患者MQ,男性,61岁,因言语含糊,右侧肢体麻木无力1周入院,既往高血压病,糖尿病病史多年。

头颅CT示颅内多发梗死灶。

核磁DWI示左侧脑室后角及左侧侧脑室旁新发脑梗死。

MRA示左侧大脑中动脉M1闭塞。
诊断:
1、脑梗死
2、左侧大脑中动脉闭塞
3、高血压病2级
4、糖尿病
患者新发脑梗死,MRA示左侧大脑中动脉闭塞,系责任血管,发病超过1周,遂先给予双联抗血小板,强化他汀及改善循环治疗,经治疗后患者症状稳定,并进一步完善血管学检查。

CTA示左侧大脑中动脉闭塞。

CTA示左侧大脑中动脉闭塞。

CTA示左侧大脑中动脉闭塞。
结合患者影像考虑左侧大脑中动脉系近期闭塞,为改善日后神经功能,具备介入治疗指征,向患者家属详细交代病情及手术风险后家属积极要求介入治疗。

右椎动脉显影正常。

左侧大脑后动脉局部狭窄。

基底动脉显影正常。

左椎动脉显影正常。

左侧大脑后动脉局部狭窄。

右颈内动脉颅外段正常。

右颈内动脉颅内段显影正常。

右侧大脑中动脉M2局部狭窄。

左颈内动脉颅外段正常。

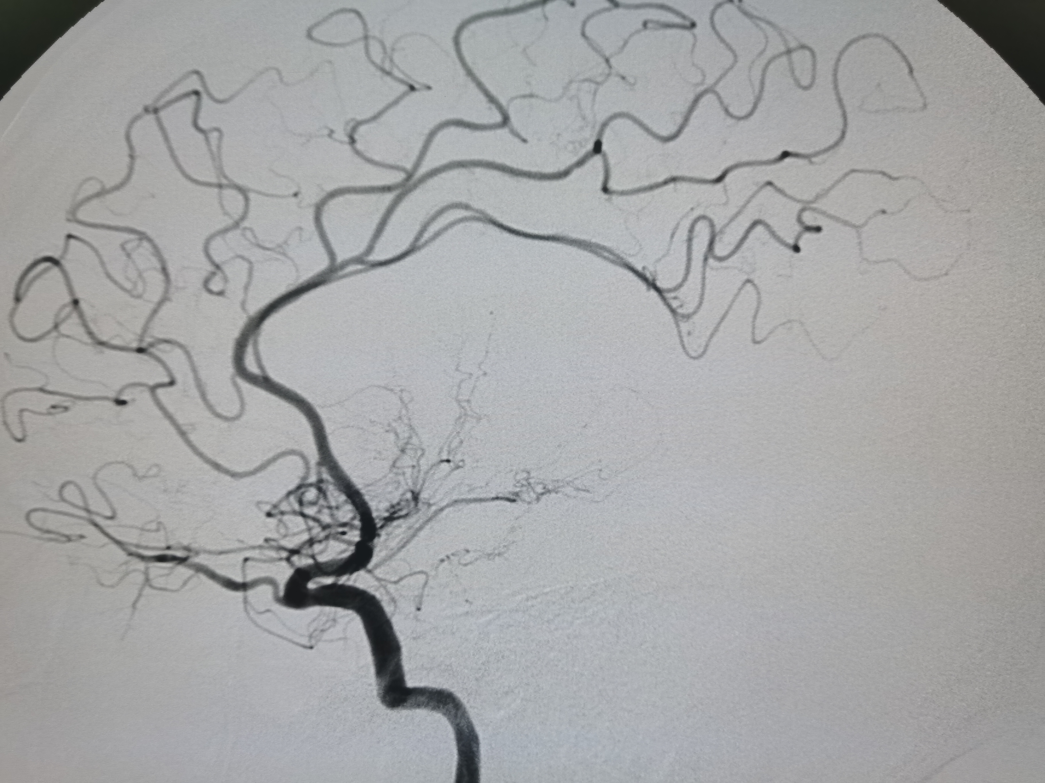
侧位见左侧大脑中动脉闭塞。

晚期可见左侧大脑中动脉返流。

正位见左侧大脑中动脉闭塞。

动脉晚期可见左侧大脑中动脉M2段返流。
造影分析:
患者左侧大脑中动脉M1起始段闭塞,动脉晚期可见返流至M2显影,考虑新近闭塞,具备介入开通指征,手术风险在于血管夹层,破裂及急性血栓形成,向患者家属详细交代病情后,家属积极要求介入治疗。
全麻后,将8F导引导管及中间导管顺利到位,建立路径,在路径图下微导丝携微导管顺利通过病变。

微导管确认位于真腔,交换入Transend300导丝。

2.0/15球囊扩张闭塞处。

扩张后造影见近端显影,远端血管仍闭塞。

将球囊前送,再次加压扩张。

扩张后造影见血管再通,血流通畅。

侧位造影见血流通畅。

观察15分钟后造影血流通畅,未见夹层及明显弹性回缩。

观察15分钟后造影血流通畅,未见夹层及明显弹性回缩。
复查造影见颅内狭窄解除,血流通畅,遂未再植入支架,撤出导丝及各级系统,结束手术。患者麻醉苏醒顺利,无新发神经系统症状,给予替罗非班持续泵入,监测生命体征,控制血压避免再灌注损伤。

术前术后对比

术前术后对比

术前术后对比
术者体会:
1、本例患者系因左侧大脑中动脉急性闭塞出现左侧半球梗死,系责任血管。
2、造影评估见左侧大脑中动脉起始段闭塞,但动脉晚期可见远端血管返流显影,考虑闭塞段较短,且为新近闭塞,具备介入治疗指征。
3、球囊扩张后血管狭窄解除,无夹层及弹性回缩,遂未再植入支架,术后继续药物治疗,定期随访。
