患者ZWY,男性,67岁,因左侧肢体麻木无力1周入院,既往高血压,糖尿病病史。
院前核磁提示右侧半卵圆中心新发脑梗死。
MRA示右侧大脑中动脉重度狭窄。
MRA示右侧大脑中动脉重度狭窄。
诊断:
1、脑梗死
2、右侧大脑中动脉重度狭窄
3、高血压病3级
4、糖尿病
诊疗分析:
患者新发梗死入院,病灶位于右侧半卵圆中心,血管提示右侧大脑中动脉重度狭窄,系责任血管,患者存在高危因素,应积极治疗。在强化药物治疗后症状稳定,为进一步评估颅内血管情况,建议完善脑血管造影,必要时介入治疗。
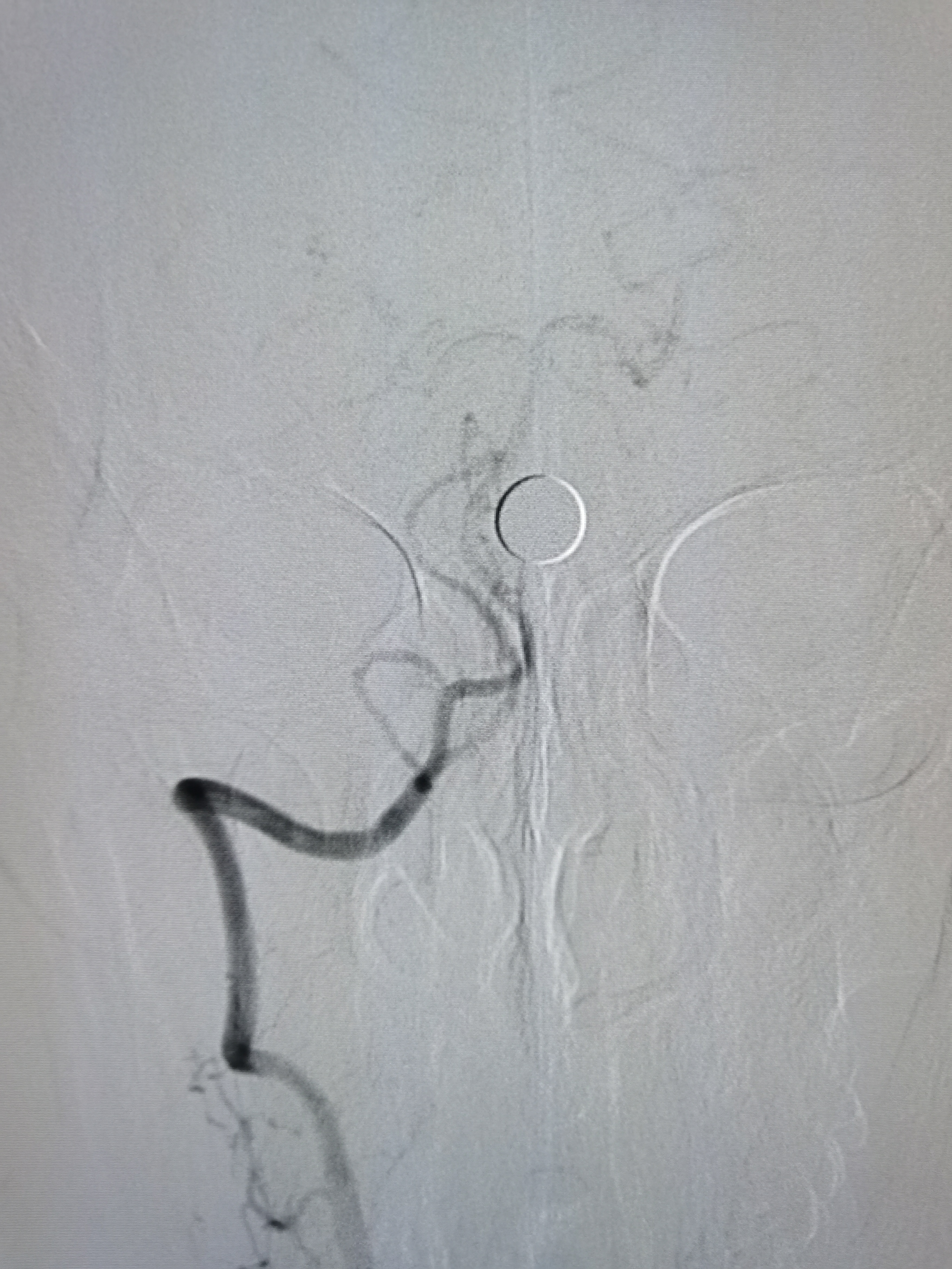
