Ding xiaomei
患者,女,50岁。
主诉:“双下肢乏力、麻木1年”;
现病史:患者近一年来双下肢乏力,无法长时间行走,双膝关节平面以下痛触觉减退、温度觉减退,进行性加重,并有漏尿、排便困难;近9月来患者有双手抖动;于2023-08-24至无锡市第二人民医院就诊,2023-08-29查颅脑MRI+MRA提示:双侧额顶叶多发腔隙性脑梗死,脑萎缩,血管未见明显异常;全脊柱MRI提示:C5/6、C6/7椎间盘膨出,T12椎体局灶性脂肪浸润,L3/4、L4/5、L5/S1椎间盘变性,颈、胸、腰椎退行性改变;考虑硬脊膜动静脉瘘可能不除外,遂建议至上级医院治疗。患者目前双下肢乏力、麻木较前进展,漏尿、排便困难,为求进一步治疗脊髓血管病变至我科就诊,收治入院。
既往史:般健康状况良好。否认肝炎史。否认结核史。否认疟疾史。否认脑血管病史。否认精神病史。否认高血压史。否认心脏病史。否认糖尿病史。否认手术史。 否认外伤史。 否认输血史。否认食物、药物过敏史。否认预防接种史。
专科体检:神清,精神萎。颈软,两侧瞳孔等大等圆,对光反射存在。双下肢肌力5-级,余肢体肌力正常,四肢肌张力基本正常,双侧膝关节平面以下痛触觉、温度觉减退,双侧巴氏征未引出。
辅助检查:2023-08-29 无锡市第二人民医院 颅脑MRI+MRA:双侧额顶叶多发腔隙性脑梗死,脑萎缩,血管未见明显异常;
