【李小勇脑脊液专业治疗过程和结果】
患者男,75岁,山西省晋城市人。
一、李小勇脑脊专业入院前病史
患者于2012年(65岁),无明显诱因出现走路时小腿变沉重,轻微步幅缩小,没有特殊处理。
5年后即2017年(70岁),病情加重致走路小碎步,速度控制不住,行走大约500米后感觉小腿很沉重,无法继续行走,休息后缓解,还伴有腰骶部疼痛伴腰股沟区放射性痛,就诊于当地的第1家的山西省晋城某医院,查腰椎MRI示老年性改变(片子丢失),认为是腰椎疾病,进行保守治疗后症状有些好转。
2018年11月份(71岁),因仍走路小碎步,小腿感沉重,腰骶部疼痛,第2次到第1家医院进行了椎间孔镜切除部分压迫神经的黄韧带,术后腰疼减轻,但走路症状未改善。
2019年4月(72岁),症状明显加重,站立不稳,跌倒倾向,且伴有易暴怒,言语表达也变差。
2020年6月(73岁),进行了体外反博治疗后但仍无效;2020年7月至9月份3个月期间内输注4次间充质干细胞,仍无效果;期间还口服艾地苯醍,美多芭,但病情仍无好转。
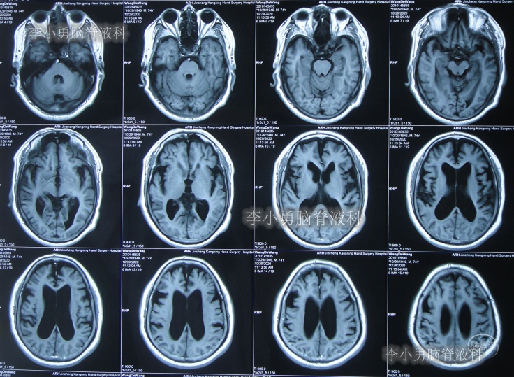
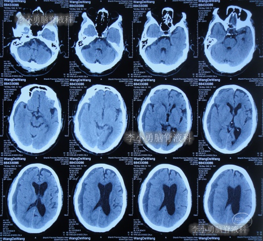
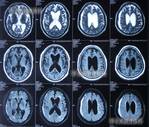
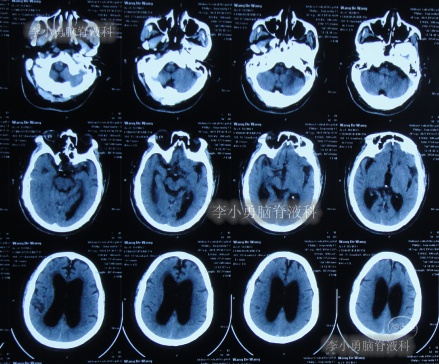
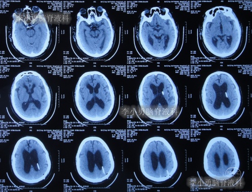
2020年10月29日(发病已8年),因症状一直没有得到改善且呈进行性加重趋势,查头部核磁示脑积水(图-1)。

图-1:2020年10月29日头部核磁
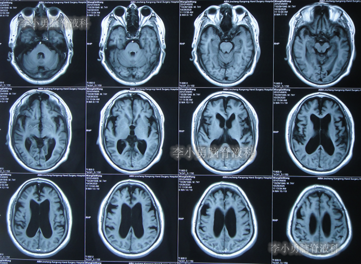
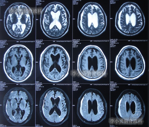
发现脑积水后8天即2020年11月6日,就诊于第2家的上海的某三甲医院,入院后再次检查(图-2)后诊断为正常压力脑积水。

图-2:2020年11月11日头部核磁
给予间断腰穿抽取脑脊液10天左右,走路得到改善。2020年11月19日(第2家医院住院13天),转至第3家的河南郑州市某三甲医院,但康复治疗一段时间后走路再次变差(小碎步,小腿感觉沉重)。
2021年2月25日(74岁,发现脑积水119天),转至第4家的山西省太原市某三甲医院,进行了腰大池腹腔分流术,调压110。
腰大池腹腔分流术后1周左右走路步态明显改善,下肢感觉轻松,随后出院。
但腰大池腹腔分流术后2周即2021年3月11日(腰大池腹腔分流术后14天),下肢又有轻微沉重感,出现体位性头晕头痛、间断游走性腹痛,复查头部CT比较无明显变化(片子丢失),调压为160,遵嘱间断按压储液囊后3天有好转,期间因腹胀灌肠一次。
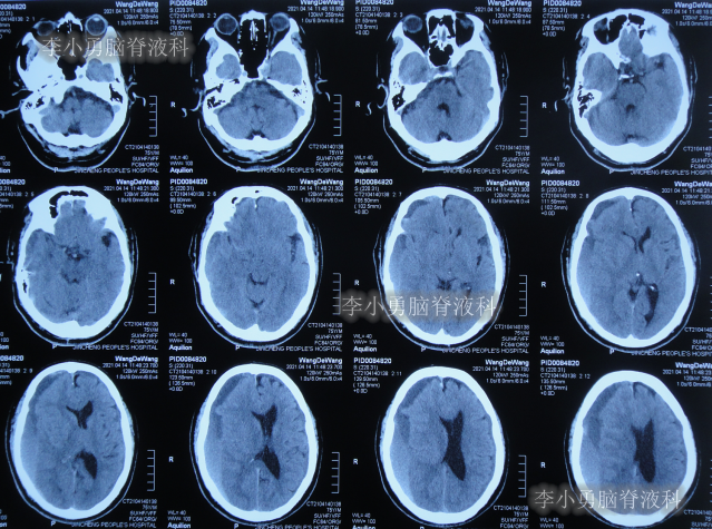
2021年4月14日(腰大池腹腔分流术后17天),头痛腿沉再次加重,复查头部CT示硬膜下血肿(图-3)。

