胡某,男,49岁,突发“头痛伴恶心、呕吐3天”转入我院。

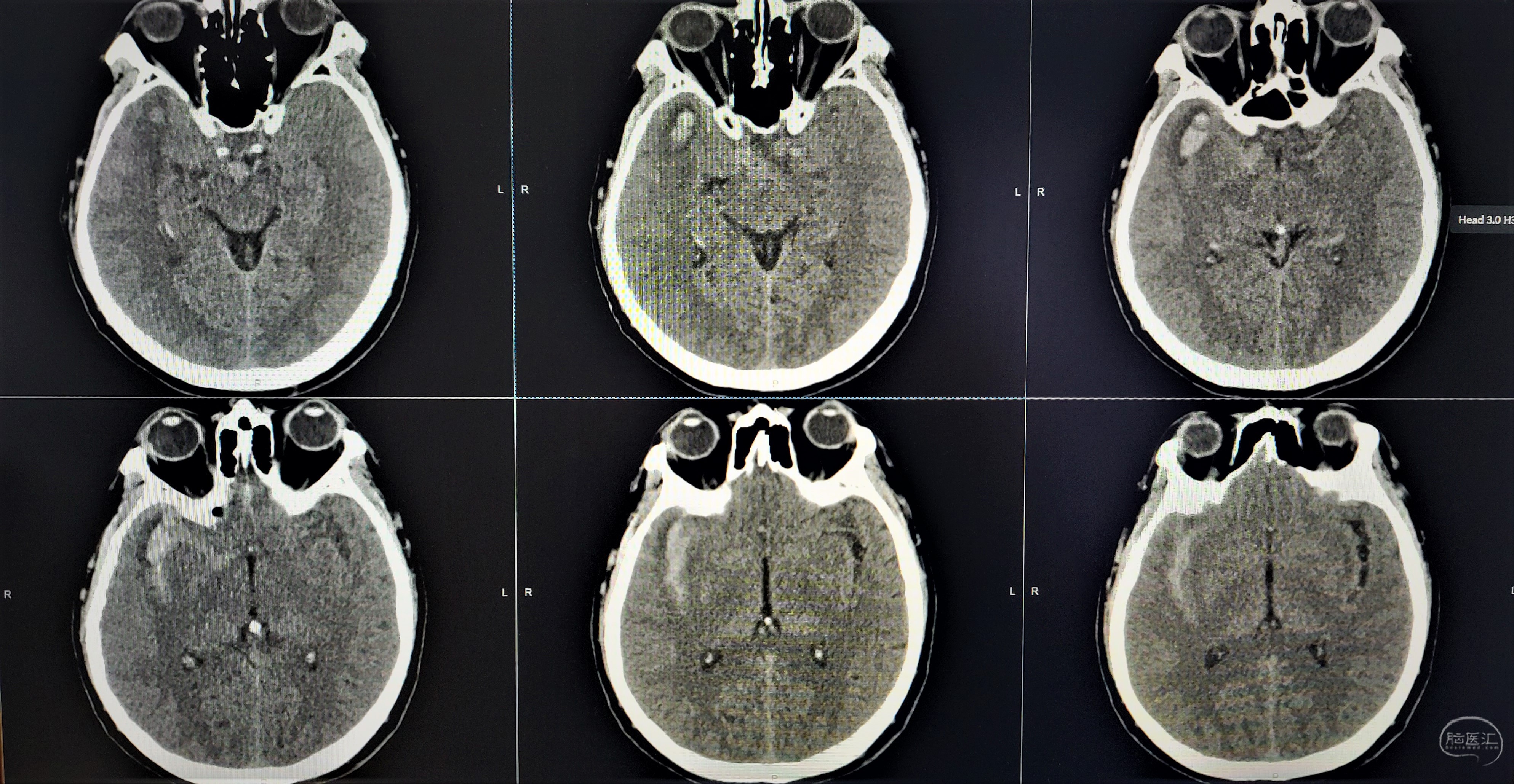
术前CT显示右侧外侧裂蛛网膜下腔出血。
造影显示颅内多发动脉瘤:右侧大脑中动脉瘤;右侧A2-A3交界处动脉瘤;右侧后交通可疑动脉瘤。