2023-08-29 无锡市第二人民医院 全脊柱MRI提示:C5/6、C6/7椎间盘膨出,T12椎体局灶性脂肪浸润,L3/4、L4/5、L5/S1椎间盘变性,颈、胸、腰椎退行性改变。
初步诊断:
1.血管性脊髓病
2.腔隙性脑梗死
3.颈椎间盘突出
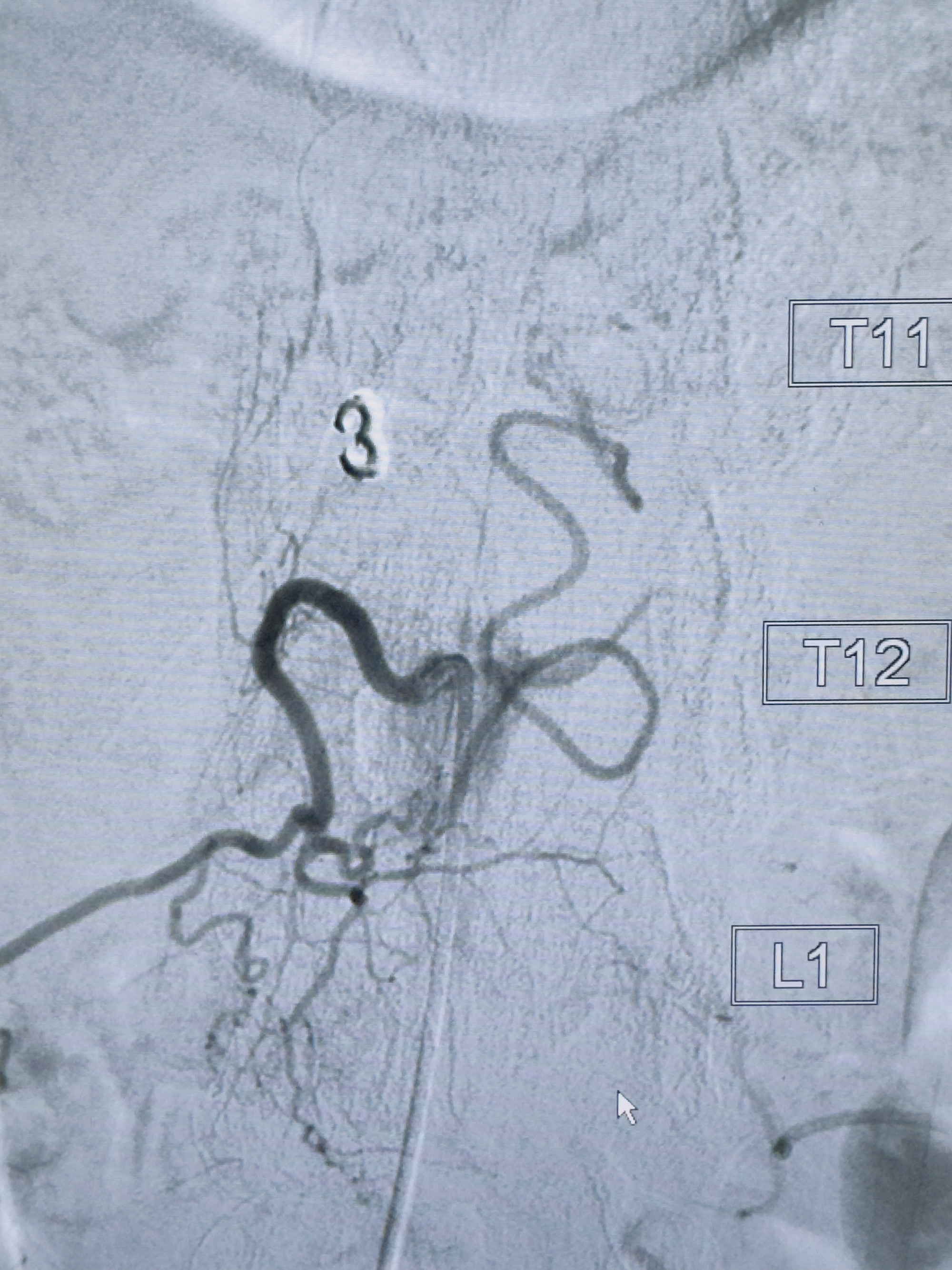
