密网支架Tubridge4.0-20mm
现病史:患者,女,62岁,因“头晕半月余,发现左侧颈内动脉眼段动脉瘤10日”入院。
患者半月来出现头晕,非旋转性,多次反复,伴下肢乏力,无视力、听力减退,无头痛头胀。遂至南京医科大学附属泰州人民医院就诊,2023-08-14查头颅MRI提示:双侧额叶及放射冠腔隙性脑梗塞,蝶窦炎性病变;头颅MRA提示:左侧颈内动脉眼段动脉瘤。后患者至上海华山医院神经外科就诊,建议完善脑血管造影明确颅内血管病。患者目前仍有头晕不适,伴下肢乏力,为求进一步治疗颅内血管病变至我科就诊,收治入院。
患者自本次发病以来,精神可,胃纳可,睡眠可,大便如常,小便如常,体力轻度下降,体重下降。
既往史:
一般健康状况良好。有肝炎史:乙肝病史,服用阿德福韦治疗中。否认结核史。否认疟疾史。有脑血管病史:2023-08-14诊断左侧颈内动脉眼段动脉瘤。否认精神病史。有高血压史7年余,服用厄贝沙坦降压,血压控制可。否认心脏病史。有糖尿病史5年余,服用沙格列汀、瑞格列奈片降糖,血糖控制可。否认手术史。 否认外伤史。 否认输血史。否认食物、药物过敏史。否认预防接种史。
辅助检查:
2023-08-14 南京医科大学附属泰州人民医院 头颅MRI:双侧额叶及放射冠腔隙性脑梗塞,蝶窦炎性病变;
