青岛西海岸中心医院:李广成 薛成江 甄世明
下面新型内窥镜脑出血科研临床试用视频
纵观人类外科手术史,不断追寻微创手术方法始终是一条主线,特别是近几十年,随着内窥镜技术的发展,许许多多手术方式向着微创、可视化方向发展,应用范围不断扩大,目前主要包括两部分手术,其一是,如胃、肠道内具有自然腔道手术 ;另一类是,如胸、腹腔、关节腔等具有潜在腔道手术,这些领域大部分传统开放手术已被颠覆,但是仍有一类手术在内窥镜内(非内窥镜下)仍然难以开展,那就是组织内的手术,特别是如脑、肝等富含血运的组织内。
神经外科手术绝大部分是是针对脑的手术,多为组织内手术,目前神经内镜即脑室镜,因其具备的微创优势,临床上已有一些应用进展,但其固有的结构性弊端,使其只能应用于脑室中出血极少的少数病种,术中一旦引发明显出血,手术将难以进行下去,脑室镜“怕出血”是其最大痛点,这使其应用范围严重受限,更无法拓展到脑组织内进行手术。
一种基于流体辅助可视技术的新型内窥镜不但彻底解除脑室镜“怕出血”的痛点难题,真正实现“血中清晰可视”,其所具有的独特结构设计还解决了现有内窥镜存在的诸多痛点、难点问题,其独有的强大的功能完全满足在富含血运的组织内进行全内窥镜内手术要求,其特殊功能包括①颠覆性的“血中可视”功能,在有明显出血情况下仍能清晰可视,在纯血环境下仍能看到出血点,解除了现有内窥镜最大“痛点”。②革命性的冲水新方式,冲水由杂乱流动转化为有方向流动,始终是远离手术部位的,冲水效率指数级提高。③神奇的“隐形吸引器”功能,打破神外“一手吸引器一手双极”百年铁律,吸引器主要功能是吸除术野血液以显露术野,而新型内窥镜是以“冲洗”代替“吸除”,术野始终在向外流出的清水中,即使有明显出血也会被冲入的清水冲出术野外,其神奇效果是传统吸引器无法企及的,这个“隐形吸引器”是新型内窥镜镜体固有的,也就是说应用在内镜器械通道内的所有器械都相当于有了一只功能强大的隐形吸引器在时时辅助着。④“镜械一体”的设计不再需要助手“扶镜”,镜内器械工作部始终在最清晰的内窥镜物镜焦点位置,操作简单,极大方便术者操作,与现有内窥镜同等外径的镜体内可设有更大的器械通道,能配合应用现有内窥镜内所有器械,如刀、剪、吸引器、取瘤钳、双极电凝等。下面详述新型内窥镜结构功能及工作原理。
图一 功能样机图片(与双极电凝器结合)
图二 与镜内器械结合图片
图三 血中可视原理图
图四 结构图
图五 内镜工作部放大图
颠覆性的血肿可视功能:传统脑室镜之所以无法在血性环境下实现可视,是因为其冲水口与引流口均在内窥镜镜头附近,通常设在一个平面上,冲洗液冲入术野立刻与镜头周围浑浊血性液体混合,镜头前仍为血性液体无法清晰成像,而新型内窥镜针对以上缺陷进行了颠覆性结构改进(见图二),首先将内窥镜冲水通道扩大,内窥镜成像组件置于内窥镜冲水通道内,更为重要的是在冲水通道末端镜头前留有与内窥镜物距相适应的一段管腔,即“清水腔”,这一结构使内窥镜镜头始终在清水环境下工作,镜头前“清水腔”内始终有清澈的冲洗液向前流出,镜头前清水环境完全不受周围血液环境影响,当冲水通道端口接近手术部位组织时,此部位就会被冲出的清澈液体冲洗干净,如遇到此部位有出血,出血也会被冲洗液冲出术野,出血点便会清晰显现,图像表现为清水中“冒红烟”状,“红烟”的根部即为出血点,真正具备“潜血”可视功能,这是新型内窥镜核心创新点。