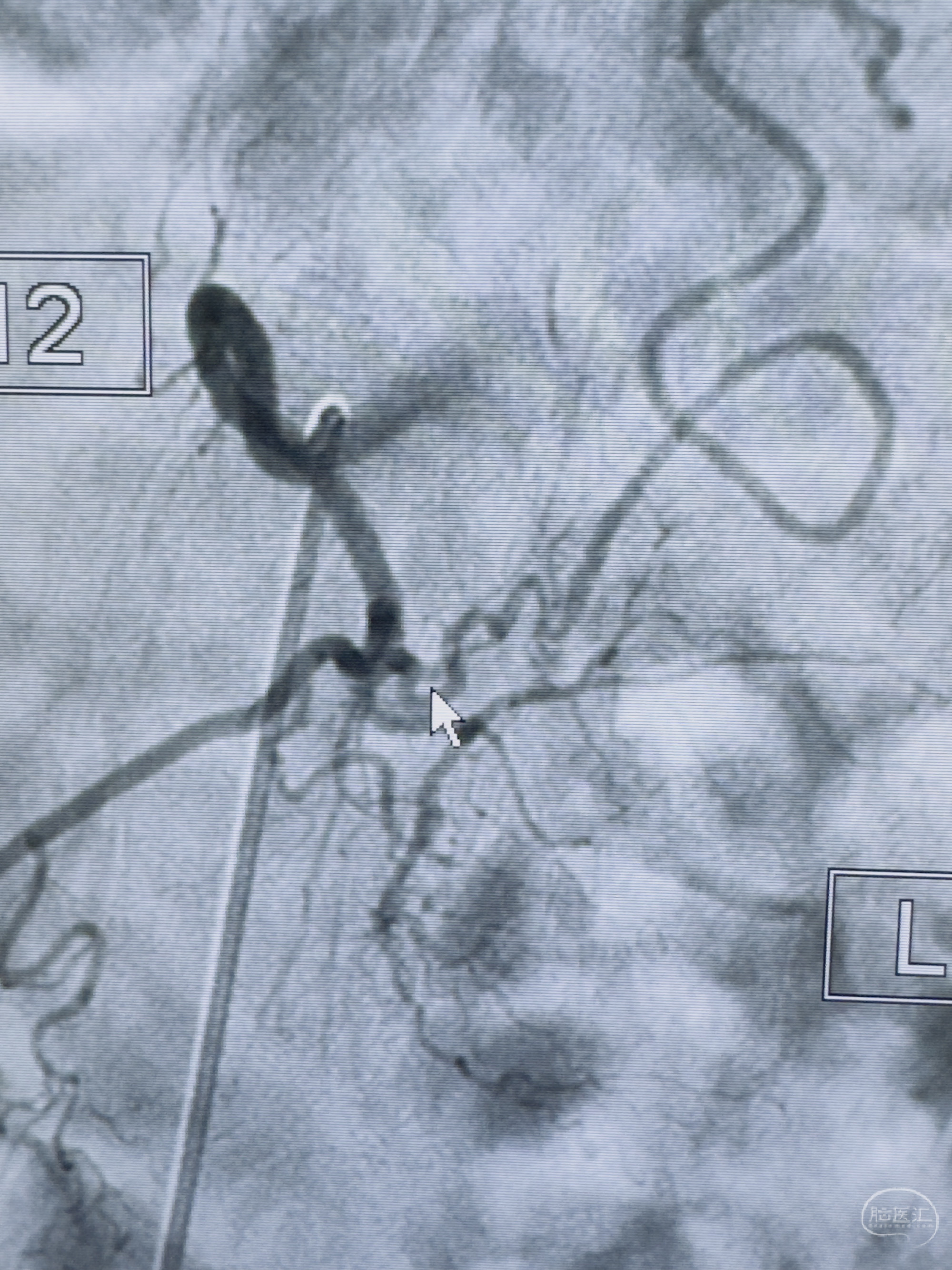
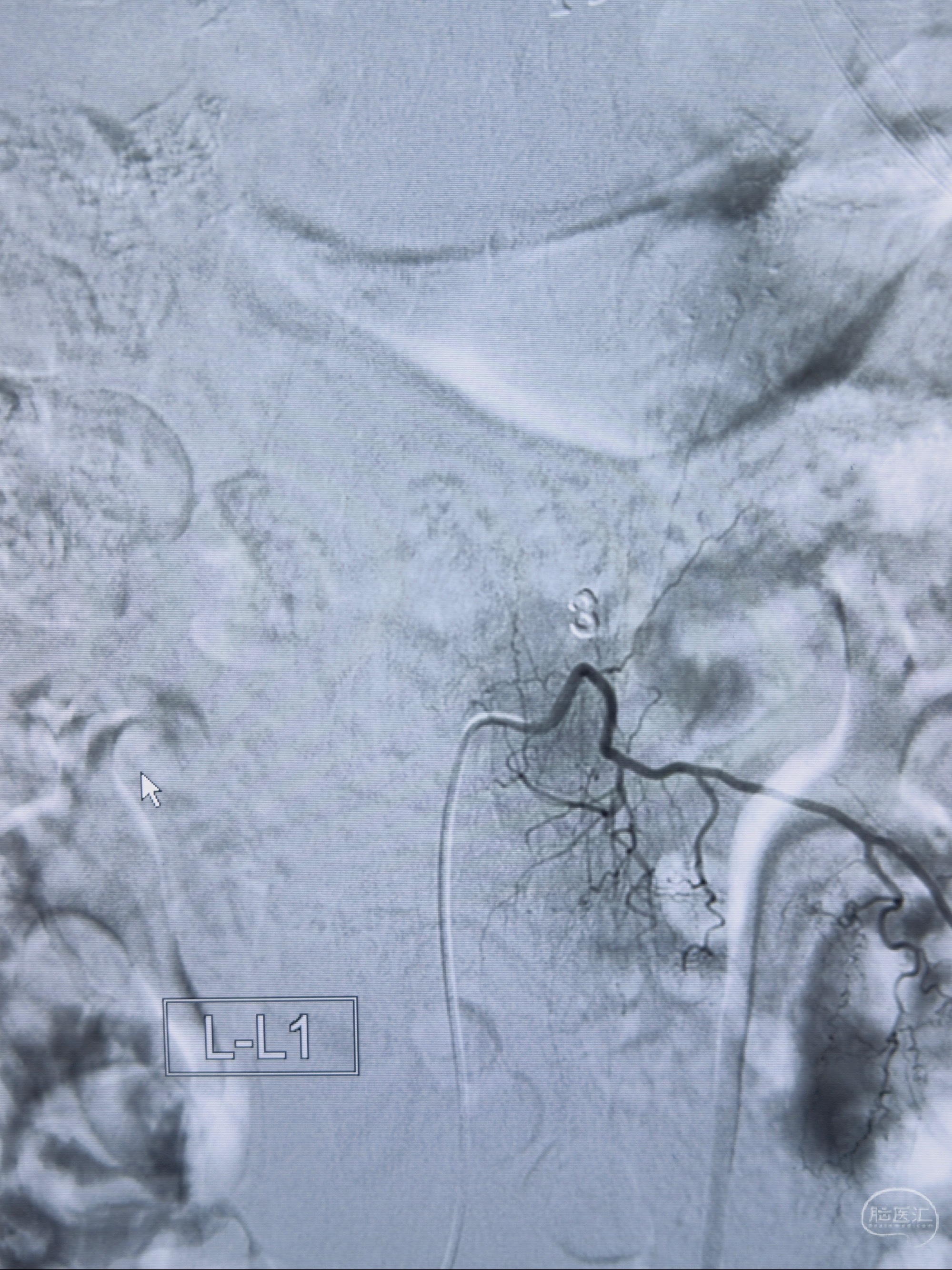
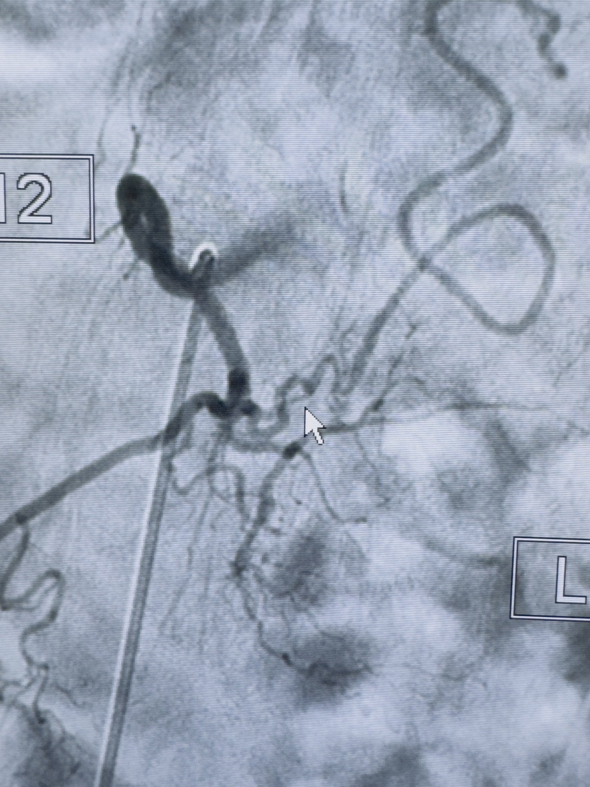
