基本信息:男性,22岁。
主诉:因“反复发作性头晕1周”入院。
病史:患者无明显诱因,最近1周经常头晕,反复发作。就诊于当地医院,完善头胸部CT检查提示:未见明显出血及梗塞,予以对症支持治疗。期间进一步完善头颅CTA检查,提示:基底动脉中下段动脉瘤,现休息后症状仍明显,头晕未改善,后进一步就诊我科门诊,以“基底动脉动脉瘤”收治。病程中,神志清楚,饮食睡眠一般,二便自解,无发热,近期体重无明显变化。
入院时查体:T 36.6℃,P 92次/分,R 19次/分,Bp 126/94mmHg。步入病房,查体合作,神志清楚,GCS 15分,双侧瞳孔直径约2.0mm,光反应灵敏,颈无抵抗,呼吸平稳,双肺呼吸音粗,可及干湿性啰音,心律齐,各瓣膜无明显杂音,腹平软,无压痛,四肢肌力正常,肌张力不高,生理反射存在,病理反射未引出。
辅助检查:头颅CTA(外院)检查提示:椎基底动脉多发动脉瘤。
术前影像
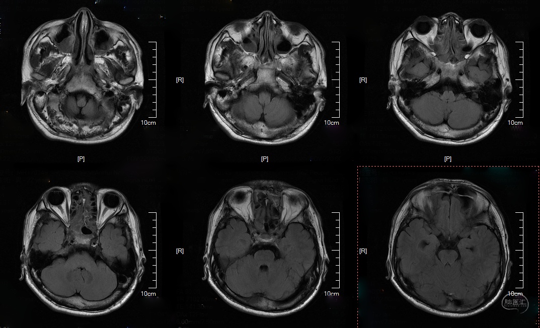
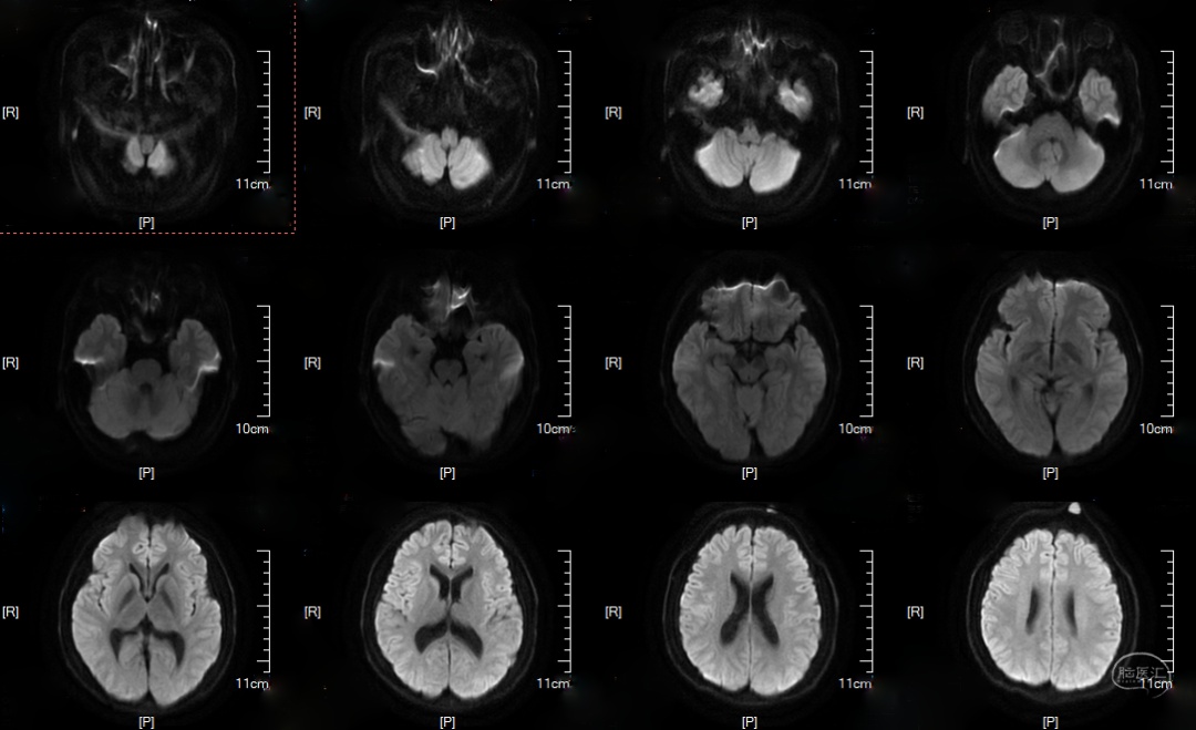
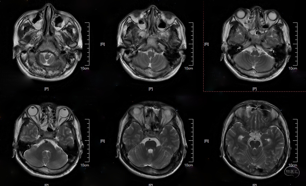
