Zheng lichun
患者,女,46岁。
主诉:因“体检发现左侧大脑中动脉M1段动脉瘤近一月”入院;
现病史:患者2023-07-12体检时头颅MRI提示:左侧大脑中动脉可疑病灶,遂于上海大学附属第三医院查头颅CTA提示:左侧大脑中动脉M1段动脉瘤,右侧大脑前动脉A1段缺如,左侧椎动脉V4段纤细。追问既往病史,患者诉十余年来睡眠不佳,反复头痛,偶有视物模糊,服用佐匹克隆、维生素B1、谷维素、刺五加片治疗,睡眠有改善。现患者有头痛不适,为求进一步诊疗左侧大脑中动脉M1段动脉瘤至我科就诊,收治入院。
既往史:一般健康状况良好。否认肝炎史。否认结核史。否认疟疾史。否认脑血管病史。否认精神病史。否认高血压史。否认心脏病史。否认糖尿病史。有手术史:10余年前行阑尾切除术、宫外孕手术。 否认外伤史。 否认输血史。否认食物、药物过敏史。否认预防接种史。
辅助检查:2023-07-12 上海大学附属第三医院 头颅CTA:左侧大脑中动脉M1段动脉瘤(1.7*3.4mm),右侧大脑前动脉A1段缺如,左侧椎动脉V4段纤细。
初步诊断:
1.左侧大脑中动脉瘤(M1段)
2.头痛
3.焦虑状态
2.头痛
3.焦虑状态
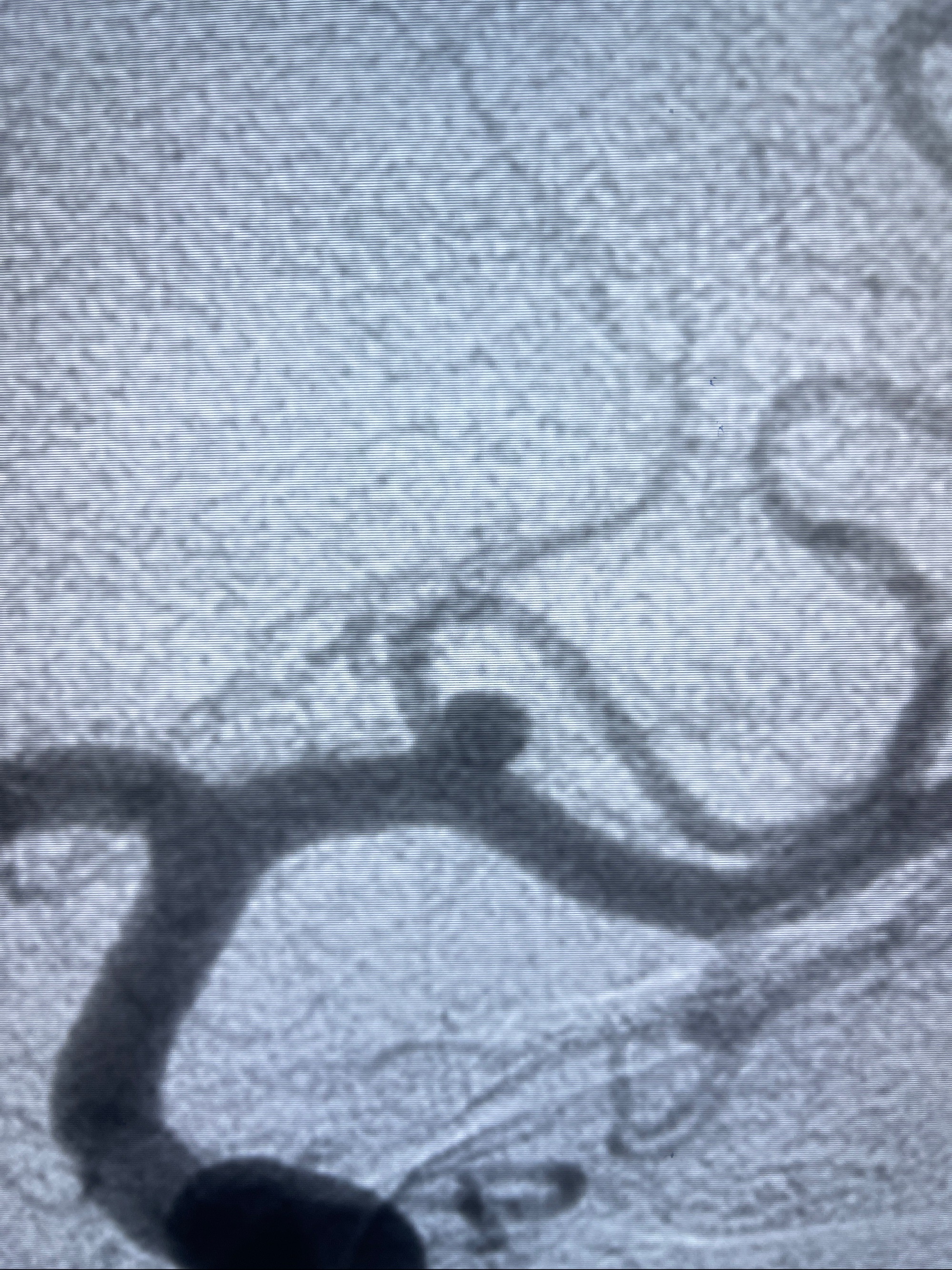
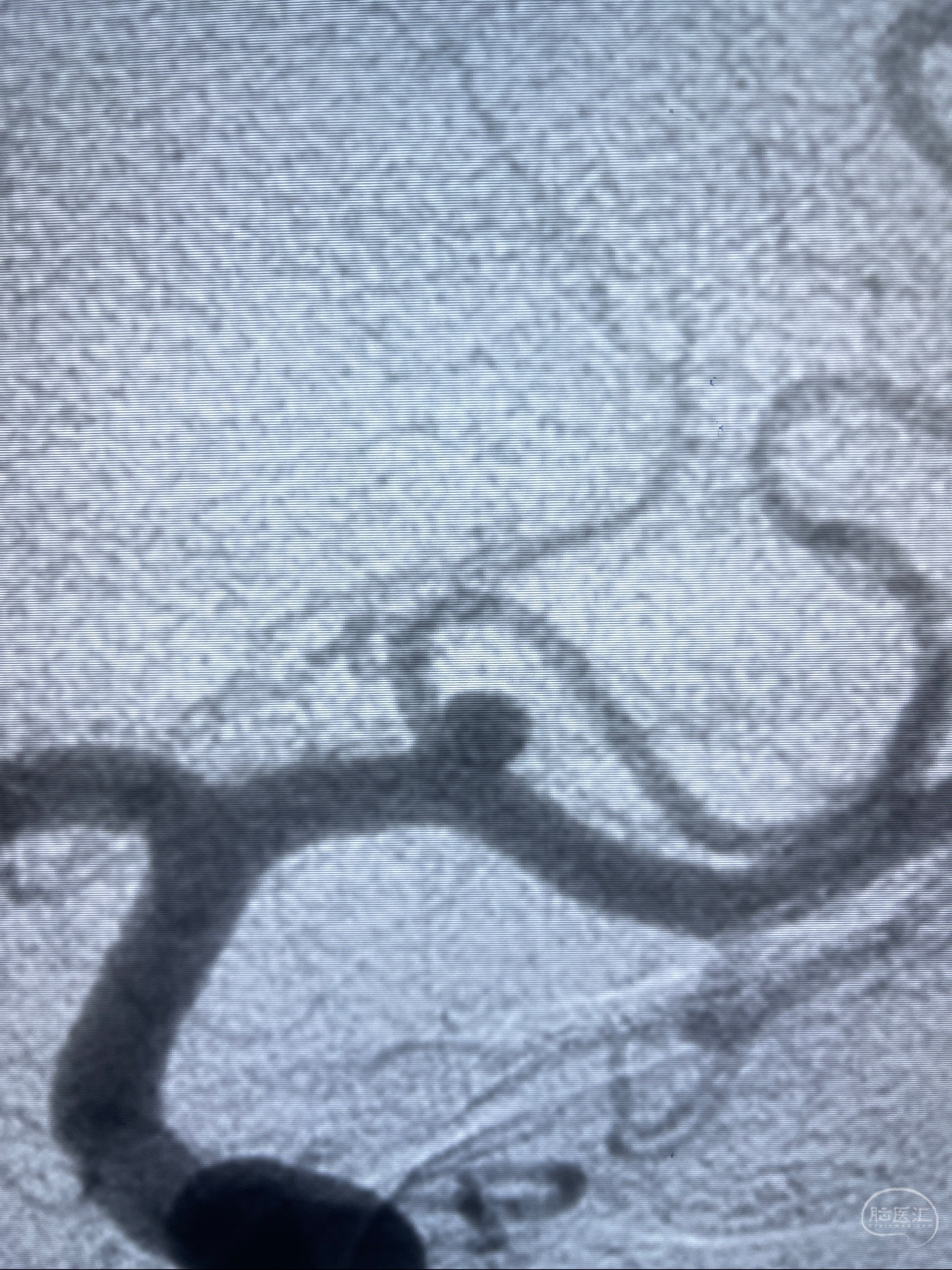
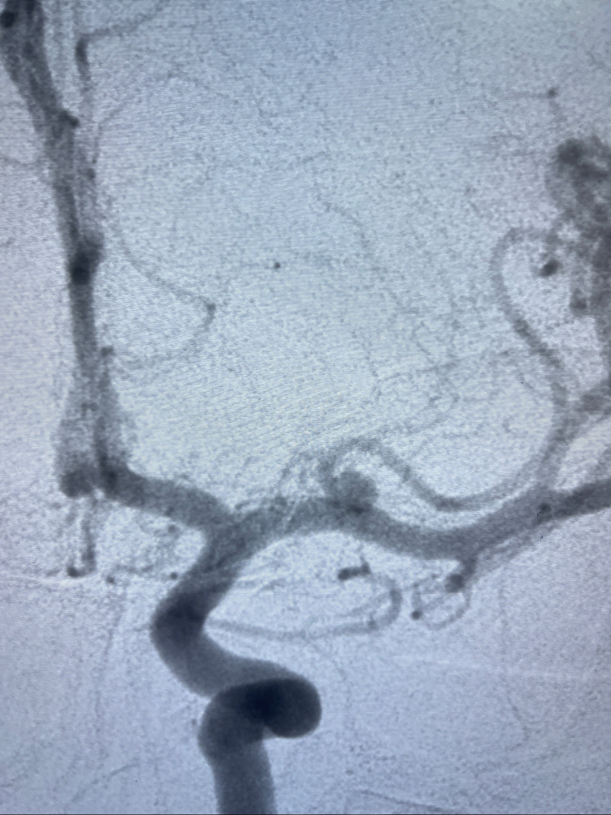