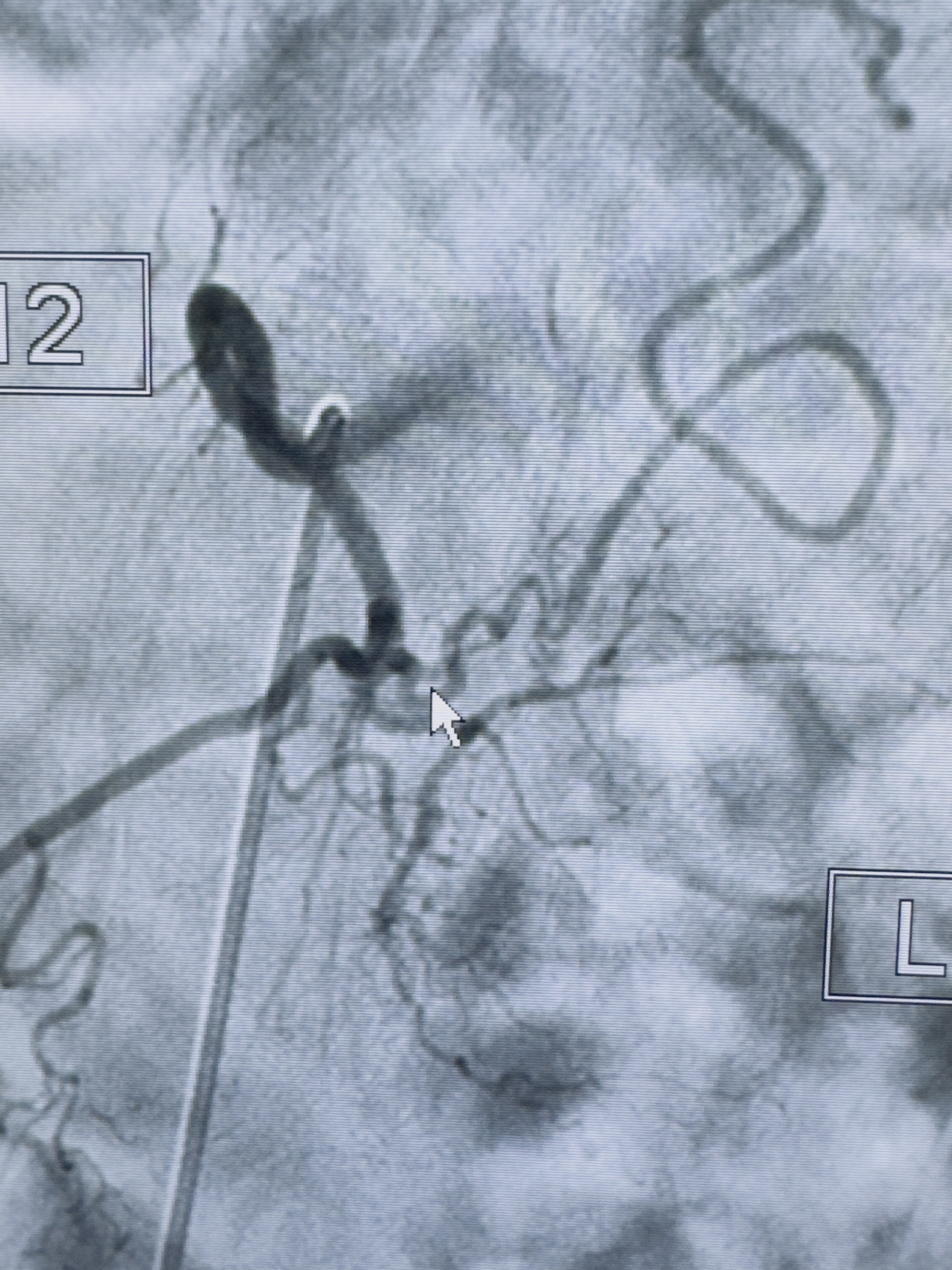
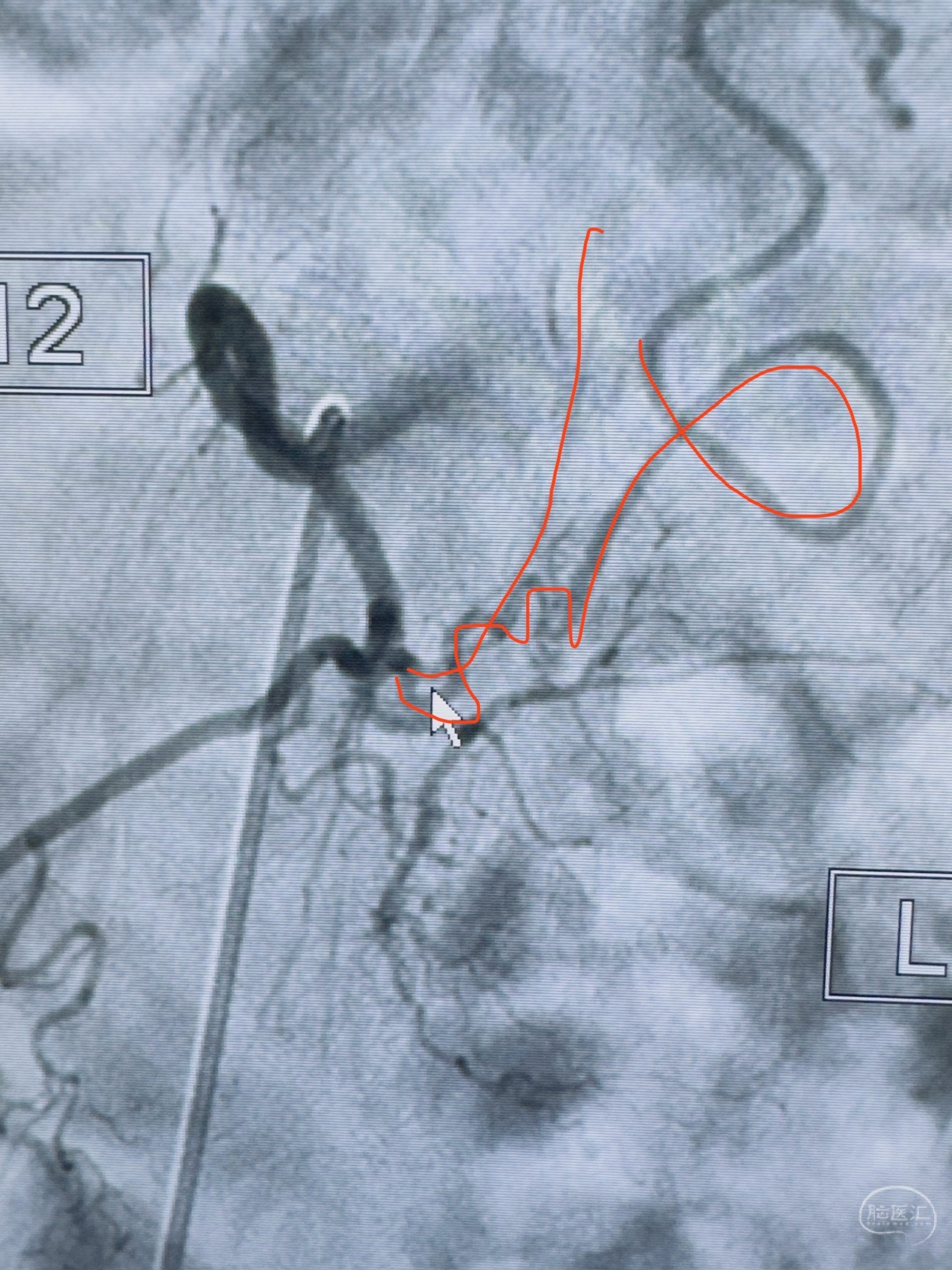
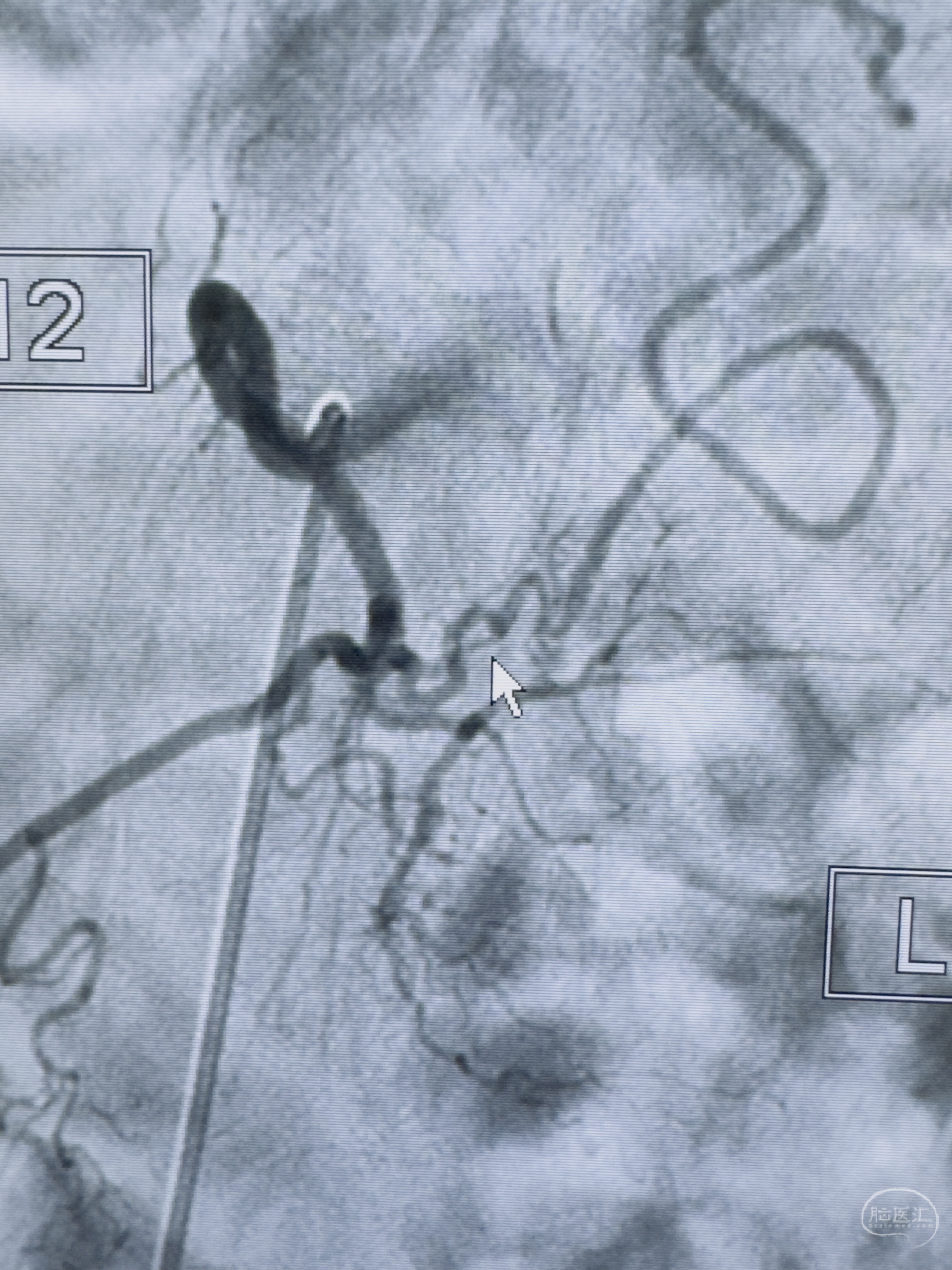
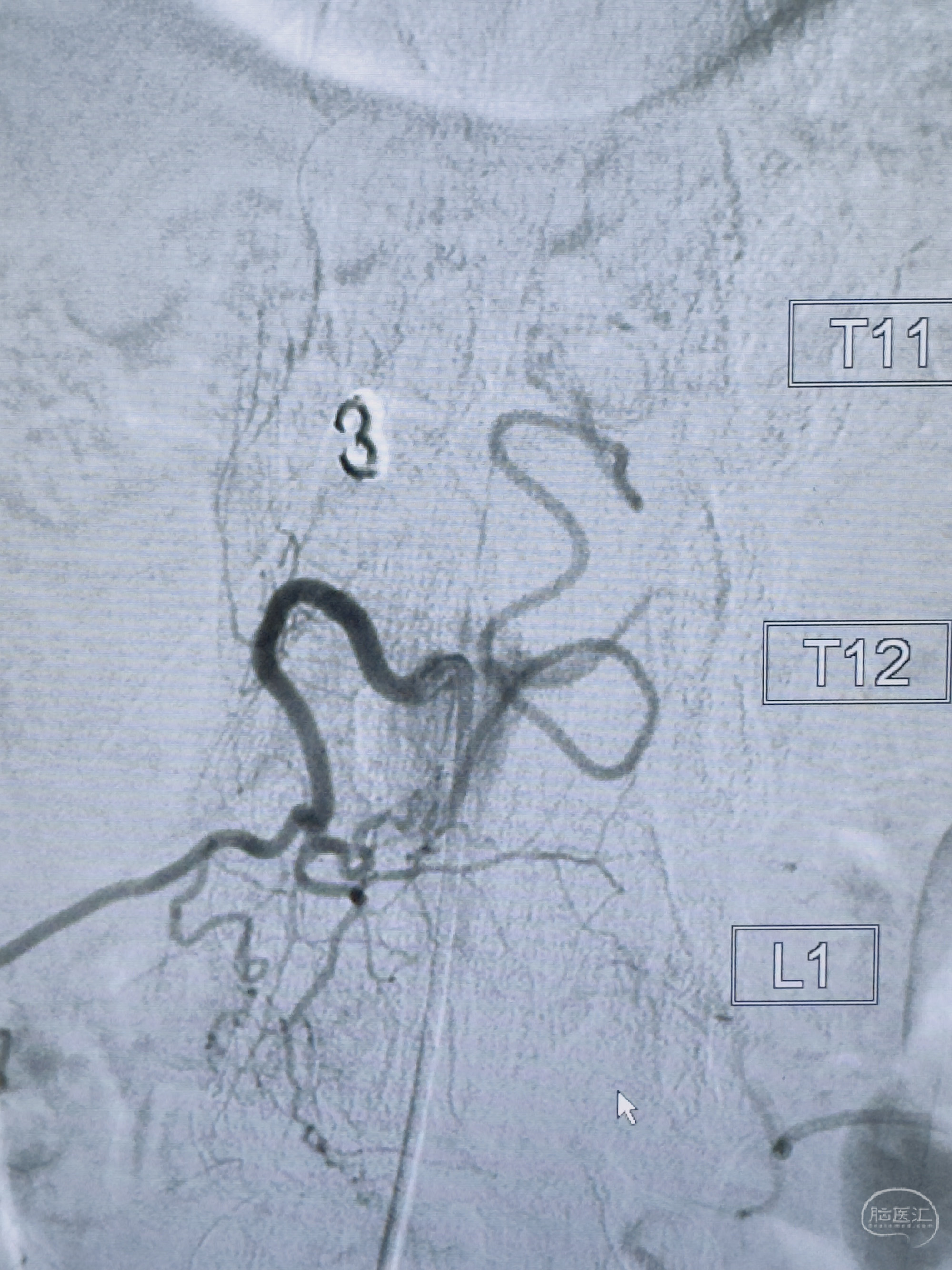