右侧颈内动脉起始部粥样硬化斑块形成。
颅内侧位显影可。
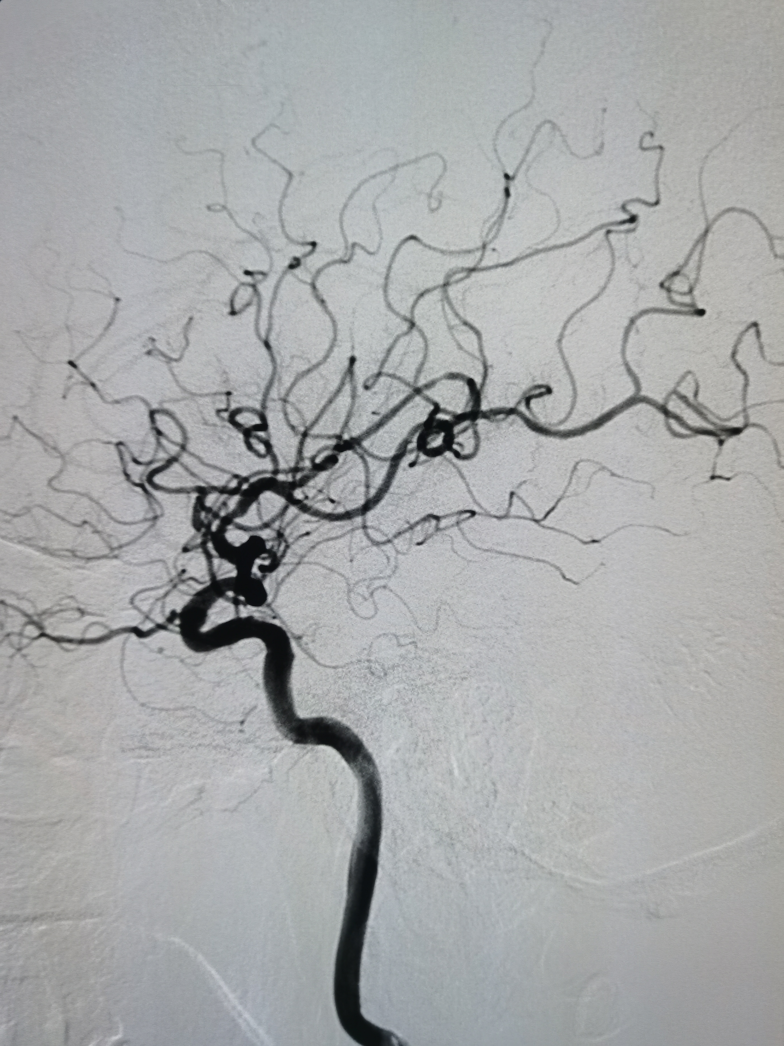
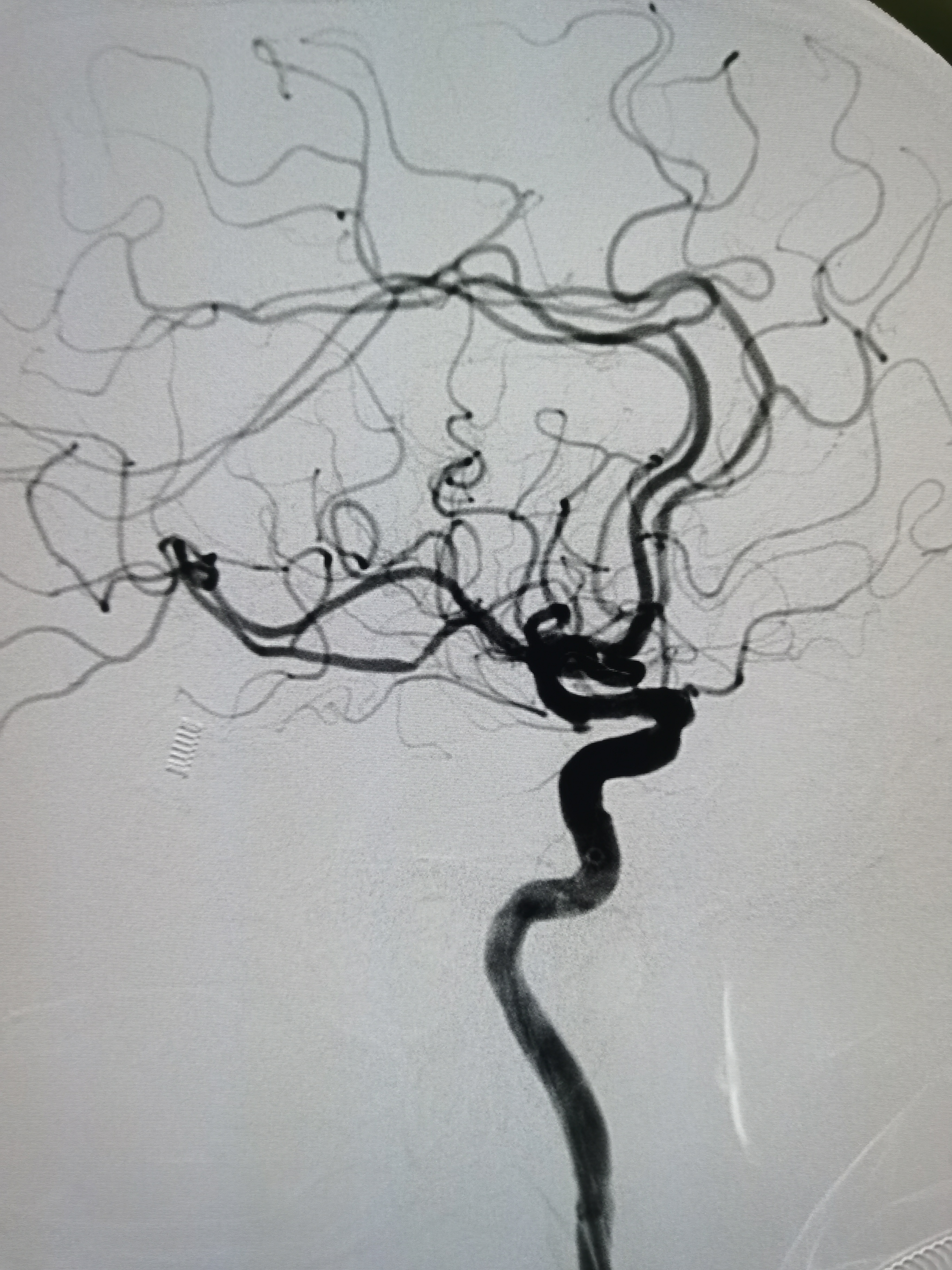
右侧大脑中动脉M1段重度狭窄。
右侧大脑中动脉M1段重度狭窄,病变处存在豆纹动脉。
左侧颈内动脉起始部正常。
左侧大脑前动脉发育不良。
左侧大脑中动脉显影正常。
右椎动脉劣势。
颅内血流可。
左椎动脉优势。
基底动脉显影正常。
造影分析:
患者右侧大脑中动脉M1段重度狭窄,病变处存在豆纹动脉分支,具备介入治疗指征,手术风险在于血管夹层,破裂及穿支闭塞可能,向患者家属详细交代病情及风险后,家属积极要求介入治疗。拟行右侧大脑中动脉球囊扩张备支架成形术。
8F导引导管+6F中间导管建立通路,微导丝携微导管顺利通过病变,交换Transend300导丝,路径图下送入2.5/15颅内扩张球囊,缓慢加压至6atm。
在球囊到位前后分别给予导管内推注替罗非班行穿支冲洗,避免扩张过程中豆纹动脉闭塞。
球扩后造影见狭窄解除,豆纹动脉显影良好,远端血供改善,未见夹层征象。
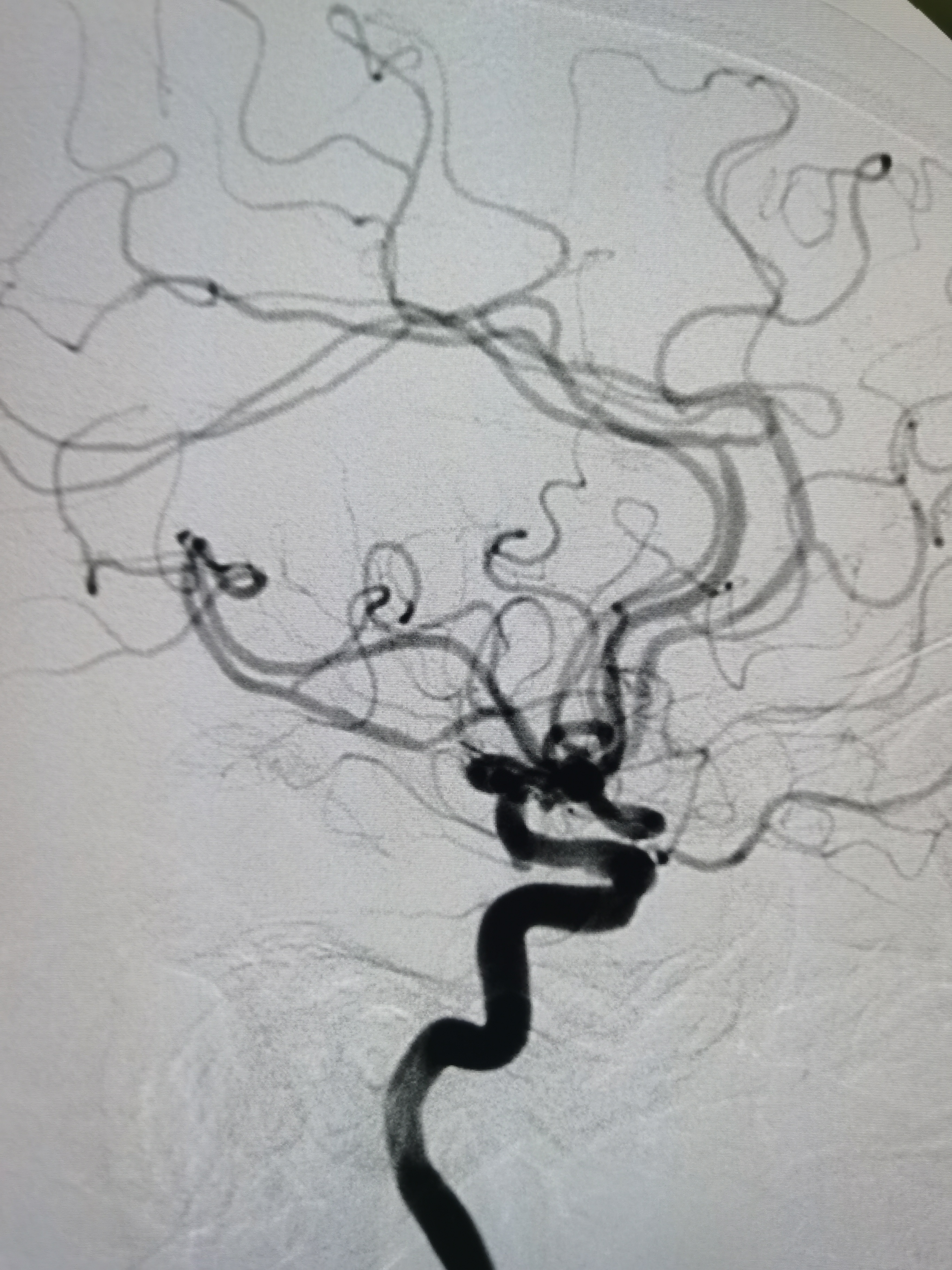
正位造影见狭窄解除,颅内血流通畅。
观察15分钟后造影未见明显弹性回缩。
侧位造影见颅内血流通畅。
球囊扩张后狭窄解除,决定不再植入支架,撤出导丝造影见血管通畅,遂逐级撤出各级导管,结束手术。
术前术后对比
患者麻醉苏醒顺利,无新发神经系统症状,术后给予控制血压,替罗非班持续泵入,观察病情。
术者体会:
1、本例患者右侧大脑中动脉重度狭窄,远端低灌注梗死,有卒中危险因素,日后再发恶性卒中风险较大,应积极处理。
2、右侧大脑中动脉重度狭窄,病变处存在豆纹动脉,存在穿支闭塞风险,术中采用穿支冲洗技术。
3、球囊扩张后狭窄解除,无夹层征象,血流通畅,遂未再植入支架。




