Xiedagang
男,68
主诉:鼻咽恶性肿瘤放化疗后22年余,言语含糊、反应迟钝2月余
现病史:患者2000年因鼻咽癌行放化疗治疗,后多次随访,未见复发,2016年患者因脑出血于当地医院就诊,药物治疗,具体不详,家属诉影像学资料提示左侧颈内动脉闭塞,遂于2017年行右侧颈内动脉支架保护术,共置入4枚支架,并予以抗血小板药物治疗。2023年4月患者突发头晕、站立不稳,跌倒,言语含糊、反应迟缓,至当上海市第十人民医院药物治疗后头晕改善,头颅CT平扫提示:鞍区可疑肿块伴钙化(1.9*2.0cm),周围骨质吸收,两侧放射冠区多发腔隙性脑梗塞,部分陈旧性病灶,左侧额叶、颞叶软化灶,右侧颞极区可疑低密度影,并予以阿司匹林、氯吡格雷抗血小板治疗,患者仍有言语含糊、反应迟缓;后2023年5月患者口鼻出血,遂至复旦大学附属华山医院就诊,查头颅MR增强提示:鼻咽部CA放疗后,鼻咽顶后壁异常强化灶,侵犯邻近斜坡骨质,(结合病史)双侧额叶异常信号,放射性损伤可能,两侧额顶叶、侧脑室旁及脑干多发缺血灶,左侧额叶皮层下软化灶,脑萎缩,幕上脑积水,鼻窦炎;停用阿司匹林抗血小板治疗;2023-06-02鼻咽部病理报告提示:(鼻咽)粘膜间质内见数小团癌细胞浸润,部分为鳞癌,高至中分化;2023-06-08查鼻咽增强CT提示:鼻咽弥漫肿块,广泛侵犯周围结构伴颅底骨质破坏,其内伴坏死腔,累及右侧颈内动脉,双侧中耳乳突炎,双侧多发鼻窦炎。现患者偶有饮水呛咳,反应迟缓、言语含糊,考虑继续放化疗治疗鼻咽恶性肿瘤,但需血管保护,遂至我科就诊,收治入院。
患者自本次发病以来,精神可,胃纳可,睡眠可,大便如常,小便如常,体力轻度下降,体重未见明显下降。