图-3:2021年4月14日头部CT
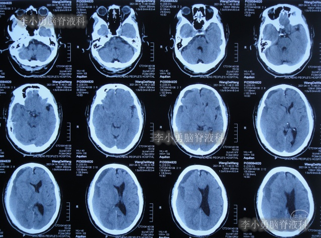
2021年4月16日(腰大池腹腔分流术后19天),因意识变差,查头部CT(图-4)后,急诊进行了硬膜下血肿引流术,并升高分流泵的压力200。

图-4:2021年4月16日头部CT
2021年4月17日(腰大池腹腔分流术后20天,硬膜下血肿引流术第1天),查头部CT示引流术后状态,仍有血肿(图-5)。

图-5:2021年4月17日头部CT
2021年4月19日(腰大池腹腔分流术后22天,硬膜下血肿引流术第3天),期间体位性头晕头痛、间断游走性腹痛也缓解,查头部CT示硬膜下血肿减少(图-6);给予拔除脑室外引流管。

图-6:2021年4月19日头部CT
拔除引流管后8天时间内,间断有右侧额颞部站立时疼痛,分别于2021年4月24日和2021年4月27日,查头部CT示硬膜下血肿增多(图-7、图-8),平卧位继续观察。

图-7:2021年4月24日头部CT

图-8:2021年4月27日头部CT
因站立时头痛,该院医生建议再次做引流术。
2021年4月30日(腰大池腹腔分流术后33天,即拔除硬膜下血肿引流管11天),因坐立时仍头痛,转至第5家山西省另一所省级三甲医院,查头部CT(图-9)后建议继续平卧位。

图-9:2021年4月30日头部CT
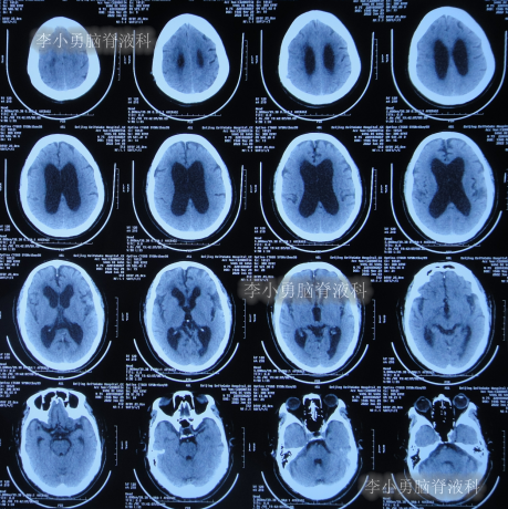
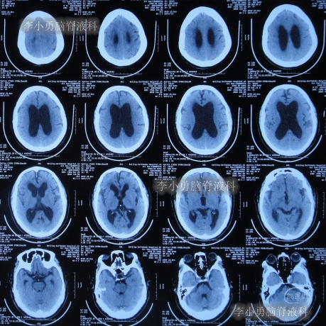
2021年5月5日(腰大池腹腔分流术后38天,即拔除硬膜下血肿引流管16天),查头部核磁和腰椎核磁(图-10、图-11)后认为可能是颅内感染或和堵管。

图-10:2021年5月5日头部核磁

图-11:2021年5月5日腰椎核磁
2021年5月8日(腰大池腹腔分流术后41天,即拔除硬膜下血肿引流管19天)),拔除了腰大池分流管。
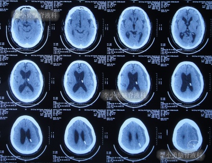
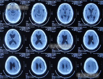
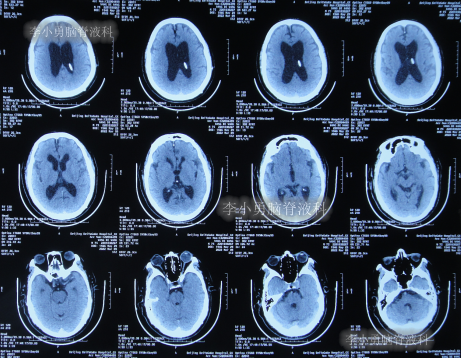
术后4天即2021年5月12日,虽能下地行走但腿软,查头部CT(图-12)后“仍有脑积水”。