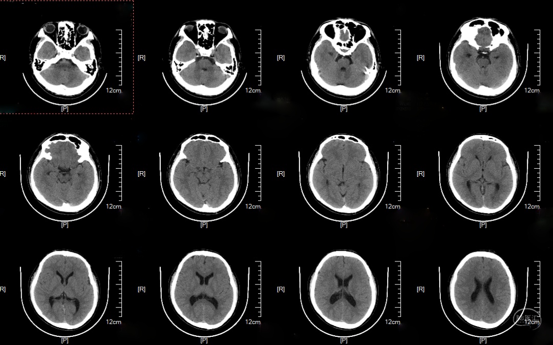
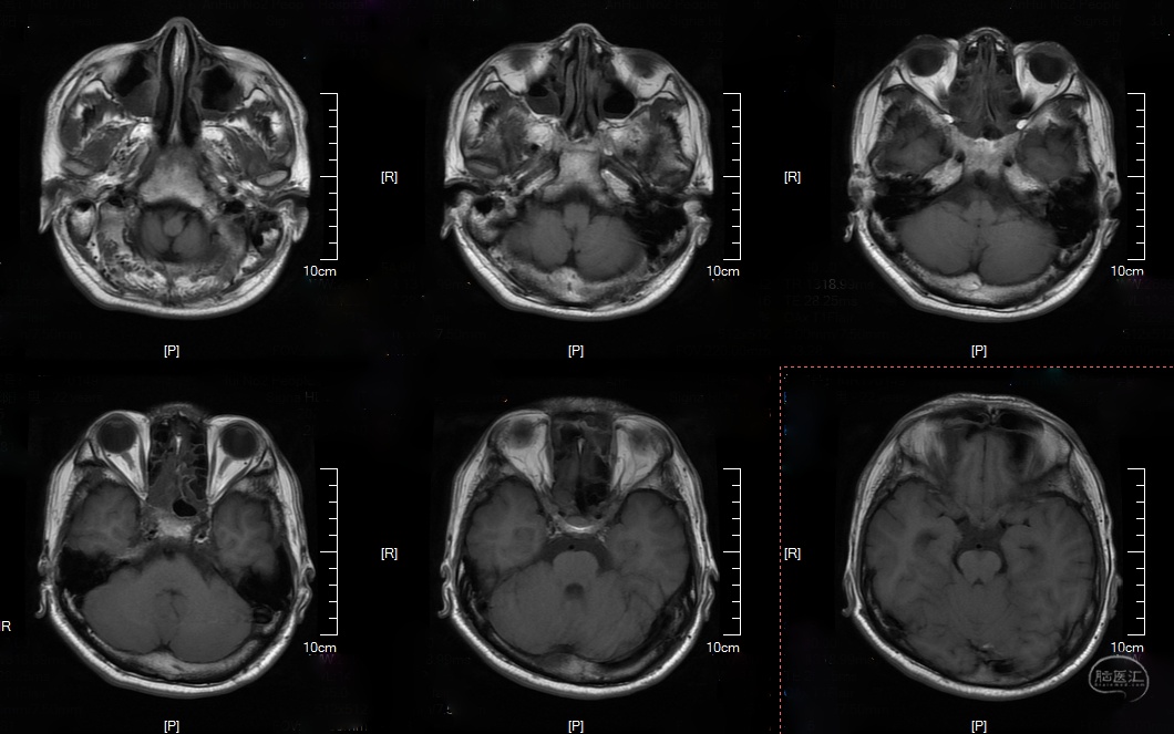
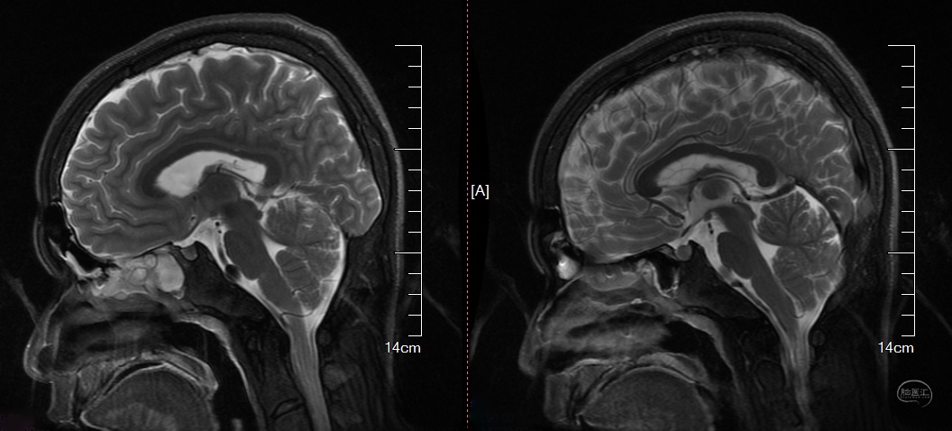
头颅CT及MRI:
DWI:
T2:
T1:
T2 flair:
T2:
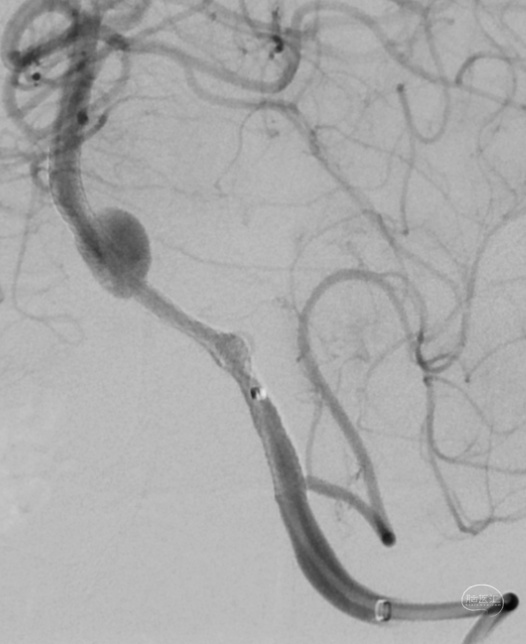
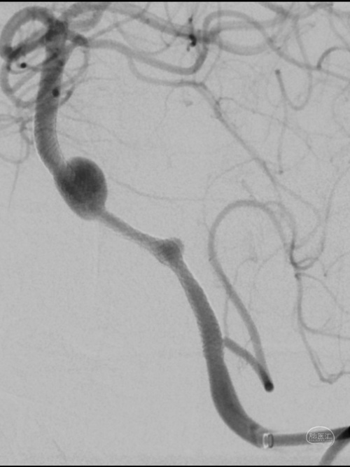
DSA:
3D重建显示基底动脉下部、双椎结合部、左椎多发夹层动脉瘤:
治疗方案:
双抗5天后行左侧椎动脉多发夹层动脉瘤Pipeline™ Flex 血流导向密网支架植入术。
术中耗材:8F 长鞘
6F Navien™ 颅内支撑导管
Phenom™ 27 微导管
0.014'' 200cm 微导丝
Pipeline™ Flex 血流导向密网支架 PED-325-35
手术过程:
股动脉入路,置入8F长鞘,6F 115cm Navien™ 颅内支撑导管超选至左侧椎动脉V4段。