革命性的冲水引流方式:新型内窥镜冲水通道也是内窥镜镜体外管,冲水通道较现有脑室镜冲水通道扩大了10倍以上,只需较低冲水压力(30cm水柱以下)就能提供充足冲水量,避免了冲水压过高导致的高颅压风险;镜体外管是通过外工作通道进入手术部位,外工作通道与镜体外管间腔隙即为引流通道,这一可变形的类环形引流通道有效截面积较现有脑室镜引流通道增大近10倍(与现有脑室镜相当工作外径),多种结构设计的改变,使新型内窥镜引流通道极难被堵塞;镜体外管通过外工作通道近端密封帽开口插入外工作通道内,其可在外工作道内纵向移动,亦可横向微量摆动,极大方便手术操作,外工作通道连有一段虹吸引流管,调整虹吸引流管开口高度便可改变引流力度,这一功能可轻易调节手术区域液体存留多少,间接改变手术区域空间撑开和闭合,冲洗液将起到了无形“脑压板”功能;更为重要的是冲水方式的改变,新型内窥镜的引流管内口设在远离镜体端口的近端,所有的冲水都逐次带着血水远离镜头所在区域流向引流管内口,也就是说冲洗液流动是有方向的,内窥镜端口附近如果没有出血就会迅速变清,手术区域其它部位的出血也会顺着引流液方向流向引流管内口,到达引流管内口的引流液始终是最浓的血水,这样寻找出血点变得非常容易,只要将内窥镜插入手术区域最深处缓慢向外退出就会发现出血点,在这种方式下极小的出血点也能轻易找到。
镜内器械操作新方式:为实现多种镜内器械与镜体组合工作,在冲水通道内还设有器械通道,新型内窥镜总外径与现有脑室镜相等情况下器械通道仍可做到3mm以上,现有内窥镜内器械均可配合应用,新型内窥镜专用镜内器械有与镜体结合部,相互结合与分离极为方便,实现镜械一体操作大大方便医生手术。
一次性使用优势:新型内窥镜制造成本相对低廉,整体为一次性使用器械,去除了清洗消毒麻烦,大大降低手术交叉感染机会。
这一技术的突破来源于脑出血微创清除器械研发过程,直到今天脑出血治疗仍然是一项尚未解决的巨大医学难题。国外脑出血有两大著名RCT研究STICH及MISTIE 试验,前者是传统外科手术清除血肿与内科保守治疗对比;后者是基于立体定向技术的血肿清除术与内科保守治疗对比。两项试验中虽然没有得出肯定结论也没有得出否定结论,但STICH试验中血肿距离脑皮层下1cm内的病人亚组统计得出肯定结论(浅部血肿手术难度小、手术损伤小,所以手术优势得以显现)。MISTIE试验在将血肿残余体积控制在15ml以下亚组分析中得到肯定结论(这一结果显示,在微创手术下血肿清除率与治疗效果正相关,微创手术血肿清除率是最大问题所在)。以上两个著名临床试验恰恰证明了脑出血外科治疗所面临的困境,即微创手术与高的血肿清除率不可兼得,新型内窥镜技术将打开这一“死结”,脑出血手术面临的主要难题有望革命性解决。
图六 新型内窥镜科研临床试用影像
