患者男,21岁,甘肃省天水市人。
一、李小勇脑脊液科入院前病史
患者于15年前(2005年即患者6岁时),因癫痫发作至北京某知名三甲医院检查发现脑积水,当时建议保守治疗观察,未予处理脑积水,建议定期复查,给予口服药物抗癫痫治疗,癫痫发作控制还可以,平均1-3次/年,最长间隔6年未发作,发作表现为先兆心慌,左侧肢体抽搐,意识保留,持续1-2分钟自行缓解。
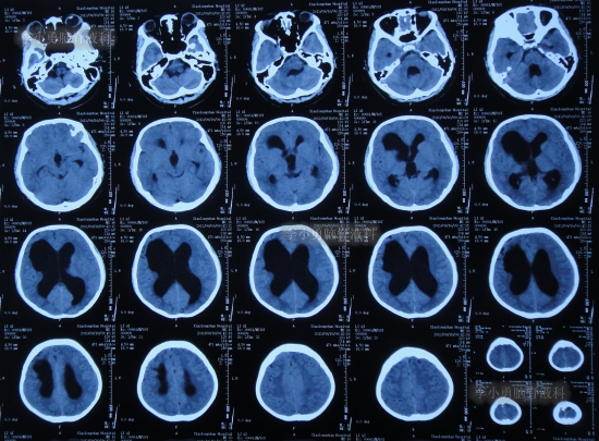
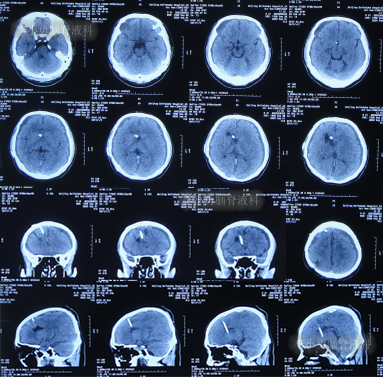
发现脑积水8年后即2013年9月16日,复查头颅CT示脑积水(图-1),没有相关症状,建议定期复查。
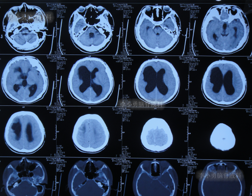
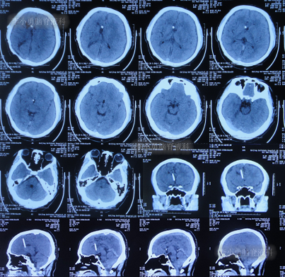
发现脑积水11年即2016年7月20日,复查头颅CT(图-2)后,仍建议继续定期观察。

图-1:2013年9月16日头颅CT
发现脑积水11年即2016年7月20日,复查头颅CT(图-2)后,仍建议继续定期观察。

图-2:2016年7月20日头颅CT
发现脑积水15年后即2020年1月份,开始出现头胀头闷能自行缓解,并没有特殊处理,3月后即2020年4月8日,因症状变重且变频繁,至甘肃省天水市某医院检查头颅核磁(图-3)认为脑积水较前(2016年7月20日头颅CT)加重。

图-3:2020年4月8日头颅核磁
1个月后即2020年5月6日,为治疗脑积水,至陕西省西安市某三甲医院就诊,查头颅核磁示脑积水(图-4)。

图-4:2020年5月6日头颅核磁
完善术前检查后于2020年5月13日,进行了脑室腹腔分流术。但脑室腹腔分流术后第1天即2020年5月14日,开始发热头痛,体温最高达40度,给予抗感染治疗。
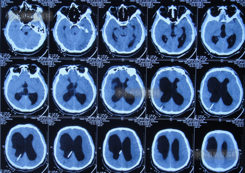
脑室腹腔分流术后2天即2020年5月15日,晚10点出现癫痫发作1次,2分钟左右后自行缓解,查头颅CT示脑室分流术后状态,仍脑积水(图-5)。