既往史:一般健康状况良好。否认肝炎史。否认结核史。否认疟疾史。有脑血管病史:20216年脑出血病史,2022年4月脑梗死个人史。否认精神病史。有高血压史20年余,服用苯磺酸氨氯地平降压,血压控制可。否认心脏病史。有糖尿病史2月余,服用二甲双胍、利格列汀片降糖,血糖控制尚可。有手术史:2017年行右侧颈内动脉支架植入术。 否认外伤史。 否认输血史。否认食物、药物过敏史。否认预防接种史。
个人史:出生于上海,久居上海,否认疫区接触史。无化学性物质、放射性物质、毒物质接触史。
、
查体:神清,精神萎。反应迟缓,言语含糊,颈软,两侧瞳孔等大等圆,对光反射存在,咽部软组织增厚,吞咽功能减退。四肢肌力肌张力正常,病理征未有明显引出。
、
辅助检查:
2023-4-16 上海市第十人民医院 头颅CT平扫:鞍区可疑肿块伴钙化(1.9*2.0cm),周围骨质吸收,两侧放射冠区多发腔隙性脑梗塞,部分陈旧性病灶,左侧额叶、颞叶软化灶,右侧颞极区可疑低密度影,
2023-05-24 复旦大学附属华山医院 头颅MR增强:鼻咽部CA放疗后,鼻咽顶后壁异常强化灶,侵犯邻近斜坡骨质,(结合病史)双侧额叶异常信号,放射性损伤可能,两侧额顶叶、侧脑室旁及脑干多发缺血灶,左侧额叶皮层下软化灶,脑萎缩,幕上脑积水,鼻窦炎;
2023-06-02 复旦大学附属耳鼻喉科医院 鼻咽部病理:(鼻咽)粘膜间质内见数小团癌细胞浸润,部分为鳞癌,高至中分化;
2023-06-08 复旦大学附属耳鼻喉科医院 鼻咽增强CT:鼻咽弥漫肿块,广泛侵犯周围结构伴颅底骨质破坏,其内伴坏死腔,累及右侧颈内动脉,双侧中耳乳突炎,双侧多发鼻窦炎。
诊断:
1.右侧颈内动脉夹层
2.左侧颈内动脉闭塞
3.右侧颈内动脉狭窄(支架植入后)
4.鼻咽恶性肿瘤
5.脑出血个人史
6.脑梗死个人史
7.高血压
8.2型糖尿病
增强MRI:鼻咽癌侵犯右侧颈内动脉,颅底至支架远心段
