患者李xx,男,59岁。
主诉:一过性晕厥3天。
现病史:于5月11日工作中无明显诱因突发意识丧失伴全身大汗,无四肢抽搐,无大小便失禁等,持续约3分钟后自行清醒,醒后诉头晕,休息后好转,5月12日到我院门诊行头颅MR检查显示:左侧基底节区陈旧性脑梗死,右侧大脑中动脉闭塞。
查体:神经体统查体无明显阳性体征。
FLAIR显示左侧脑室旁陈旧性梗死灶;右侧脑室后角顶下小叶梗死灶。
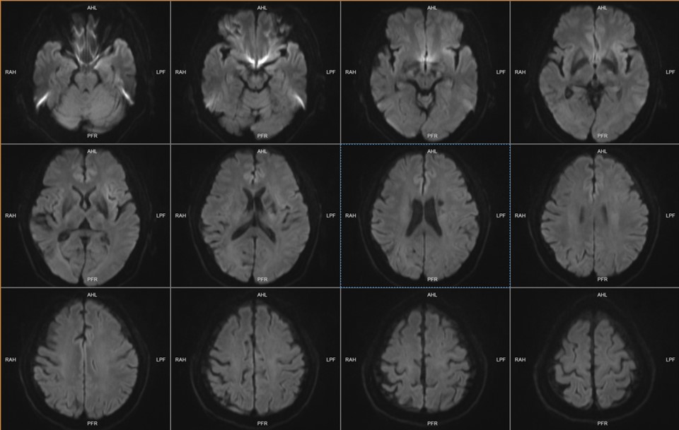
DWI显示无急性梗死灶
MRA显示:右侧MCA不显影。
PWI显示:右侧颞叶、半卵圆区、顶下小叶MTT延长。
PWI显示:右侧颞叶、额叶下部、半卵圆区、顶叶PTT延长。
DSA显示:右侧MCA闭塞,依靠颅底软膜支、大脑前动脉代偿。
DSA显示:右侧MCA闭塞,依靠颅底软膜支、大脑前动脉代偿。
右侧ECA
术中分离STA额支、顶支
受体血管1:侧裂末端MCA,血管内血流减少。徐斌教授曾讲过,受体血管网是受体选择所要考虑的重要因素,这个受体血管网可能较差。
吻合口1,松开阻断夹,可见受体血管有压痕,弹起困难。受体血管可能长期血流较少,管壁增厚。
受体血管2:血流量较好,管壁薄。
吻合口2
术后第2天CTA
术后1周MRI PWI显示:右侧颞叶、半卵圆区、顶下小叶MTT较术前改善。
PWI显示:右侧颞叶、额叶下部、半卵圆区、顶叶PTT延长范围较术前缩小。
该患者术后自诉:“脑袋轻松了很多”。
对于这种非烟雾病型脑缺血患者的治疗方案,仍然没有定论。是药物治疗还是外科手术干预,不是很明确;近期宣武焦力群教授团队研究结果好像也是无明显差异。我们自己的经验,如果手术很顺利,无明显的并发症的情况下,患者是能够获益的,有待积累更多的病例。
郑州联保部队第988医院竭诚为您服务,欢迎咨询:神经外科三病区 姚安会 副主任医师 18236766195(微信同号),非诚勿扰!




