患者PXY,男性,55岁,因突发头晕、恶心、呕吐2.5小时来院。患者于2.5小时前开车过程中自觉头晕,呈昏沉感,恶心呕吐多次,变换体位时加重,无肢体无力,遂急诊来院。






















































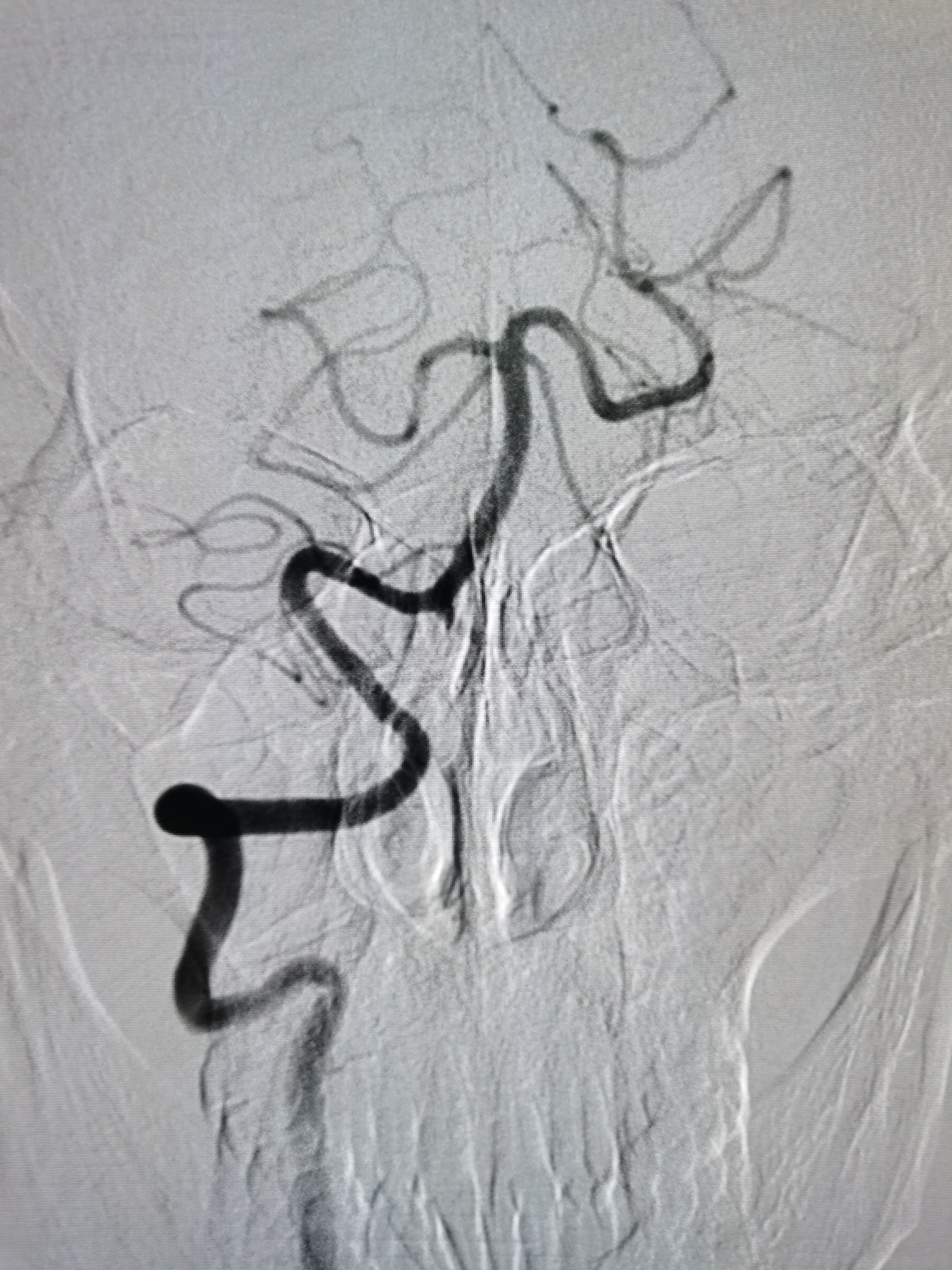
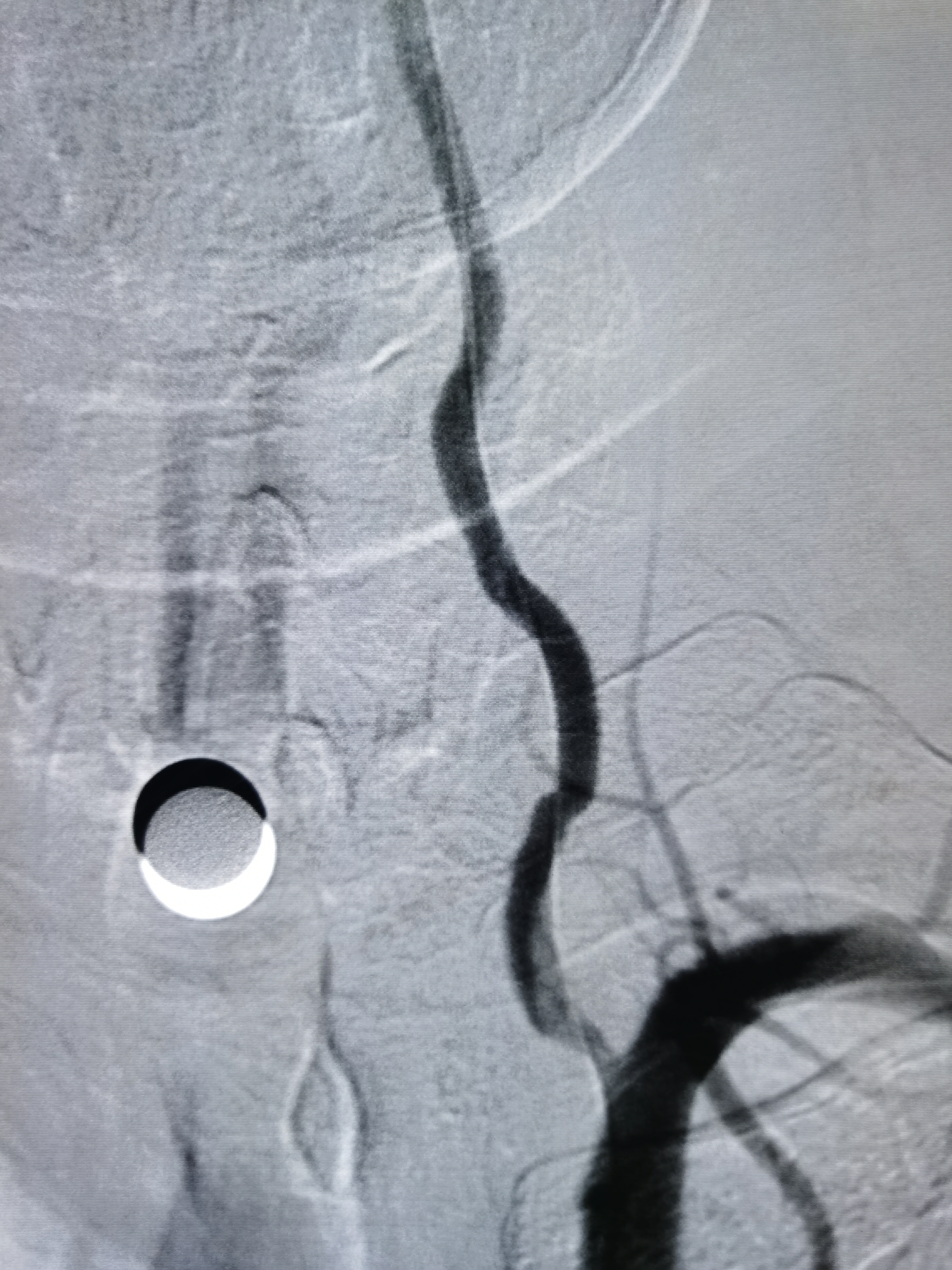
