病例
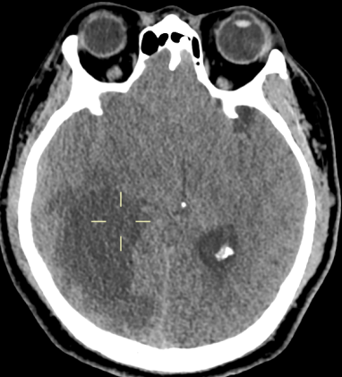
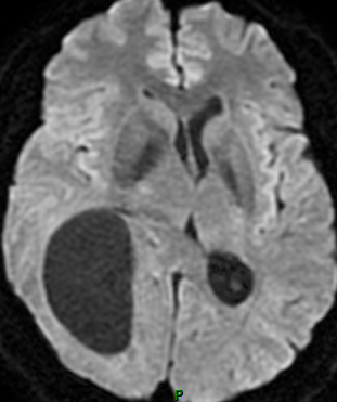
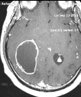
患者中年男性,因“颈部发紧、活动受限伴头晕近半月”入院。PE:NS(-)。头颅MRI平扫+增强检查示右颞枕叶椭圆形囊性肿物,边界清楚,信号均匀,病变周围可见片状水肿,中线结构略向左偏;增强扫描囊壁不规则环状强化(图1)。















治疗
全麻,俯卧位,头钉固定,常规开颅。术中见囊性肿瘤,囊壁灰红色,厚薄不均,与脑组织边界欠清;囊液黄色。沿瘤脑界面游离肿瘤,最终全切除肿瘤。术后病理为脑神经上皮性肿瘤,局部间质可见少许黏液样物聚积及嗜酸性颗粒样物,未见明确核分裂象;免疫组化结果显示:GFAP(2+),Olig2(2+),P16(部分核+),SOX10(2+),BRAF-V600E(-),ChrA(-),EGFR(-),EMA(-),IDH1(-),MGMT(1+),NeuN(-),NF(-),NSE(-),P53(30%+),S-100(2+),Syno(2+),Vimentin(2+),Ki-67(3%+),病理诊断为毛细胞星形细胞瘤(CNS WHO 1级)。
讨论
毛细胞星形细胞瘤(毛星)是儿童最常见的小脑肿瘤,最新WHO病理分型为1级,约占儿童胶质瘤的30%。毛星属良性肿瘤,极易发生囊性变,彻底切除有望治愈。
发生于幕上半球的成年毛星十分罕见。综合文献,成人毛星有如下特点:多以头痛为首发症状,或是偶然发现。MRI常见囊实性病变,囊壁强化或结节状强化,其强化程度是由肿瘤本身特有的有孔型毛细血管决定的,强化不表示血脑屏障破坏及其恶性程度。治疗首选全切除肿瘤,如果术后早期磁共振显示肿瘤残留,只要可能,建议再次手术全切除肿瘤。放疗能够降低肿瘤复发率。5年、10年生存率为95%和85%。