新型内窥镜技术可实现血肿清除手术全程可视化,包括血肿穿刺、血肿清除及血肿腔内精准电凝止血,手术切口长2.5cm,仅需单一直径1cm骨孔,镜体工作通道外径小于7mm,手术在全内镜内操作,十分微创,血肿部位的深浅在新内镜手术中无难度差别,新型内窥镜血中可视能力,不但可以在全程清晰可视下一次性清除绝大部分血肿,而且还可在有明显出血的血肿腔内轻易找到出血点并进行精准电凝止血,基于新型内窥镜所具有的颠覆性功能,有理由预判脑出血治疗的一些尚没有结论的重要问题的结果。
1.是否手术问题:随着微创技术发展,脑出血血肿清除手术优势逐渐被认识,但仍缺乏充足证据形成全世界共识,新型内窥镜解决了脑出血手术诸多难点问题,手术与保守治疗的天平平衡必将被打破,相信不久将来,新的临床数据一定会得出肯定结论。
2.是否早做手术:多项基础研究的结论是血肿清除时间越早对脑组织损伤越小,合理的逻辑分析也应如此,血肿的存在对脑组织没有任何好处,但是,因为在现有技术下,早期血肿清除手术存在手术难度大,止血困难,特别是术后再出血发生率明显增高等问题,早期手术特别是超早期手术,临床数据尚不能得出患者受益结论,新型内窥镜可以微创下安全高效清除大部分血肿,更为重要的是精准电凝止血能力,每台手术均可做到确切精准电凝止血,这将大大减低再出血发生率。新技术的应用,有望使早期血肿清除手术优势得以显现,也许,未来脑出血病人的手术也会与缺血病人取栓手术同样应该争分夺秒的早做,以争取更好的功能预后。
3.是否做小血肿:目前国内脑出血幕上手术指征仍需20ml以上,中线有明显移位的病人才能进行手术。手术主要目的仍是为“保命”不得不做,有临床证据证明,脑内血肿每增加1ml患者预后会变差5%,然而,基于现有手术方式下对血肿在20ml以下病人手术,仍然没有获得患者受益的试验结果。新型内窥镜手术有望实现小血肿微创安全清除并确切止血,可极大降低血肿扩大带来的巨大风险,有理由期待未来脑出血手术指征的改变,小血肿的早期手术干预,有望为患者争取到更好的临床预后。
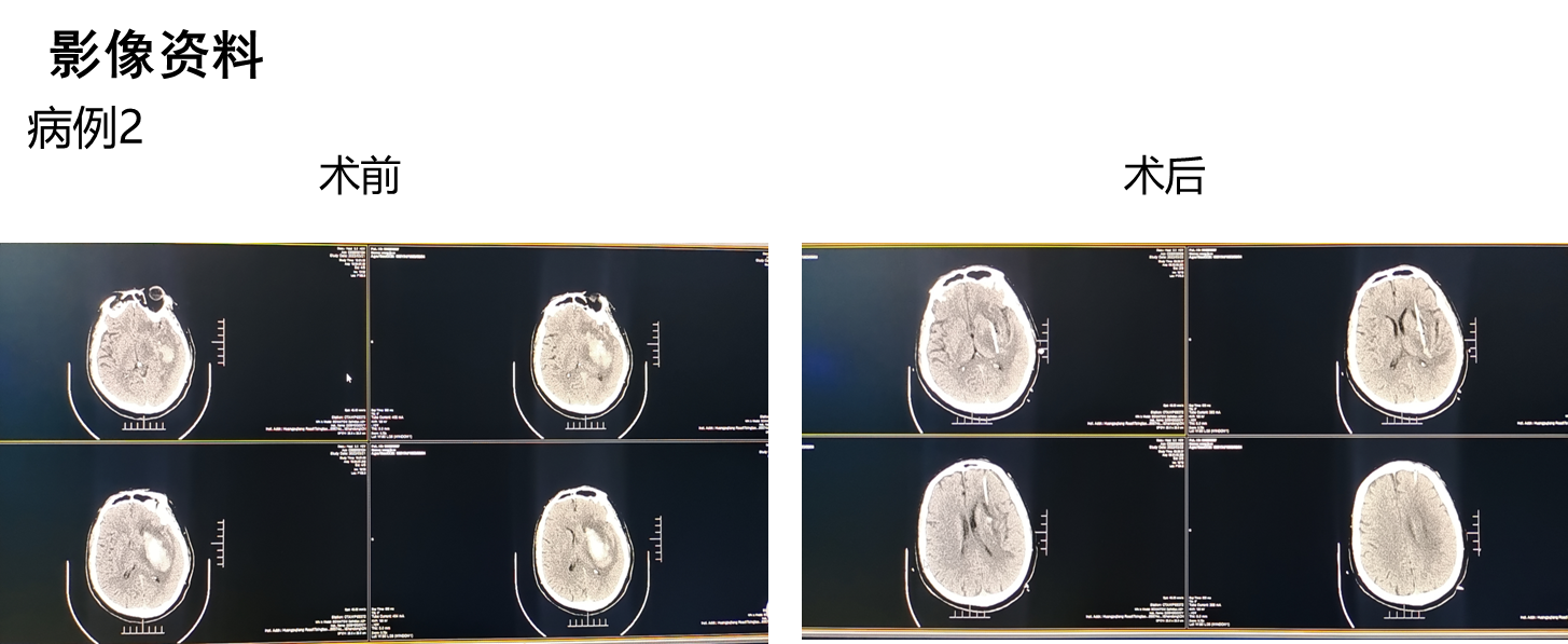
病例术前术后影像:
其它手术的一些展望:
1.弹道伤的清创:弹道伤或组织深部异物取出一直是临床上经常遇到的难题,清创手术往往需要扩创,手术副损伤大,小的异物寻找也是一个难题,基于上诉原因,许多小的弹片或异物不得不永久留在体内,为伤者带来陪伴终生的痛苦。新型内窥镜将为这一类疾病提供微创治疗可能。下面是模拟在持续出血的9cm深的狭小创道内取异物视频,不但可以非常容易找到异物,还可以清晰看到出血点,如果是在真实病人手术中,就可以插入双极电凝器进行精准止血。
模拟异物取出视频
2.垂体瘤手术:目前垂体瘤手术多采用经鼻内窥镜下术式,鼻中隔及颅底损伤较重,切除肿瘤过程通常是在血中依据术者手感刮除肿瘤,瘤腔是通过止血材料填塞压迫止血。新型内窥镜的血中可视功能已经具备完成内窥镜内进行垂体瘤手术所需必要条件,有理由相信未来垂体瘤手术仅需在鞍底钻开固定的几毫米圆骨孔,在极小的手术创道内实现全程内窥镜内肿瘤切除,术中可进行确切而精准电凝止血,有理由相信垂体瘤微创治疗一定会有显著进步。
总之,新型内窥镜技术为未来神经外科手术进入更微创的维度提供有效工具,其“血中可视”的独特能力颠覆现有认知,使一些目前技术下不可能完成的手术设想成为可能,相信随着新技术的不断完善并得以推广应用,一定会深远影响神经外科手术微创进程。





