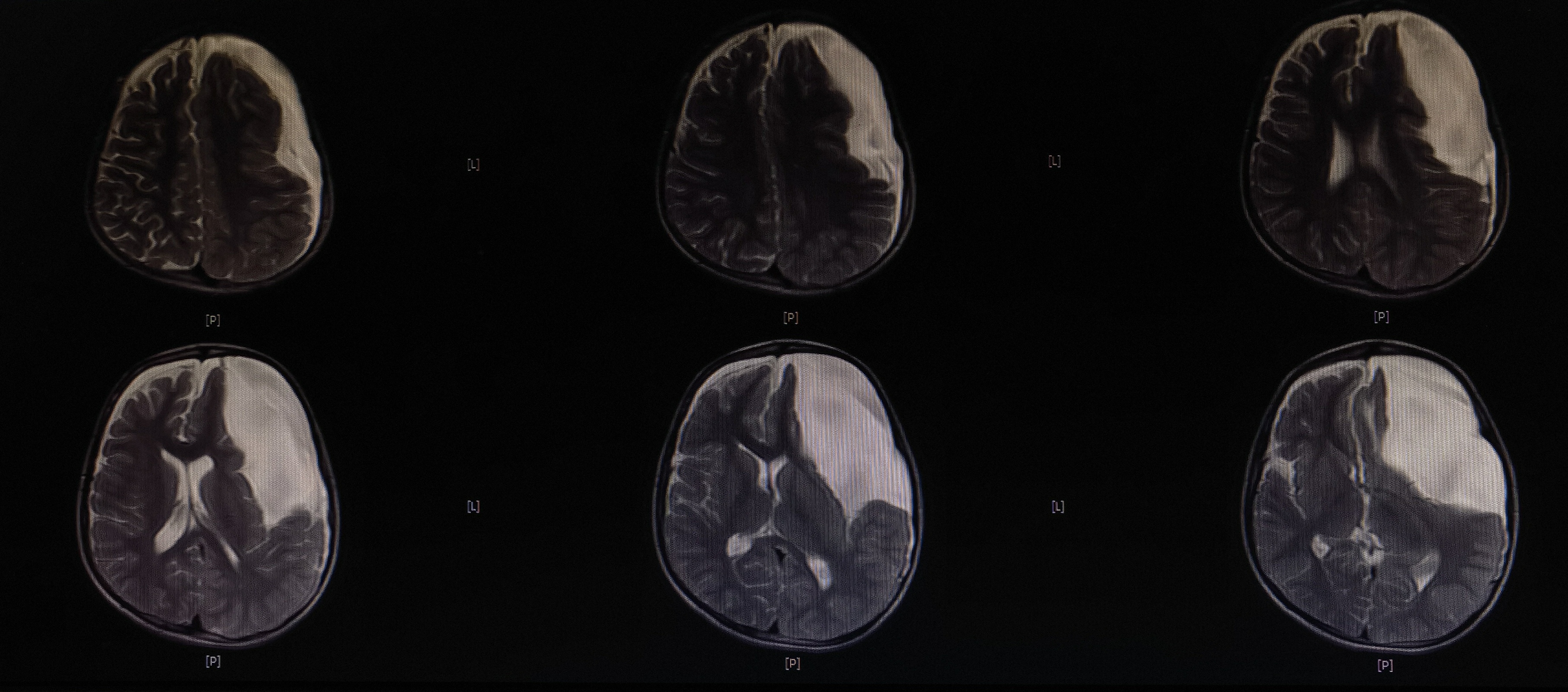
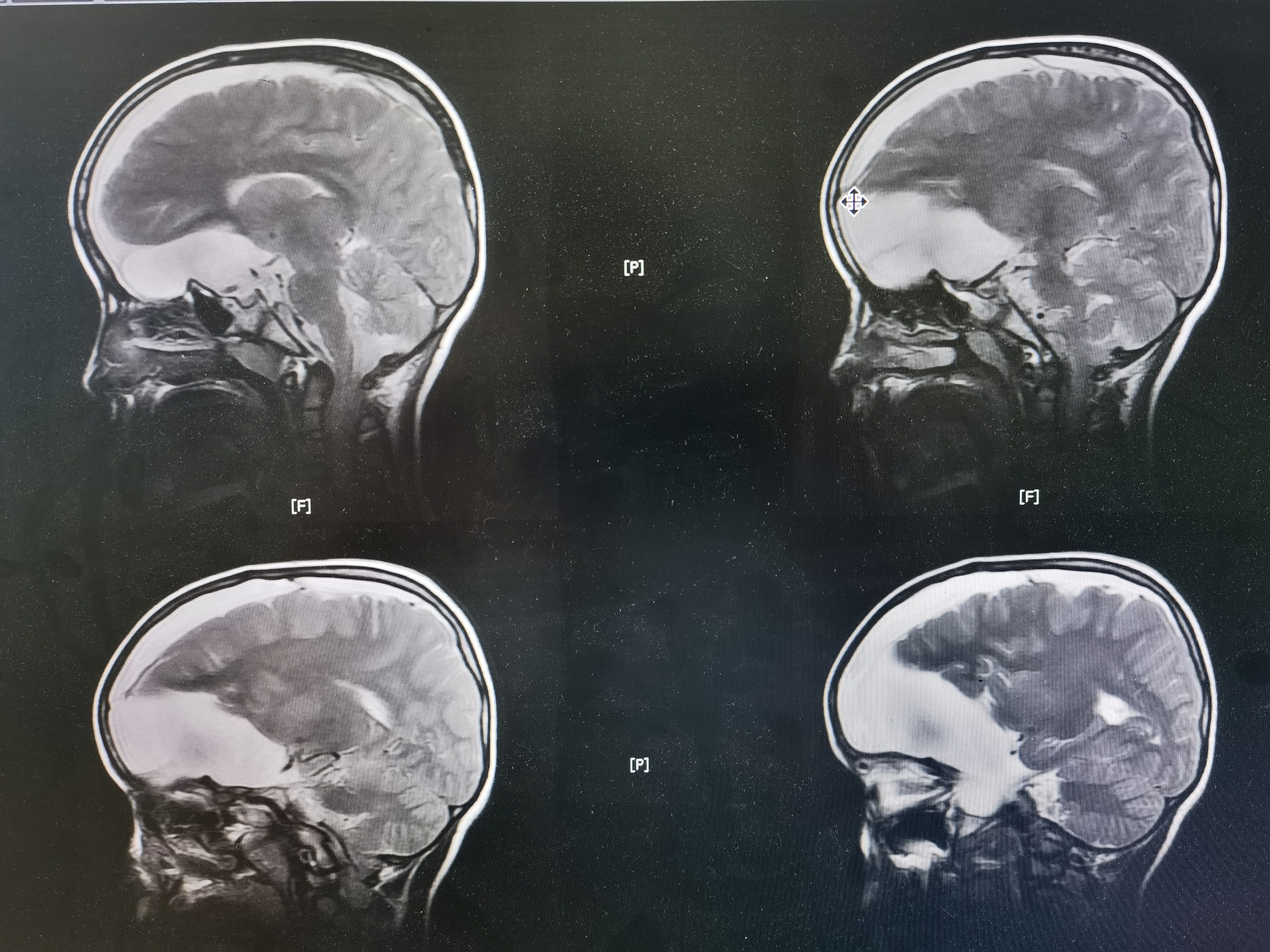
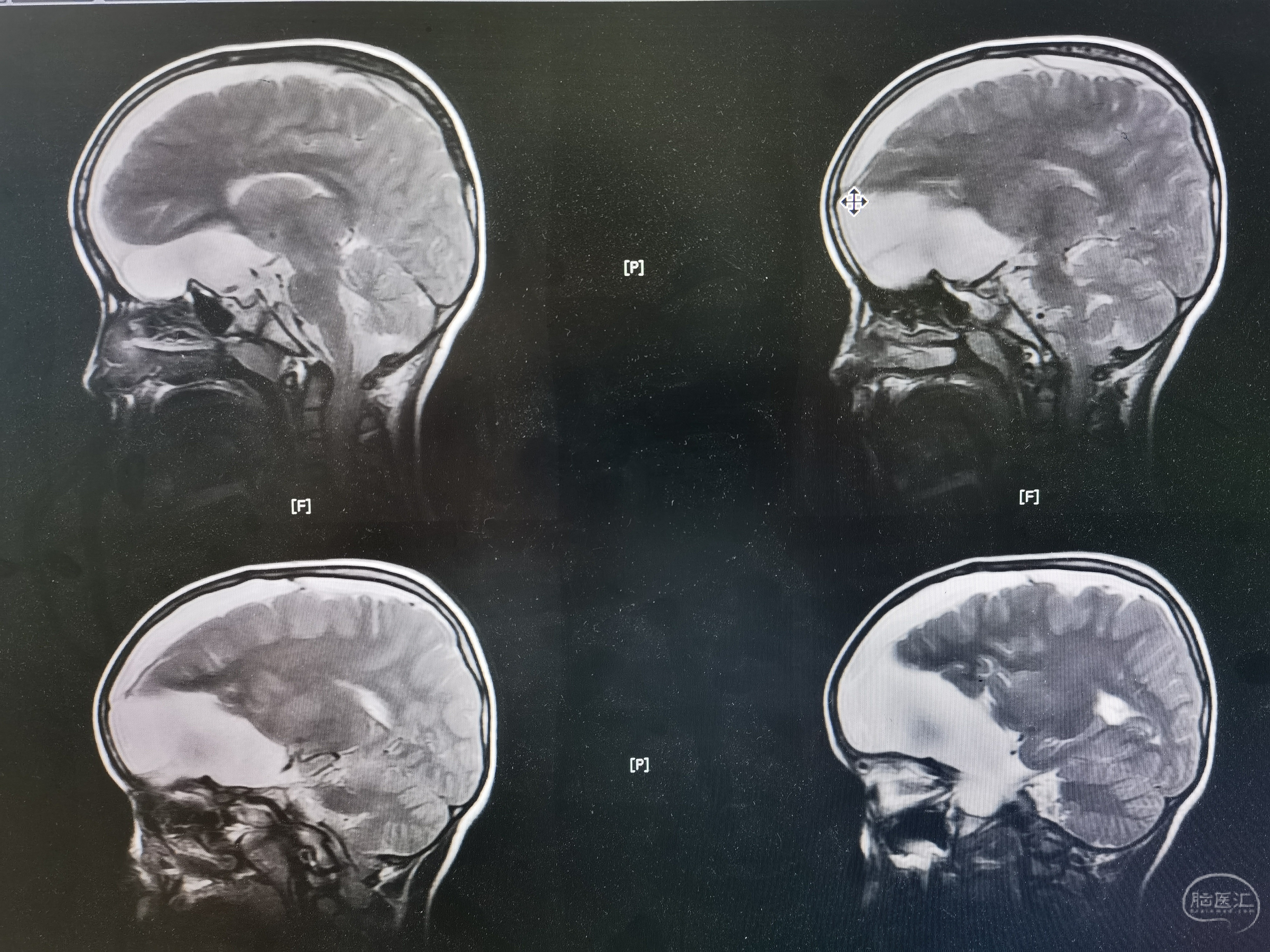