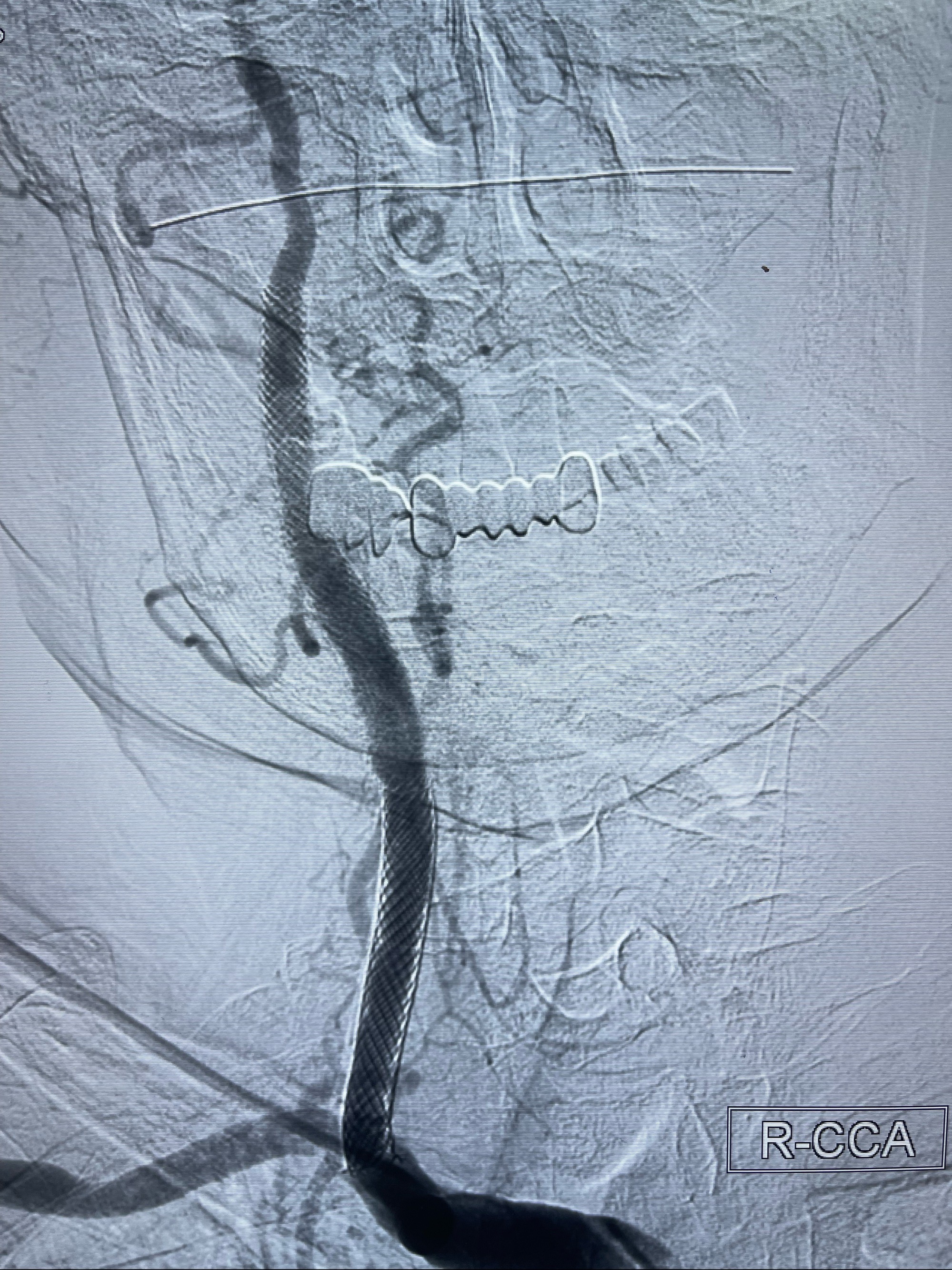
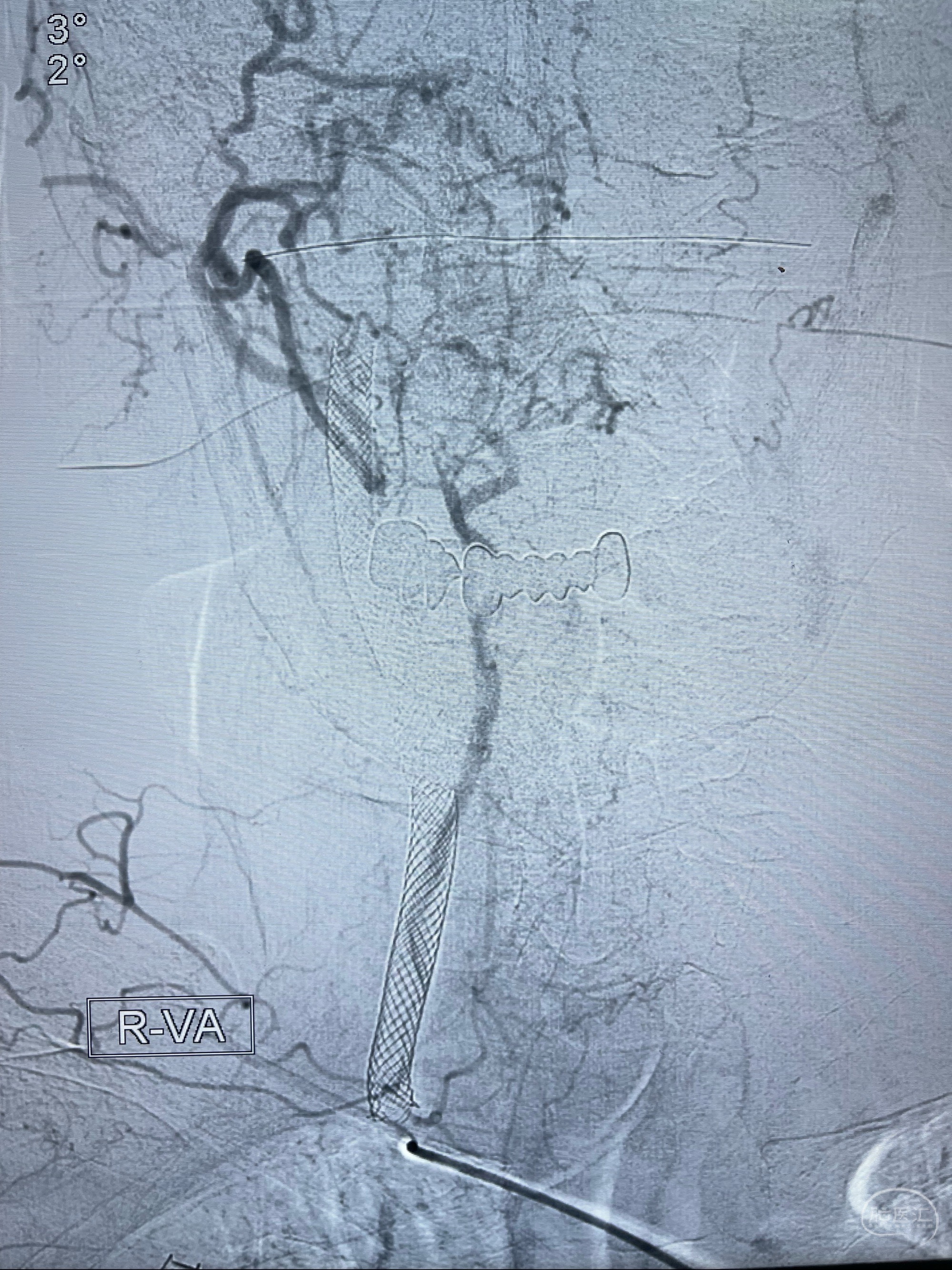
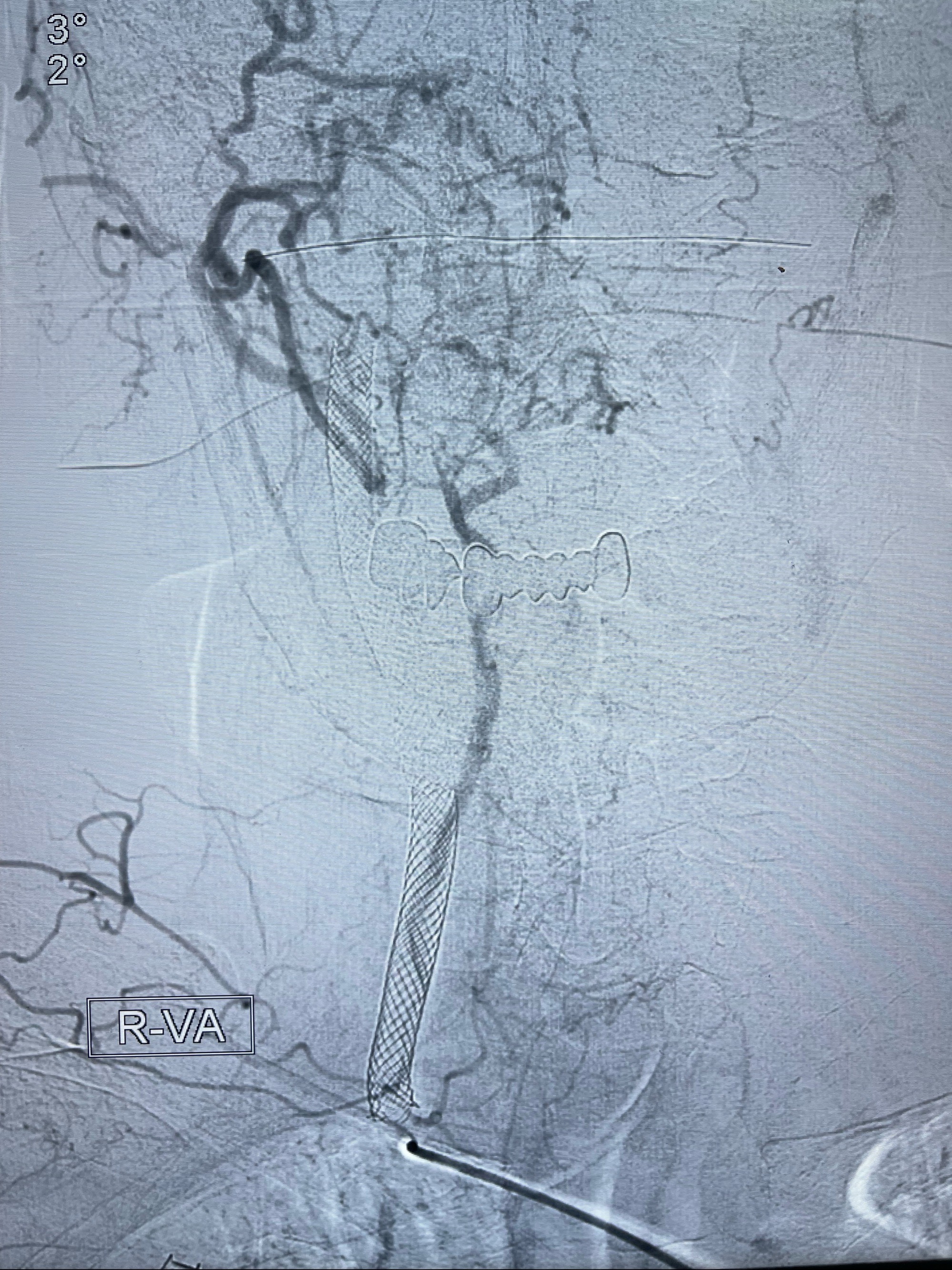
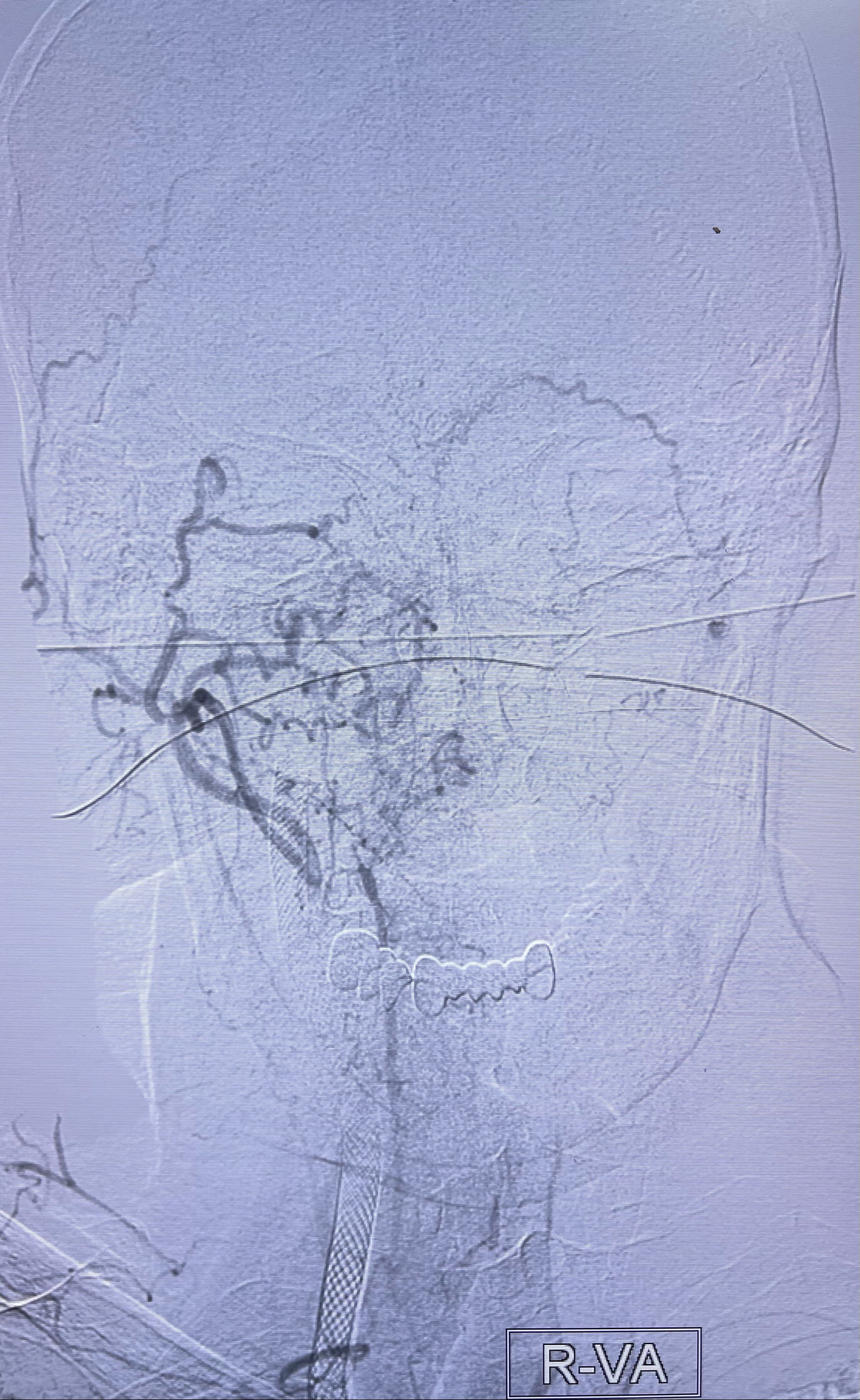
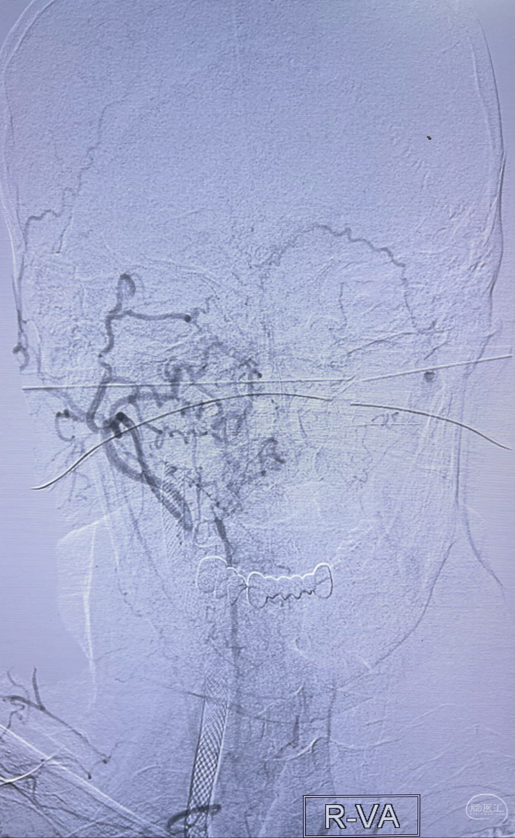
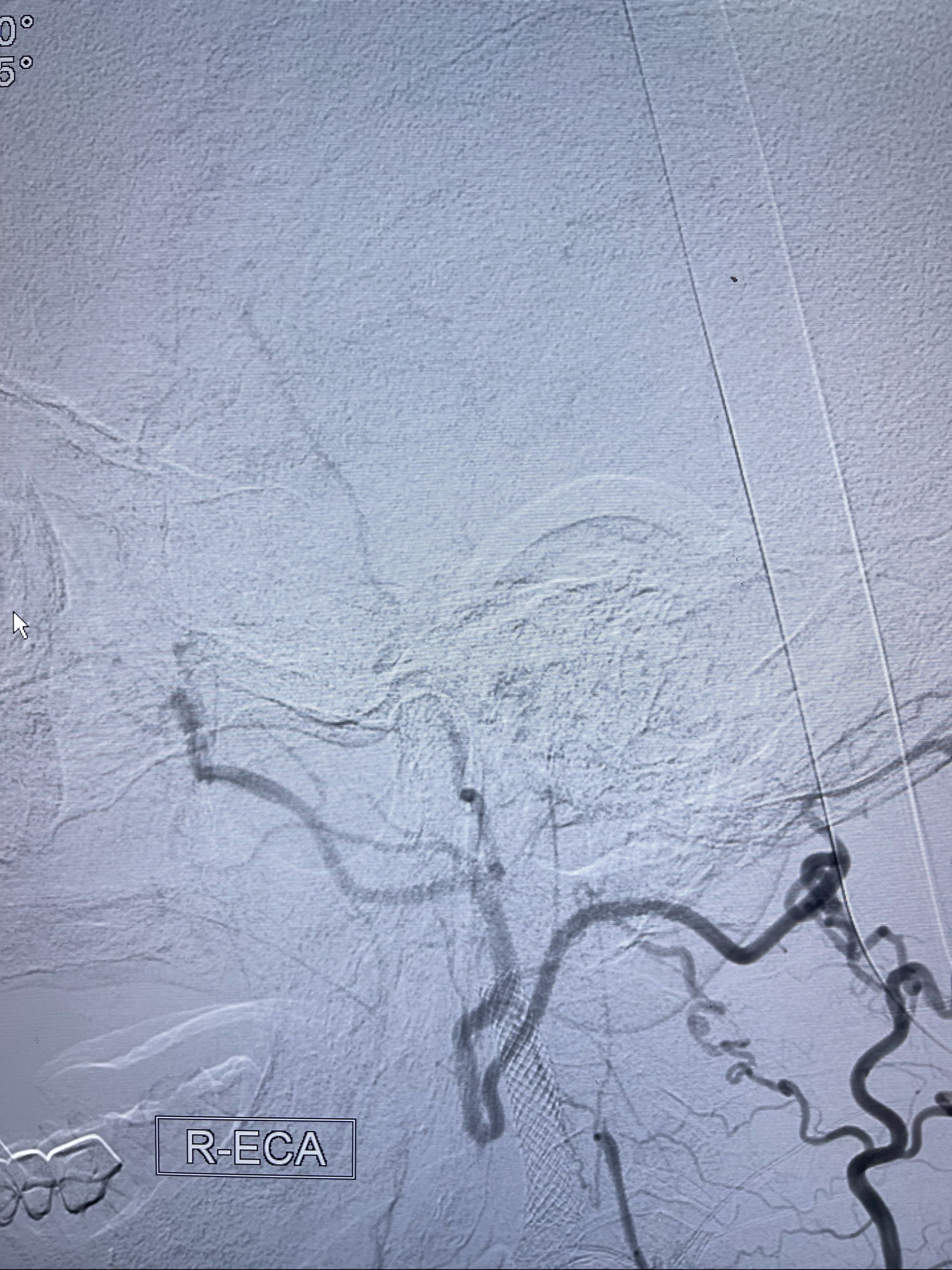
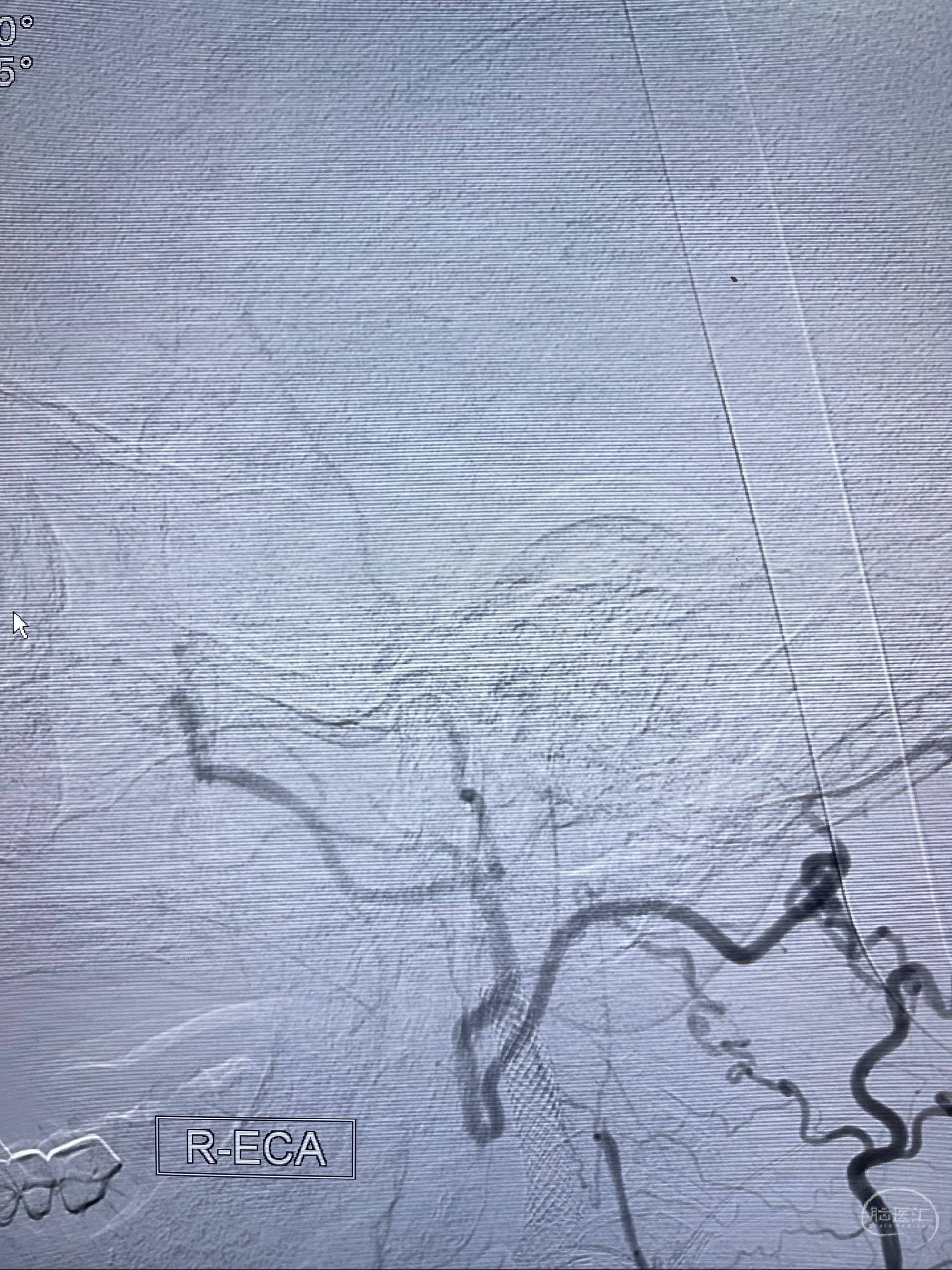
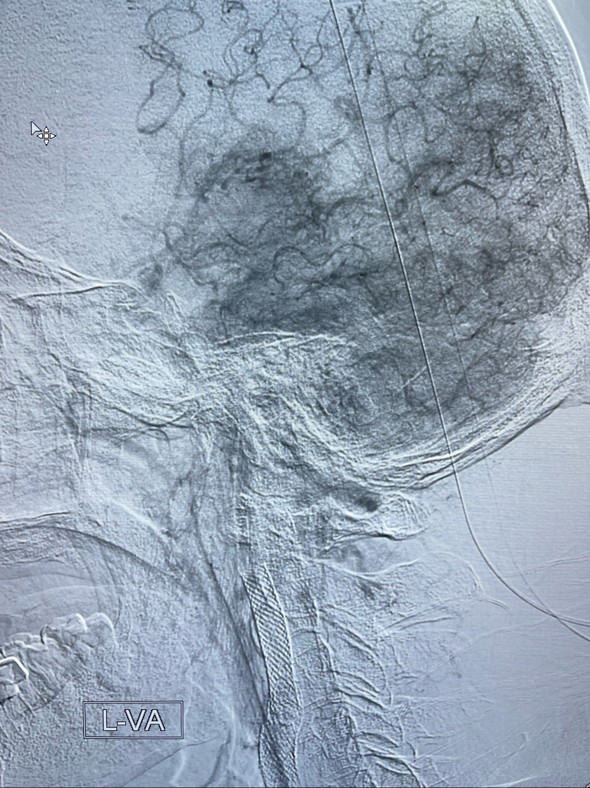
2023-07-10DSA:右侧颈内动脉岩骨段夹层伴中偏重度狭窄改变,左侧颈总动脉闭塞、右侧颈外动脉由右侧肋颈干甲颈干吻合代偿