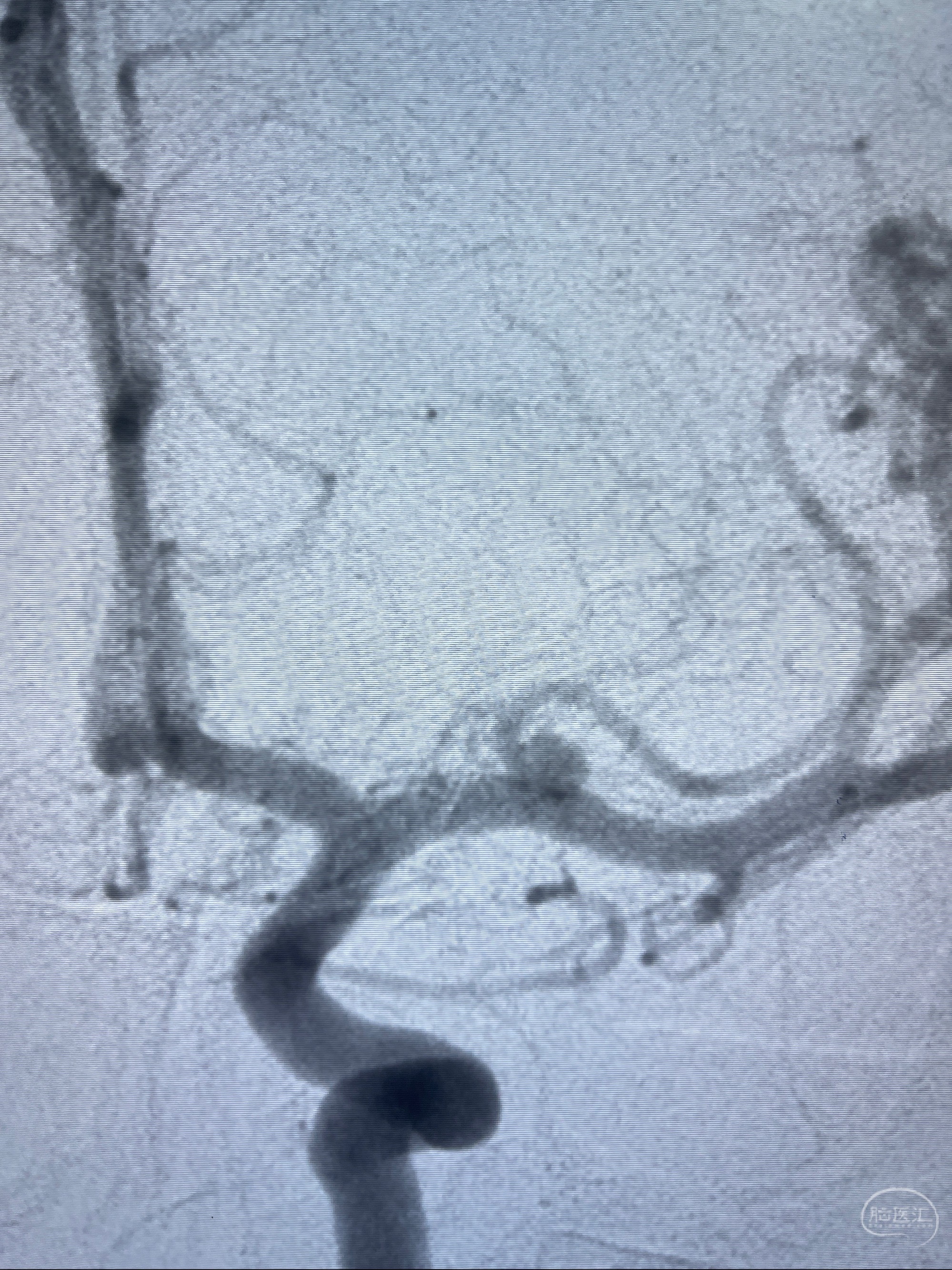
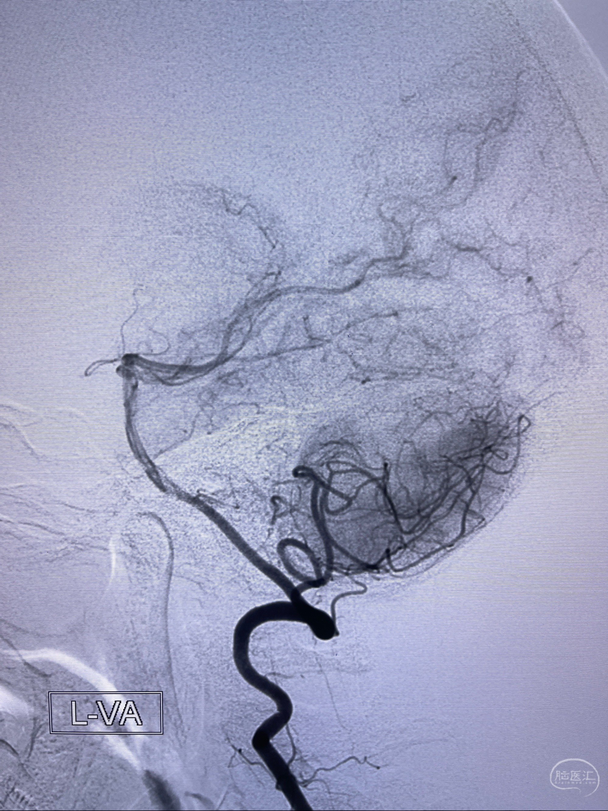
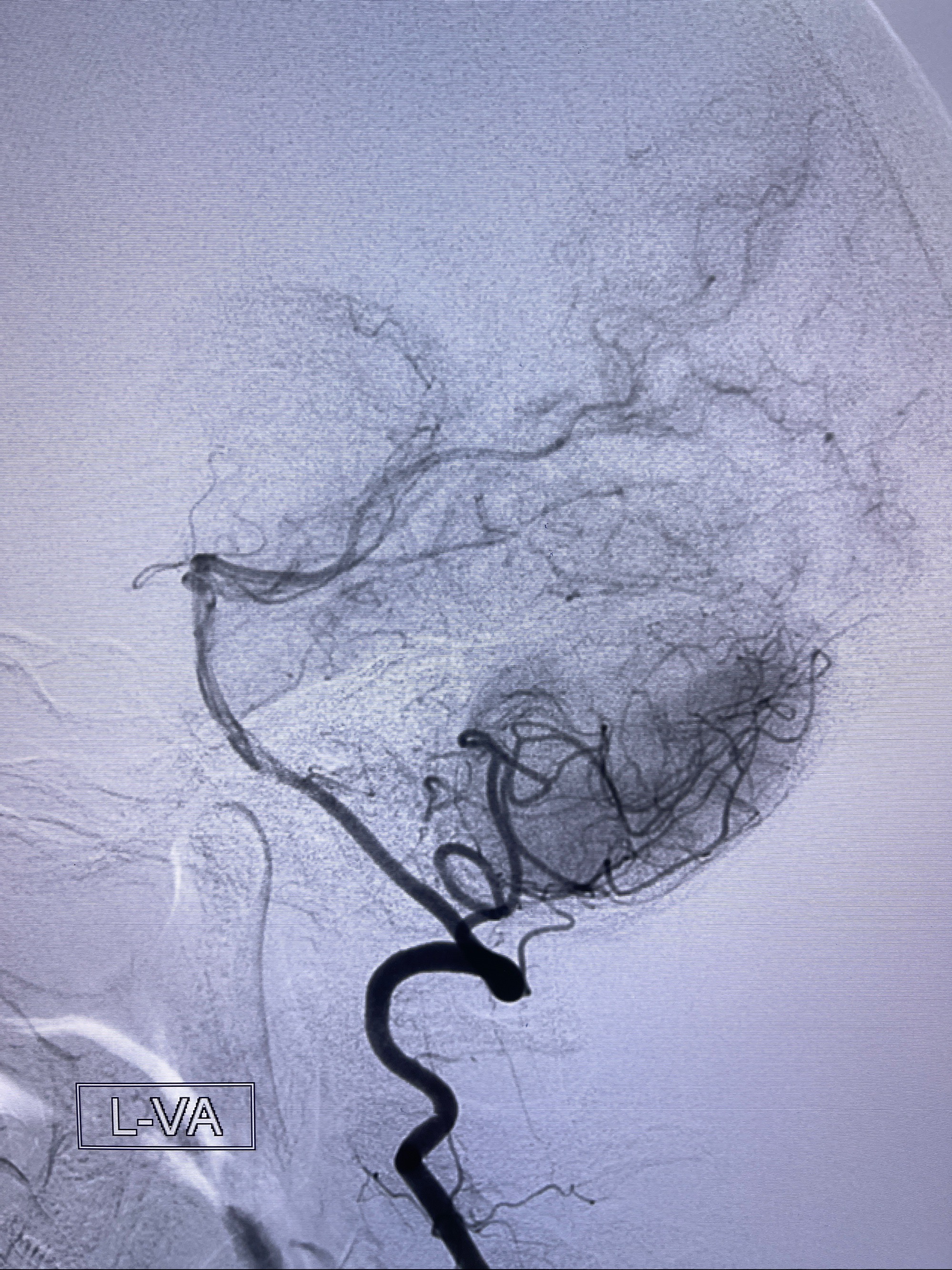
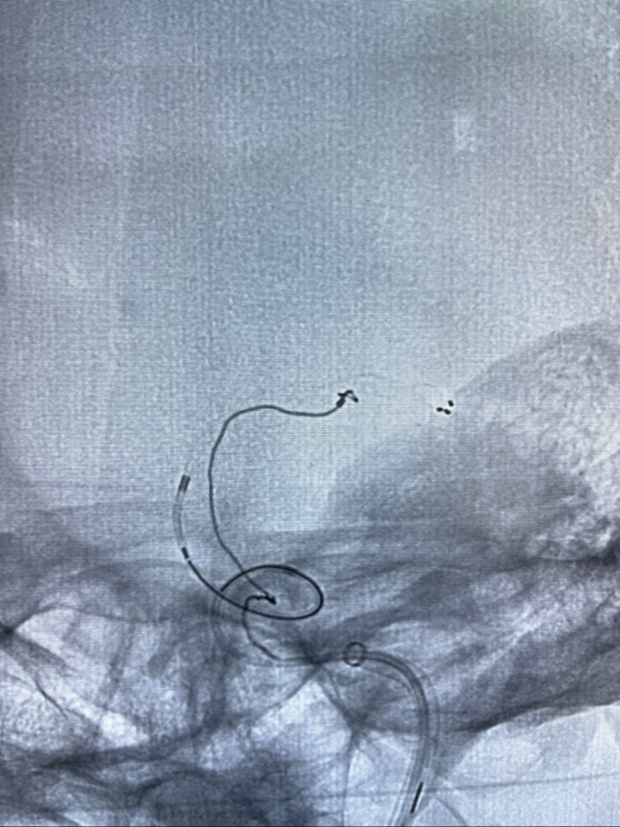
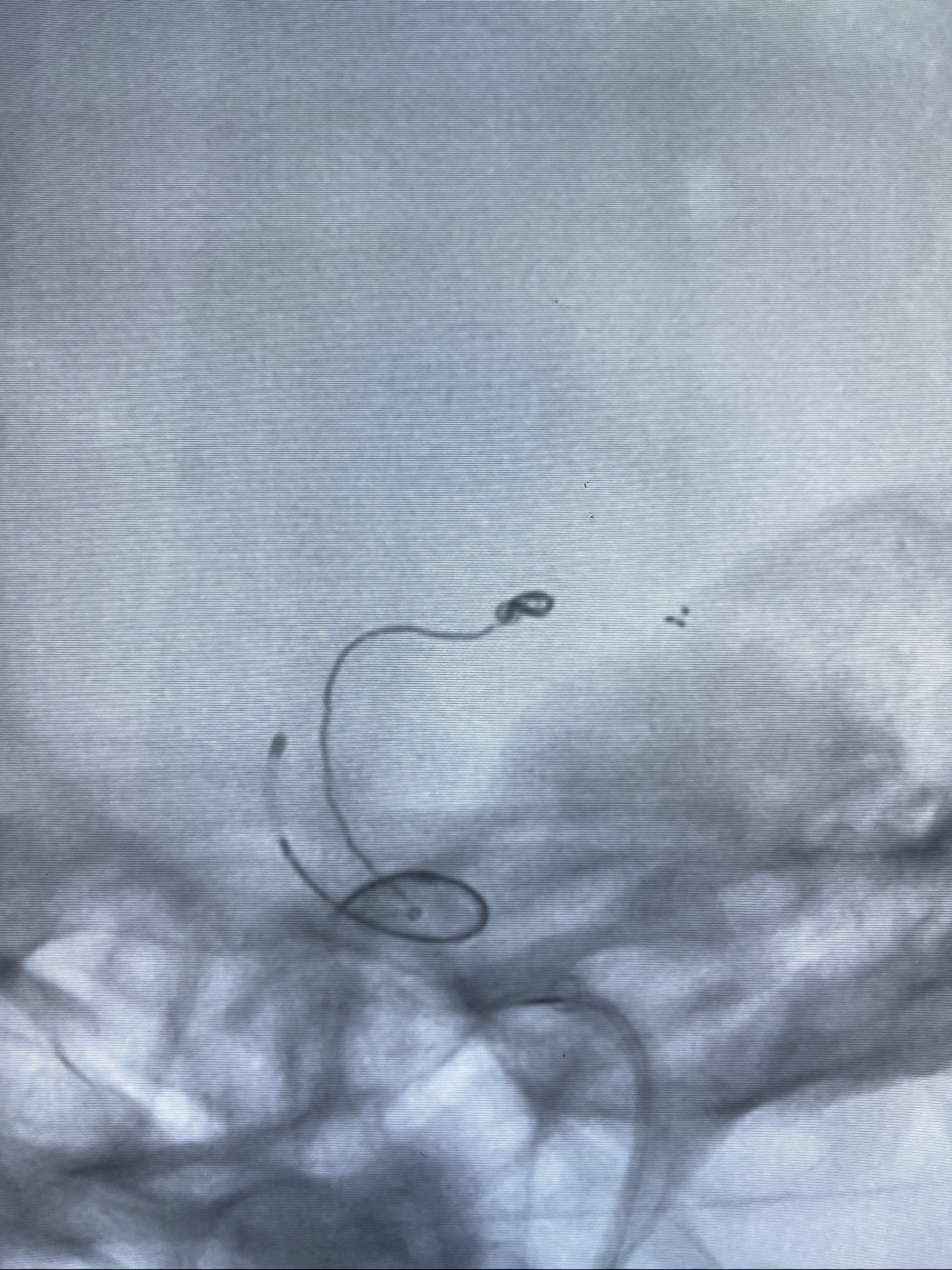
