Pu xiangying
女,61
主诉:反复头晕,发现脑血管狭窄8月
现病史:患者2023年3月来反复发作性头晕,多与活动有关,当地医院就诊考虑脑缺血可能。患者长期口服阿司匹林抗血小板、瑞舒伐他汀降脂稳定斑块治疗,症状无改善;2023-06至安徽省立医院就诊,2023-06-26查头颅CTA提示右侧大脑中动脉M1段动脉瘤,双侧颈内动脉虹吸段管壁钙化斑块,管腔无明显狭窄,双侧大脑中动脉M1段管腔狭窄;头颅MRI提示:颅内多发腔隙性脑梗死,脑白质脱髓鞘,部分空泡蝶鞍,附见副鼻窦炎。后患者于2023-10-20至安徽省立医院随诊,2023-10-23头颅MRI提示:脑缺血性改变;心电图提示频发房性早搏;2023-10-25头颈部CTA提示:右侧大脑中动脉M1段动脉圆锥,主动脉弓混合斑块,双侧颈内动脉虹吸部钙化斑块,双侧大脑中动脉M1段硬化性狭窄,多灶性脑梗塞,老年脑改变;遂请颅脑创伤及神经重症医学科会诊,考虑大脑中动脉瘤较前增大,建议手术干预。现患者头晕较前缓解,为求进一步治疗颅内血管病变至我科就诊,收治入院。
患者自本次发病以来,精神可,胃纳可,睡眠可,大便如常,小便如常,体力轻度下降,体重未见明显下降。
既往史:一般健康状况良好。否认肝炎史。否认结核史。否认疟疾史。有脑血管病史:2023-06发现右侧可疑大脑中动脉瘤,多发脑血管狭窄。否认精神病史。有高血压史1年,服用氨氯地平降压,血压控制可。有心脏病史:房颤可能。否认糖尿病史。有手术史:2018年患者行阑尾切除及胆总管结石胆囊切除术。 否认外伤史。 否认输血史。否认食物、药物过敏史。否认预防接种史。
个人史:出生于亳州市,久居亳州市,否认疫区接触史。无化学性物质、放射性物质、毒物质接触史。有吸烟史,10年,6支/日。偶有饮酒史。
查体:神清,精神可,对答切题,口齿清,双侧瞳孔等大等圆,对光反射灵敏,眼球活动无殊。四肢肌张力、肌力可。双侧Babinski's征(-)。
辅助检查:
2023-06-26 安徽省立医院 头颅CTA:右侧大脑中动脉M1段动脉瘤,双侧颈内动脉虹吸段管壁钙化斑块,管腔无明显狭窄,双侧大脑中动脉M1段管腔狭窄;
2023-06-22 安徽省立医院 头颅MRI:颅内多发腔隙性脑梗死,脑白质脱髓鞘,部分空泡蝶鞍,附见副鼻窦炎。
2023-10-23 安徽省立医院 头颅MRI:脑缺血性改变;
2023-10-24 安徽省立医院 心电图:频发房性早搏;
2023-10-25 安徽省立医院 头颈部CTA:右侧大脑中动脉M1段动脉圆锥,主动脉弓混合斑块,双侧颈内动脉虹吸部钙化斑块,双侧大脑中动脉M1段硬化性狭窄,多灶性脑梗塞,老年脑改变;
诊断:
1.右侧大脑中动脉瘤(?)
2.脑动脉狭窄
3.脑梗死
4.高血压2级(很高危)
5.心房颤动(?)