箭头所示为颈内动脉岩骨段重度狭窄,结合MRI,考虑为肿瘤侵犯右侧颈内动脉




箭头以近至支架段管腔不规则狭窄




右侧椎动脉可见吻合代偿右侧颈外动脉








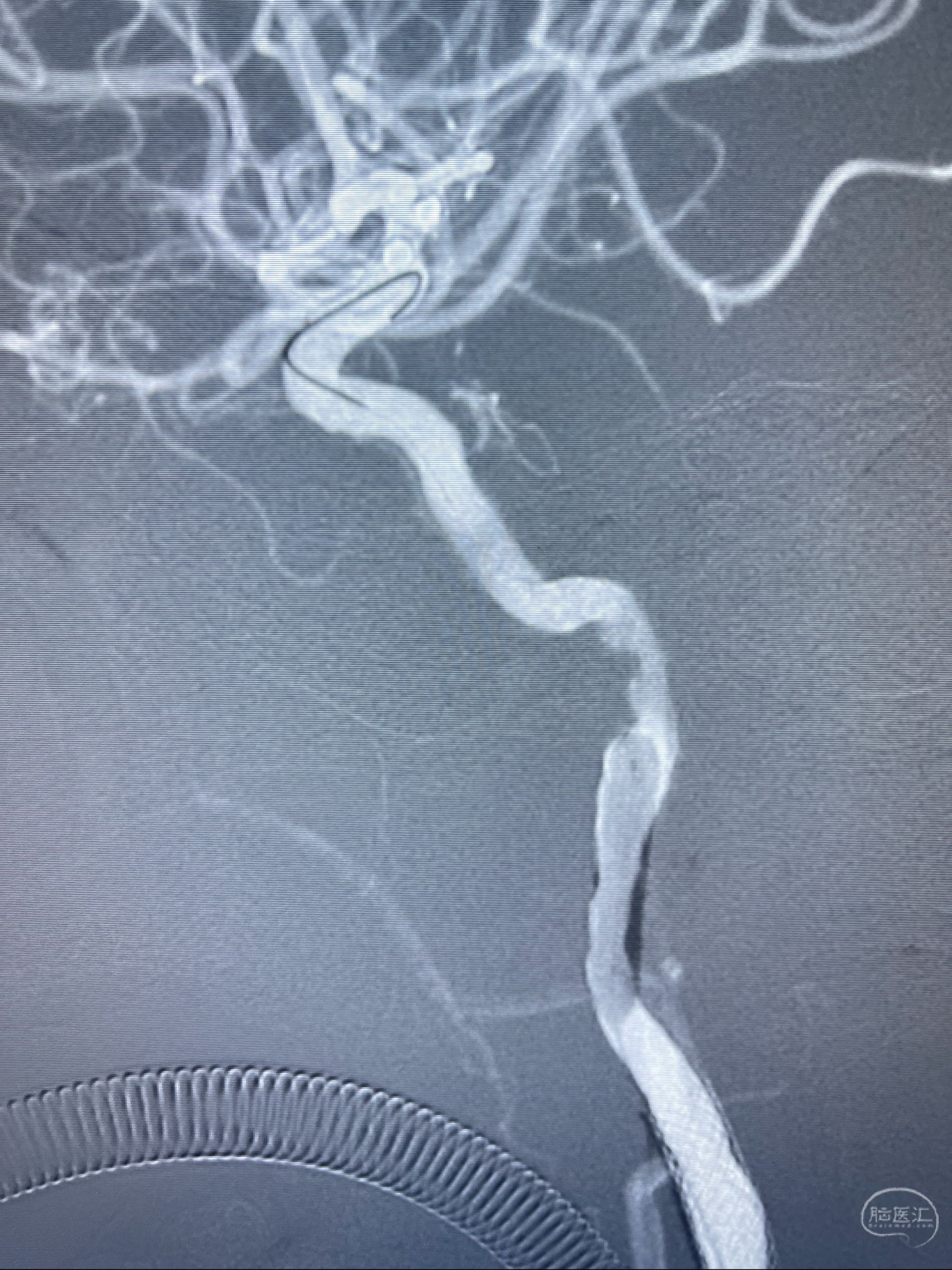
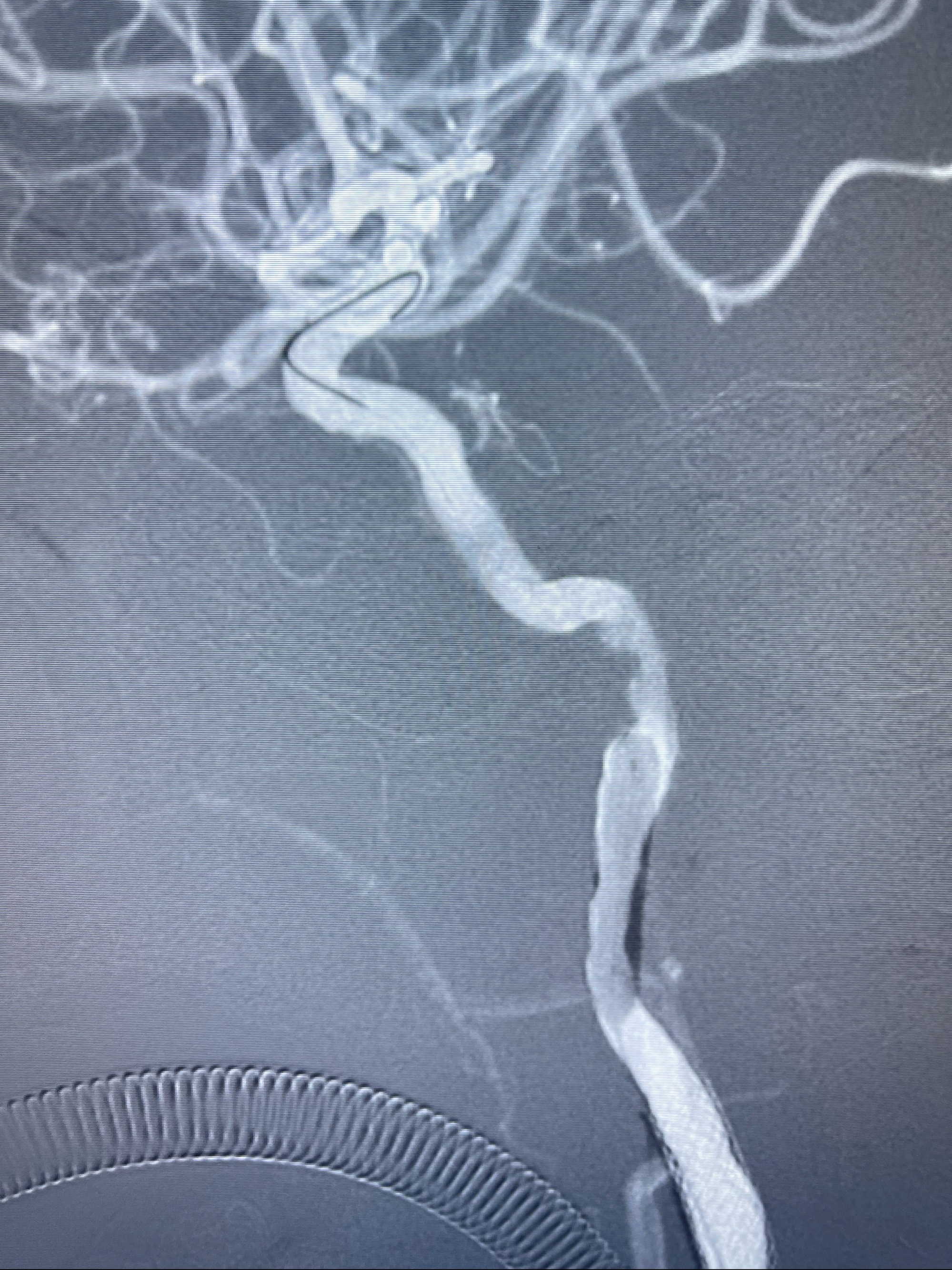
左侧颈总动脉起始段至分叉部闭塞,起始部呈现子弹头样改变



