2023年12月08日发布 | 654阅读
脊髓脊柱-退行性病变

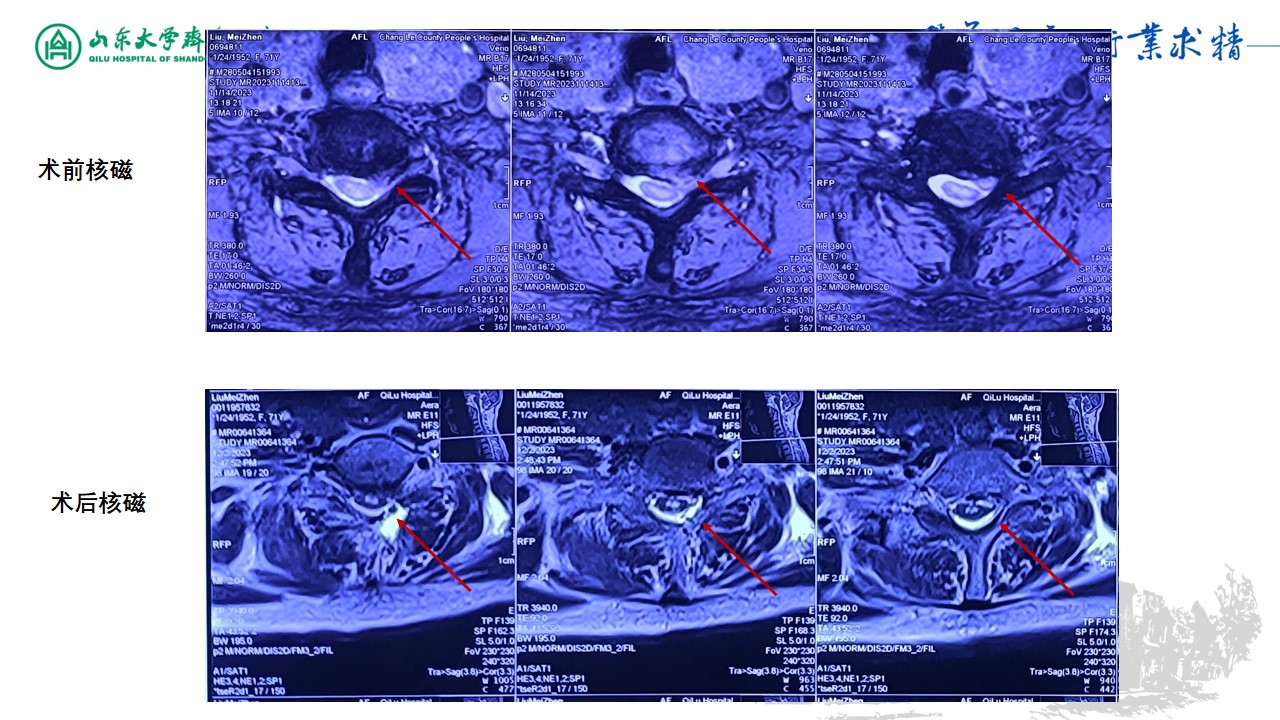
脊柱内镜下颈椎后路椎间孔减压髓核摘除术1例-山东大学齐鲁医院神经外科脊柱脊髓团队

姜政

山东大学齐鲁医院

达人收藏


01-显露关节突关节及关节面

02-显露V点


03-磨出部分椎板骨质显露并去除黄韧带

04-牵拉神经根显露髓核


05-取出第一块髓核

06-取出第二块髓核


07-再次探查无髓核残留


08-减压充分

最新评论
发表你的评论
发表你的评论

新手学习

2270内容1828阅读

进圈子
所属话题
关键词搜索