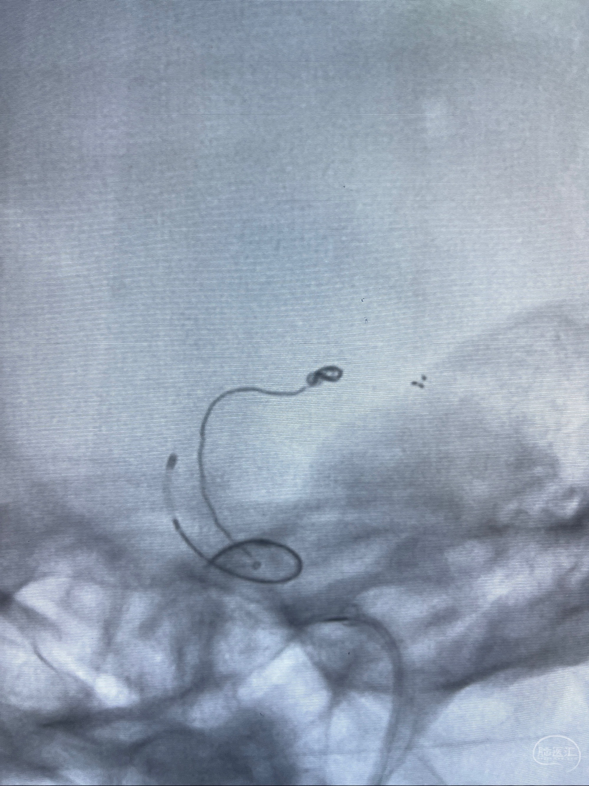
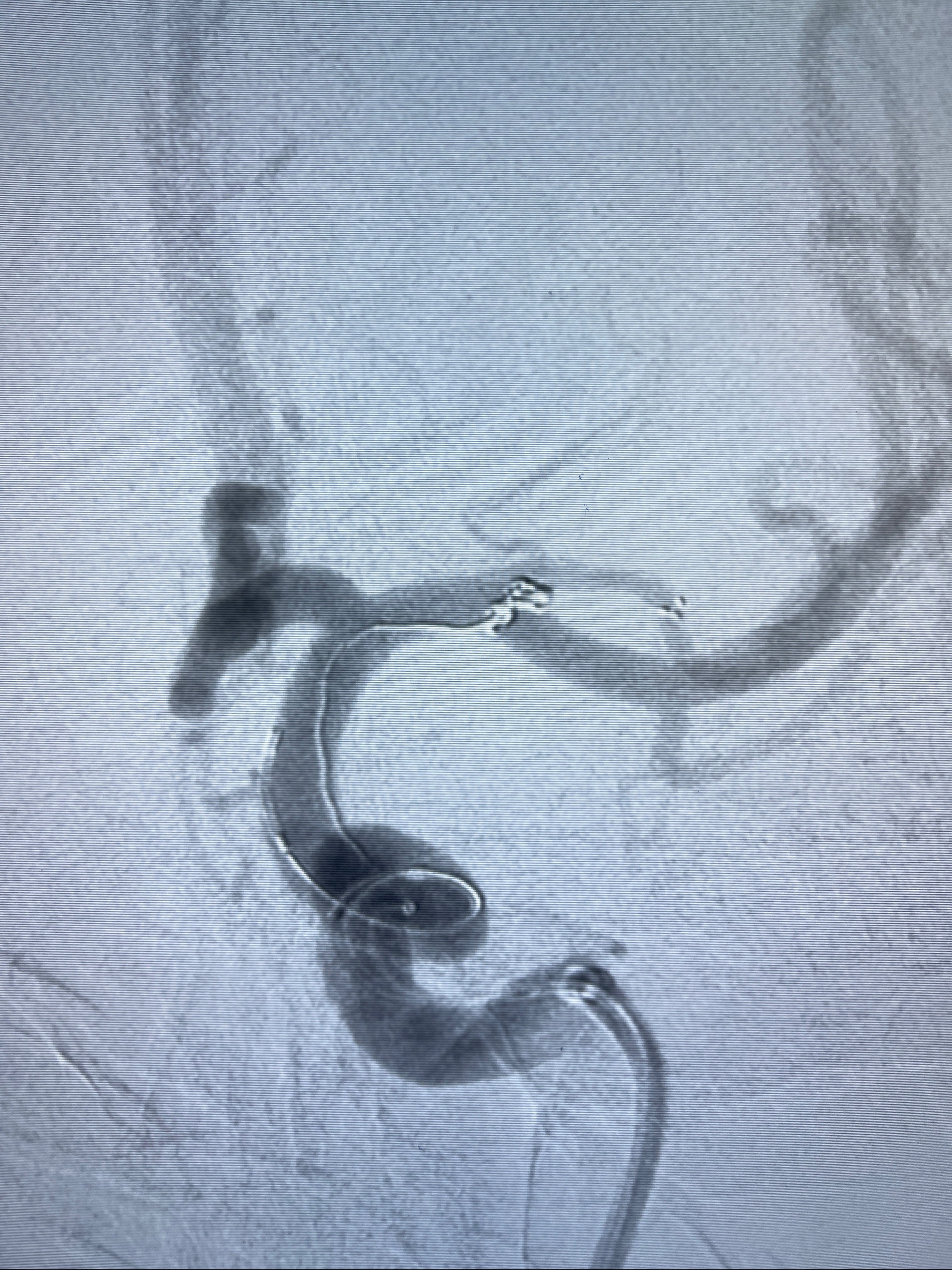
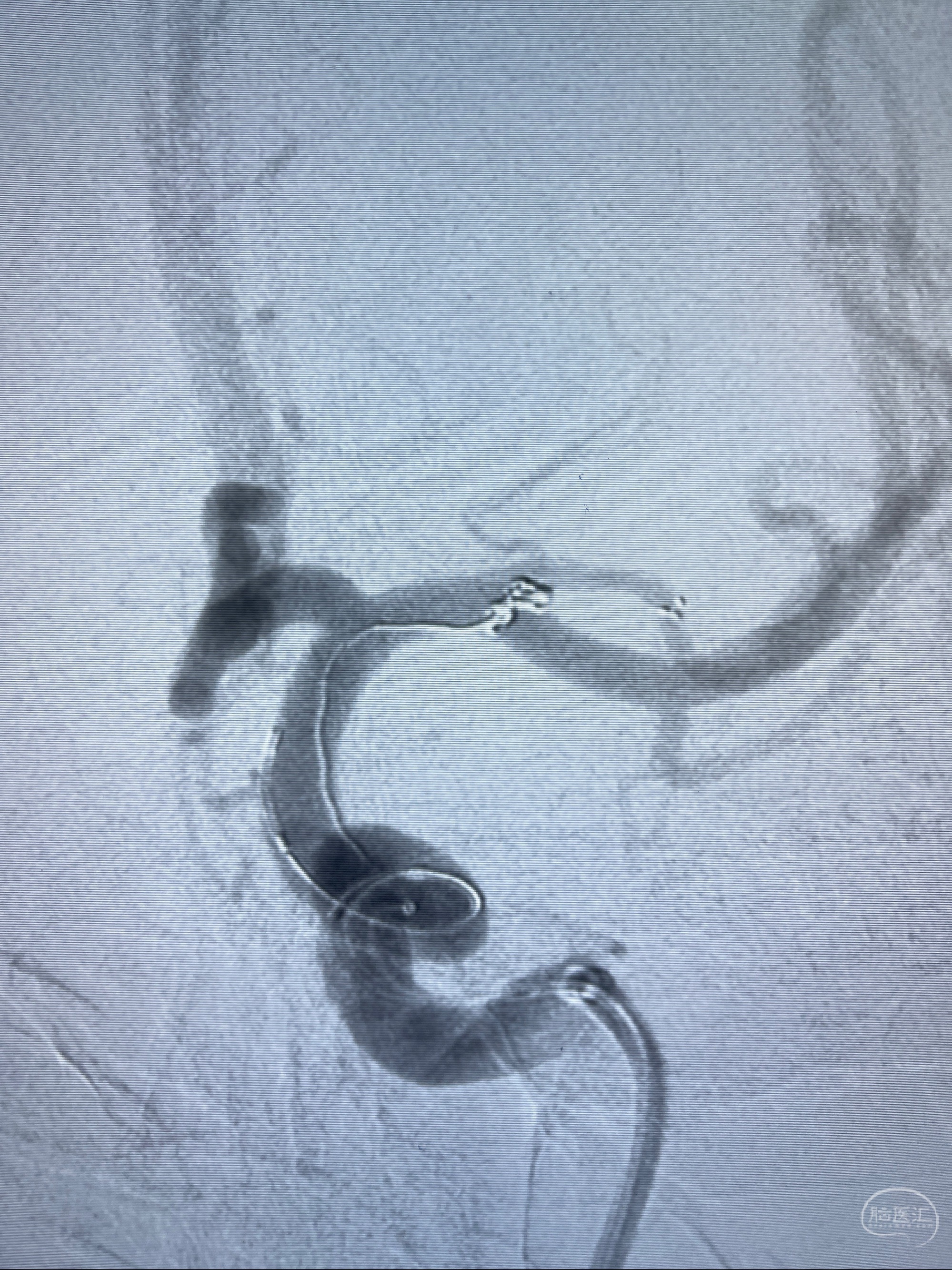
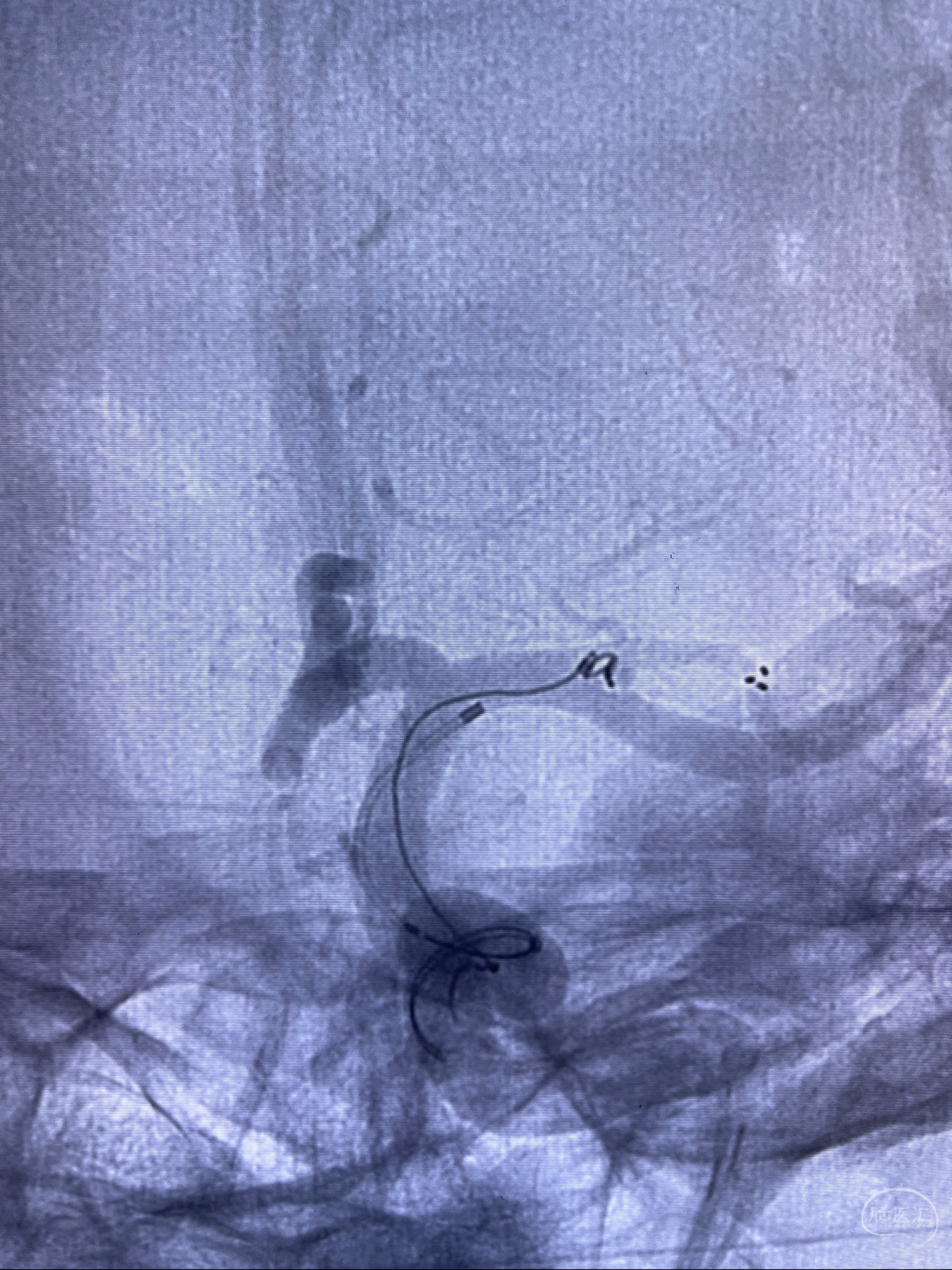
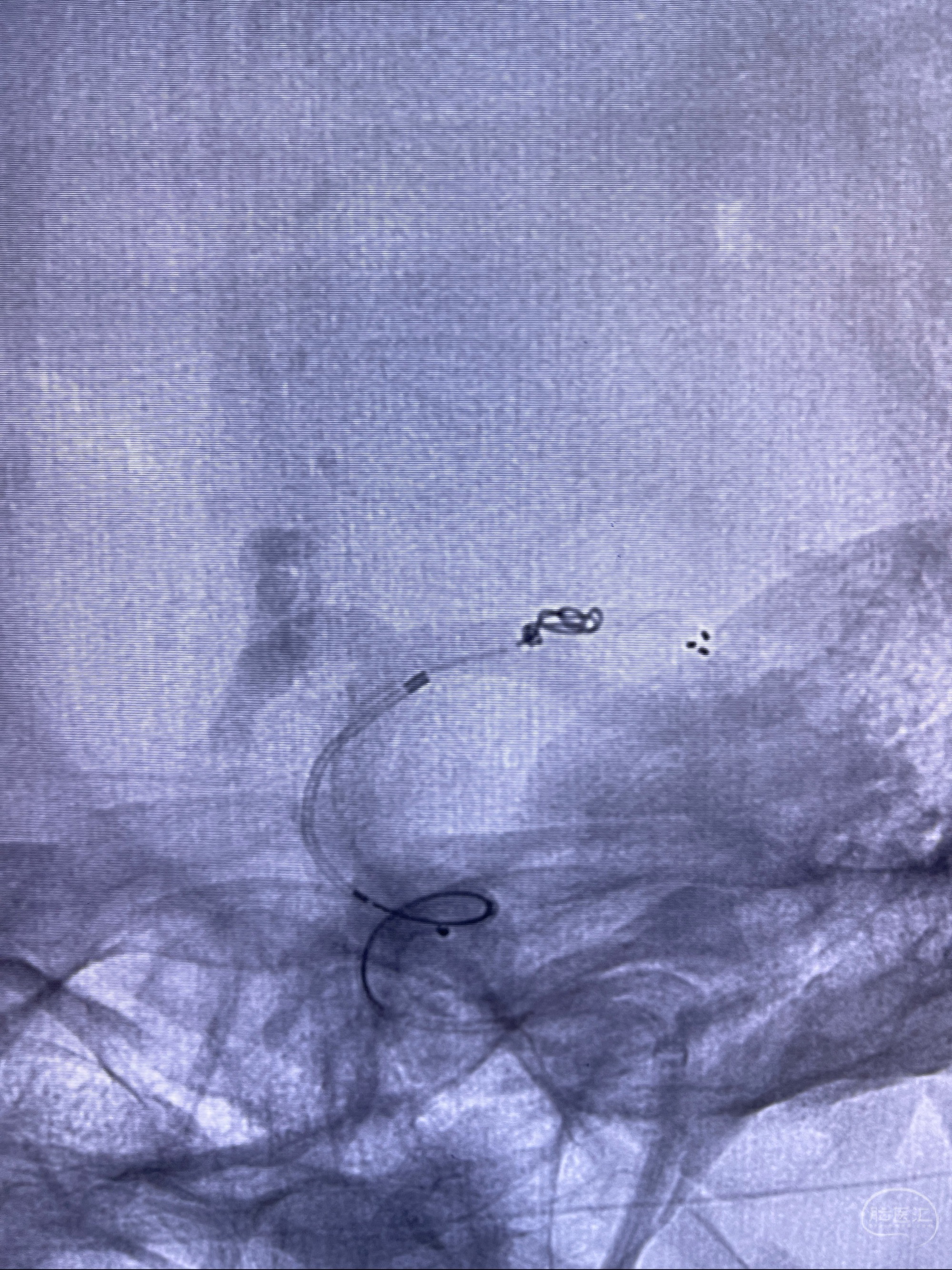