图-12:2021年5月12日头部CT
第4家医院住院2周后即2021年5月15日出院,出院时:仍走路不稳,腰疼。
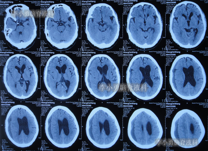
出院后再次转住入当地的第1家医院进行康复治疗,在该院康复治疗半年多的时间,不但没有持续好转,反而再次腰疼,走路不稳,且还出现了尿失禁的持续加重症状;治疗期间曾6次查头部影像(图-13、图-14、图-15、图-16、图-17)均示脑积水不断加重的趋势。

图-13:2021年5月22日头部核磁

图-14:2021年6月2日头部核磁

图-15:2021年7月24日头部核磁

图-16:2021年8月28日头部核磁

图-17:2021年9月28日头部CT
期间多次再咨询之前给予治疗过的三甲医院医生,医生们均告知家属没有希望了,但家属不愿放弃,经一位医生好心的介绍,联系上了李小勇医生本人,家属救父心切多次晚上联系李小勇主任进行咨询,李小勇主任耐心的回复家属各种问题(图-18)。

图-18:2021年12月25日
经过多次联系沟通后,家属最终决定转住入北京的李小勇脑脊液专业。
二、李小勇脑脊液专业治疗过程和结果
2022年1月3日(走路小碎步、小腿无力进行性加重10年,检查发现脑积水2年余:腰大池分流术和硬膜下血肿引流术后,仍脑积水颅内感染,且小便失禁),入院时:被搀扶着走路小碎步,腰疼,躺下后坐起时成“不倒翁”状态,家属扶起后自己坐不住,躺着转身很吃力,小便失禁近半年(图-19);入院时头部CT示脑积水(图-20)。

图-19:2022年1月3日入院时

图-20:2022年1月3日头部CT
入院后第2天即2022年1月5日,进行了脑室外引流术,术后当天查头部CT示脑室引流术后状态(图-21)。

图-21:2022年1月5日头部CT
术后第2天即2022年1月6日,患者自觉腰部疼痛有减轻,其腰部力量增加,躺着能做“臀桥”的动作(图-22),头部CT示较入院时缩小(图-23)。

图-22:2022年1月6日

图-23:2022年1月6日头部CT
入院治疗9天即2022年1月12日,引流出但黄色稍浑浊脑脊液(图-24),头部CT示有少量硬膜下血肿(图-25)。

图-24:2022年1月12日

图-25:2022年1月12日头部CT
入院治疗21天即2022年1月24日,变得能自己翻身了(图-26),头部CT示脑室进一步缩小,但硬膜下血肿有增多(图-27)。

图-26:2022年1月24日

图-27:2022年1月24日头部CT
入院治疗23天即2022年1月26日,进行了硬膜下血肿引流术。
入院治疗24天即2022年1月27日,引流出血红色脑脊液(图-28),查头部CT示硬膜下血肿明显减少(图-29)。

图-28:2022年1月27日

图-29:2022年1月27日头部CT
入院治疗33天即2022年2月5日,引流出的脑脊液变完全清亮,查头部CT示硬膜下血肿基本消失(图-30)。

图-30:2022年2月5日头部CT
入院治疗36天即2022年2月8日,查头部CT示硬膜下血肿完全消失(图-31),拔除了硬膜下引流管。

图-31:2022年2月8日头部CT
入院治疗43天即2022年2月15日,躺着转身明显变快,下肢变得有劲(图-32)。

图-32:2022年2月15日
入院治疗62天即2022年3月6日,身体进一步好转:躺下能自己起来了稍有些吃力(图-33)。

图-33:2022年3月6日
入院治疗65天即2022年3月9日,进行了脑室腹腔分流术(图-34)。

图-34:2022年3月9日头部CT
入院治疗67天即2022年3月11日,变得能自己起身、上下床,能自己走路但速度慢(图-35)。

图-35:2022年3月11日
入院治疗87天即2022年3月31日出院,出院时:变得能自己起身、上下床,能自己走路;腰疼完全消失,小便完全正常;出院时头部CT示无异常(图-36、图-37)。

图-36:2022年3月31日

图-37:2022年3月31日头部CT
三、出院后随访
出院后2个月即2022年5月,走路变基本正常,生活已基本自理(图-38)。

图-38:2022年5月
出院后3个月即2022年6月,身体基本正常,时常自己出去遛弯散步逛公园(图-39)。

图-39:2022年6月
出院后1年半即2023年10月,家属发来视频:身体一直挺好的,享受健康的老年生活(图-40)。

图-40:2023年10月
〔本典型病例所涉及的图片和视频均经患者本人或家属同意,如有异议,请联系该内容发布方〕

*********专家简介***********
10.神经内科型脑膜炎(化脑/结脑/真菌/病脑)及其脑积水或顽固高颅压并发症。
交流咨询(中华脑脊液科医生群):13651375487(微信同号)