8岁男孩,以“头部外伤后头晕8天”入院,患儿8天前于3米高处坠落摔伤头部,伤后有昏迷史,当地医院CT提示左额颞巨大蛛网膜囊肿,破裂可能。患儿伤后感头晕,当地医院建议转至我院。我院完善头颅MR提示左额颞巨大蛛网膜囊肿,局部越过中线突入右侧镰旁挤压右额叶,左侧额颞岛叶明显受压,囊肿破裂可能。
术前MR
考虑到患儿囊肿体积巨大,占位效应明显,向患儿家属交代病情及手术风险后,行小骨窗开颅蛛网膜囊肿-脑池造瘘术,术中打通侧裂池、颈动脉池、基底池,多处造瘘,瘘口大小为1-1.5cm,并切除部分囊壁。术后患儿无新发症状,病情恢复良好,定期复查随访。
手术切口
术中造瘘
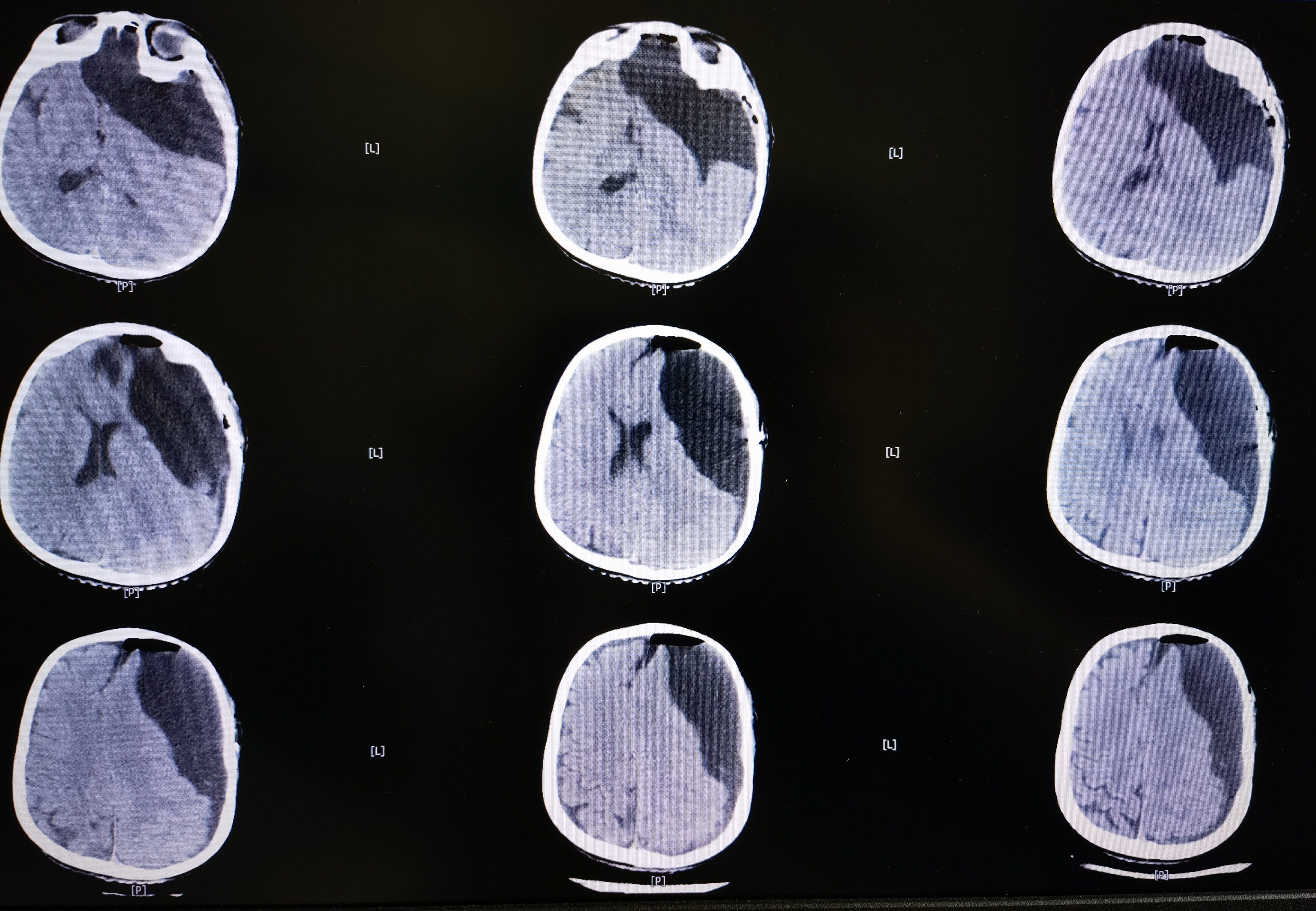
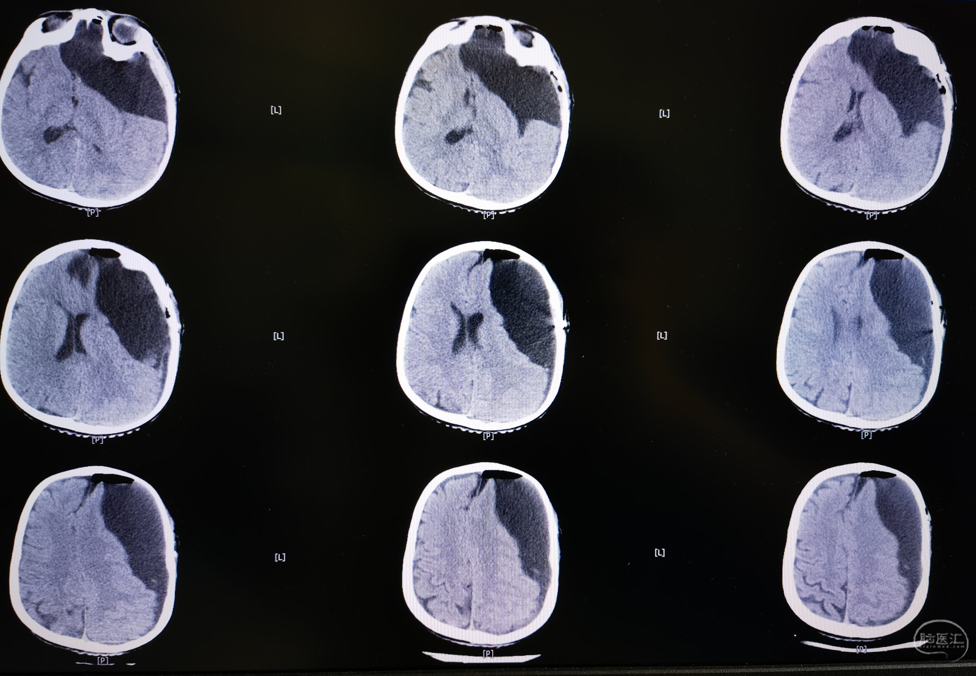
术后CT




