首页
资讯
会议
病例
云课堂
全景手术
学术资源
投审稿
文章专栏
指南共识
精选编译
科室主页
评分工具
文献速览
招聘培训
藏书阁
话题圈子
临床招募
手术复盘
器械百科
产业对接
AI问答
亚专业
医药器械
更多
关于我们
搜索历史
清空
热门搜索
发布
平台广播
0
今日早读
0
赞和收藏
0
评论
0
新增粉丝
0
品牌消息
0
邀请回答
0
周刊
0
登录
EN
评论
点赞
4
分享至
微信扫码分享
2024年01月05日发布 | 394阅读
脑肿瘤-垂体瘤
其他-自定义
神经内镜经鼻扩大入路切除复发垂体神经内分泌肿瘤
郭文龙
广东省人民医院
19
发布
199
粉丝
0
获赞
个人主页
关注
郭文龙
广东省人民医院
关注
达人收藏
达人收藏
蒋忠华等2位达人已收藏
以下达人已收藏
查看更多
你的浏览器不支持video标签.
手术:神经内镜下经鼻扩大入路
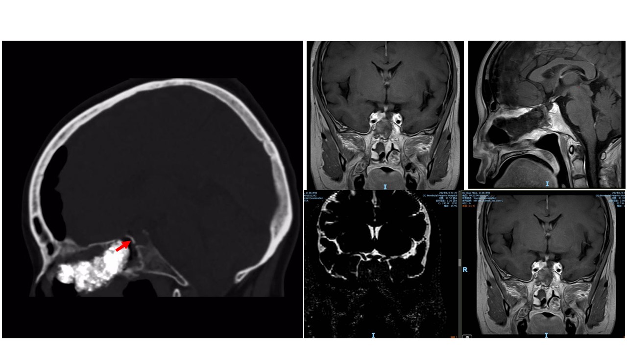
术后复查CT和磁共振
你的浏览器不支持video标签.
术后一周拔出纱条时检查情况
术后病理和患者情况,无脑脊液漏,面容逐步恢复正常
分享至:
微信扫码分享
评论
点赞
4
最新评论
登录
发表你的评论
登录
发表你的评论
关键词搜索
神经内镜
磁共振
脑脊液漏
CT
脑医汇
App