缪某,男,66岁,头痛伴左侧肢体乏力4小时入院。
既往史: 有高血压病史十余年,自诉规律服药,血压控制不详。
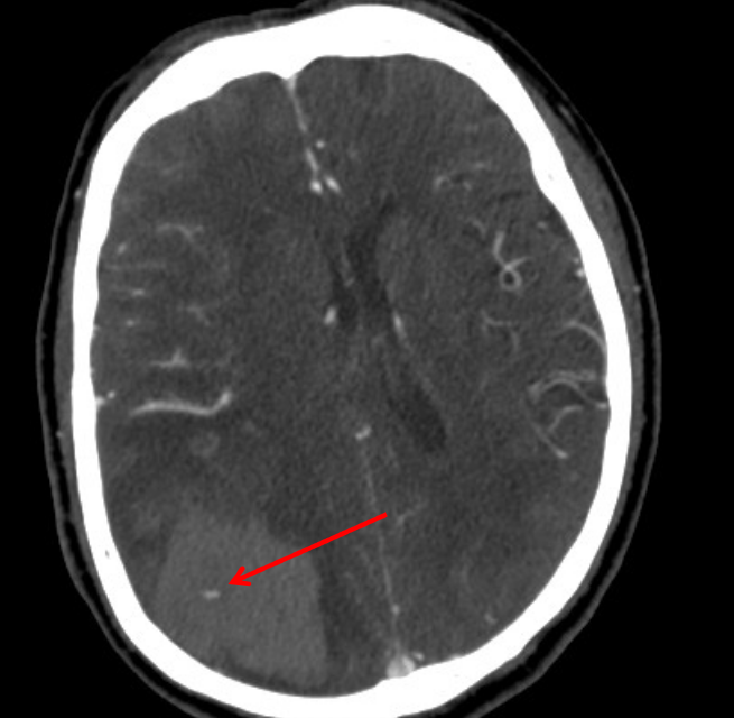
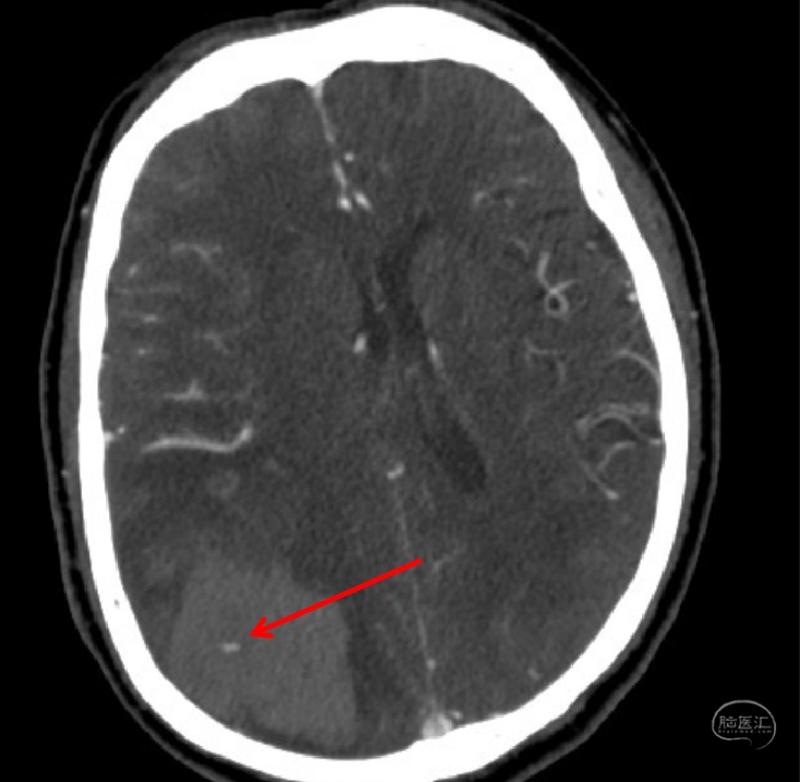
头颅CT示:右侧颞顶枕叶脑出血(78ml),内斑点、小片状持续强化灶,活动性出血?血管畸形?
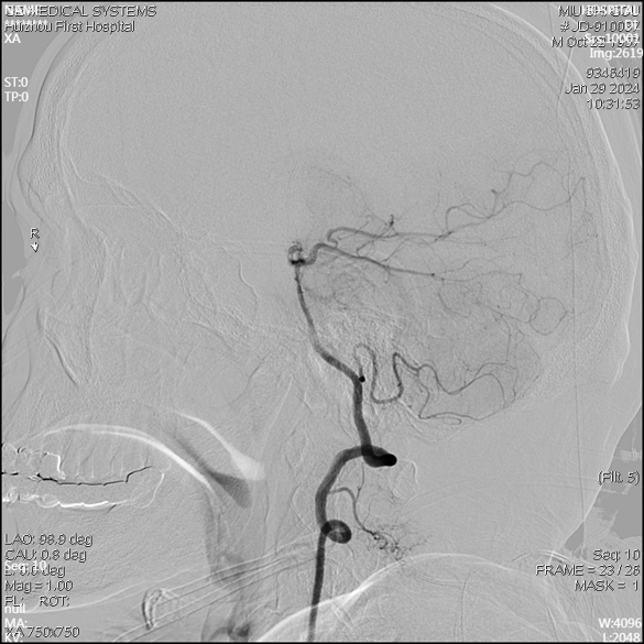
急诊DSA未见畸形血管。
术前查体:嗜睡,对答切题,双眼左侧偏盲。右侧肢体肌力5级,左侧上肢肌力1级,左下肢肌力3级。左侧肢体深浅感觉消失。NIHSS评分:13分(视野3,左上肢4,左下肢2,感觉2,语言1,忽视1)。GCS:14分。
术前诊断:1.脑出血2.高血压3.右侧大脑中动脉中度狭窄。
术前讨论:1、血肿量78ml,有明确手术指征,无手术禁忌;2、耳后马蹄瓣还是枕部入路?耳后马蹄瓣可以平卧位,体位摆放较容易,但是创伤大,清除部分血肿后皮质塌陷,容易血肿残留。枕部入路,需要公园长椅位,体位摆放时间长,依据长轴理念,神经内镜可以有效清除血肿,手术时间短,创伤小。
手术方案:
体位:公园长椅位
方式:枕部入路神经内镜脑内血肿清除
穿刺位置:枕骨粗隆上8.5cm,中线旁开3.5cm
切口:“S”型切口,避开枕动脉主干
穿刺深度:6.3cm
术前CT
血肿内疑似有血管畸形
急诊DSA(右侧颈内正位)
右侧颈外侧位
右侧椎动脉正位片
右侧椎动脉侧位片
度若飞模拟系统了解血肿长轴具体情况
度若飞模拟系统了解穿刺方向及深度
手术切口
骨窗
术中情况
手术时间2小时55分钟
术后CT
出院情况:患者神志清楚,GCS评分15分。
左侧鼻唇沟变浅,口角向右歪斜。构音欠清晰,伸舌居中。
左侧肌力4级,右侧肌力5级。四肢躯体深浅感觉正常。
NIHSS评分:3分(面瘫1,左上肢肌力1,左下肢肌力1)。