2023-08-14 南京医科大学附属泰州人民医院 头颅MRA提示:左侧颈内动脉眼段动脉瘤。
初步诊断:
1.左侧颈内动脉眼动脉段动脉瘤
2.高血压1级
3.2型糖尿病
4.慢性乙型病毒性肝炎
2023-08-28MRI:未见明确异常
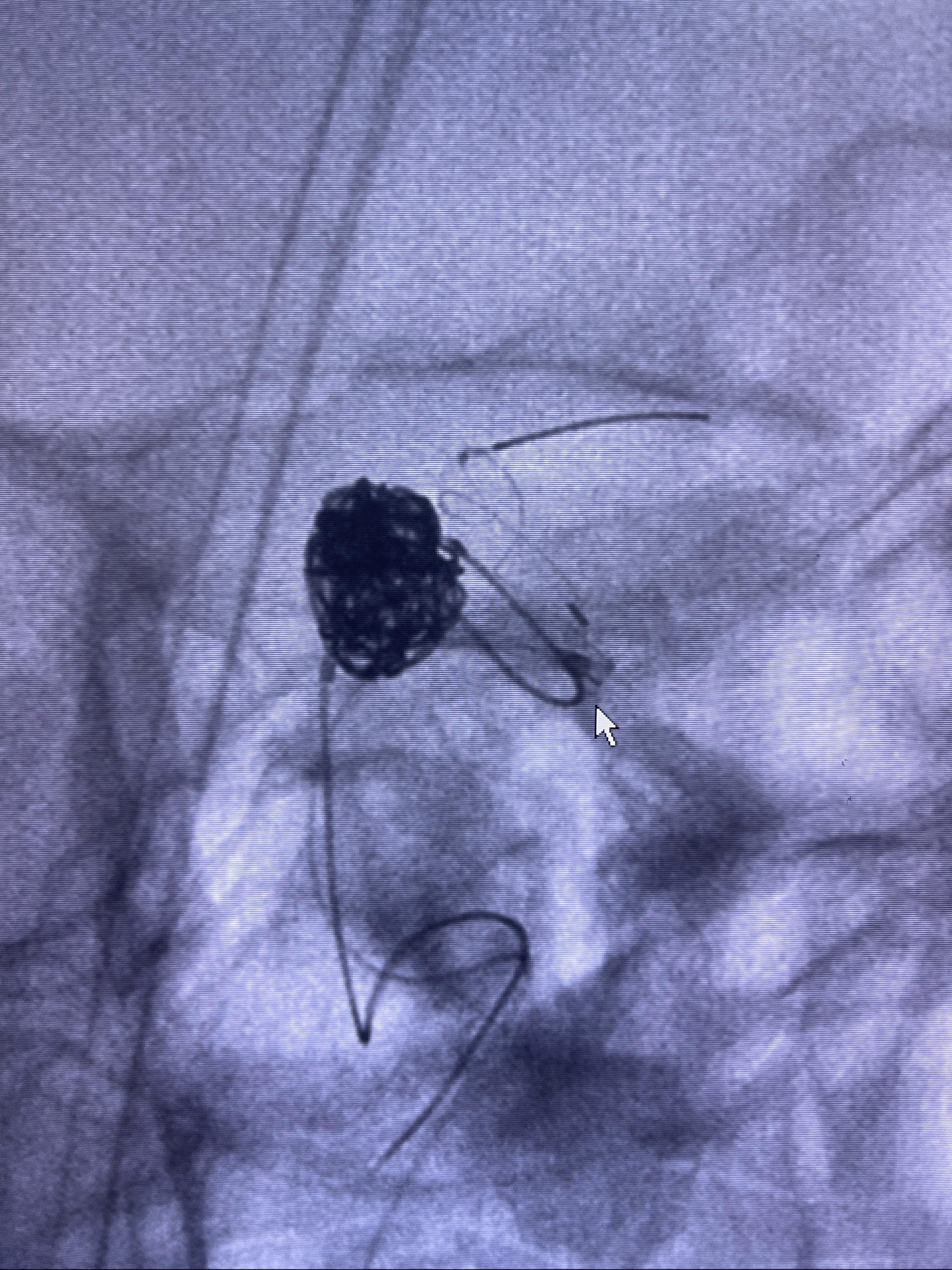
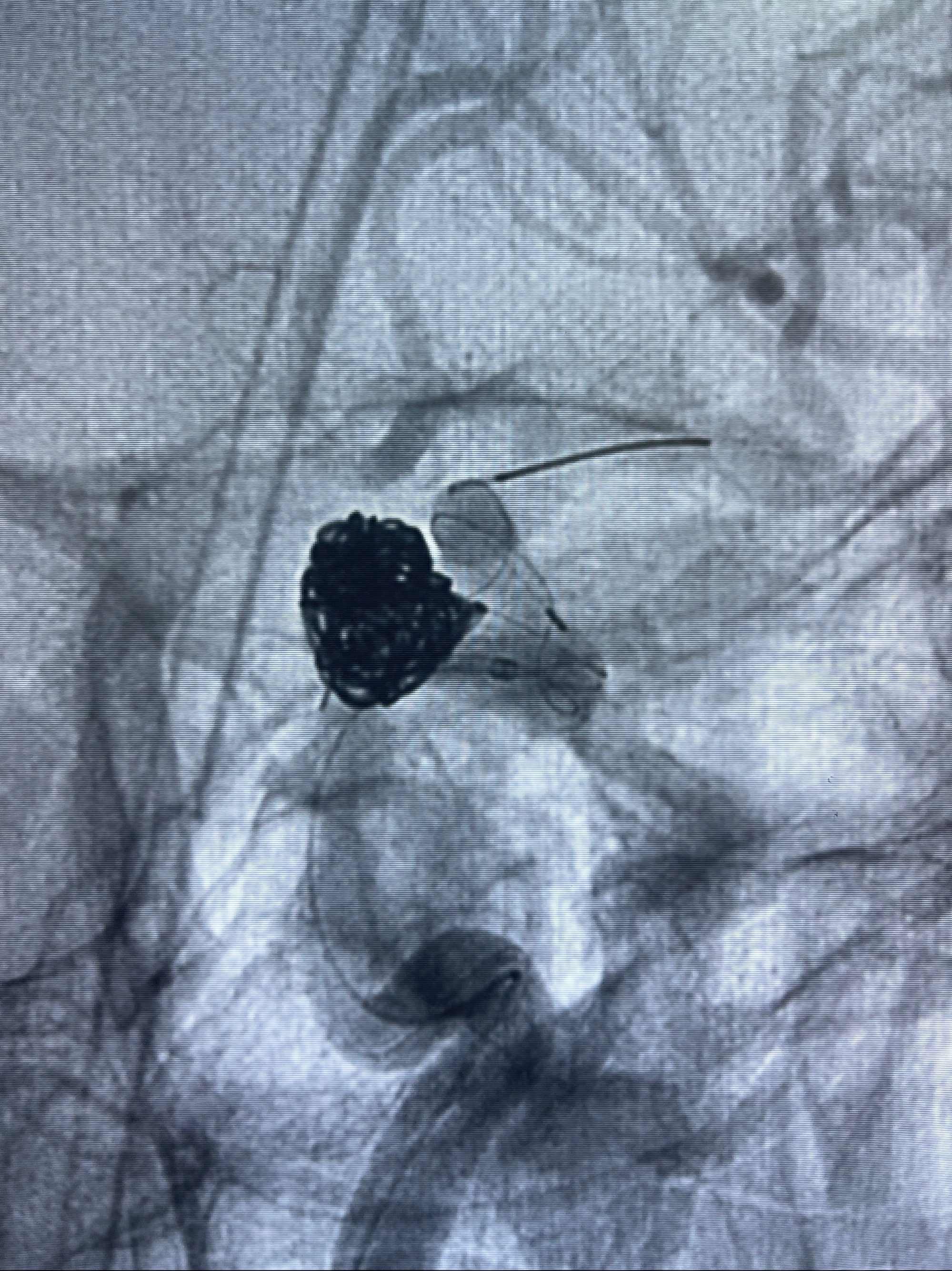
2023-08-30DSA:左侧颈内动脉眼动脉动脉瘤,约3*9.2*7.3mm大小
治疗策略:
2023-09-04术前增强MRI
2023-09-06全麻下行左侧颈眼动脉瘤
