病例介绍:
患者,男,70岁,病程:5小时;
临床表现:突发意识及左侧肢体功能障碍5小时;
既往史:高血压,未正规治疗;
查体:神志嗜睡,左上肢肌力1级,左下肢肌力2级,右侧肢体肌力约5级,生理反射存在,病理征未引出。
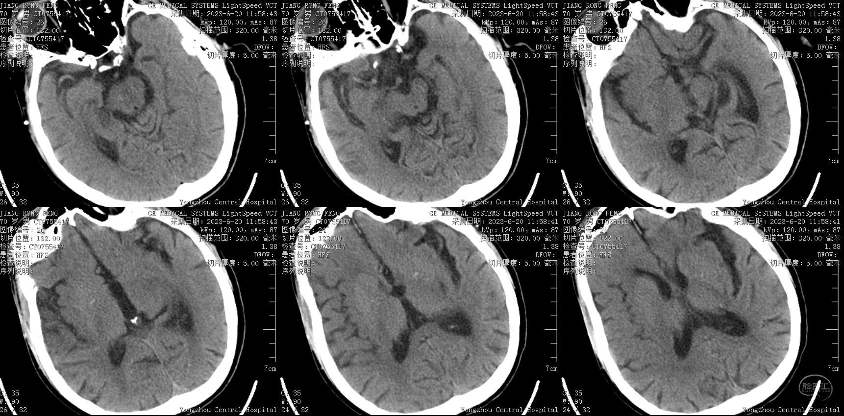
辅助检查:2023-6-20我院头颅CT及CTA示:右侧颈内动脉C1、C2段栓塞,右侧大脑中动脉M1、M2段栓塞,远端分支减少。右侧椎动脉V1段起始处狭窄;左侧C1段起始处狭窄。右侧额颞顶叶可疑稍低密度影。
初步诊断:1.右侧前循环急性脑梗死;
2.右侧 颈内动脉、右侧大脑中动脉闭塞;
3.右侧 椎动脉V1段中度狭窄;
4.高血压病2级(高危)。

入院急诊头颅CT,右侧大脑中动脉走形可见疑似高密度征。

入院急诊头颅及颈部血管CTA,提示多根血管病变,右侧责任血管串联病变可能。
处置措施:急诊静脉溶栓后立即桥接,在血管造影后充分了解患者右侧颈内闭塞情况下远端颈内动脉血供来源。

主动脉弓造影提示右侧颈内动脉闭塞。

右侧椎动脉V1段狭窄,准备药物治疗随访。

左侧颈内动脉C1段狭窄血流无影响,无向右侧代偿血流,治疗上也是药物治疗后随访。

右侧考虑颈内动脉C1段重度狭窄合并急性闭塞,眼动脉反流显影部分血管,右侧M1分叉部急性闭塞,右侧大脑前血流考虑血流灌注不足影响,且合并A2狭窄。
治疗方法:先通过C1段行球囊扩张,如能通过8F指引导管,则入颅内开通大脑中动脉,颅内拟支架辅助抽吸取栓。如部分通过8F指引导管则在球扩后先行颈动脉支架置入再处理颅内。
器械准备:Cordis 8F MPA
通桥银蛇 6F-130
谱高 颈动脉球囊扩张导管 CBC-4-30-135
RX Acculink 6-8*40,132
EV3 Avigo、Rebar-18、Solitaire FR
颈内动脉开通后准备进一步开通大脑中动脉,开通后再返回观察颈内动脉,如血流满意,则择期处理狭窄,如血流不能维持,则急诊行颈动脉支架成型。
2.进一步开通大脑中动脉,将中间导管通过后进一步上高8F指引导管,越过狭窄处。将中间导管抵近血栓(中间导管在通过虹吸弯时耽误了一些时间),选用SFR-4-20充分打开接触血栓后,等待5分钟,连同微导管一同撤入中间导管内,此时中间导管一直保持负压。一把开通。
此时颅内血管开通,大脑前血流也满意。C1段管壁不光滑,血流无法维持,拟支架置入。
3.在观察过程中,右侧颈内动脉C1段斑块回缩,血流不能维持,只能再次球囊扩张后置入颈动脉支架。
观察过程中右侧C1再次闭塞,血流不能维持。
只能再次球扩后置入支架。
最后正侧位造影、通路造影、Dyna-CT。手术完成。