左侧椎动脉可见代偿显示左侧前循环





MRI:显示肿瘤侵犯右侧颈内动脉岩骨段上下,向下至原颈内动脉支架远心段,向上至颅底
双抗准备后于2023-07-13在全麻下行右侧颈内动脉功能保护
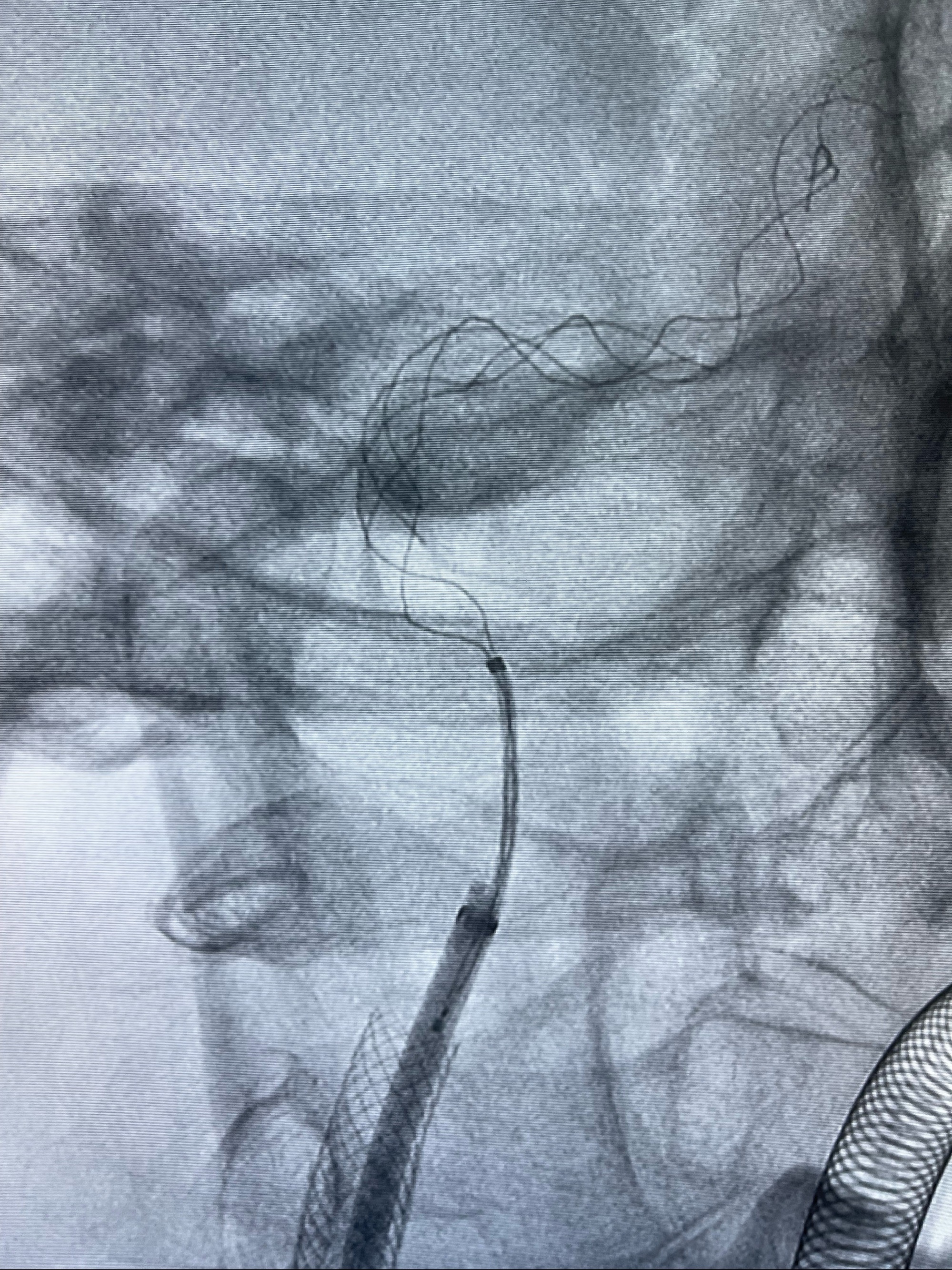
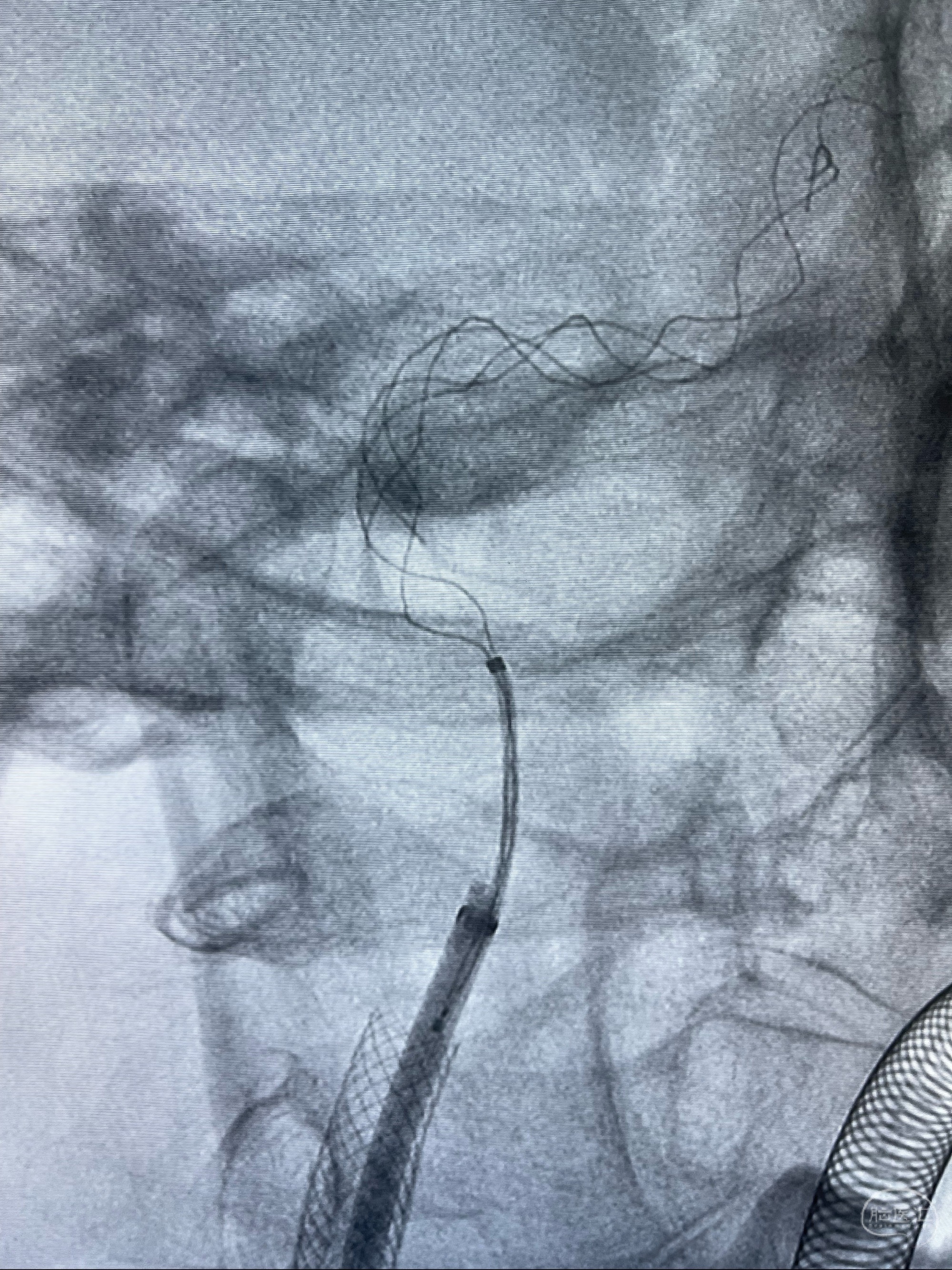
088NeuroMAX100cm长鞘在125cmMPA及黑泥鳅导丝引导下超选择性插入右侧颈内动脉支架内



