2024年02月21日发布 | 741阅读
脊髓脊柱-脊髓脊柱肿瘤

胸1脊髓海绵状血管瘤显微手术治疗

岑波

长江航运总医院·武汉脑科医院

达人收藏、周刊收录2项荣誉

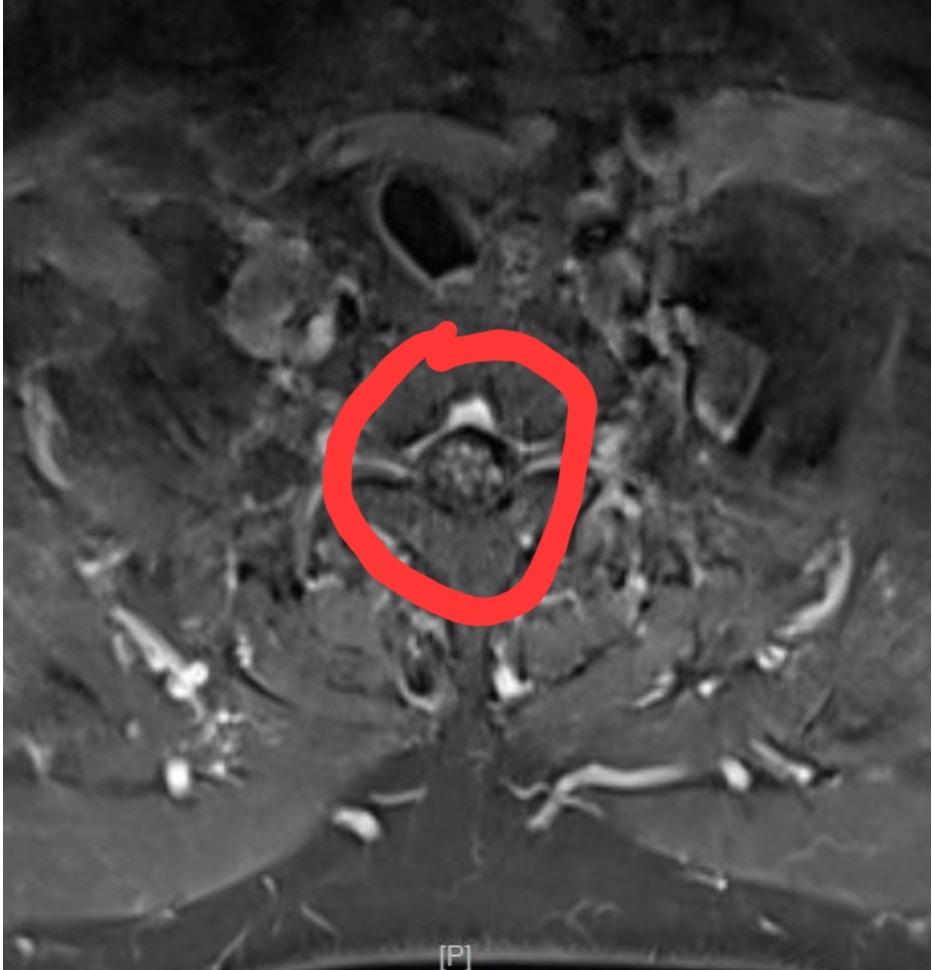
患者男性,65岁。右下肢无力一年,排小便障碍半年入院

入院核磁共振检查提示T1海绵状血管瘤

入院后完善术前检查,在电生理监测下行T1海绵状血管瘤切除术

手术视频剪辑

术后复查提示海绵状血管瘤全切

术后病理提示:血管瘤

术后患者右侧肢体无力加重,经康复治疗恢复到术前状态,目前可下床活动

最新评论
发表你的评论
发表你的评论
来自于专栏