男患,67岁,主诉:反复发作性头晕2年,加重1周。既往长期吸烟、饮酒史,否认高血压病、糖尿病病史。
入院后彩超提示:右侧颈内动脉起始部二维结构显示不清,远端局部呈湍流,峰值流速680cm/s,余血管未见明显异常。
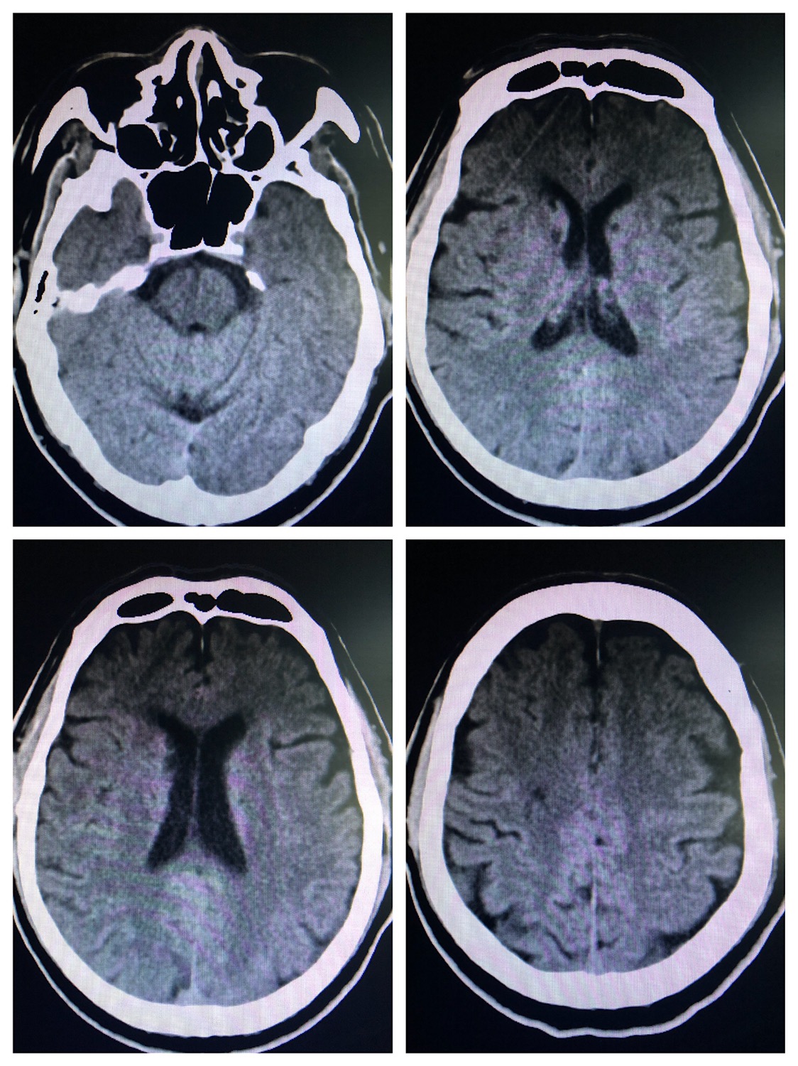
头CT示左侧小脑半球,右侧半卵圆中心及双侧基底节多发腔隙性脑梗死。
核磁示:右侧半卵圆中心新发腔隙性脑梗死,颅内多支血管狭窄,双侧胚胎型大脑后动脉。
诊断:
1、脑梗死(大动脉粥样硬化性,低灌注/栓子清除率下降)
2、右侧颈内动脉狭窄
治疗策略:
1、双联抗血小板,强化他汀治疗;
2、择期行脑血管造影,必要时行支架成形术。
DSA:右侧颈内动脉窦部以远线性狭窄,窦部可见粥样硬化斑块,局部溃疡斑形成,动态可见造影剂滞留,颅内血管显影差。
DSA:颅内血管显影差。
DSA:颅内血管显影差。
DSA:左侧颈内动脉起始部轻度狭窄。
DSA:左侧颈内动脉代偿右侧半球血供。
DSA:左侧颈内动脉代偿右侧半球血供。
明确诊断后,考虑患者存在缺血症状,造影提示颈内动脉线性狭窄,同时右侧颈内动脉窦部可见粥样硬化斑块伴溃疡,系患者的罪犯血管。同时因患者后循环血管发育不良,基底动脉纤细伴狭窄,后循环血供均由前循环胚胎型大脑后动脉供应。不积极干预,出现恶性卒中风险极大,因患者颈部较短,且病变部位偏高,建议患者行颈动脉支架成形术。
手术风险:
1、斑块脱落栓塞颅内血管;
2、术后高灌注损伤。
征得患者家属意见,签署手术同意书后,拟行局麻下远端保护伞保护下颈动脉支架成形术。
远端保护伞保护下,4/30球囊预扩后狭窄改善
WALLSTENT 9/40支架定位准确后释放
支架释放后狭窄解除
支架完全覆盖斑块,狭窄解除,支架形态柔顺贴合血管,无明显残余狭窄
术后颅内血供明显改善,胚胎型大脑后动脉显影良好。