经导引导管造影显示支架远端颈内动脉不规则狭窄伴局部充盈缺损,同时行全身肝素化5ml





路径图下4-20mm球囊在导丝引导下超选择性至狭窄段,以6-8个大气压扩张,持续30s



泄除球囊造影显示局部管腔扩张佳

后移球囊至颈段狭窄段,以8-12个大气压扩张,持续30s后泄除球囊


即刻造影显示狭窄扩张佳
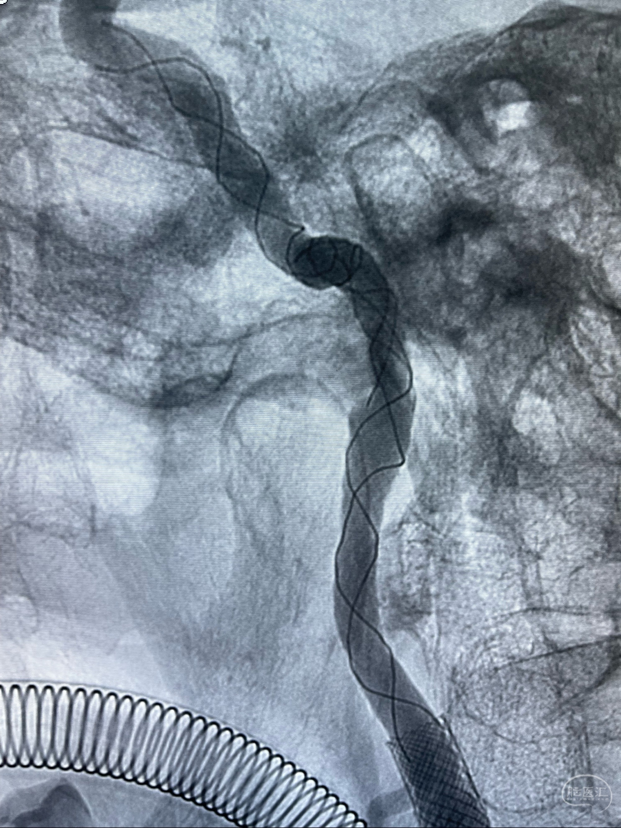
重新行“路径图”,支架导管在微导丝引导下超选择性插入至右侧颈内动脉眼段,4.5-50mmLeo支架释放,远心端位于海绵窦段,近心端位于岩骨段狭窄段以近







即刻造影显示支架贴壁佳



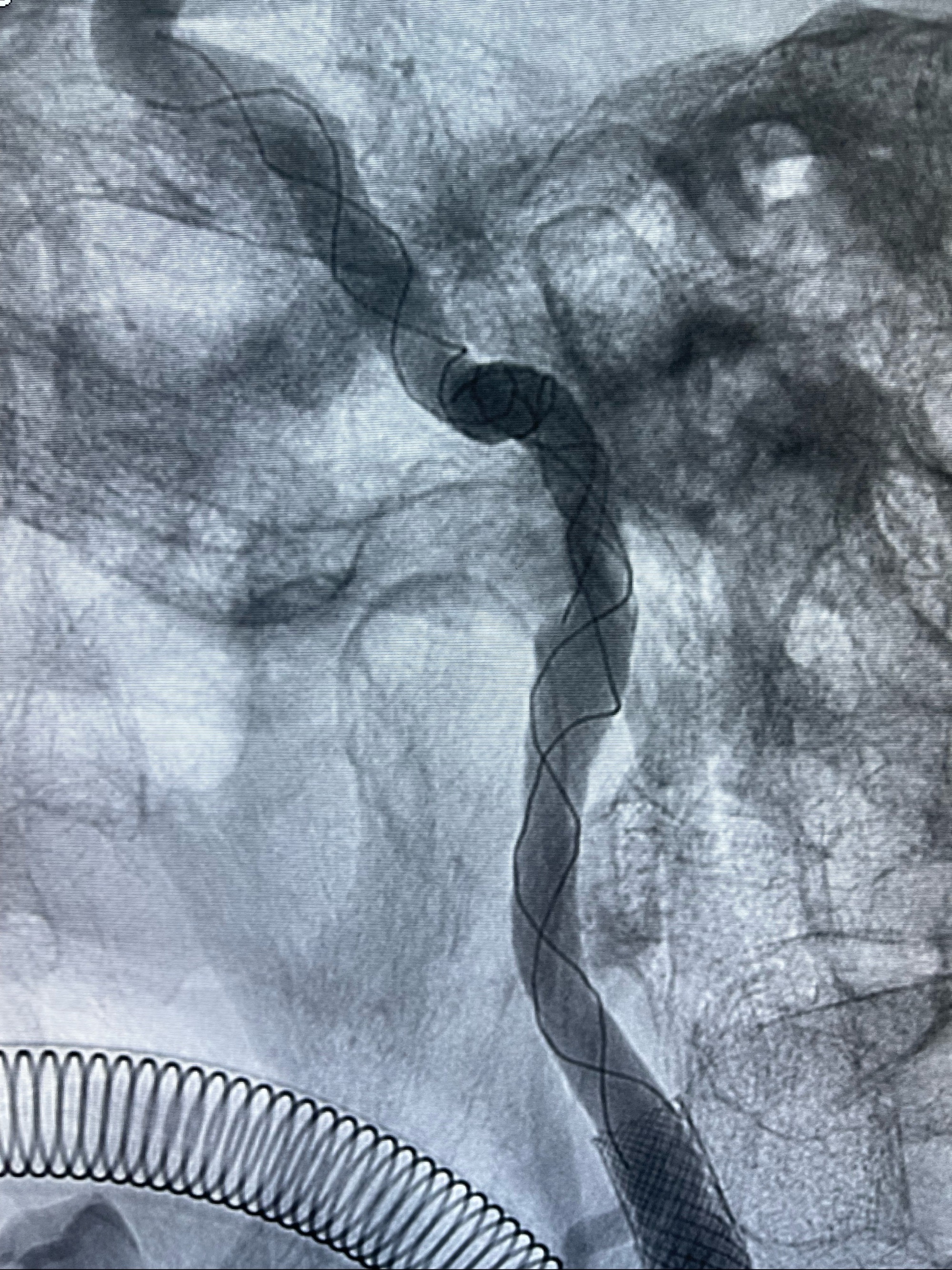
路径图下,5.5-50mmLeo支架导管在微导丝引导下超选择性插入远段Leo支架内


两枚支架部分重叠







多次确认支架位置及打开贴壁情况

支架完全打开,近心端位于原颈动脉支架远心端内







麻醉苏醒佳,遵嘱活动!
术后给予替罗非班300ug/h维持,序贯阿司匹林100mg➕泰嘉75mg口服