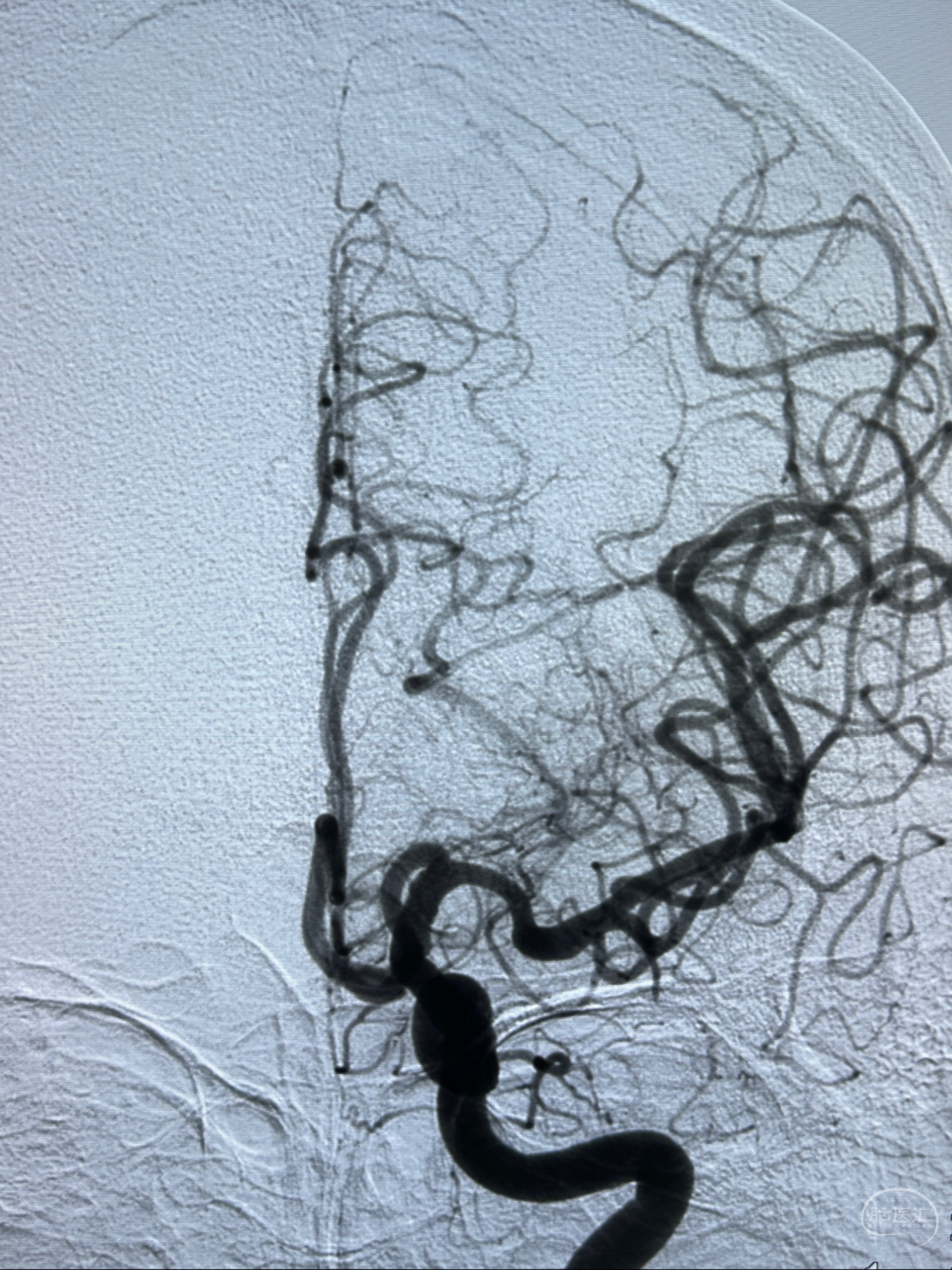
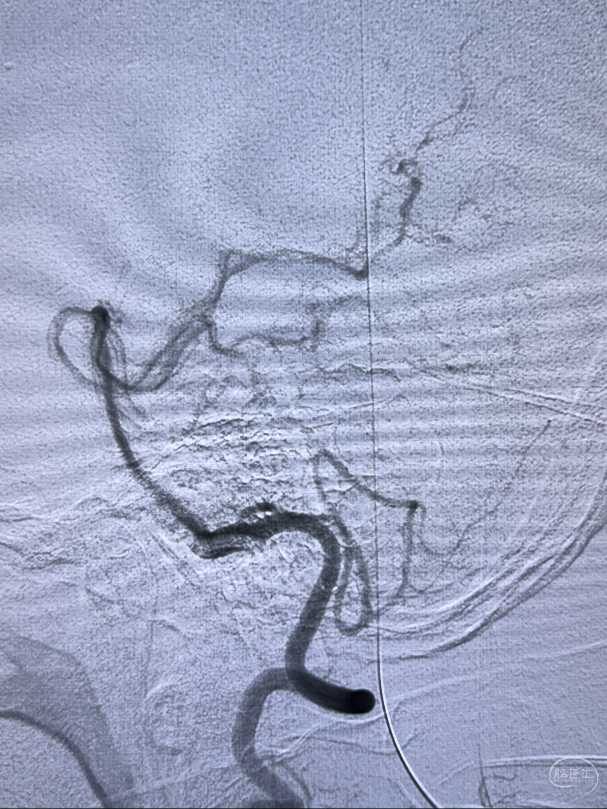
