潍坊市人民医院神经外二科(脑血管病专业)团队顺利完成一例大脑中动脉闭塞脑血运重建手术。
65岁的老太太,原先有高血压病史,最近反复出现左侧上肢无力,到潍坊市人民医院神经外二科就诊,确诊为大脑中动脉闭塞引起的脑梗塞。宋仁兴教授组织全科讨论,确定治疗方案为脑血运重建术治疗脑梗塞。手术非常顺利,术后复查,脑血运重建满意。老太太上肢无力症状消失,老太太非常高兴。
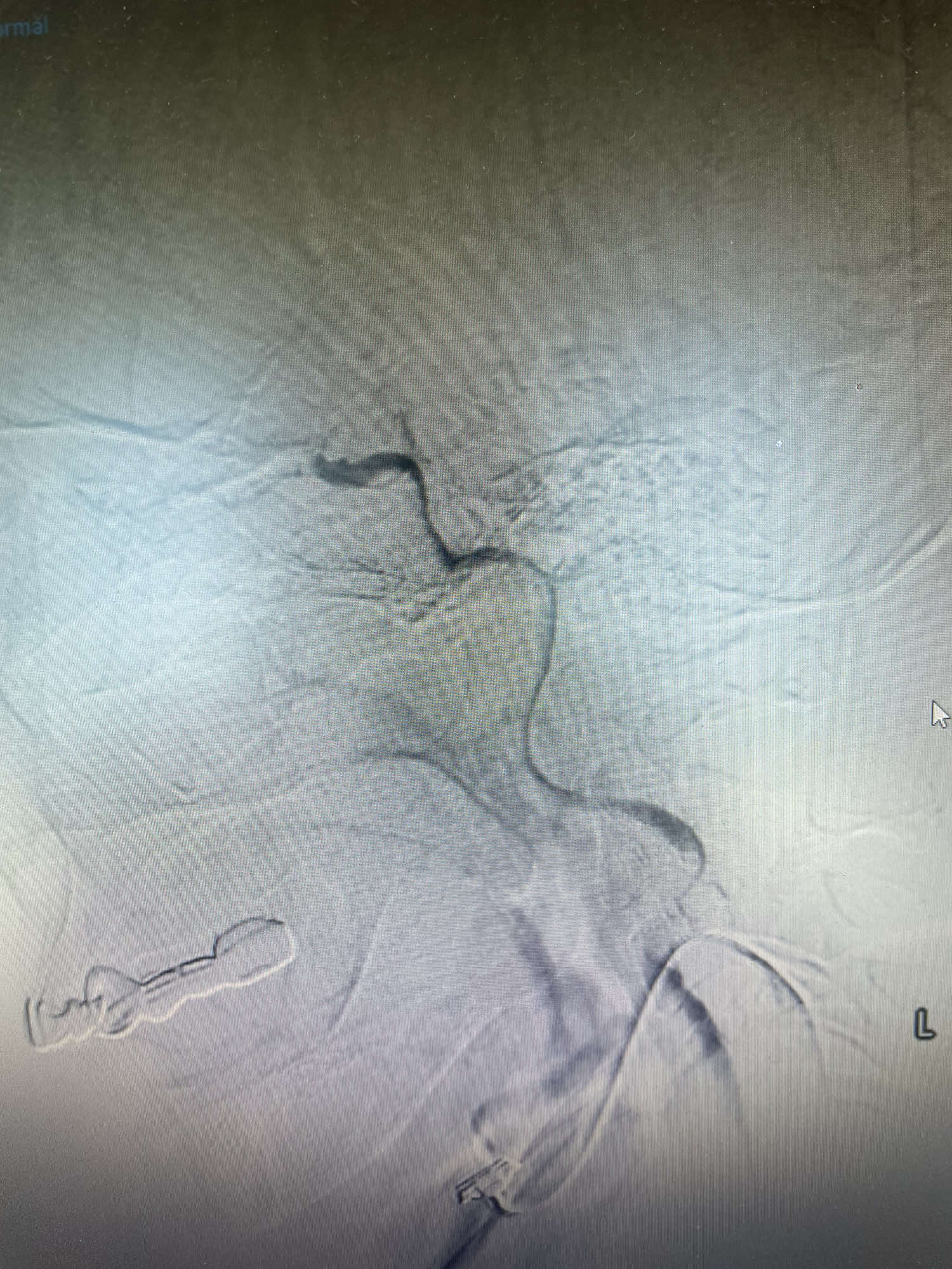
术前片子显示大脑中动脉闭塞
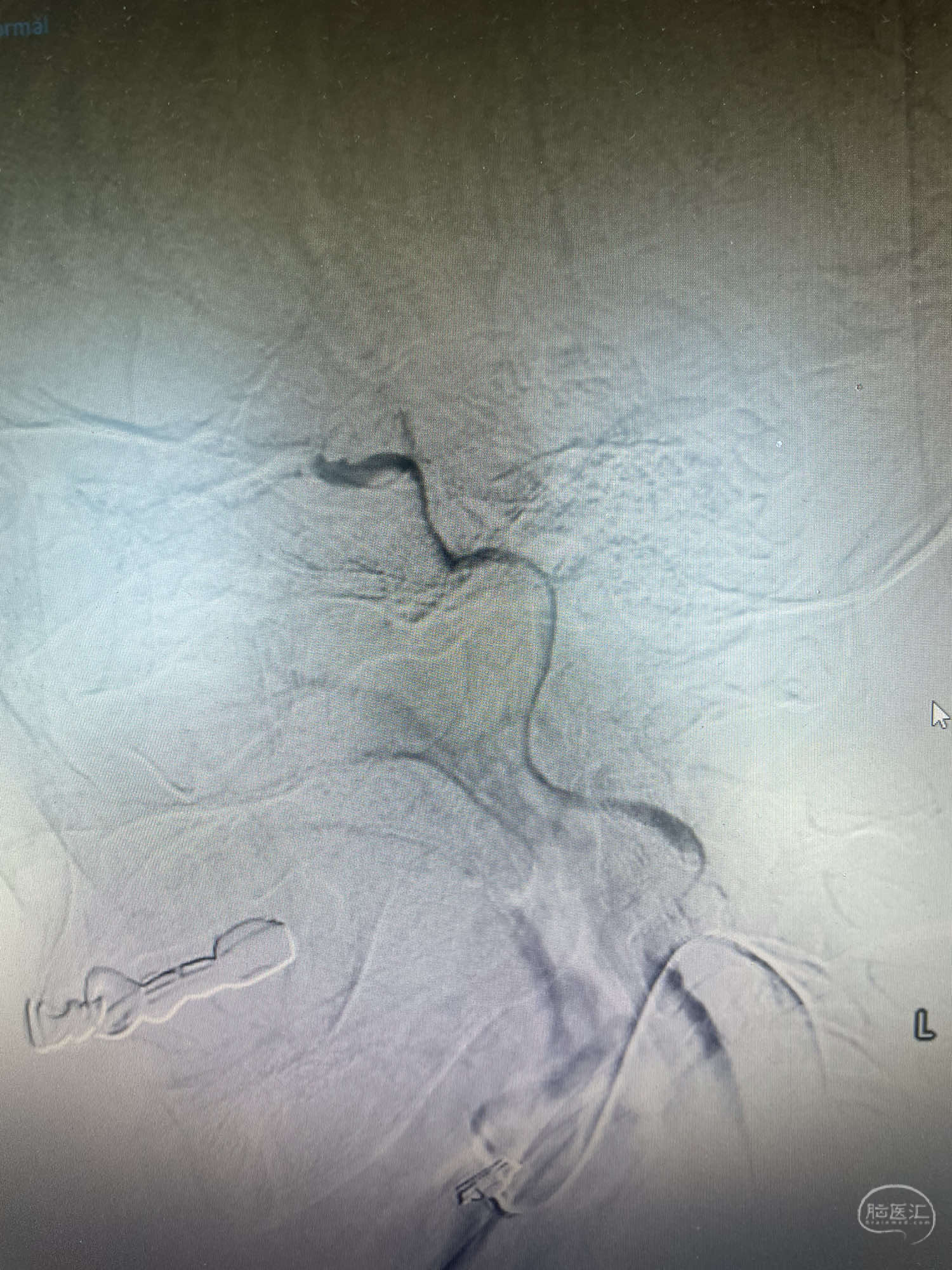
术后复查脑血运重建满意
“脑卒中”(cerebral stroke)又称“中风”“脑血管意外”(cerebralvascular accident,CVA),是一种急性脑血管疾病,是由于脑部血管突然破裂或因血管阻塞导致血液不能流入大脑而引起脑组织损伤的一组疾病,包括缺血性和出血性卒中。
近年来,我国心脑血管疾病一直呈上升趋势,已成为人民健康的“头号杀手”,并呈现“四高三低”的特点。四高:高患病率、高致残率、高死亡率和高复发率;三低:低知晓率,低治愈率和低控制率。
脑血运重建是一项最新的显微外科技术,目前已经广泛应用于脑血栓或脑栓塞、颈动脉狭窄或粥样斑块形成、烟雾病、卒中后遗症、血管性痴呆等疾病的治疗。这种类似于心脏血管“搭桥”的手术,也可以理解为“脑血管搭桥”。
通过介入方法植入脑动脉支架或取出血栓,恢复血流,这是一种血运重建方法,通过外科搭桥或者贴敷是第另外一种血运重建方法。
潍坊市人民医院神经外二科团队熟练开展脑血运重建术,给脑卒中患者带来了福音。
在医院领导的大力支持下,在前辈主任的带领下,潍坊市人民医院神经外科取得了飞速发展和长足进步。
近年来,潍坊市人民医院神经外二科在科主任宋仁兴教授的带领下,持续提高医疗技术水平,提高学科建设水平,提高患者救治成功率和就医满意度,努力推动学科整体水平。