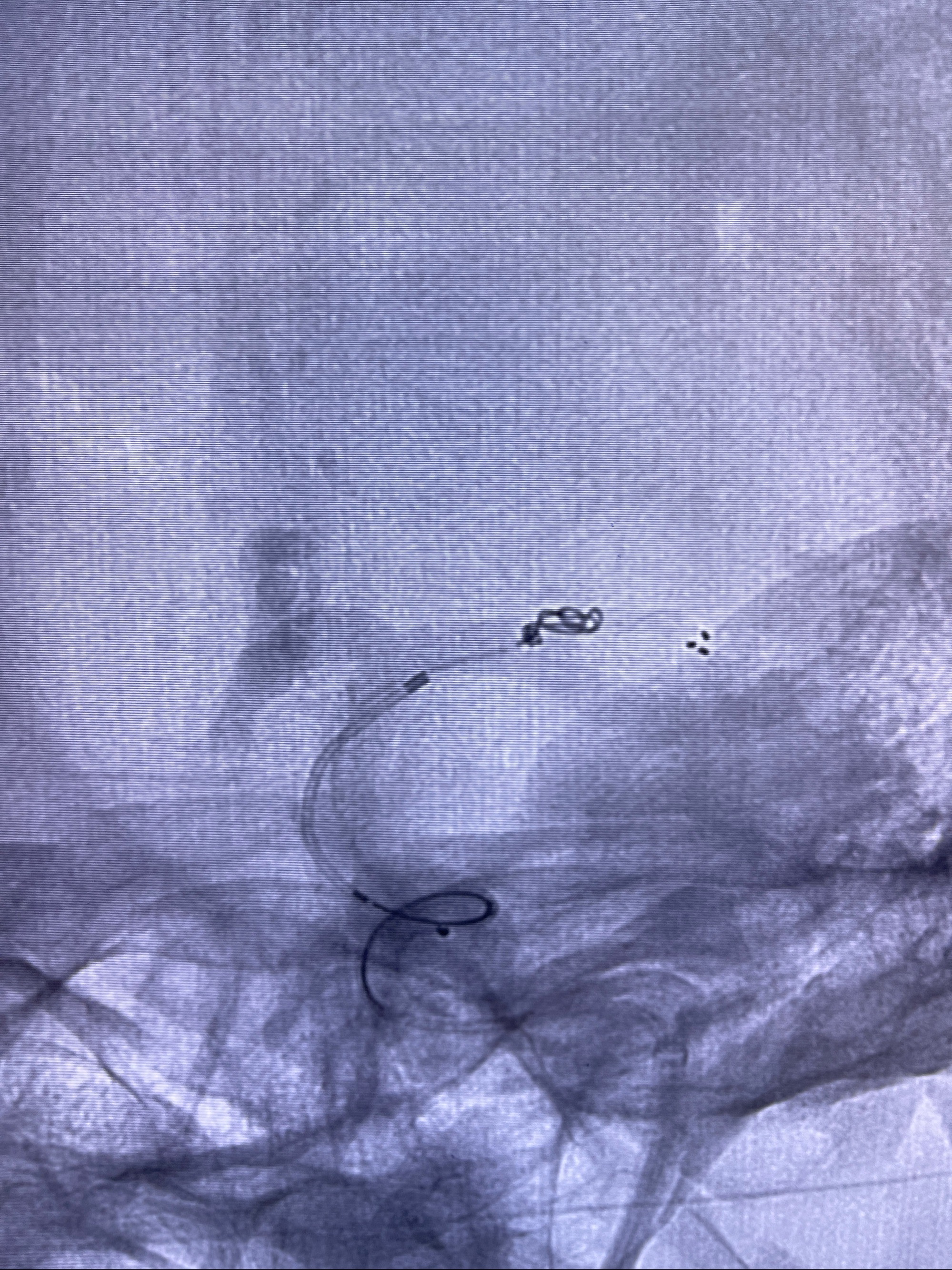
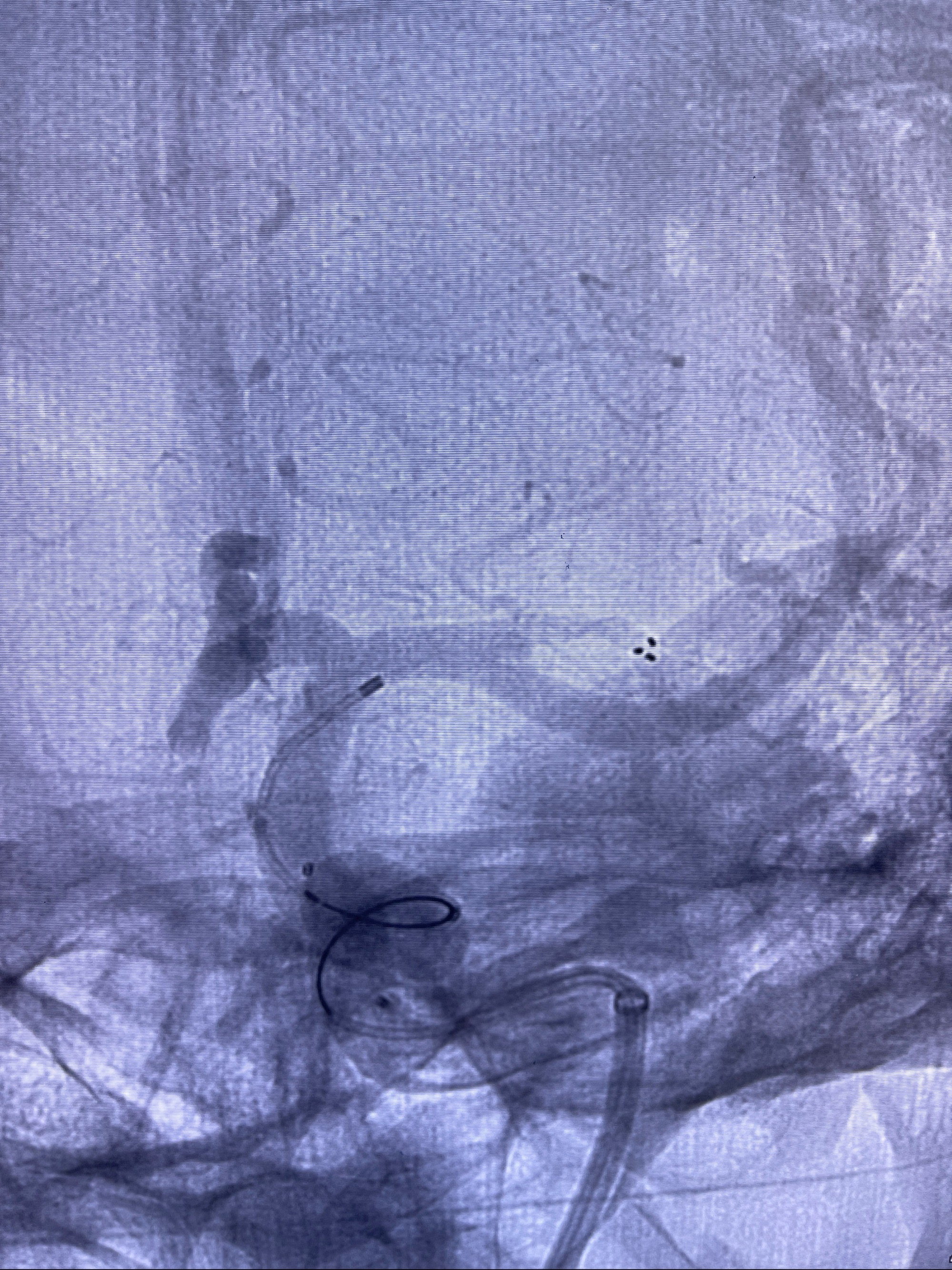
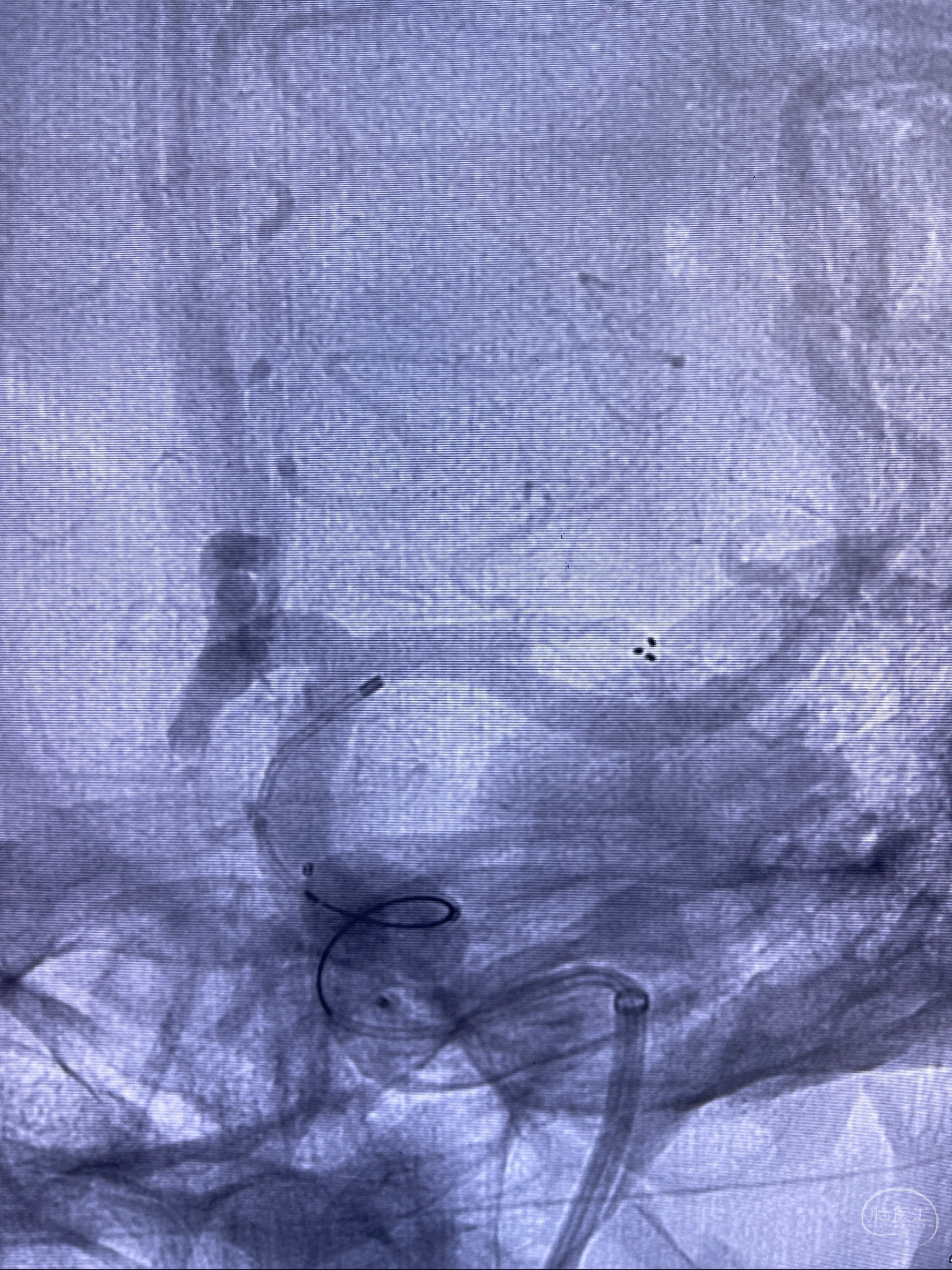
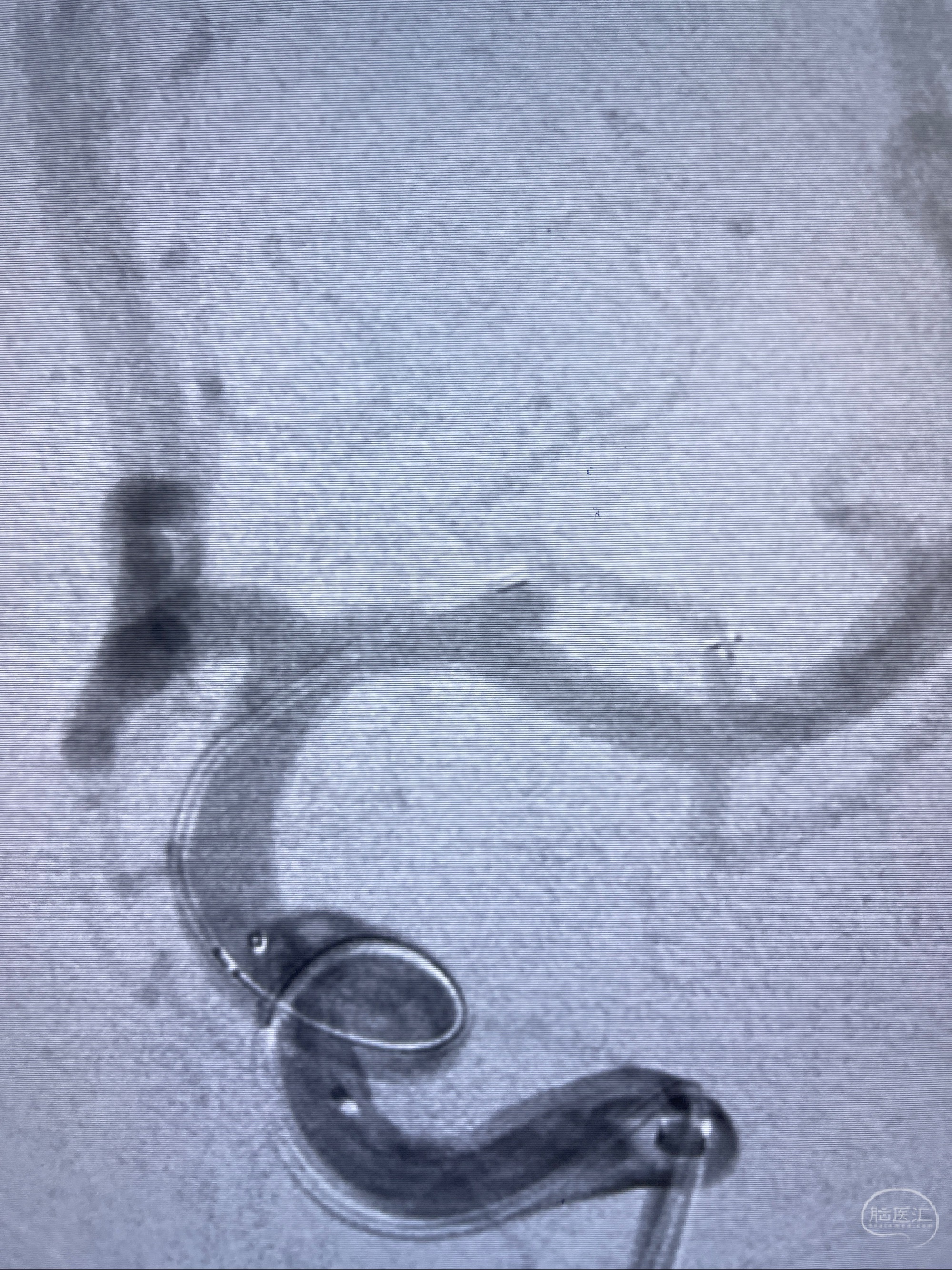
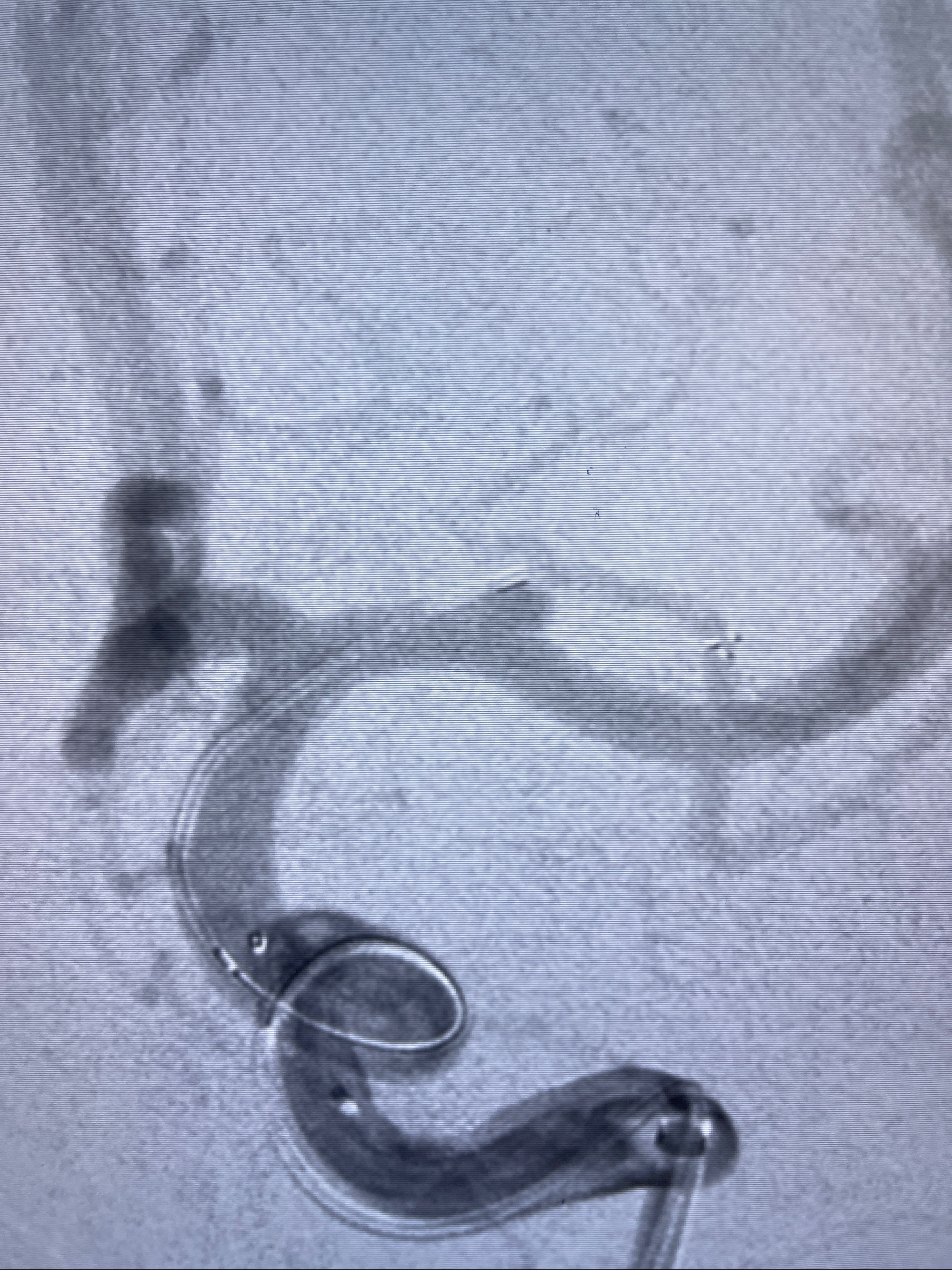