将Phenom™ 27微导管超选进入左侧大脑后动脉内,释放一枚3.25×35mm Pipeline™ Flex血流导向密网支架,远端定位在动脉瘤以远7mm,在动脉瘤处推密,近端定位在PICA起始部上端或远端,支架打开顺利。导引导管内推注替罗非班12mL,支架导管及微导管常规按摩,促进支架贴壁。
术后情况
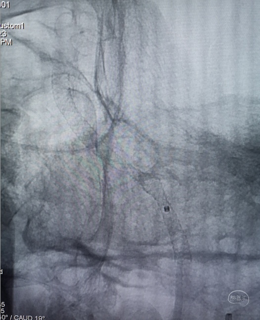
术后造影显示动脉瘤内造影剂滞留明显,载瘤动脉通畅。
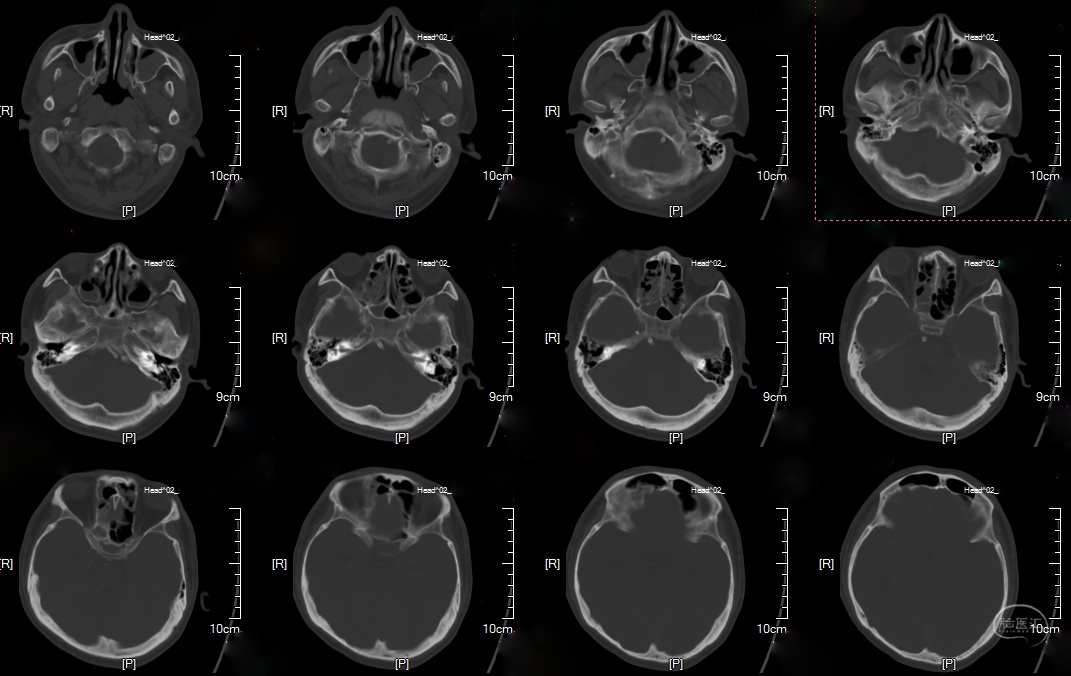
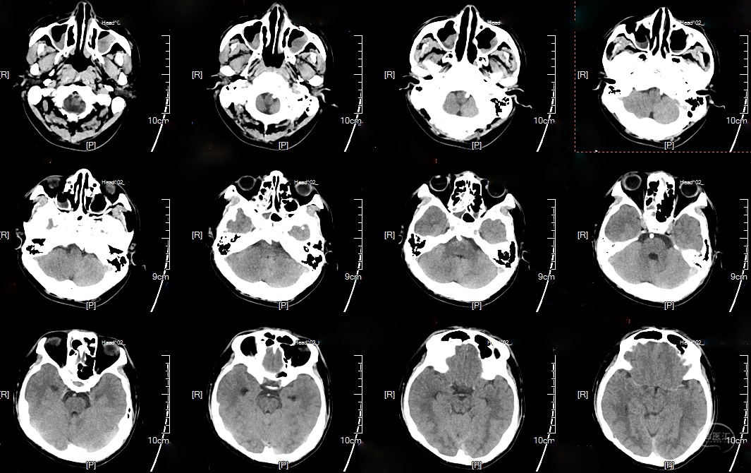
支架CT:
术后头颅CT(2023-10-17):
总结
本例为后循环椎基底动脉多发夹层动脉瘤,考虑基底动脉瘤有一定的占位效应,此次采用不填弹簧圈单密网支架植入。在自然病史方面,后循环动脉瘤不同于常见的前循环动脉瘤,大多数后循环动脉瘤在解剖学上呈夹层/血泡状,其次是囊状和梭形。最常见的位置是椎动脉(51.6%)和基底动脉(22.7%),且后循环动脉瘤的破裂风险要高于前循环动脉瘤,后循环动脉瘤是手术和血管内治疗患者预后不良的预测指标。
介入治疗方面梭形动脉瘤常出现较多并发症,而囊状动脉瘤并发症较少出现。随着对密网支架的使用经验增加,密网支架治疗后循环动脉瘤的超适应证使用变得越来越普遍。Pipeline™ Flex血流导向密网支架
