Zhu sunyan
女,31
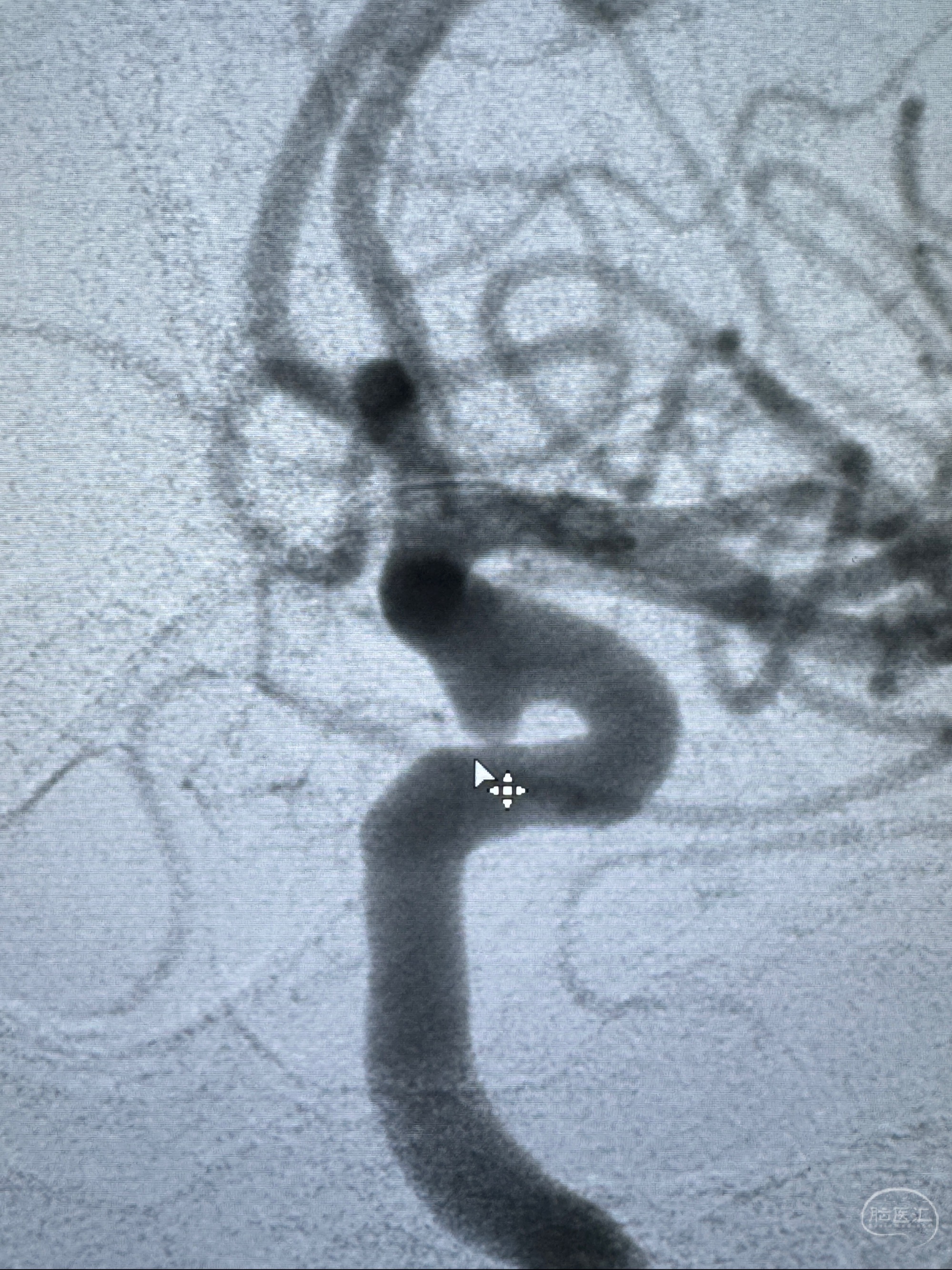
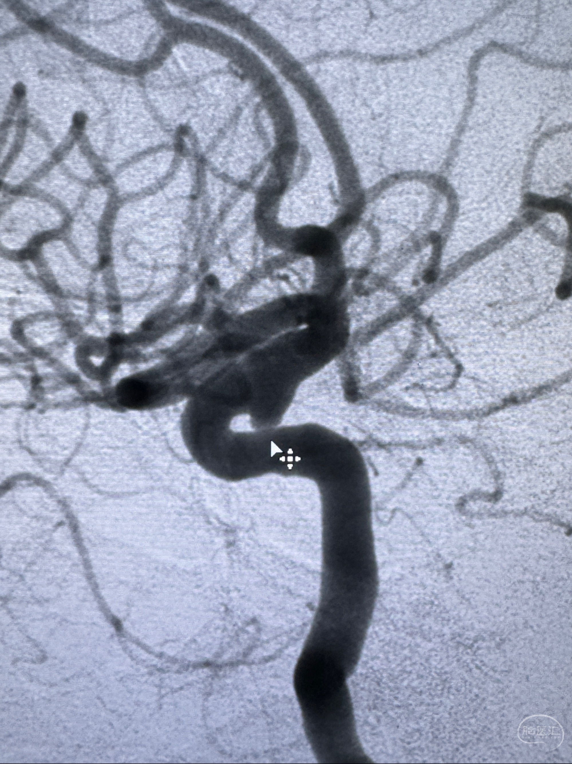
主诉:右侧偏头痛3月,发现左侧颈内动脉眼段动脉瘤5天
现病史:患者诉近4年来时有头痛发作,服用都梁软胶囊、氟桂利嗪对症治疗一月后症状改善,后头痛较少发作。近3月来患者头痛发作频率明显增加,约一月一次,为右侧偏头痛,胀痛,伴恶心呕吐,呕吐后症状可略减轻;遂于2023-11-01至蓝十字脑科医院就诊,查头颅MRI+DWI+MRA提示:左侧枕叶皮层下小斑片缺血或变性灶,右侧大脑前动脉A1段毛糙,显影淡、纤细,建议完善CTA;并于2023-11-03查头颅CTA提示:左侧颈内动脉C6段微小动脉瘤可能(约2mm),右侧大脑前动脉A1段纤细(对侧优势),左侧大脑中动脉提前分叉。现患者无明显不适,为求进一步诊疗颅内血管病变至我科就诊,收治入院。
患者自本次发病以来,精神可,胃纳可,睡眠可,大便如常,小便如常,体力轻度下降,体重未见明显下降。