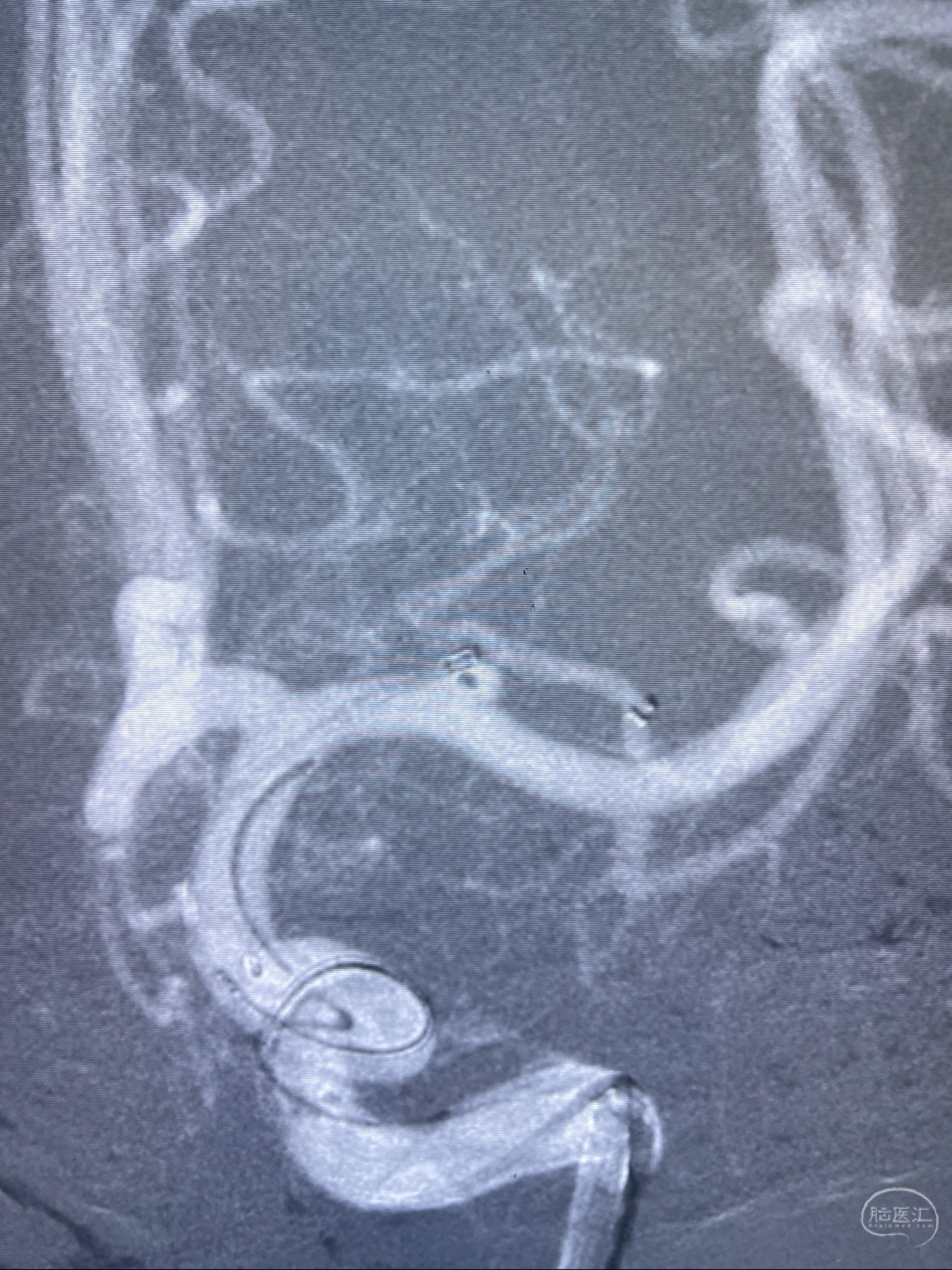
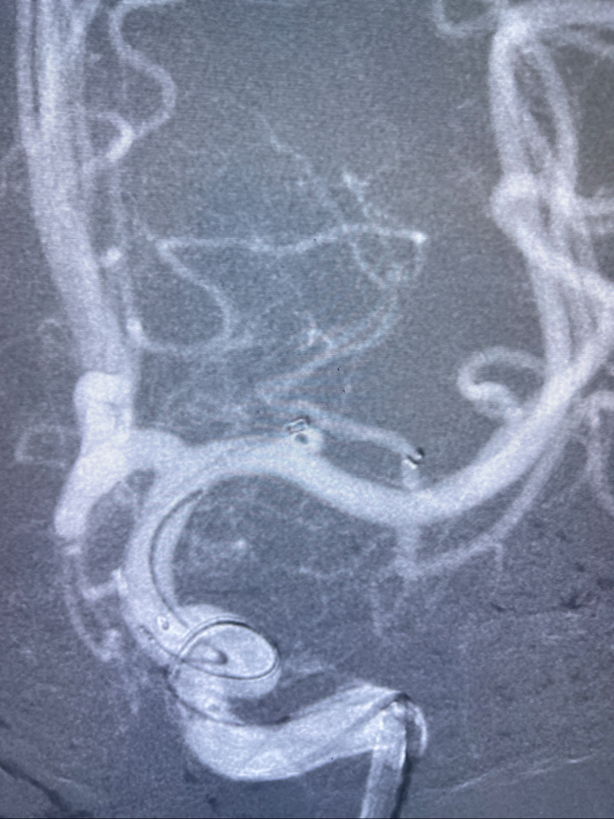
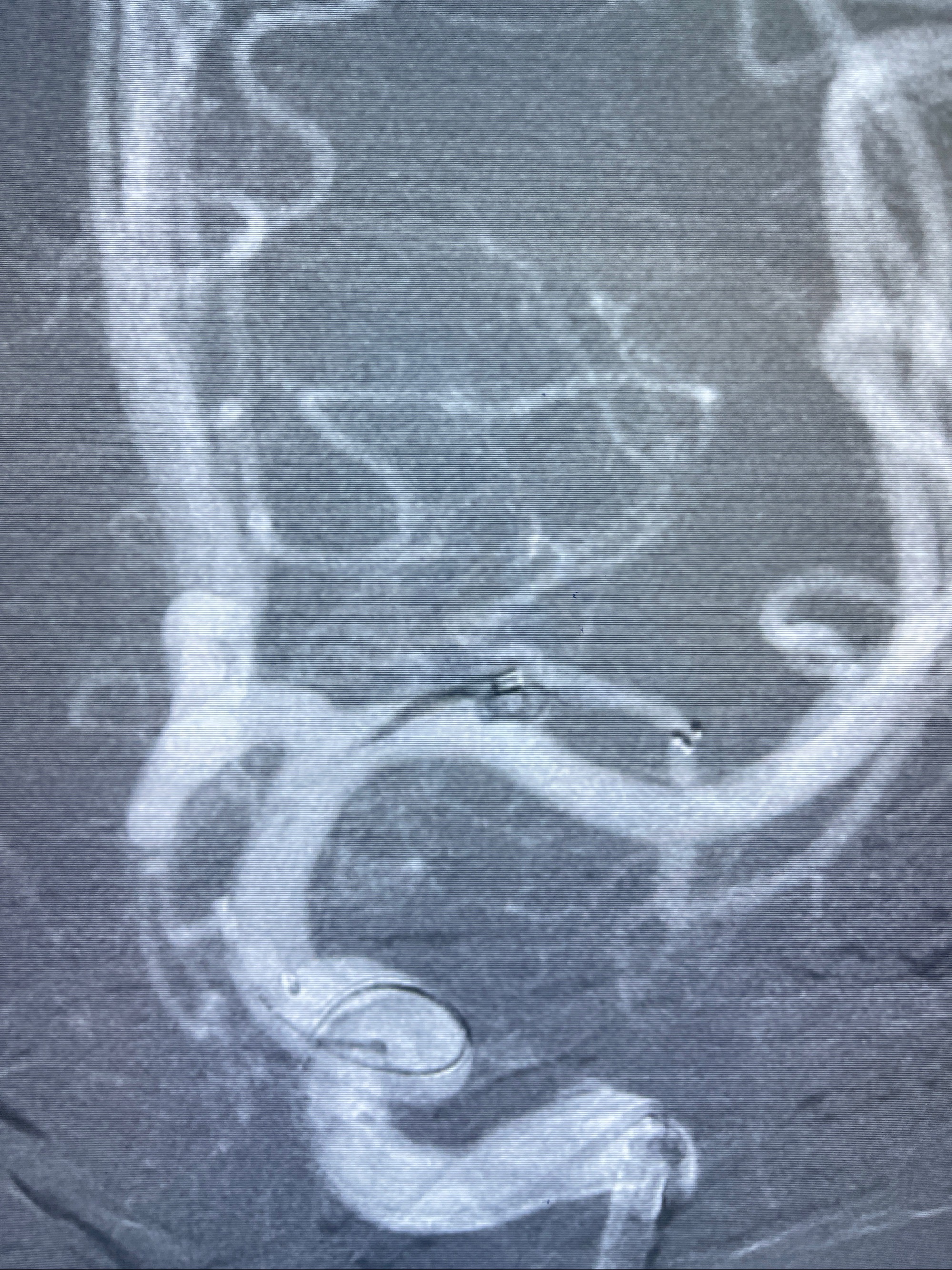
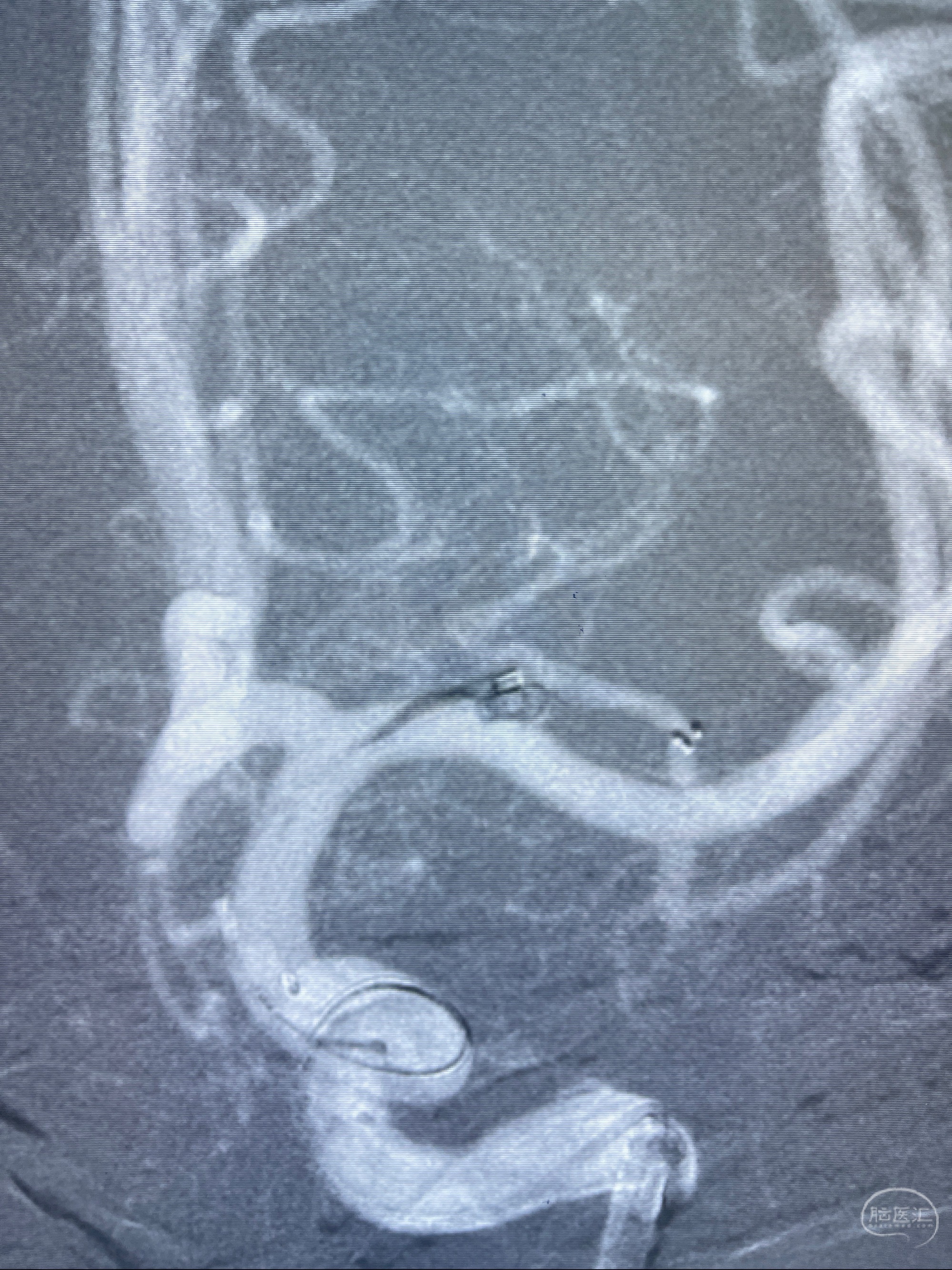
2023-08-14DSA:
左侧大脑中动脉动脉瘤,约2.6-2.8-3.4-2mm大小(瘤颈部、瘤体部、瘤高)
 
