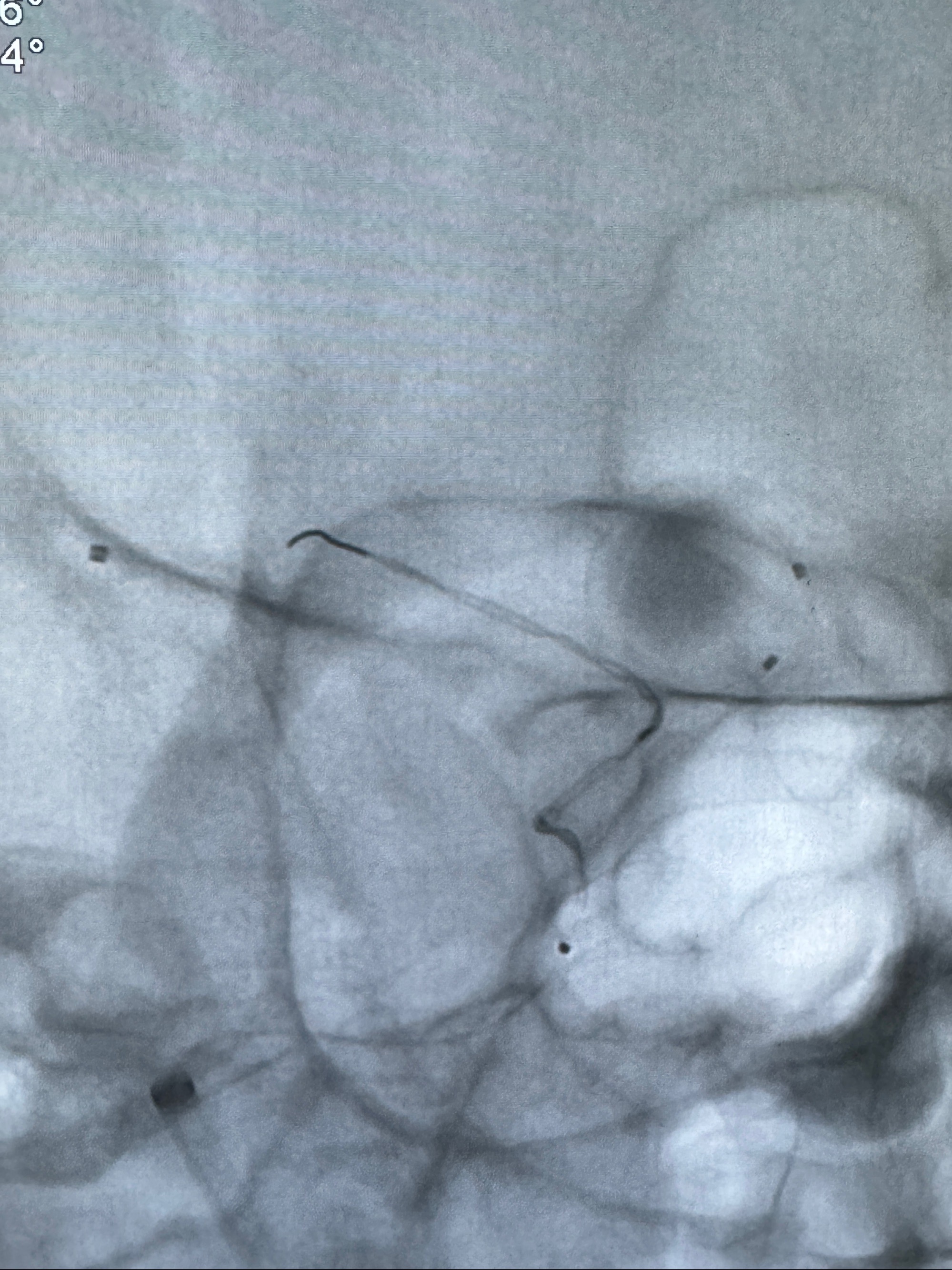
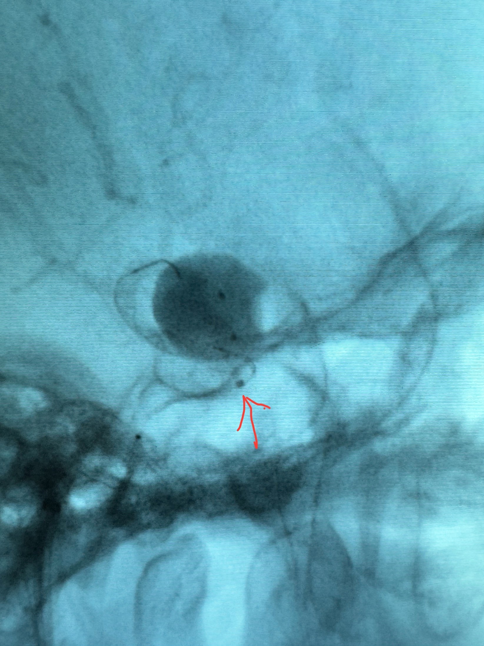
透视可见红圈部分为支架导管的头端
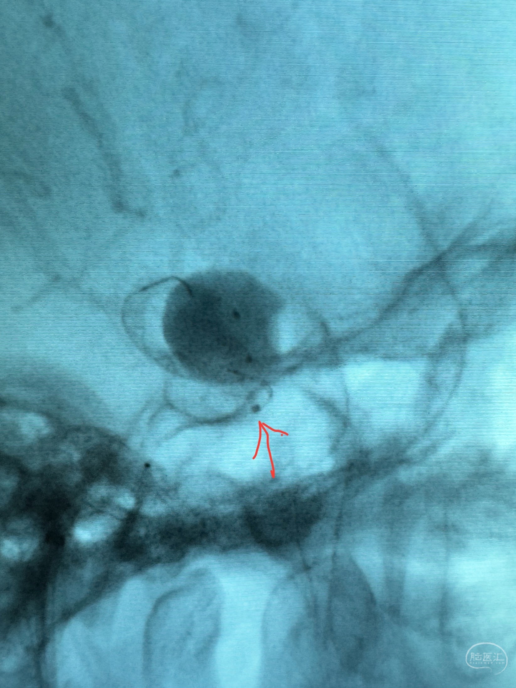
手推冒烟显示支架位置及展开情况,箭头为支架导管的位置
尝试回收支架失败,只能考虑释放支架了
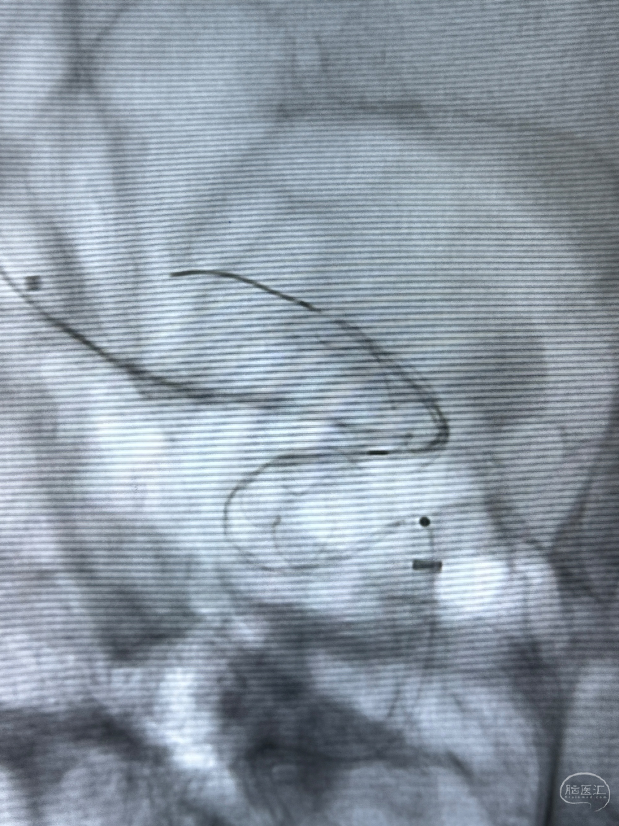
逐帧图像展示歪着脖子释放支架,旁边吩咐助手手机摄影、拍照留像(透视机不能留影像)
接下的视频为释放支架的过程及试图确认支架与血管的关系
最后再看看颅内血管是否有异常
看动脉瘤内造影剂滞留,未见明确射流,遂撤出预留的栓塞微导管,快速结束手术,经导引导管灌注替罗非班250ug。
一幅雪景中禹禹独行的身影,表达了内心的彷徨
麻醉苏醒佳,遵嘱动作
术后即刻CT未见明确异常
术后当晚患者主诉有恶心呕吐,给予对症治疗,余无特殊不适主诉。
好事者拍摄的术中使用小C臂处理危情的时刻
愿所有的患者早日康复!愿所有的同仁不要碰到我这样的灾难!