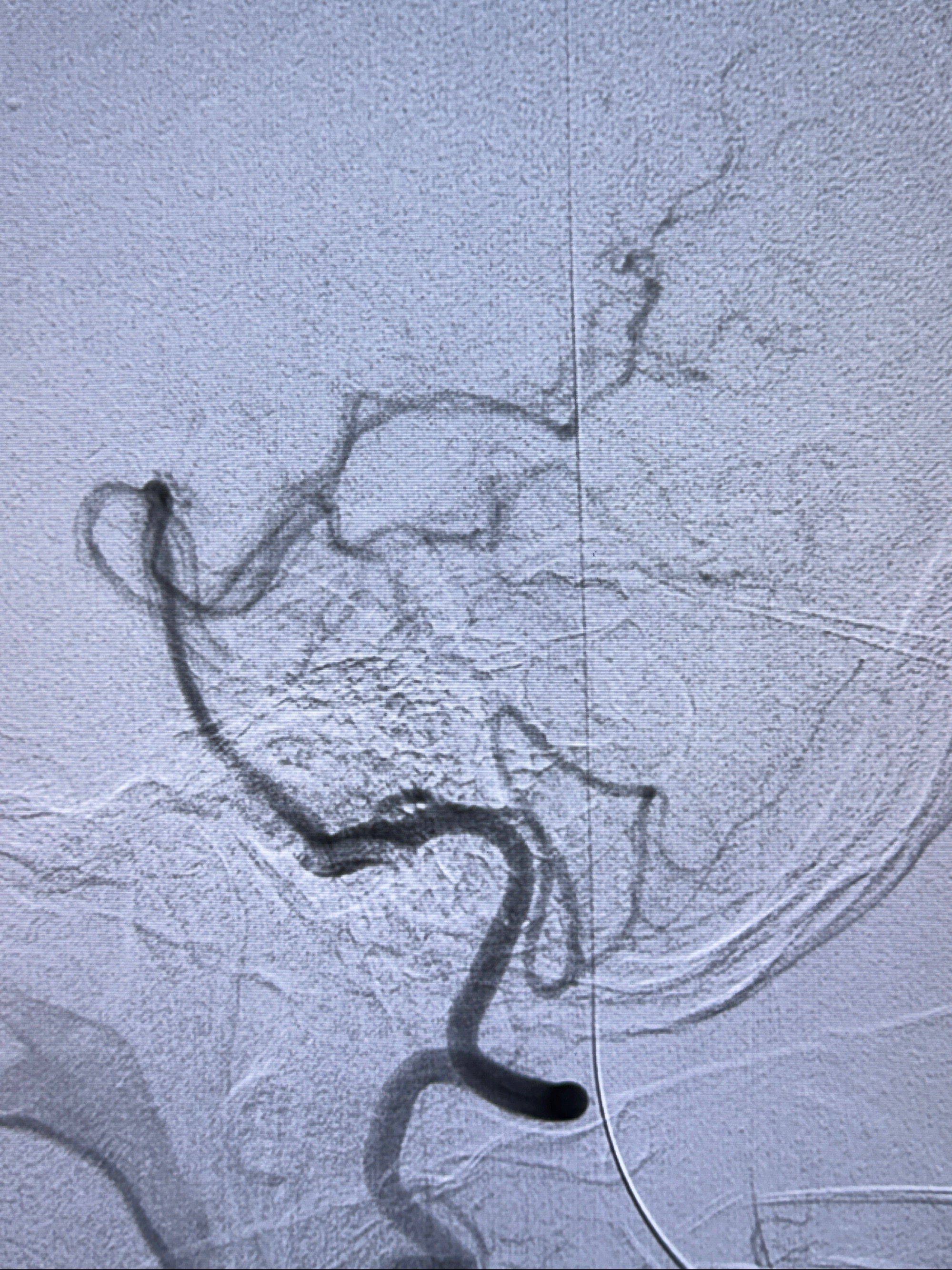
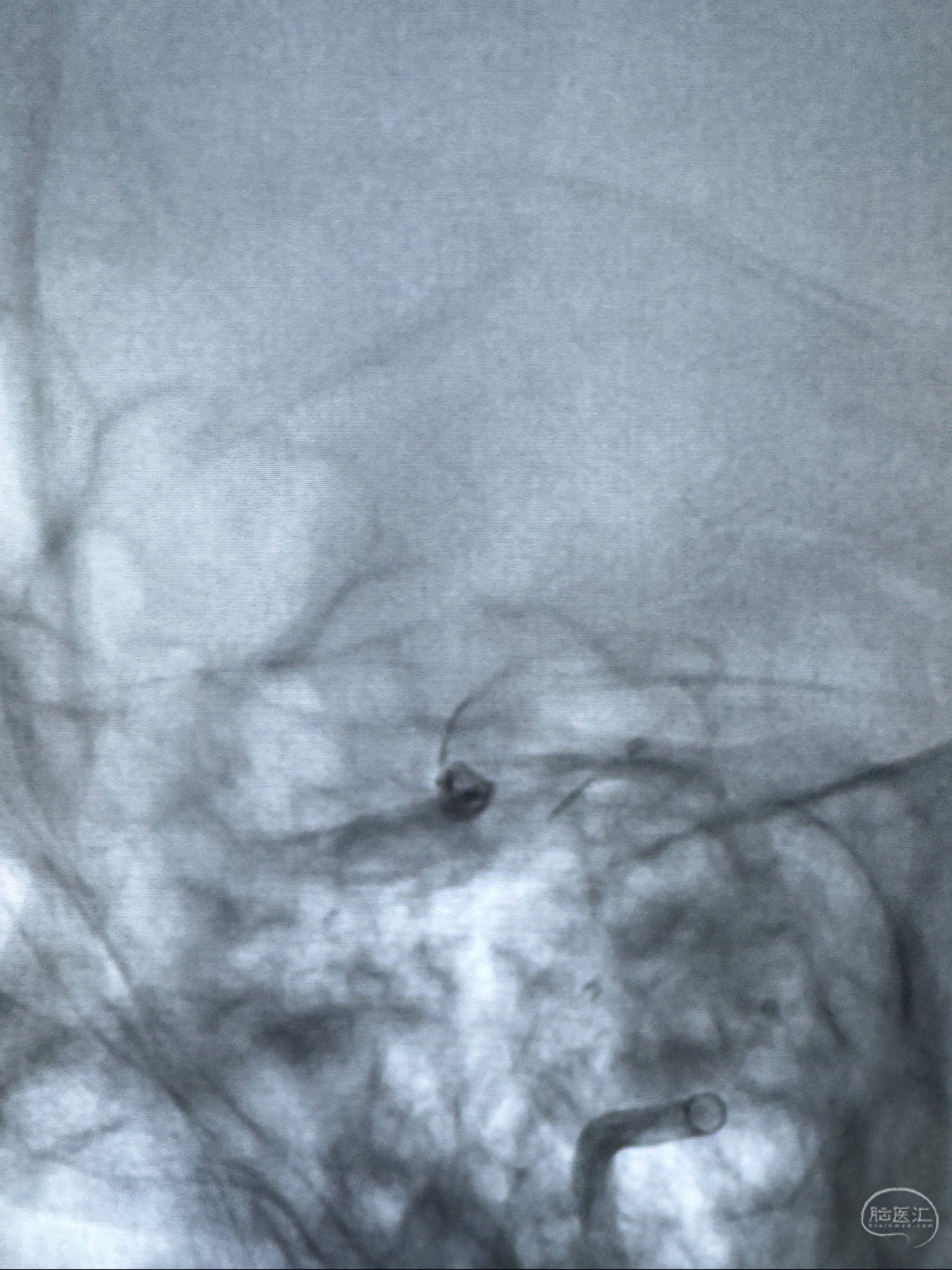