右侧大脑中动脉瘤位于分叉部。



右侧A2/A3动脉瘤近端有一分支血管。
与患者家属沟通了介入、开颅夹闭的手术方案,家属同意开颅手术。

手术切口及骨瓣设计如图所示:右侧翼点联合中线经纵裂入路。

首先处理责任动脉瘤——右侧大脑中动脉动脉瘤

阻断M1后,分离上干、下干及动脉瘤;动脉瘤壁可见一过路血管,仔细分离,保护完好。


两枚动脉瘤夹组合夹闭动脉瘤,载瘤血管通畅。

然后分离显露颈内动脉池,探查可见术前可疑后交通动脉瘤为动脉圆锥。





翼点入路结束,硬膜水密性缝合

然后前纵裂入路,显露A2、A3动脉瘤,动脉瘤顶嵌入脑组织。

如图所示:显露动脉瘤及载瘤动脉及分支的关系



为保留动脉瘤近端分支血管,多次调整动脉瘤夹,最终两枚动脉瘤夹夹闭完全,载瘤血管通畅。


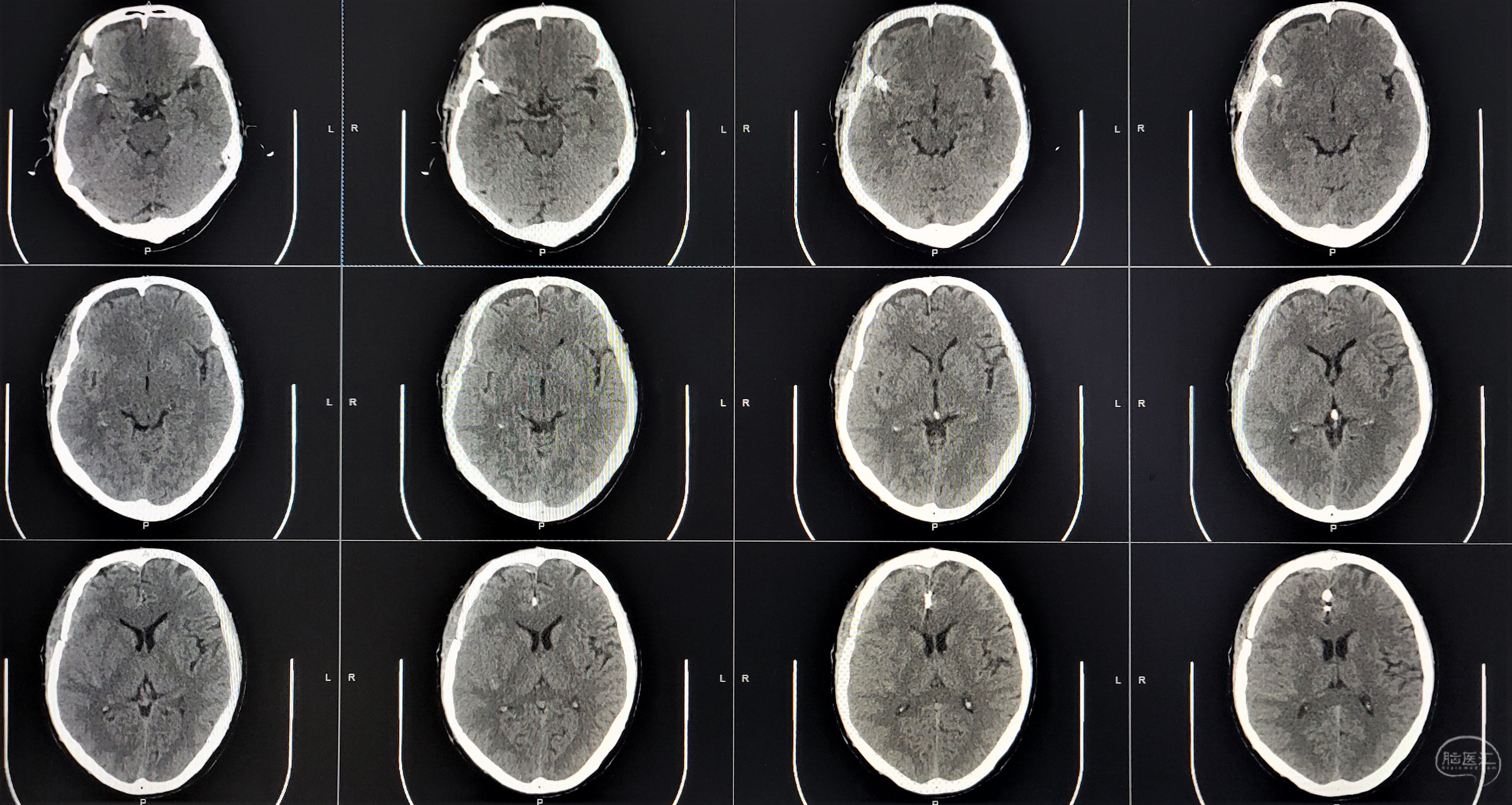
