Gaoriming
男,33
主诉:四肢无力21天,发现大脑前动静脉瘘15天
现病史:患者于8月16日出现四肢乏力,遂到景德镇市第一人民医院就诊,行电解质检查钾3.20mmol/l,考虑低钾性四肢无力发作,余积极补钾治疗后症状缓解。同时8月21日行脑血管造影检查,提示:主动脉弓、双侧颈总动脉、锁骨下动脉造影未见异常,左侧大脑前动脉静脉瘘。患者目前无明显不适,为求进一步诊疗颅内血管病变至我科就诊,收治入院。患者自本次发病以来,精神可,胃纳可,睡眠可,大便如常,小便如常,体力轻度下降,体重未见明显下降。
既往史:2019年在武汉市人民医院行房间隔缺损封堵术,术后恢复可。近7-8年间反复发作低钾性周期性麻痹,每年1-2次,予补钾治疗后好转。否认肝炎史。否认结核史。否认疟疾史。否认脑血管病史。否认精神病史。否认高血压史。否认糖尿病史。有手术史。 否认外伤史。 否认输血史。否认食物、药物过敏史。否认预防接种史。
个人史:出生于江西,久居江西,否认疫区接触史。无化学性物质、放射性物质、毒物质接触史。无吸烟史。无饮酒史。
查体:神清,精神可,反应一般,查体合作,理解力一般。颈软,两侧瞳孔等大等圆,对光反射存在。口角无歪斜,伸舌居中,四肢肢体肌力正常,肌张力基本正常,行走平稳,双侧巴氏征未引出。
辅助检查:2023年8月17日景德镇市第一人民医院:心脏彩超示:房间隔封堵器位置良好主动脉瓣、三尖瓣少量返流左心功能正常。
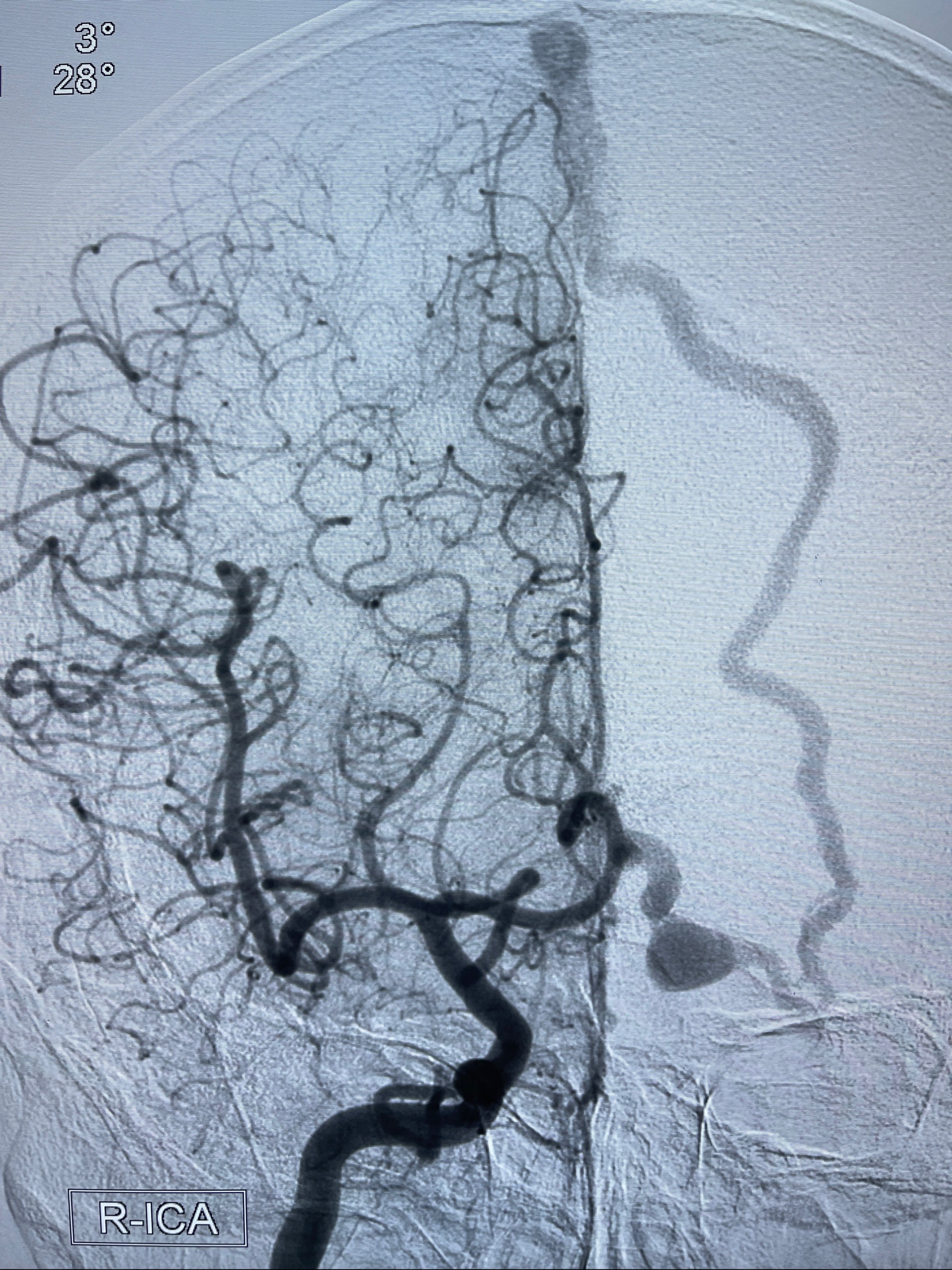
2023年8月21日]景德镇市第一人民医院脑血管造影检查,提示:主动脉弓、双侧颈总动脉、锁骨下动脉造影未见异常,左侧大脑前动脉静脉瘘。
2023年8月17日头胸CT示:双侧额部硬膜下出血,勤结合临床分析,枕大池扩大。提示支气管炎改变,双肺微小结节。
2023年8月17日甲状腺、腹部B超示:甲状腺回声稍增粗,甲状腺左叶小结节,前列腺小钙化灶,肝、胆、脾、胰、肾、输尿管、膀胱、肾上腺区未见明显异常。
诊断:
2024-09-11MRI
2023-09-13全脑血管造影:前颅底硬脑膜动静脉瘘,供血动脉为双侧胼周动脉、眼动脉脑膜支,静脉向上矢状窦方向引流
治疗策略:
- 外科手术?
- 介入干预:静脉途径栓塞or动脉途径填塞?