密网支架辅助栓塞
手术材料:
- 普微森088 90cm导引导管
- 125cmMPA
- 0.035泥鳅导丝
- TB支架导管
- Echelon10 45°角微导管
- Synchro2微导丝
- Tubridge 4.0-20mm密网支架
- 加奇微弹簧圈:7*30/6*20/5*20/2*8
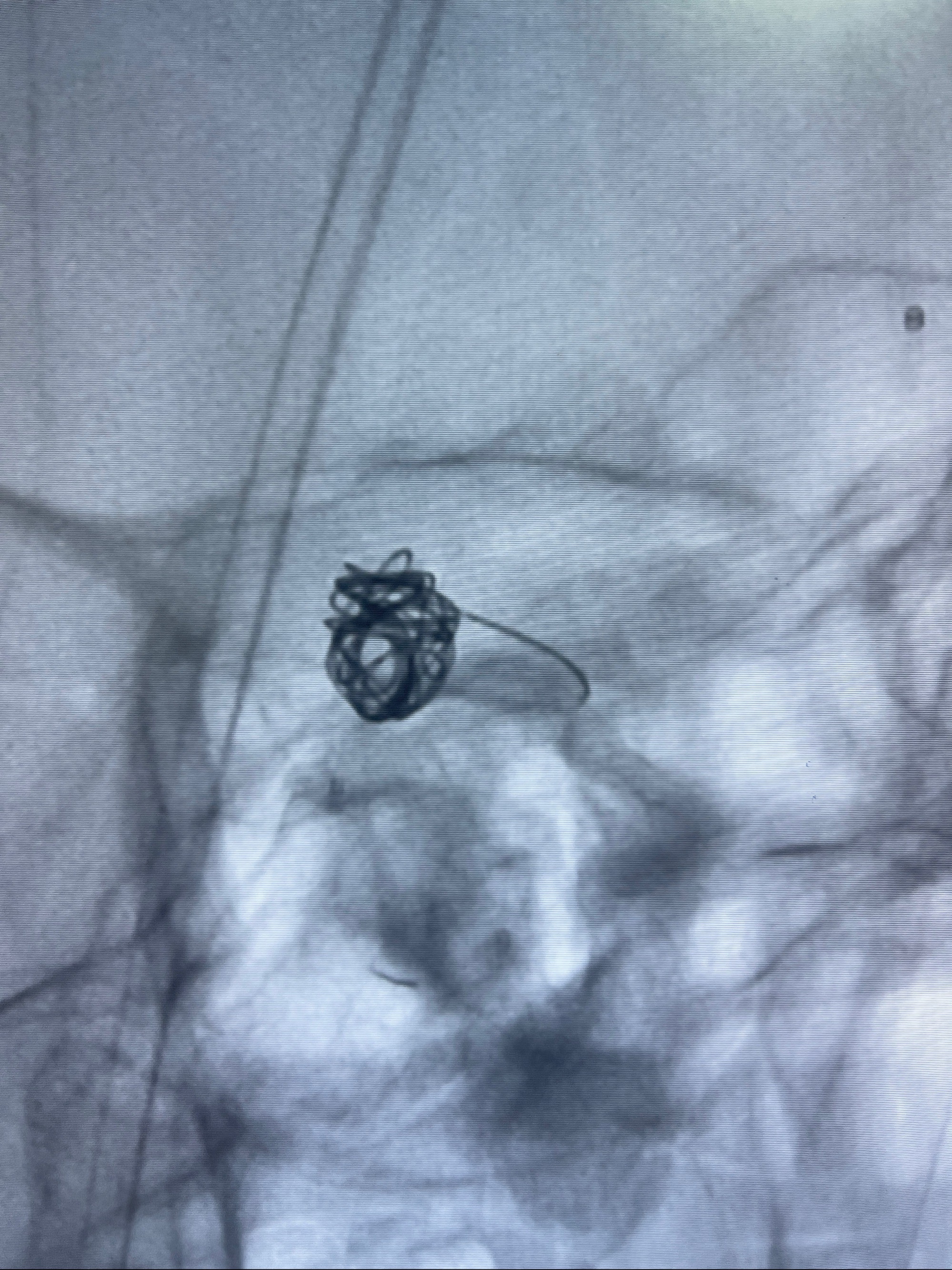
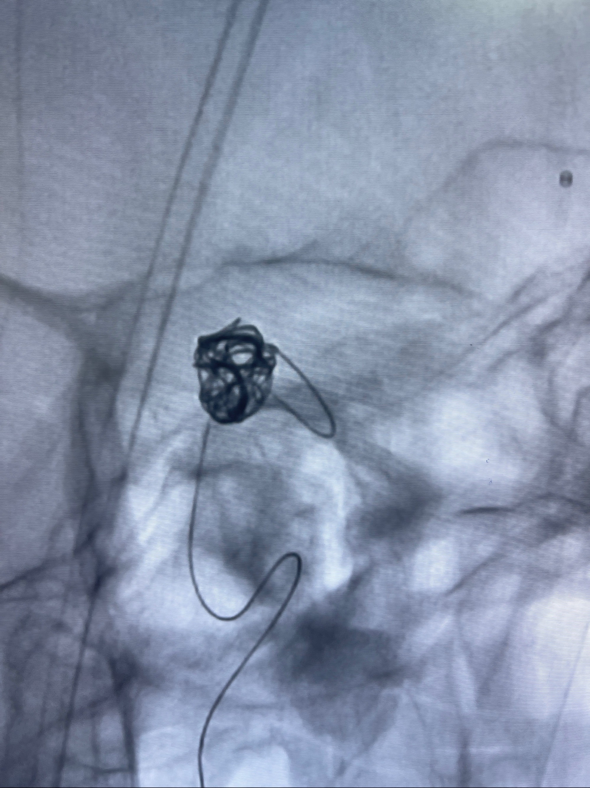
术后3D显示支架贴壁佳
麻醉苏醒佳,遵嘱活动!视力视野正常。
术后即刻CT