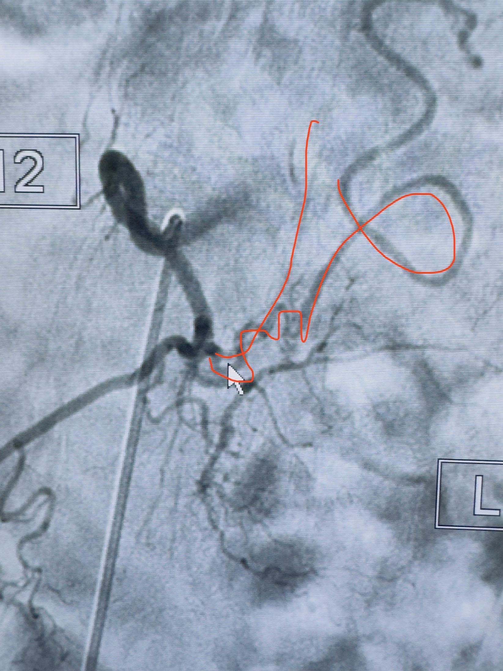
2023-10-13DSA:右侧L1水平硬脊膜动静脉瘘,供血动脉为右侧L1,附近动脉未见明确吻合供血,供血动脉处可见脊髓前动脉发出
治疗建议:
1.建议外科手术,已行美兰定位c