图-5:2020年5月15日晚10点半头颅CT
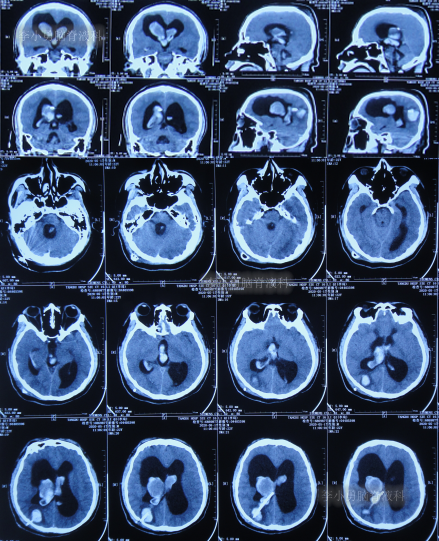
但查头颅CT后1小时,患者头痛加重,且出现呕吐,查头颅CT后示右侧脑室穿刺道出血(图-6)。

图-6:2020年5月15日晚上11点56头颅CT
给予腰穿和储液囊抽吸出血性脑脊液,但治疗4天后效果不理想,患者仍头胀,呕吐,无法进食,精神差,饮食差,晚上睡眠差。期间2次查头颅CT(图-7、图-8)均示积血仍未减少。

图-7:2020年5月17日头颅CT

图-8:2020年5月19日头颅CT
二、李小勇脑脊液科治疗过程和结果
2020年5月20日(脑积水分流术后7天,发热7天),转住入北京北亚骨科医院的李小勇脑脊液科,入院时:发热,患者仍头晕,时有呕吐,精神差,饮食差,晚上睡眠差;背部腰穿术后,腹部有手术切口(图-9)。

图-9:2020年5月20日入院时
入院时查头颅CT示脑室分流术后状态,脑积水,脑室有积血(图-10)。

图-10:2020年5月20日头颅CT
入院当天进行了原脑室分流管拔除术+脑室外引流术(图-11)。

图-11:2020年5月20日术后头颅CT
脑室外引流术后4天即2020年5月24日下午13点,患者呕吐加重,查头颅CT示出血增多(图-12)。

图-12:2020年5月24日下午13点半头颅CT
当天晚上加做了脑室外引流术,术后当晚查头颅CT示脑室引流术后状态(图-13)

图-13:2020年5月24日晚上20点头颅CT
2020年5月25日(入院治疗5天),引流出的脑脊液呈深血红色(图-14)。

图-14:2020年5月25日
2020年5月27日(入院治疗7天),引流出的血红脑脊液颜色变淡(图-15)。

图-15:2020年5月27日
2020年5月30日(入院治疗10天),查头颅CT示脑室缩小,积血减少(图-16),体温变正常。

图-16:2020年5月30日头颅CT
2020年6月4日(入院治疗15天),查头颅CT示积血进一步减少(图-17)。

图-17:2020年6月4日头颅CT
2020年6月18日(入院治疗29天),进行了脑室腹壁外引流术。
2020年6月22日(入院治疗33天),引流出的脑脊液颜色变黄色(图-18)。

图-18:2020年6月22日
2020年7月6日(入院治疗47天),引流出的脑脊液变清亮(图-19)。

图-19:2020年7月6日
2020年7月9日(入院治疗50天),身体变基本正常:头痛头胀完全消失,饮食变好,睡眠也变好,肢体活动完全正常(图-20)。

图-20:2020年7月9日
2020年8月18日(入院治疗90天),进行了脑室腹腔分流术。
2020年9月2日(李小勇脑脊液科治疗105天)出院,出院时:自己走路速度稍慢,单腿站立不太稳(图-21);出院时头颅CT示未见异常(图-22)。

图-21:2020年9月2日出院时

图-22:出院时头颅CT
三、出院后随访
出院后3月余即2020年11月19日,家属发来视频:走路变基本正常(图-23)。

图-23:2020年11月19日
出院后9个月即2021年6月20日,家属再次发来视频:走路速度变挺快,身体各项机能已恢复到发病前健康状态(图-24),工作日常生活已回归正常。

图-24:2021年6月20日
出院后2年半即2023年3月,来院复查:身体各项都挺正常(图-25),查头颅CT示未见异常(图-26)。

图-25:2023年3月

图-26:2023年3月头颅CT
〔本典型病例所涉及的图片和视频均经患者本人或家属同意,如有异议,请联系该内容发布方〕

*********专家简介***********
出诊时间:周二下午
交流咨询(中华脑脊液科医生群):13651375487(微信同号)