①重建性治疗: 减少缺血并发症;基底动脉,优势侧椎动脉尚也可以使用。
②促进内膜修复: 网眼密利于内皮细胞生长,修复瘤口。
③术后减少压迫症状:不需使用弹簧圈填塞;动脉瘤体积会逐渐萎缩。
④径向支撑力强: 强径向支撑力便于治疗有载瘤动脉串珠样狭窄和有壁间血肿的病例。本例Pipeline™植入后可见瘤腔内明显造影剂滞留,且患者术后一般情况良好,预计疗效良好,但远期疗效需要进一步随访观察。Pipeline™血流导向密网支架作为新型密网支架,可以治疗大(巨大)型动脉瘤或开颅难以夹闭以及栓塞后复发的动脉瘤,正逐渐成为颅内大型或巨大型动脉瘤治疗的一种有效手段,且具有创伤小、治愈率高的优点。
专家介绍
张永明 安徽省第二人民医院
主任医师,医学博士,副教授,硕士生导师,安徽省第二人民医院神经外科主任
美国Stanford神经外科访问学者
从事神经外科工作近20余年,专业方向为颅底肿瘤、脑血管病及颅脑损伤
擅长各型脑脊髓肿瘤和颅脑外伤手术,特别在鞍区肿瘤、后颅窝肿瘤及重型颅脑损伤的救治方面具有丰富的临床经验
主持省部级课题4项,发表学术论文20余篇,其中SCI收录7篇
目前为中华创伤杂志、中华脑科疾病与康复杂志、安徽医药等特邀审稿专家