侧位造影

正位造影

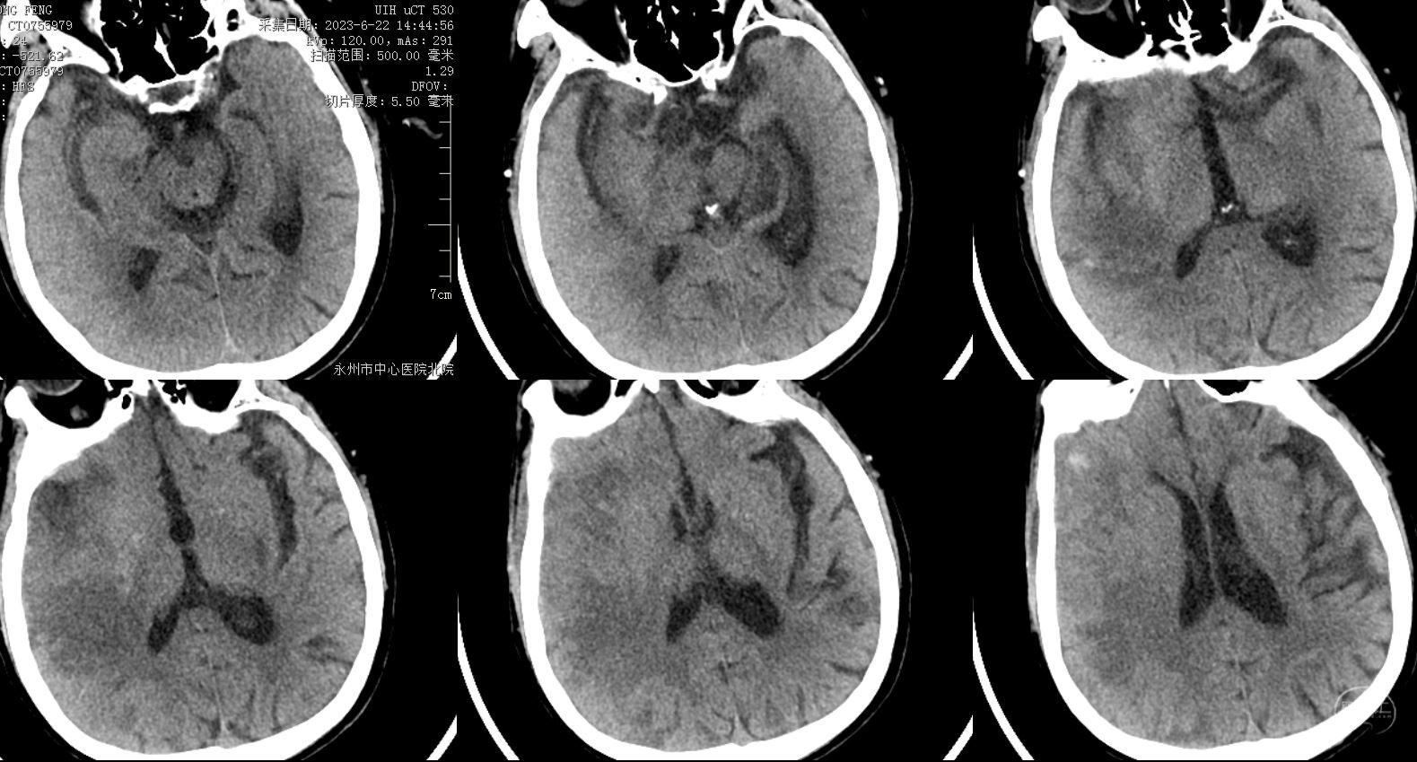
术后24小时CT,局部肿胀明显,仍可见低密度区域,但患者肢体功能改善明显。

患者术后左侧肢体功能明显改善。
总结:该患者发病时间较短,总体血栓负荷量不大,仅在大脑中动脉处取出一块红色血栓,故C1段主要考虑重度狭窄急性闭塞,置入支架就非常有必要。该患者还需要密切观察脑肿胀情况,以及其他部位病变的随访。
讨论:1.该患者是否在处理C1段狭窄是是否可果断置入支架,再处理颅内,以节省手术时间?
2.术后其他部位病变如何观察,如需要手术干预,什么时机、什么情况下治疗?