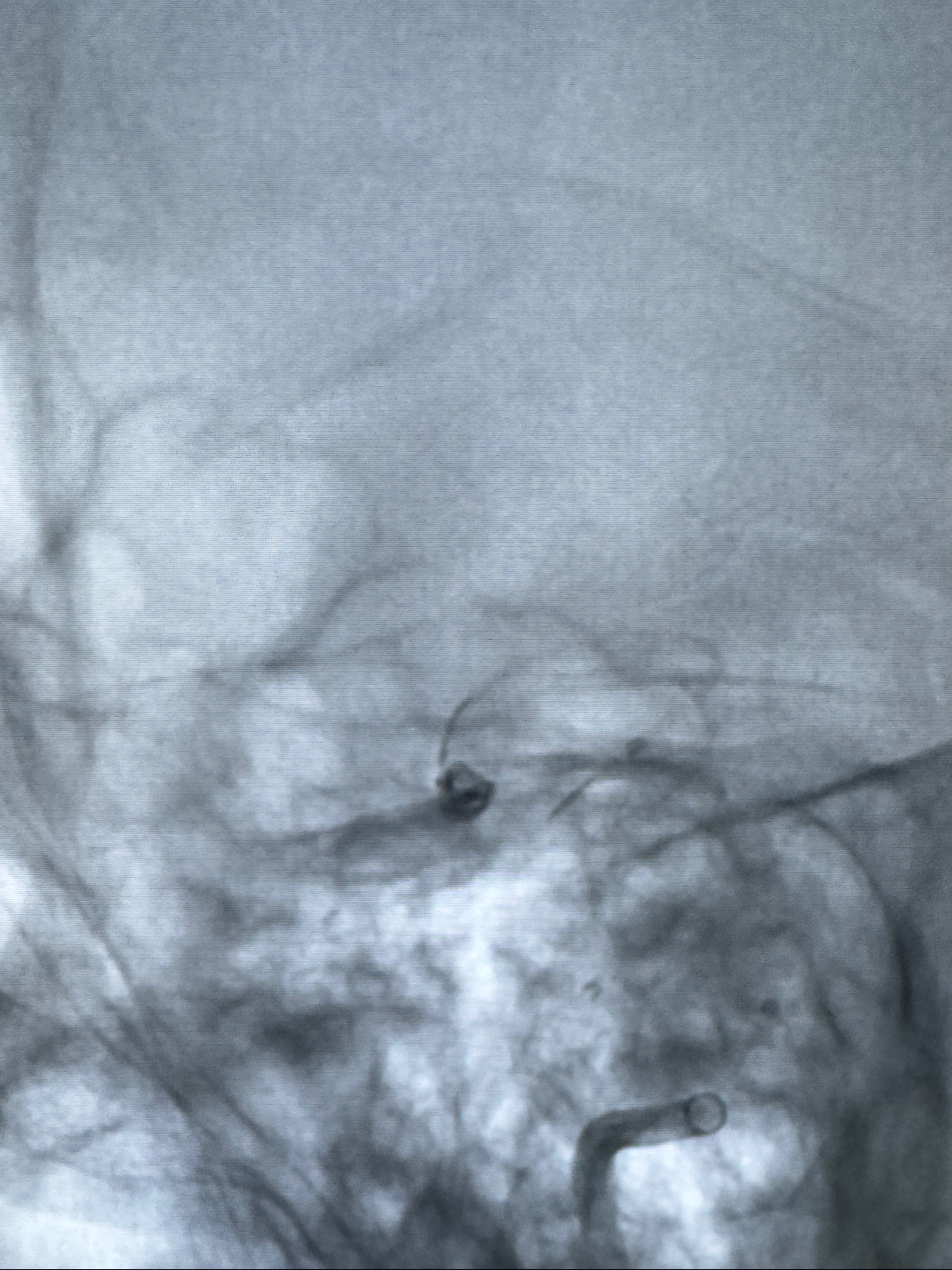
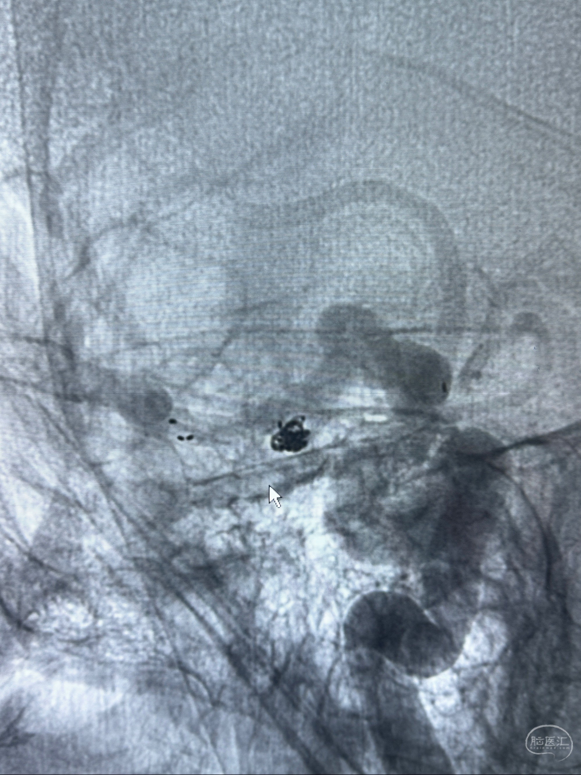
2023-11-24DSA:右侧大脑中动脉下干起始部动脉瘤,约2.3*2.5mm,形态规则















治疗策略:
- 随访?