  
  
  
  
  
  
  
  
  
  
  
  
  
  
  
  
  
  
  
 治疗策略:
1.左侧大脑中动脉动脉瘤,约2.6-2.8-3.4-2mm大小(瘤颈部、瘤体部、瘤高)
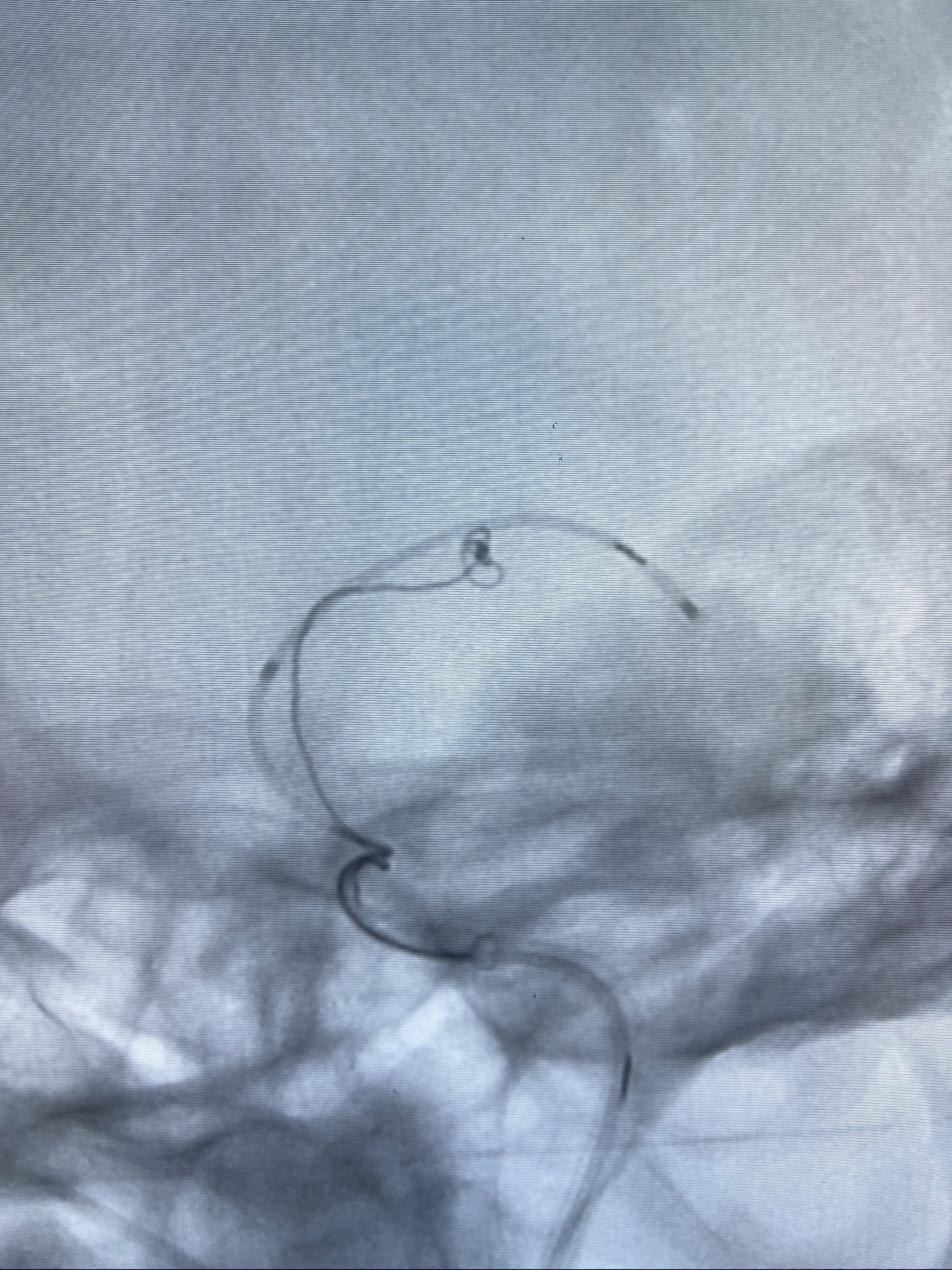
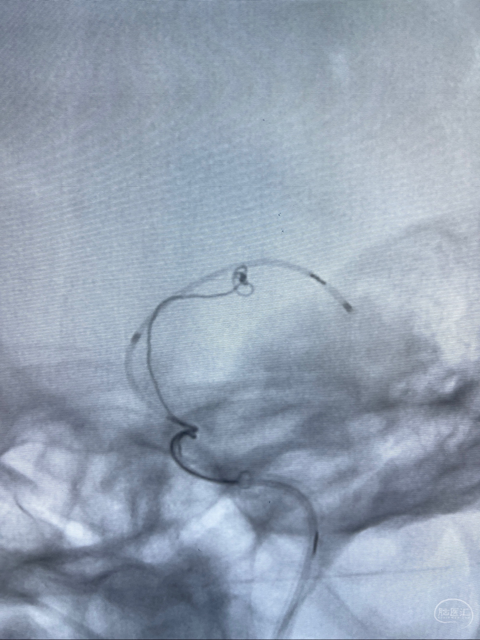
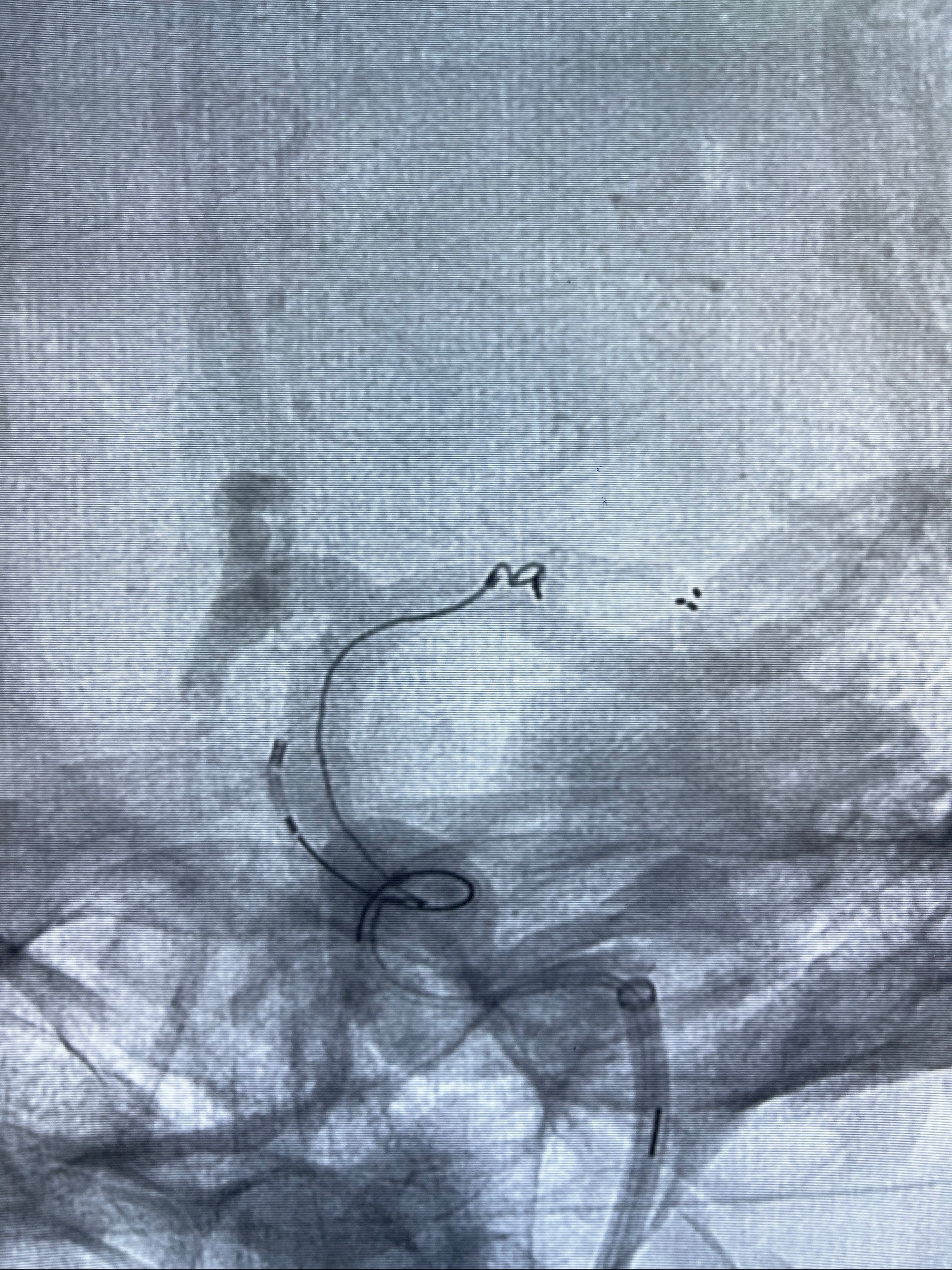
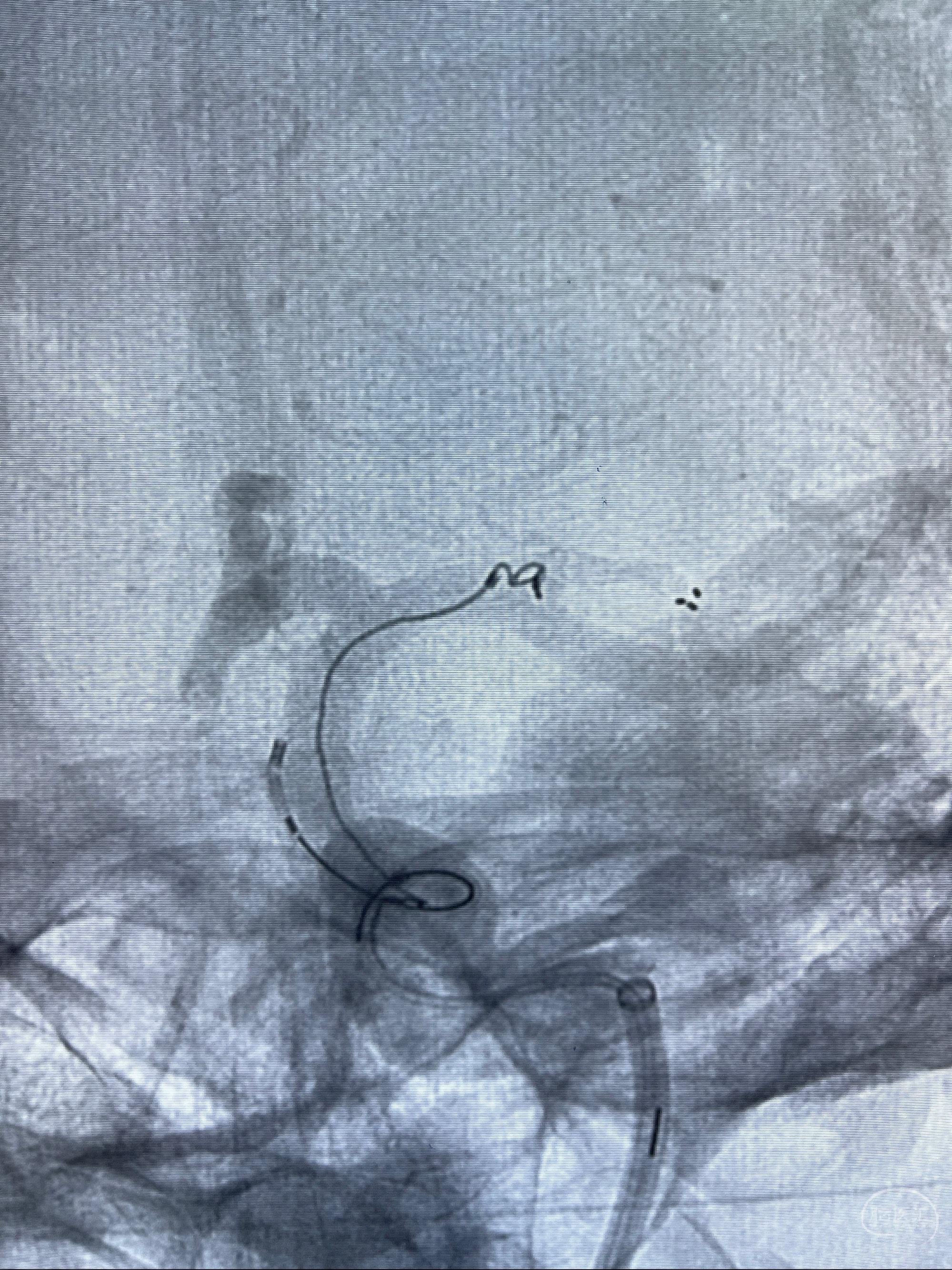
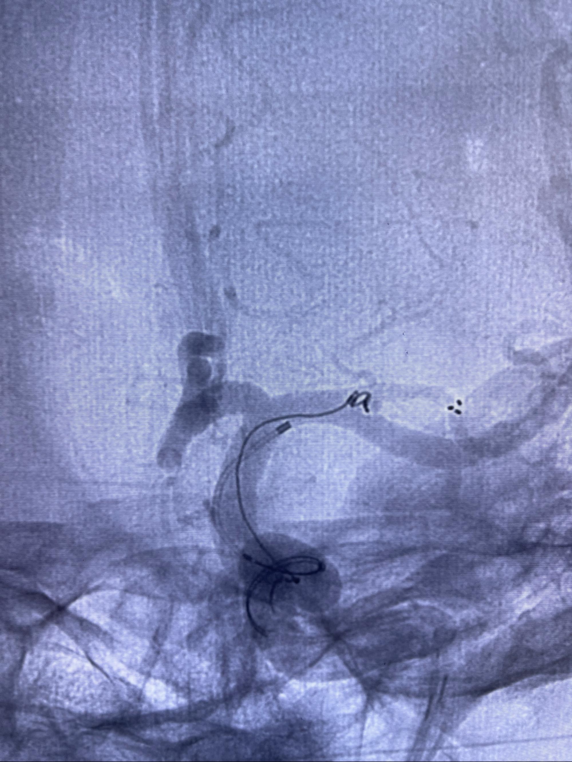
2.外科手术夹闭or介入支架辅助栓塞
 
  
  
  
  
  
  
  
  
  
  
  
  
  
  
  
  
  
  
  
  
  
  
  
  
  
  
  
  
  
  
  
  
  
  
 麻醉苏醒佳,遵嘱动作
术后即刻CT