将8F导引导管送至左侧锁骨下动脉近左椎动脉起始部,微导丝顺利通过病变,2.0/20球囊预扩病变。















术者体会:
1、本例患者临床表现为头晕,恶心,呕吐后循环缺血症状,急诊CT除外出血后给予静脉溶栓治疗。经内科治疗后症状逐渐改善。但患者无卒中高危因素,需完善脑血管相关检查。
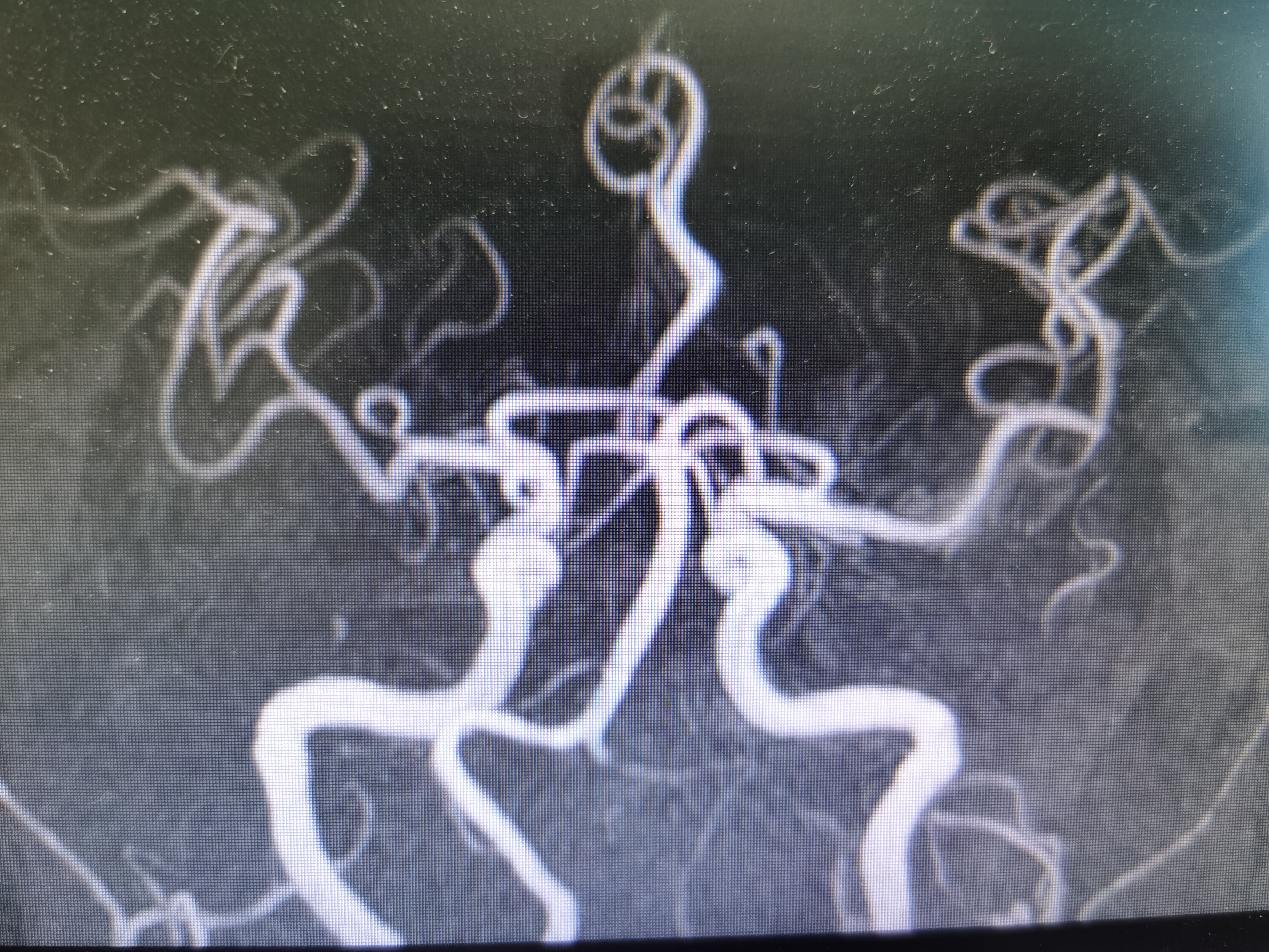
2、CTA证实左椎动脉起始部重度狭窄合并血栓,系责任血管,存在急性闭塞或残存血栓脱落至基底动脉风险,需积极处理。
3、手术过程中,先用小球囊扩张病变,观察血栓情况,及时应用支架全程覆盖血栓及病变部位,成形满意。



苏凡凡,解放军第967医院脑血管病科主任,副主任医师,副教授,硕士研究生导师。现任全军神经内科学术委员会青年委员,全军神经内科学术委员会脑血管病介入学组委员,中国研究型医院学会介入神经病学专业委员会卒中急诊学组委员,辽宁省生命科学学会神经重症与介入专业委员会常务委员,辽宁省大连市脑血管病专科联盟副会长,辽宁省大连市劳动能力鉴定专家组成员,辽宁省大连市医疗鉴定专家组成员,享受军队优秀专业技术人才岗位津贴,获第四届“白求恩式好医生”提名奖。