术后第一天CT,血肿大部分清除,无明显脑梗死。

骨窗:由于考虑有可能处理可疑的后交通动脉瘤,翼点的骨窗更靠中颅底。

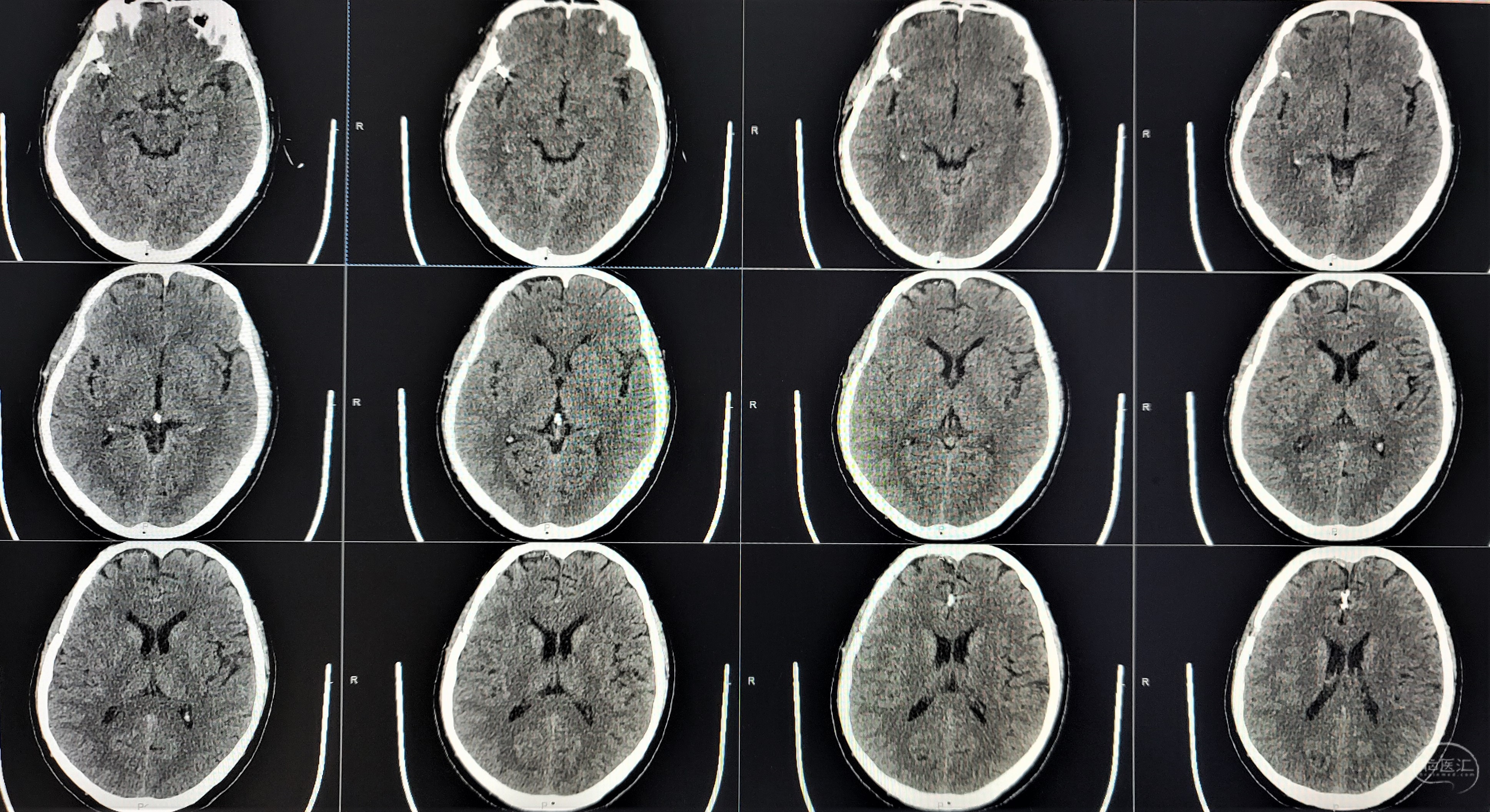
术后1月复查头颅CT及CTA

CTA显示大脑中动脉瘤消失,分支血管保留完好。

CTA显示大脑中动脉瘤消失,分支血管保留完好。

CTA显示A2/A3动脉瘤消失,近端分支血管保留完好。
目前血管内介入是处理动脉瘤的主流,尤其是密网支架的应用,多数原来较为复杂的动脉瘤,变得更为简单了,所以大多数动脉瘤都采用创伤更小的介入手术治疗。但开颅手术仍然是十分必备的技能,开颅夹闭在可视的情况下,也是十分可靠安全的。
郑州联保部队第988医院竭诚为您服务,欢迎咨询:神经外科三病区 姚安会 副主任医师 18236766195(微信同号),非诚勿扰!