既往史:一般健康状况良好。否认肝炎史。否认结核史。否认疟疾史。否认脑血管病史。否认精神病史。否认高血压史。否认心脏病史。否认糖尿病史。否认手术史。 否认外伤史。 否认输血史。否认食物、药物过敏史。否认预防接种史。
个人史:出生于安庆市,久居安庆市,否认疫区接触史。无化学性物质、放射性物质、毒物质接触史。无吸烟史。无饮酒史。
查体:T:36.6 ℃,P:75次/分,R:18次/min Bp:97 /63mmHg,神清,精神可,对答切题,口齿清,双侧瞳孔等大等圆,对光反射灵敏,眼球活动无殊。四肢肌张力、肌力可。双侧Babinski's征(-)。
检查:
2023-11-01 蓝十字脑科医院 头颅MRI+DWI+MRA:左侧枕叶皮层下小斑片缺血或变性灶,右侧大脑前动脉A1段毛糙,显影淡、纤细,建议完善CTA;
2023-11-03 蓝十字脑科医院 头颅CTA:左侧颈内动脉C6段微小动脉瘤可能(约2mm),右侧大脑前动脉A1段纤细(对侧优势),左侧大脑中动脉提前分叉。
诊断:
1.左侧颈内动脉瘤
2.右侧偏头痛















治疗策略:
- 随访?
- 支架辅助治疗?