301医院神经外科 卜博
一, 概述
三叉神经鞘瘤可起源于三叉神经的任何一个节段,随着肿瘤不断生长增大表现各种症状,主要表现为感觉障碍和肌肉萎缩,继续生长压迫其他神经会出现相应的症状。被覆颅中窝底海绵窦外侧壁的硬膜分为2层,内层为骨膜层,外层朝向脑组织为脑膜层。较厚的外侧壁的外层剥离后,留下较薄的内层,其包绕外侧壁的神经。正常情况下外侧壁与覆盖Meckel腔的硬膜相融合。Meckel腔是一个位于岩尖部的硬膜间隙,为外科医生通过硬膜外到达肿瘤提供了天然的通道,该腔沿三叉神经后跟向前走行,直至三叉神经节的中部,向后在岩尖-后床突皱襞以及蝶岩韧带的下方与颅后窝的蛛网膜下腔沟通。因此,硬膜外入路手术完成后,都会进入硬膜下腔,也要注意防止脑脊液漏。
手术采用经颧弓-额颞硬膜外入路。手术体位:病人仰卧位患侧肩部垫高,头偏转向健侧45º并过伸,使患侧颧弓处于最高点。术前均行腰穿置管持续引流脑脊液。另外,我们进行了术中外展神经和动眼神经电诱发肌电图的监测,以助术中辨认外展和动眼神经。同时,术中行Doppler超声监测,以帮助确认海绵窦段和破裂孔处的颈内动脉。
具体手术操作步骤:取耳前1cm,颧弓下缘1cm起始的额颞切口,内侧跨过中线位于发际内,切断颧弓长约2.5-3cm,额颞开颅时颞2/3,额1/3。如果肿瘤突入眶内,则行一半一半入路。颞骨磨至与中颅窝底相平,显微镜下磨除蝶骨嵴至眶上裂硬膜外侧缘与眶骨膜结合处,磨除前床突。如果肿瘤突入眶内,则需要开放视神经管和眶顶。在眶上裂外侧处锐性切开眶脑膜皱襞,将海绵窦的外侧壁外层与内层分离,将中颅窝底硬膜剥离。在棘孔处电灼并切断脑膜中动脉,显露三叉神经的眼支、上颌支、下颌支,钝性剥离,继续抬起外侧壁外层,显露半月节和三叉神经根,直到岩尖和岩骨嵴。显露肿瘤后,根据具体情况,在一、二支(前外侧三角)或二、三支之间(外侧三角),顺着神经纤维走行的方向切开肿瘤包膜。先在中颅窝底三叉神经分支之间行肿瘤囊内切除, 随着瘤体缩小后, 再将肿瘤包膜与海绵窦壁及神经分离,分块全切肿瘤。如肿瘤向幕下生长,在切除海绵窦部分肿瘤后,可沿着肿瘤在岩尖部向后生长的通道进一步行囊内切除,在分离肿瘤与后颅窝血管、神经、及脑干的粘连,将后颅窝肿瘤切除。肿瘤进入眶内部分, 需打开眶外侧壁。进入颞下窝的部分需扩大磨开圆孔或卵圆孔。肿瘤切除后, 取颞肌填塞瘤腔。我们建议取腹部皮下脂肪填塞肿瘤腔,因为其在CT上为低密度,在核磁上为高信号,可以和术前的肿瘤明显区别开来。在肿瘤破坏中颅窝底骨质并与蝶窦或者筛窦相通时尤其要注意,以防出现脑脊液漏。
二,临床经验小结:
该入路的适应症:
硬膜外入路处理三叉神经鞘瘤,适于中颅窝型、中颅窝-颞下窝型、中颅窝-眼眶沟通型、中后颅窝哑铃型(中颅窝大于后颅窝)。
优点:
基本不进入硬膜下,对脑组织影像较小;结构清晰;有利于保护血管;切除彻底。
手术要点:
1,术前腰穿置管引流,降低颅压;
2,耳前弧形切口,下缘到颧弓下1厘米(勿超过耳垂);
3,皮瓣翻向眶部,注意保护面神经的颞支(颞深筋膜浅层);
4,锯断颧弓;宽度足够;
5,颞线下1厘米切断颞肌,翻向颊部;
6,额颞骨瓣;颞部下到中颅窝底,额部到前颅底;
7,磨除蝶骨嵴直到眶上裂,继续向后内磨除前床突;根据需要开放视神经管;
8,扩大圆孔、卵圆孔,切断脑膜中动脉,填塞棘孔;通常圆孔卵圆孔已明显扩大甚至融合为一个骨孔,形成中颅底骨缺损;
9,锐性剪开眶上裂外侧壁的硬膜皱襞,剥离海绵窦外侧壁的外层;
10,从各个三角切除肿瘤;
11,注意保护颅神经和颈内动脉。
个人体会:
1.术前腰穿或者术中于侧裂远端切一1厘米的小口释放脑脊液;
2.切口:前后方向,减少神经损伤的几率;
3.出血可用小块的surgicel或明胶海绵填塞压迫即可;
4.可疑的条索状物注意辨认,勿轻率切断,可给电刺激以排除神经;
5.颈内动脉的位置可以发生变异,尤其是肿瘤推移的情况下,白色圆润光滑,可用Doppler进一步确认。
6.多个部位均可进入窦内,注意封闭瘘口;建议脂肪团填塞。
7.尽量保护残留的正常神经纤维,尤其是三叉神经眼支,以防出现术后角膜溃疡。
病例展示
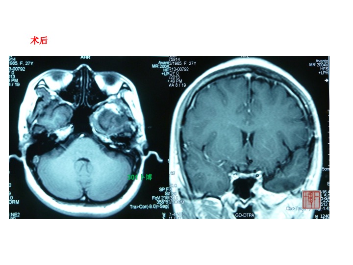
病例1,女性,49岁。主因头痛右侧面部麻木3个月入院。查体:右侧面部痛温觉减退,右侧咬肌轻度萎缩。CT提示中颅窝底骨质吸收破坏。MRI示中颅窝底鞍旁长T1长T2占位,可明显强化。部分肿瘤突入颞下窝。术后强化MRI提示肿瘤切除理想。
病例2,女性,26岁。主因头痛左侧面部麻木半年个月入院。查体:左侧面部痛温觉减退,左侧咀嚼肌肌轻度萎缩。MRI示左侧中颅窝底鞍旁颞下窝长T1长T2占位,可明显强化。大部分肿瘤位于颞下窝。术后强化MRI提示肿瘤切除理想,同时可见患者颞肌萎缩。
病例3,女性,45岁。主因头痛左侧面部麻木、脸部消瘦2个月入院。查体:左侧面部痛温觉减退,左侧咬肌轻度萎缩。CT提示中颅窝底骨质吸收破坏。MRI示中颅窝底鞍旁长T1长T2占位,可明显强化。无脑膜尾征。肿瘤主体部分(3/4)突入颞下窝。术后强化MRI提示肿瘤切除理想。





