- 夹闭?
- 单弹簧圈填塞?
- 支架辅助治疗?
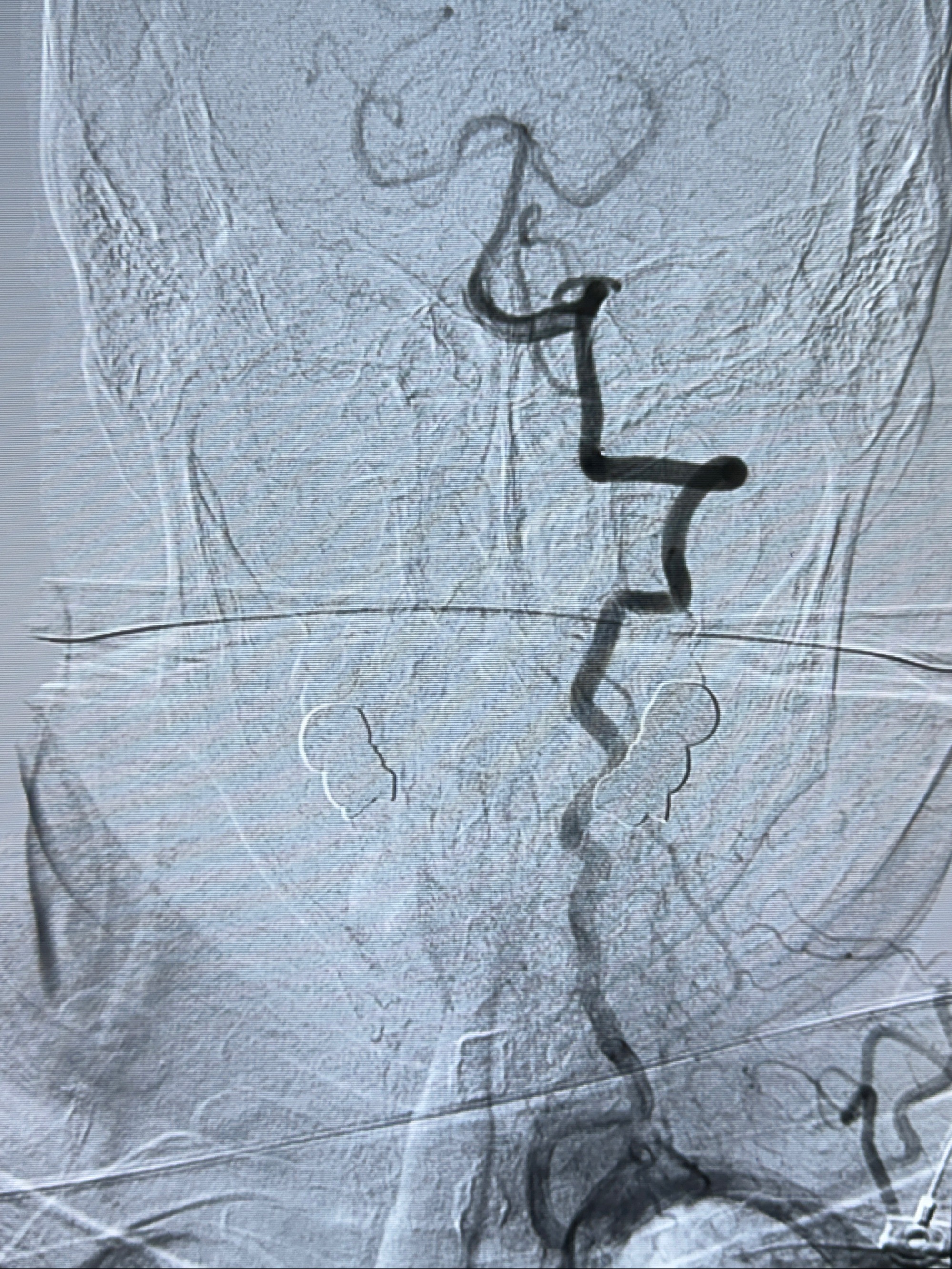
2023-12-04全麻下行支架辅助治疗
S-AB4-20mm



















麻醉苏醒佳,遵嘱动作
术后即刻CT