中国研究型医院神经外科神经重症分会常委、世界华人神经外科颅脑创伤专委会常委、中华医学会创伤学会神经创伤专家组委员、中华医学会神经外科分会神经创伤学组委员、安徽省全科医师协会颅脑创伤神经重症分会主委、安徽省医师协会神经外科学分会常委、安徽省医师协会神经修复学会常委、安徽省医师协会脑胶质瘤专业委员会常委、安徽省医学会神经外科学分会常委、安徽省微创医学会神经外科专业委员会委员
黄振山 安徽省第二人民医院
毕业于第三军医大学临床医学系,副主任医师,安徽省第二人民医院神经外科脑血管病组组长,安徽省医学会神经外科分会青年委员,安徽省医师协会神经介入委员会委员,安徽全科医师协会颅脑创伤神经重症分会常务理事,安徽省心理卫生协会临床心理专业委员会委员,中国医师协会神经外科及介入分会会员,具有系统丰富的外科理论基础和临床实践经验,熟练掌握外科各种危、急、重症的诊断和处理,对神经外科的疑难病、多发病能准确诊断和处理。
擅长颅脑损伤,各类神经系统肿瘤以及各种脑血管疾病(出血或缺血)(脑出血、脑梗塞)的手术、介入治疗,特别是各种特重型颅脑外伤的临床治疗及对脑动脉瘤,血管畸形具有丰富的治疗经验。
特别说明:本信息仅供医疗卫生专业人士阅读和参考,不构成对任何诊疗方式的推荐。





