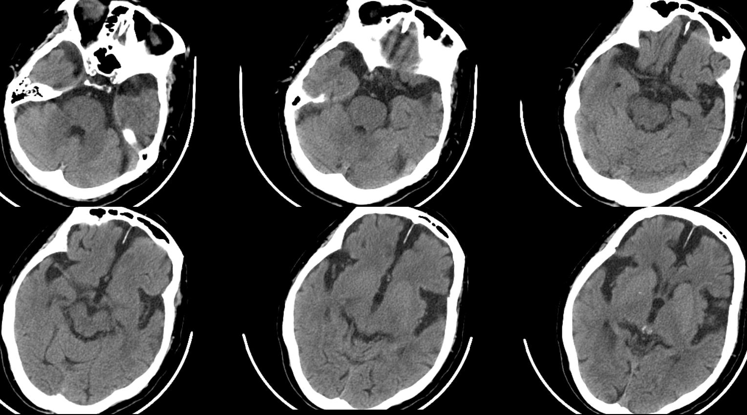
患者老年女性,83岁,中午午饭后休息时突发吐词不清伴右侧肢体乏力于晚上7电左右来院。发病后已7小时,超时间窗,故未予溶栓。既往有“高血压病”病史多年,血压控制情况不详。查体:神志嗜睡,GCS评分=E3V4M6=13分,右上肢肌力1-2级,右侧肌力1级,右侧巴氏征阳性。NHISS评分:嗜睡1、构音2、面瘫1、右侧上下肢4+4=12分;急诊头颅及颈部血管CTA :左侧大脑中动脉部分未见显影,其周围可见多发小血管影。急诊头颅平扫提示:双侧额、颞部硬膜下积液;脑白质疏松;脑萎缩。






评估后有手术指征,急诊行血管内治疗,术前评估患者考虑局部狭窄合并急性栓塞可能性大。
因患者已行头颈部血管CTA检查,成像质量满意,造影就直接使用弓内造影并观察头颈部血管情况。


直接造影显示左侧大脑中动脉闭塞。
材料:8F指引导管、6F-125中间导管、0.035导丝、Rebar-18微导管、Avigo微导丝、2.0-15颅内球囊扩张导管



球扩后发现血流缓慢,使用欣维宁观察10分钟后无明显好转,拟再次提高压力再次扩张。



此次球扩后原狭窄处完全打开,恢复3级血流。
术后行Dynact检查,未见出血,回监护室监护治疗,镇静镇痛并控制血压,持续欣维宁泵入。
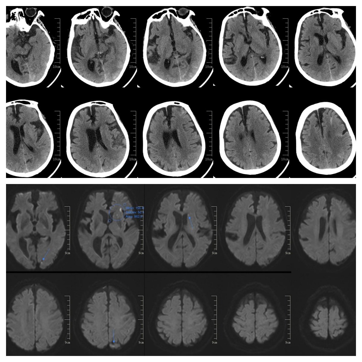
术后患者顺利苏醒麻醉,右侧肢体功能机语言功能明显改善,复查头颅CT,提示有少量蛛网膜下腔出血,磁共振提示左侧大脑半球多发腔隙性脑梗死。






患者术后蛛网膜下腔有少量出血,动态复查出血无明显增加,未见大面积梗死灶,予患者继续使用抗血小板药物治疗,目前处康复中。