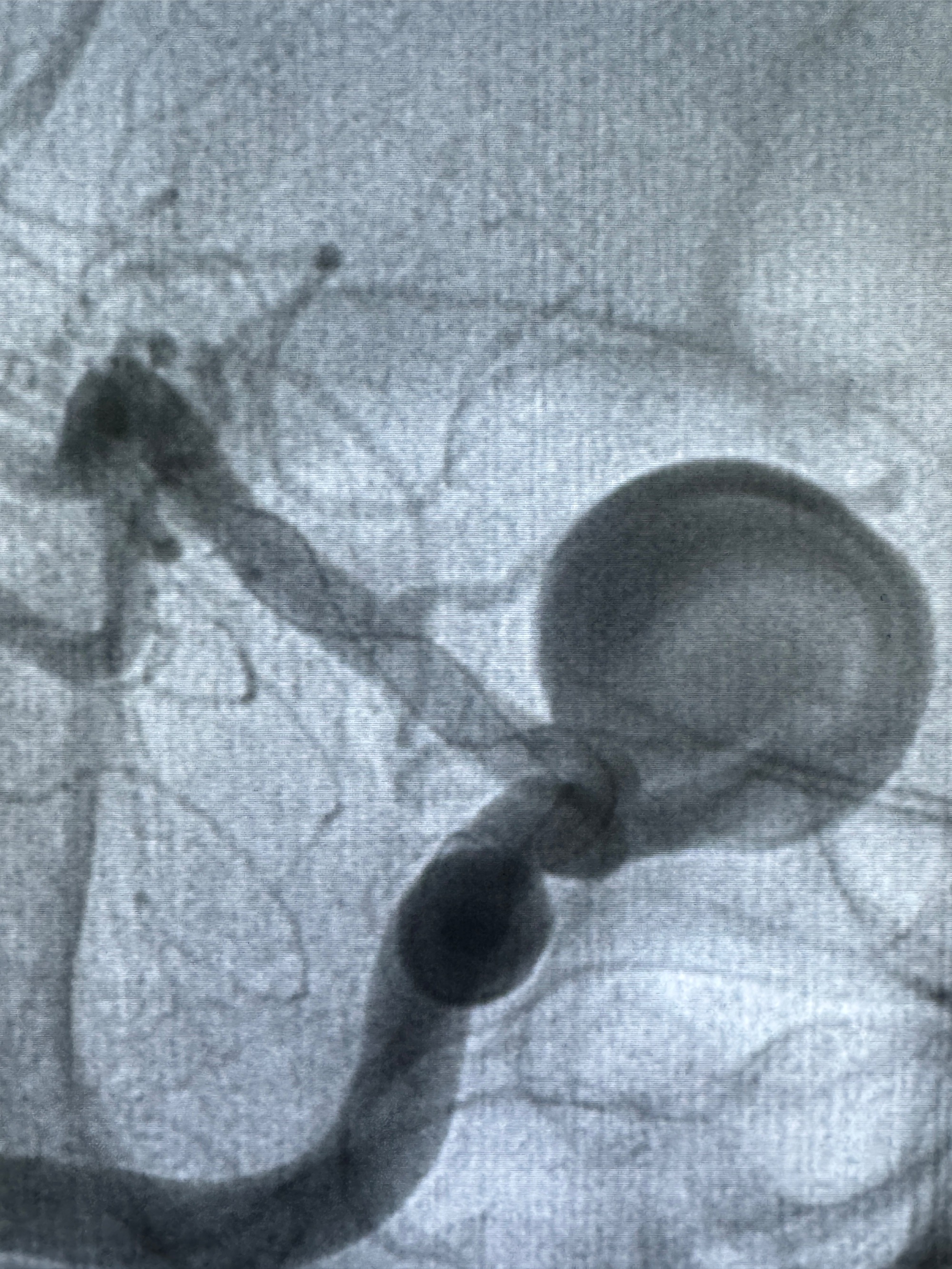
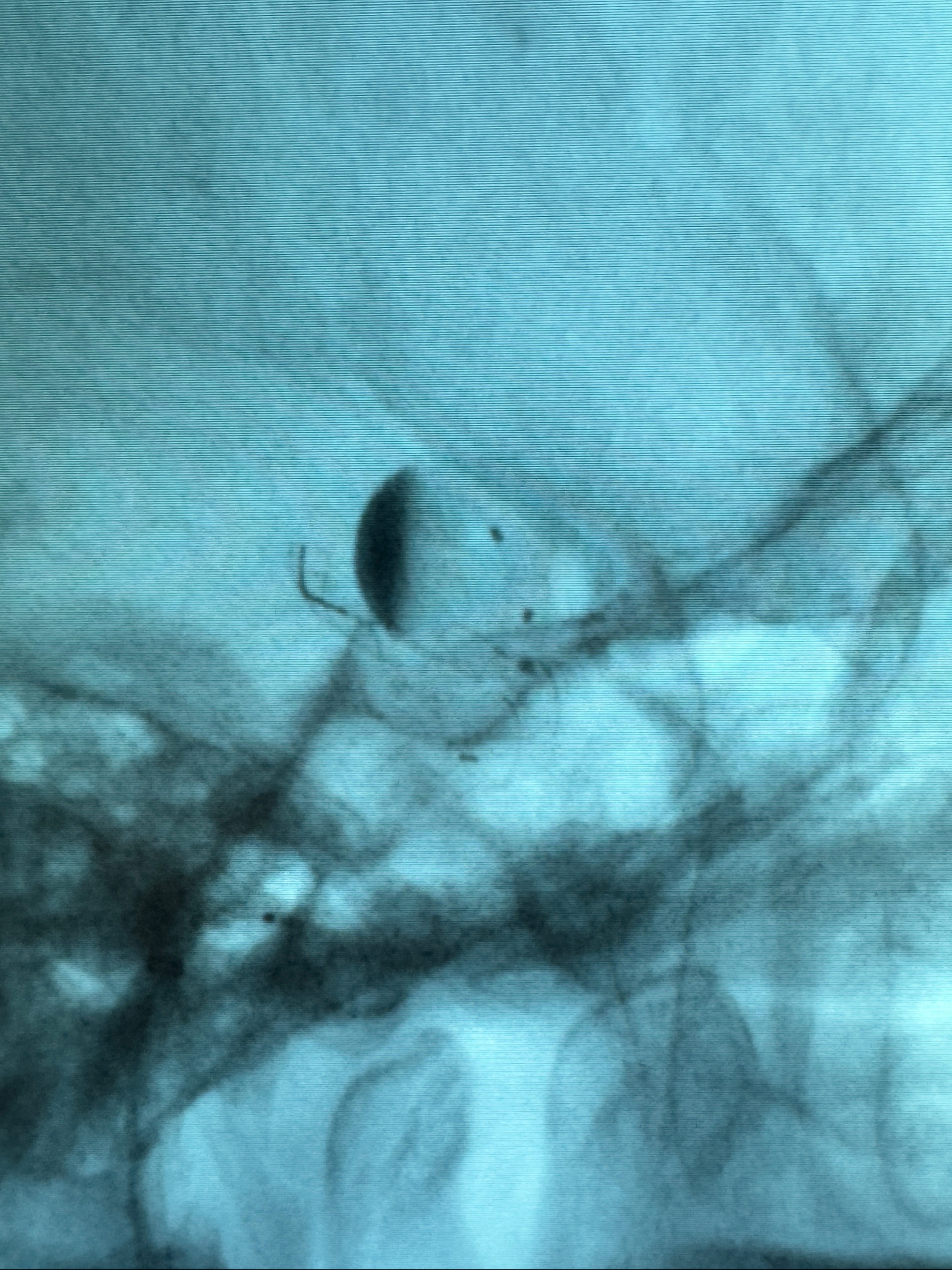
