下夜班,手术完成后回家,捧起手机简单汇报一下:中老年女性,后循环小梗死,左侧椎动脉闭塞未见残端,右椎开口次全闭塞。本次计划治疗右椎开口。
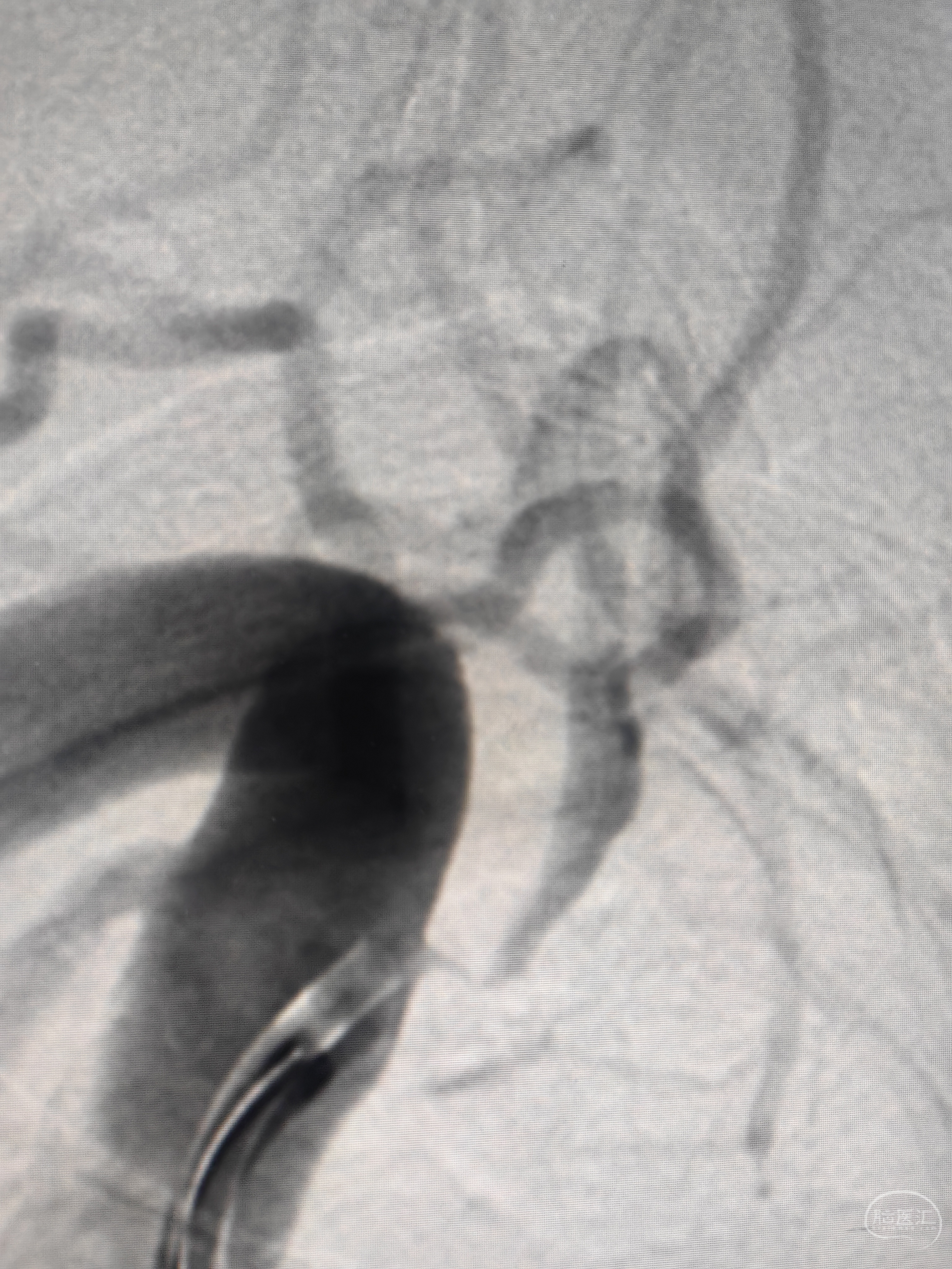
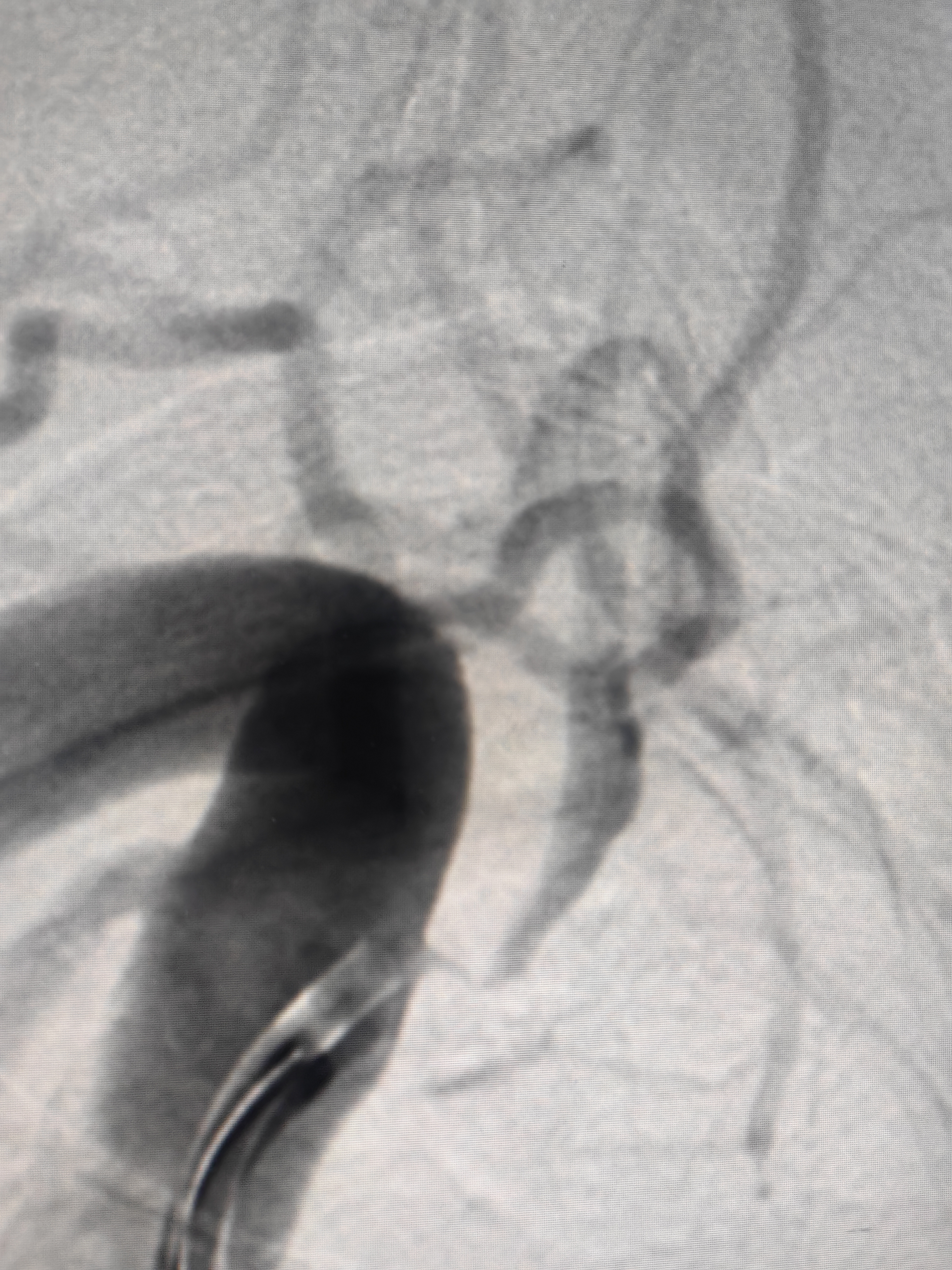
路径:右椎开口,直接上JR3.5,放大造影:
JR提供的朝向其实也不够好,看看每次走微导丝的样子
上SL-10微导管不行,加125管改变角度还是不行,此处省略长时间,最后的最后,想到用猪尾管切一半来提供角度便于支撑,but,猪尾长度110,guiding长度100,加个y阀无法出头,取了y阀裸上,不能路途不能造影,大概预估的角度上
这是猪尾切了的样子
通过的一瞬间,甚至都是有多巴胺分泌的了,可以想象过程有多坎坷😂
我以为微导管通过会稍困难,结果还算顺
接下来的简单了,微导管造影,3m导丝交换,小球囊预扩,支架到位,定位,释放,造影:




