2019年07月24日发布 | 816阅读
神经介入-AIS
神经内科-神经内科

团队全麻快速取栓2例

孙军

南阳市中心医院

达人收藏

急诊。xdc,m61y

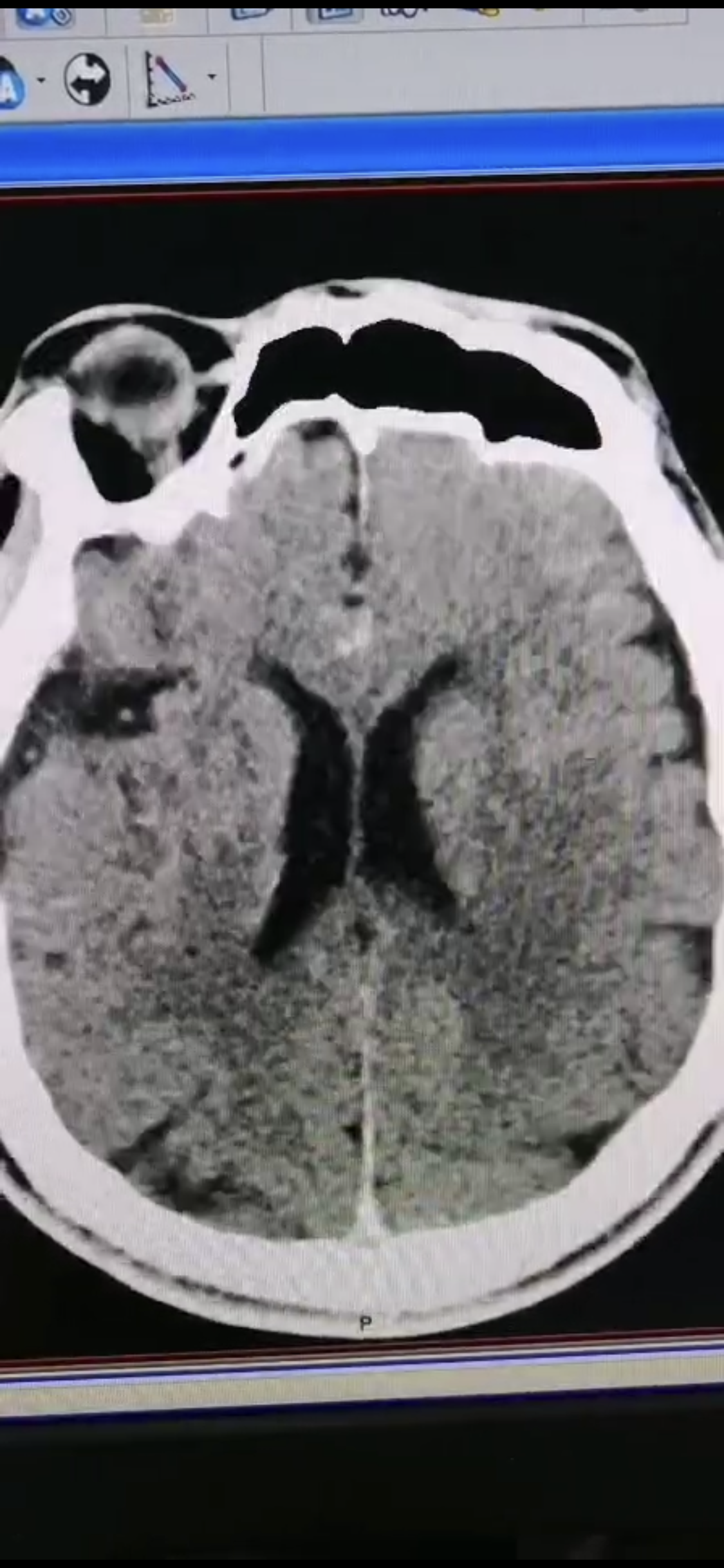
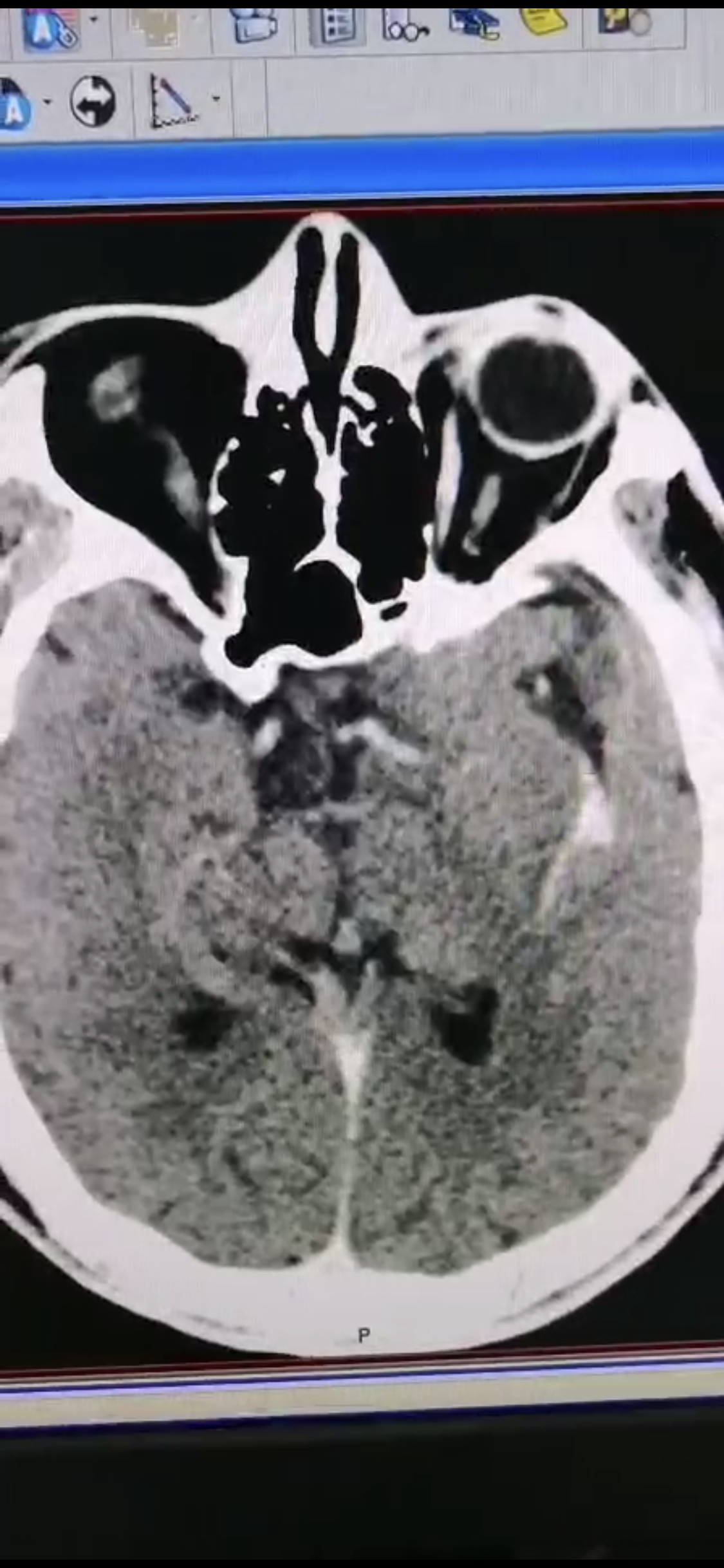
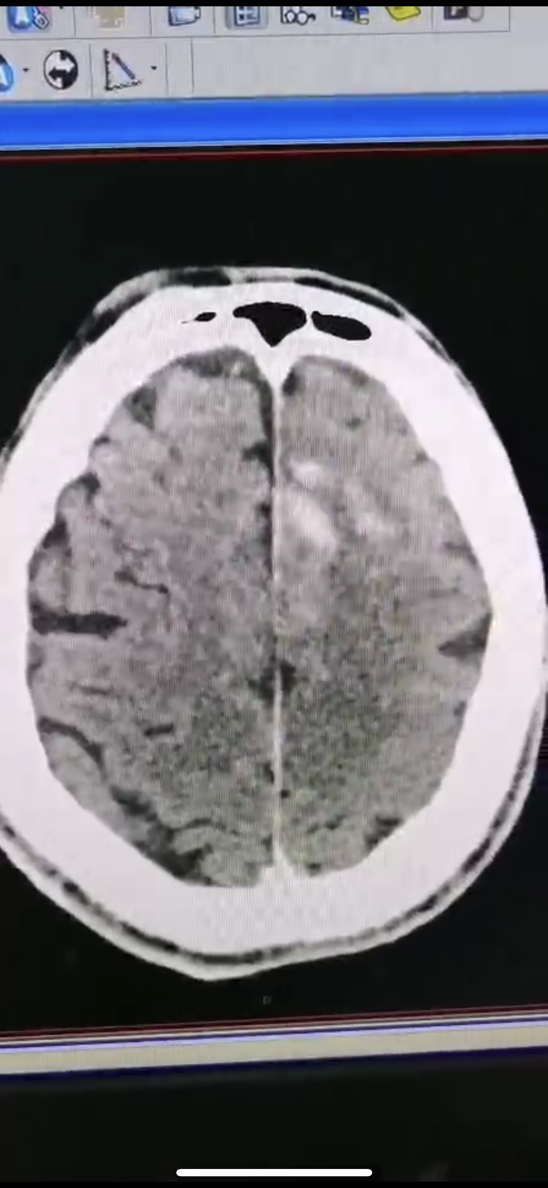
     1周前房颤栓塞肱动脉,切开取栓后服用利伐沙班3天。突发偏瘫凝视3小时。上台看M3、A3血栓,国产普威森6f125cm抽吸导管高到位结合尼科3x20mm小支架,结合精细操作,m3和a3的血栓也可以轻松取出。不刺激血管。加造影射线16min两次取栓两个血管再通。

柔软的国产普威森微导管,高到位。

3x20mm的国产reco支架,适合分支血管取栓。

术后良好。

急诊二。zde,f53y。

意识模糊进行性加重8h,基底动脉闭塞,reco取栓再通,貌似动脉硬化,实际血管光滑。造影➕取栓8min。今日团队配合紧密,不到三小时全麻造影取栓带苏醒完成两台取栓。团队棒棒的!南阳市中心医院神经内科脑血管病介入团队

团队快速取栓:1.得益于医院领导打造的完备的绿色通道,快速检测。2.微信群转诊系统,提前在患者从基层转诊途中已经告知取栓团队病情。3.专门的一线医生负责带领急诊检查。4.专门的护理接诊团队,急诊抽血备皮尿管胃管快速到位。5.专门的麻醉团队,甚至比病人先到导管室,快速麻醉不到十分钟,精湛的麻醉技术。6.专门的取栓团队,各种完善的取栓技术及先进取栓器材。7.这两例支架打开后看到血栓感觉不太硬,血流部分恢复,没有等待5min直接取栓,都是一把取通。

南阳市中心医院神经内科脑血管病介入团队

最新评论
发表你的评论
发表你的评论