病史:中年女性,主因“突发头痛头晕伴意识不清2.5小时余”入院,既往高血压病史;
查体:T:36.0℃ P:84次/分R: 17次/分BP:198/80mmHg 昏迷,刺激不睁眼,无发声,四肢强直,GCS4分,双侧瞳孔直径左:右=3:3mm,光反射消失,可及水平眼震,额纹对称,颈软,肢体刺激强直,肌张力减低,腱反射(++),双巴氏征(+)。
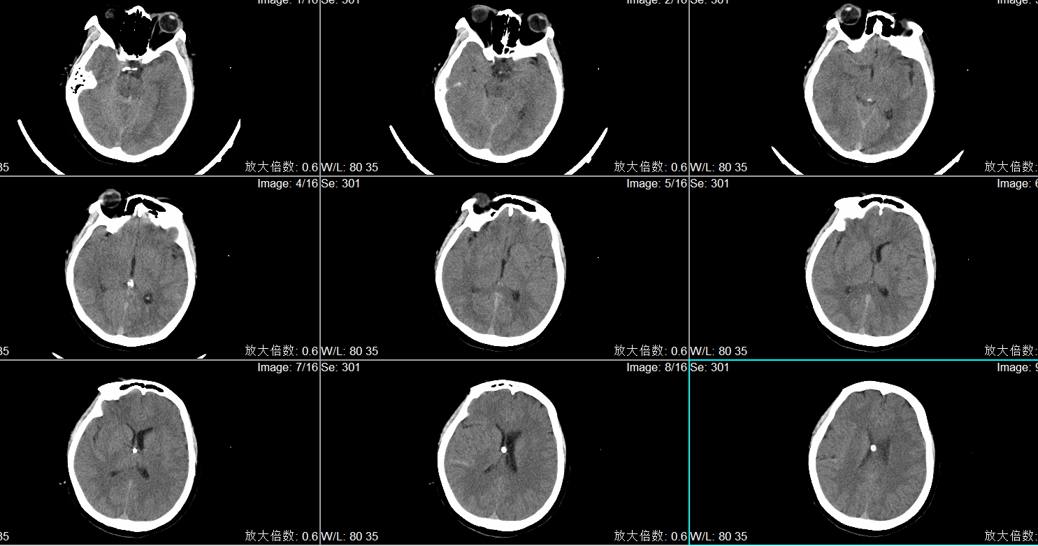
入院头CT显示小脑蚓部出血破入第四脑室、第三脑室及第四脑室。
入院诊断为:1.小脑蚓部出血 2.高血压病3级(极高危)3.吸入性肺炎。
手术入路:后正中入路血肿清除术。
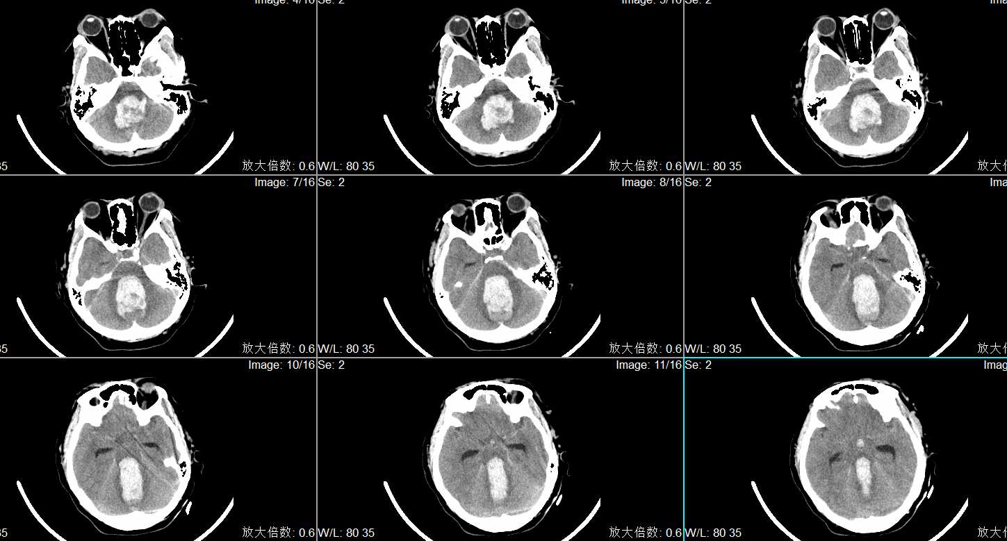
术前头CT
术前头CT
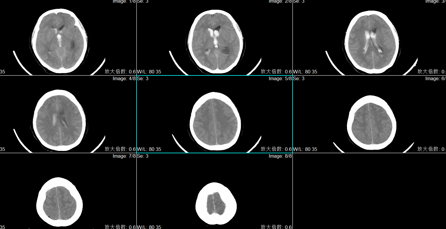
术后头CT
术后头CT




