患者JK,男性,44岁,被发现言语不利,右侧肢体无力5小时入院。既往病史不详。
急诊头颅CT示左侧额叶低密度灶。
完善核磁DWI示左侧额颞顶枕叶,左侧基底节区 左侧半卵圆中心多发新近脑梗死。
MRA示左侧大脑中动脉闭塞。
诊断:
1、脑梗死(心源性栓塞可能性大)
2、左侧大脑中动脉闭塞
诊疗分析:
患者中年男性,被发现言语不利,右侧肢体无力,具体发病时间不详,经核磁评估提示左侧大脑中动脉闭塞导致左侧半球大面积低灌注梗死,具备介入治疗指征。紧急联系家属沟通后行脑血管造影评估备血管内治疗。
右侧颈内动脉正常。
右侧颈内动脉颅内段正常,胚胎型大脑后动脉。
右侧颈内动脉颅内段正常,胚胎型大脑后动脉。
左侧颈内动脉起始部正常。
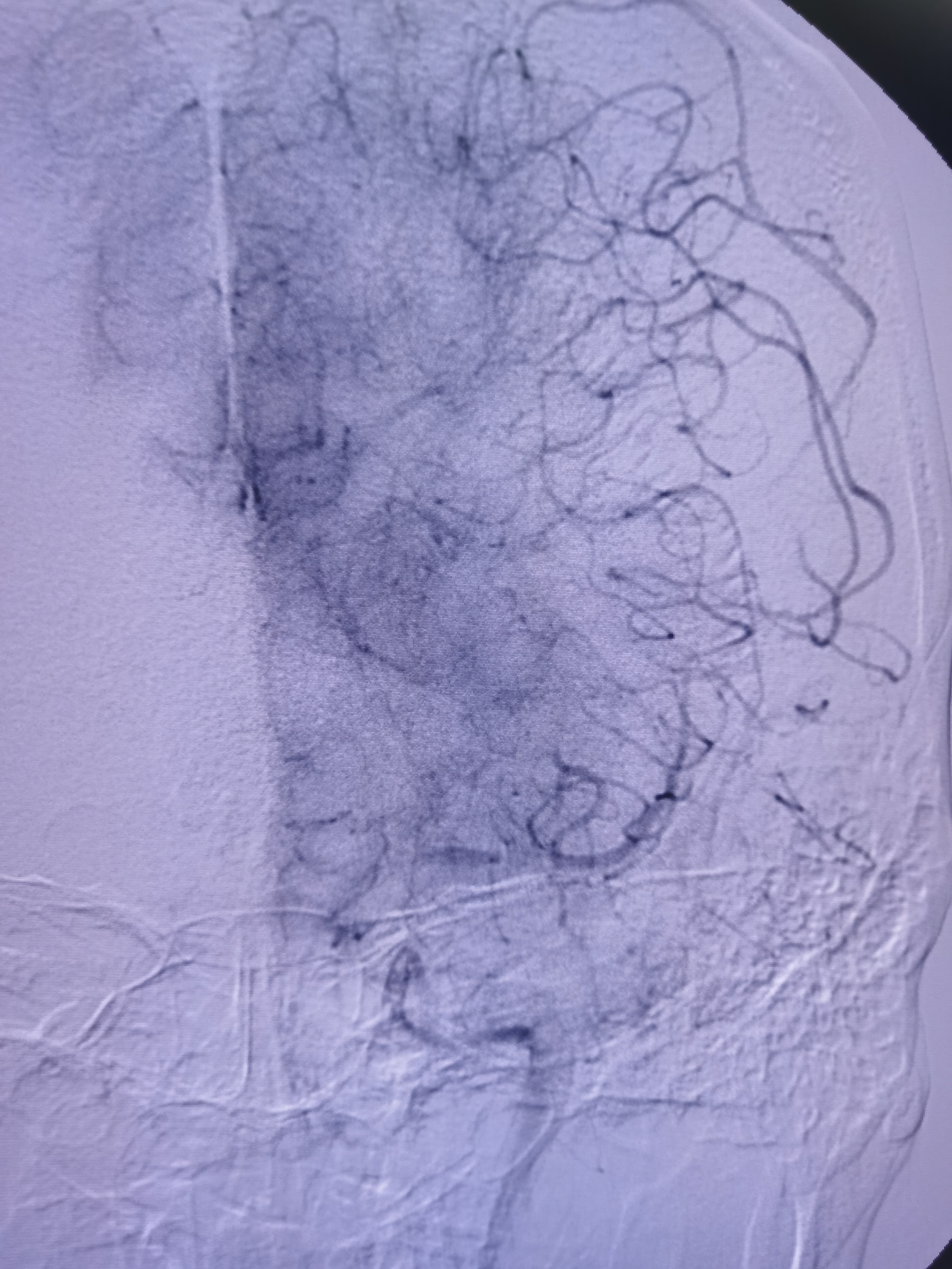
左侧大脑中动脉闭塞,胚胎型大脑后动脉。
左侧大脑中动脉闭塞,胚胎型大脑后动脉。
动脉晚期可见软膜支代偿远端血供。
8F导引导管及中间导管迅速建立通路,微导丝携微导管顺利通过病变。
微导管确认位于真腔。
4/20取栓支架释放后血管再通。
SWIM技术取栓一次,取出的血栓。
取栓后颅内血管再通,血流通畅。
取栓后颅内血管再通,血流通畅。
取栓后颅内血管再通,血流通畅。
术前术后对比。
患者穿刺到再通15分钟,术后颅内血流通畅,TICI3级,撤出各级导管结束手术。继续内科药物治疗,观察病情。
术者体会:
1、本例患者中年男性,发病时间不详,临床表现言语不利,右侧肢体无力,定位左侧前循环,经多模核磁评估后明确左侧大脑中动脉闭塞,具备介入治疗指征。
2、本例患者路径良好,快速建立通路,SWIM技术取栓一次,完全再通。