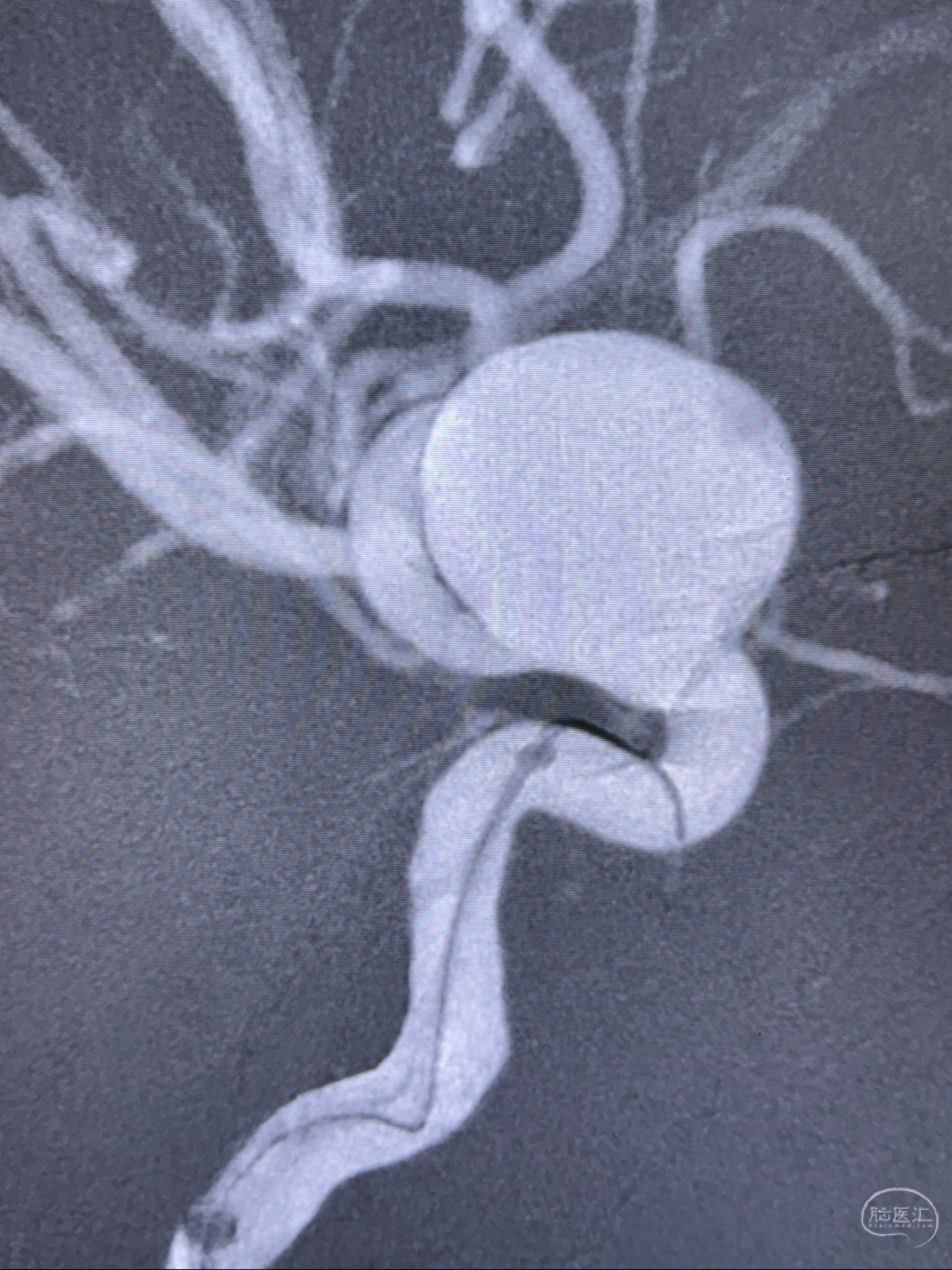
2023-12-27术后第十天复查DSA
支架贴壁佳,但可见射流,咋办?
2024-01-08全麻下再行植入密网支架一枚
Tubridge 4.5-35mm
支架植入顺利,贴壁佳,支架内血流通畅,动脉瘤内血液滞留明显




