三叉神经痛可分为原发性(症状性)三叉神经痛和继发性三叉神经痛两大类,其中原发性三叉神经痛较常见。
原发性三叉神经痛:是指具有临床症状,但应用各种检查未发现与发病有关的器质性病变。多表现为发作性、骤发骤停的放射性点击样剧痛,呈针刺、刀割、撕裂或烧灼样,历时数秒至数分钟,大多数不超过2分钟,半数以上患者有“扳机点”。绝大多数人是原发性三叉神经痛。
继发性三叉神经痛:除有临床症状,同时临床及影像学检查如头颅磁共振可发现器质性疾病如肿瘤、炎症、血管畸形等。大部分是三叉神经痛走形的位置有岩斜区肿瘤。今天主要给大家介绍几例颅底肿瘤导致的继发性三叉神经痛。
病例一、
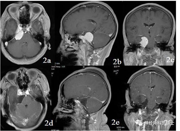
患者系33岁女性,安庆人,“三叉神经痛”多年,近期明显加重,磁共振检查发现是颅内肿瘤压迫三叉神经导致。应用“双镜”技术,显微镜、内窥镜结合,有利于发现并全切除肿瘤,并且把三叉神经在脑池段的走行完全减压出来。患者肿瘤切除后,疼痛也完全消失。
该肿瘤性质表皮样囊肿,或称胆脂瘤,因色成珍珠白,又称珍珠瘤。为先天性良性肿瘤,容易长在三叉神经走行的解剖区域,并且见缝就钻,长于神经、血管间隙里。
术前磁共振弥散
术后磁共振弥散示肿瘤切除较完全
病例二、
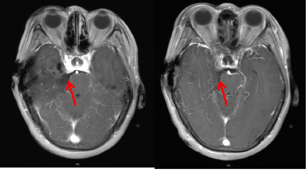
术前磁共振检查诊断:右侧岩尖脑膜瘤、继发性右侧TN;
术前MRI提示肿瘤位于右侧岩尖,压迫脑干及三叉神经。
术前磁共振轴位增强
术前磁共振冠状位增强
术前磁共振矢状位增强
体位
手术策略:
采用右侧颞下岩前入路(硬膜内)
术前腰大池置管
颞骨的下缘与中颅底平齐
切开天幕缘,识别滑车神经进入天幕位置
切断岩上窦
暴露肿瘤,术中根据肿瘤大小再决定是否磨除岩尖
打开迈氏囊,切除其内肿瘤。
术后增强示肿瘤全切
注:颞骨岩部后方的脑膜瘤可分为以下四类:岩骨后部,内听道口及内听道,岩尖但未侵及内听道,桥小脑角区并侵及内听道。大多数岩尖脑膜瘤并不侵犯内听道。岩尖脑膜瘤多是良性肿瘤,脑干及颅神经受压使得造成严重后果的几率大大增加。使得这类肿瘤处理起来颇具挑战性。
硬膜内颞下岩前入路在治疗岩尖脑膜瘤的优势:首先,该入路从侧方暴露岩斜区域,兼顾中后颅窝病变,可全程暴露;其次,该入路可磨除岩骨尖,消除骨质增生对三叉神经的卡压;再者,该入路切开MECKEL囊,直视切除肿瘤,肿瘤切除更彻底,三叉神经保护更好,同时可以切除增厚的硬脑膜,减除对三叉神经的卡压;最后,该入路可暴露三叉神经根部,排查血管压迫因素,也可全程减除蛛网膜黏连,游离三叉神经。
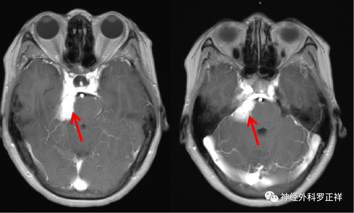
病例三
(见下图,上三张为术前,下三张为同一层面术后复查对比,提示肿瘤全切除)
患者48岁女性,以“右侧面部疼痛”为主诉入院。
门诊诊断为三叉神经痛。进了病房后,给予做磁共振检查显示为岩斜区肿瘤。
术前磁共振MRI增强显示中颅窝岩骨尖部和后颅窝(小脑幕下、斜坡)病变,术后1天磁共振复查显示肿瘤全切,无残留,术后患者恢复良好,没有不良症状发生。通过颞下经小脑幕入路一次手术全切病变,避免分期二次手术的痛苦。
病例四
(见下图,左侧为术前,右侧为术后)
术前磁共振MRI增强显示岩斜区病变,后颅窝病变累及面神经水平,我们沿用改良扩大乙状窦后入路,在显微镜下行乙状窦后经天幕入路,术后1天磁共振复查显示肿瘤全切,术后患者恢复良好,没有不良症状发生。该入路方式相对于传统乙状窦后入路,既可以减少后颅窝神经的损伤,还可以更好的处理脑膜瘤基底,达到Simpson I级切除。
专家简介
罗正祥,南京医科大学附属脑科医院(南京脑科医院)神经外科副主任医师,医学博士,中共党员,南京地区第六届“十佳”医师,南京市卫健委优秀共产党员,江苏省援藏医疗专家。
擅长:脑膜瘤、胶质瘤、神经鞘瘤、垂体瘤、脑转移瘤、三叉神经痛、舌咽神经痛、面肌痉挛、脑出血、脑梗死、脑外伤、脑积水等各种神经系统疾病的诊断与外科微创手术治疗。
专家门诊时间:每周一下午14:00-17:30,门诊3楼18号诊室(南京市鼓楼区广州路南京脑科医院)




