一、病史
➢50岁男性
➢既往史:有高血压、痛风病史。
二、查体
➢查体:神志清醒,言语清晰,无面舌瘫,四肢肌力肌张力正常,病理反射未引出。
三、辅助检查
血常规:正常。
血生化:
凝血功能:正常。
免疫、血管炎相关检查:均阴性。
氯吡格雷基因型:中间代谢型。
胸片:正常
UCG:左房内径增大,左室舒张功能减退
心电图:窦性心律,左室高电压
24小时动态血压:
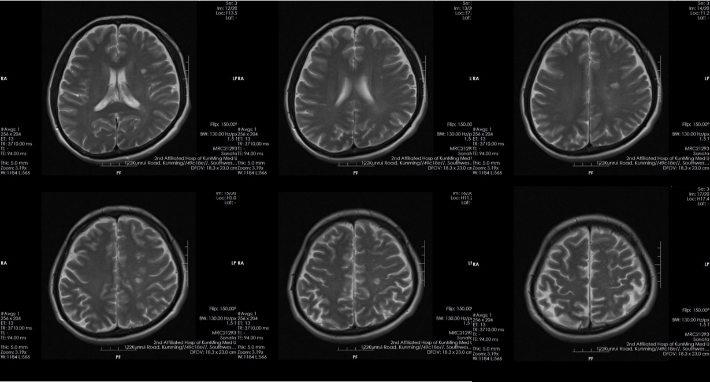
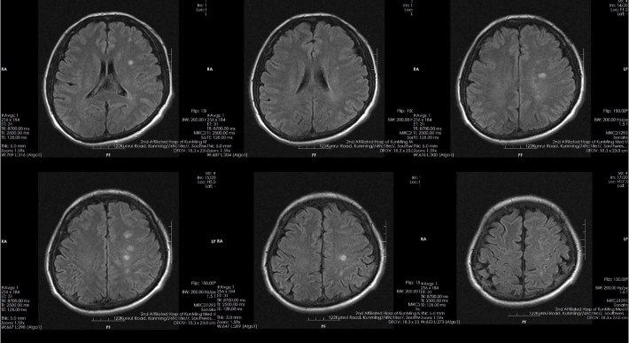
8月前起病时头颅磁共振



CTP


此次入院后,即予行全脑血管造影术,示左侧颈内动脉虹吸段重度狭窄。予患者家属充分沟通后,进一步行左侧颈内动脉虹吸段狭窄球囊扩张+支架植入术。
DSA







3D成像


DSA


考虑狭窄段为夹层样改变,多角度导引导管造影,以更清晰地区分真假腔,选择最佳工作角度

微导丝通过狭窄血管段

放置微导丝远端至左侧大脑中动脉上干M2段

3mm*15mm球囊扩张

球囊扩张后

4.5mm*22mm Enterprise 支架

术 后




讨论(症状性颅内动脉狭窄)
1. 对于症状性ICAS患者,应在发病后尽早启动抗血小板治疗,并长期应用。
7. 改善生活方式,控制其他危险因素。
【以上1-7条摘自《症状性颅内动脉粥样硬化性狭窄血管内治疗中国专家共识2018》】
血管内治疗
1. 临床状况:存在与责任血管相关的严重神经功能障碍(mRS评分≥3分)或影像学检查显示大面积梗死的患者不适合行血管内治疗。
2. 手术时机:ICAS患者在急性缺血性卒中2周后行血管内治疗可能是安全的。
3. 狭窄率:血管狭窄率越高,患者卒中复发的风险越高;狭窄率≥70%且存在供血区低灌注的症状性ICAS患者可能从血管内干预联合强化药物治疗中获益。
4. 脑侧支循环:术前应用结构影像学和功能影像学方法充分评估脑侧支循环,筛选血流动力学障碍引起缺血症状发作的患者,可能最适合血管内治疗。
5. 适应证:症状性ICAS狭窄率≥70%,强化药物治疗无效或脑侧支循环代偿不良,责任血管供血区存在低灌注的患者,是血管内治疗的适应证。
6. 禁忌证:
⑧神经内外科医师、神经介入科医师判定不适合行血管内治疗的患者。
【以上1-6条摘自《症状性颅内动脉粥样硬化性狭窄血管内治疗中国专家共识2018》】
总结
✔本例患者为症状性颅内动脉狭窄,已发生脑梗死(交界区点片状梗死,考虑为低灌注所致)
--无手术禁忌
--CTP有低灌表现
--DSA显示左侧颈内虹吸段狭窄约72%。前交通开放,右侧大脑前动脉通过前交通动脉向左侧大脑前动脉、大脑中动脉供血区有代偿供血。
--双抗治疗下仍有缺血症状发作。评估有手术指征,无手术禁忌。
✔支架选择:左侧颈内动脉虹吸段狭窄段长度较长,远端至左侧大脑中动脉M1起始段,近端至眼动脉开口上方。且此段血管迂曲,狭窄段近端、远端都有较大的血管转折,使用球扩支架风险很高。因此我们选用了顺应性较好,又有一定支撑力的自膨支架——Enterprise 支架。
✔术中要点:左侧颈内动脉虹吸段狭窄考虑为夹层,予反复多个角度导引导管造影,以明确真假血管腔,微导丝通过狭窄段血管时谨慎、轻柔操作,务必判断导丝应从真腔通过。先予球囊扩张,观察扩张后狭窄段血管管径恢复情况。释放前准确定位支架近端,远端,应完全覆盖狭窄血管段。
✔术后处理:患者术后恢复良好,无缺血性症状及神经功能缺损体征。继续予服用双抗(阿司匹林+替格瑞洛)至少3个月。定期随访。