2023年07月18日发布 | 599阅读
神经介入-畸形
脑血管-动静脉畸形

左侧小脑半球AVM破裂出血介入栓塞后切除

王家雄

上海市第二人民医院

达人收藏

24岁女性患者,患者因“突发头晕、头痛4小时余,呕吐数次。”入院。查体:GCS评分为E4V5M6=15分,NIHSS评分0分,颈抵抗2横指。四肢肌张力正常,四肢肌力5级。生理反射存在,病理反射未引出。指鼻试验、轮替试验阴性,跟膝胫试验弱阳性。

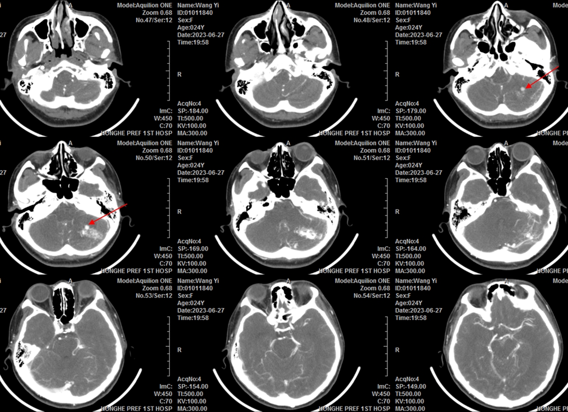
急诊CT提示左侧小脑半球出血。

已有左侧脑干受压表现(黄色箭头)

急诊CTA提示左侧小脑半球动静脉畸形,畸形血管团深面可见血流相关性动脉瘤或扩张的静脉球(红色箭头)

供血动脉(红色箭头)位于畸形血管团深面,引流静脉(绿色剪头)位于浅部

DSA 6根血管造影:左侧小脑半球AVM

前循环DSA见右侧PCA参与供血。

后循环DSA见左侧PICA、AICA、SCA主要供血。

AVM大小约4.7cm*4.1cm*2.0cm

Spetzlet-martin scale 2分,提示适合手术切除。AVM embocure socre 6分,大于5分介入栓塞完全闭塞率只有20%,而并发症发生率高达30%。

治疗方案考虑

与患者家属沟通后最终选择“栓塞供血动脉后切除AVM并清除血肿”的方案。我院不具备复合手术条件,治疗过程如下:

1、栓塞了5根供血动脉,包括左侧SCA的3根分支及PICA的2根分支。栓塞后AVM血流减少,主要残留PCA及AICA供血。

栓塞方法:marathon导管超选至nidus后微导管减影确认位置,再回撤至nidus外注胶栓塞供血动脉,尽量减少nidus内胶的弥散,同时栓塞部位尽量靠近nidus

栓塞后AVM血流量减少,流速降低,盗血明显改善

2、完成介入栓塞后麻醉未复苏,直接转送开颅手术间,取右侧卧位,三钉头架固定头位,切口及骨窗范围如图所示。

开颅后脑表面不能看到AVM位置,根据DSA判断引流静脉位nidus上界,向窦汇方向引流(红色剪头)。故切开脑皮质切开顺序为AVM内、下、外边界,深部下界可参考血肿位置,最后切开上界。

术中遇可疑血管,区分动静脉困难时先临时阻断观察,病灶无膨胀、出血无增多再电凝剪断。引流静脉保留至最后离断。

术后CT

术后2周患者无神经功能障碍,跟膝胫试验恢复正常。

DSA显示AVM无显影,治愈出院。

讨论:

目前对脑动静脉畸形的治疗方法主要有:显微手术切除、血管内栓塞、立体定向放射外科治疗(SRS),常两种或三种方式配合应用。

手术切除适合非功能区AVM,与其他性质的病变相比,突出风险是术中大出血,造成大出血的主要原因包括过早损伤引流静脉和误入畸形血管团。术中分辨引流静脉与供血动脉困难时应临时阻断观察。

介入栓塞有时以治愈性栓塞为目的,有时以栓塞供血动脉减少切除术中出血为目的。

          以治愈性栓塞为目的时常采用动脉入路、静脉入路栓塞、高压锅技术等,尽量将胶弥散至nidus内。对于病灶较大、多根动脉供血或病灶弥散的患者难于实现治愈性栓塞,需要多次治疗或配合其他治疗方法。

        以栓塞供血动脉减少切除术中出血为目的时,栓塞的目标血管是术中难于暴露的供血动脉,要减少胶在nidus内的弥散,避免引流静脉误栓,同时尽量靠近nidus进行栓塞。理想的栓塞效果是减少术中出血、不显著增加AVM实性占位从而增加切除难度,同时术中可参考胶的位置确定病灶边界。

放射治疗疗效具有延迟性,通常需2-3年AVM才能闭塞,在此期间仍有出血的风险。适合用于功能区较小AVM或作为手术、介入的补充治疗方法。

介入和开颅手术配合使用时最好能在复合手术室进行,DSA除进行供血动脉栓塞外还可辅助术中病灶定位并实施评估手术效果。

该患者为年轻女性,脑组织较饱满,AVM 位于后颅凹,代偿空间狭小,出血量已接近手术指征,且有脑干受压征象。AVM体积较大,多根血管参与供血,介入难于实现治愈性栓塞,且术后可能因栓塞梗死后的水肿、周围脑组织灌注压过高等出现严重脑水肿,需手术减压。单纯手术切除则因供血动脉均位于深面,尤其是AICA及SCA的分支难于在术中暴露,且深部有血流相关性动脉瘤或扩张静脉球,术中易发生凶险性出血。故采用介入栓塞供血动脉后开颅切除的方案更加合理。

该例患者不足之处是PICA栓塞位置距nidus较远,造成过多正常供血受损,且止血效果欠佳。AICA因超选困难未进行栓塞,但术中出血可控。

术者简介

王家雄:云南省滇南中心医院(红河州第一人民医院)神经外科副主任医师。中组部 “西部之光”访问学者,师从顾宇翔教授。大理大学硕士生导师。云南省卒中学会神经重症分会第一届委员会常务委员。擅长脑外伤、脑出血、脑肿瘤的外科治疗,尤其擅长脑血管病的外科治疗,掌握脑血管病的开放手术技术和介入技术。以第一或通讯作者发表论文9篇,其中SCI 2篇。参与获云南省科技奖三等奖一项、云南省卫生科技成果奖三等奖一项。获2023年云南省神经重症病例比赛一等奖、2018年云南省神经外科医师手术技能大赛优胜奖。

刘倩绫:云南省滇南中心医院(红河州第一人民医院)神经外科主任医师。云南省医师协会介入医师分会委员,云南省医师协会神经介入专业委员会委员。擅长脑血管病的诊治。优质完成大量颅内动脉瘤介入栓塞术、颅内及颈部血管狭窄介入治疗、颅内动静脉漏栓塞术等血管内治疗及颅脑损伤、高血压脑出血等神经外科常见病的手术治疗。同时对神经重症患者的抢救、治疗有丰富的经验。以第一作者发表论文8篇。

陈晓鹏:云南省滇南中心医院(红河州第一人民医院)神经外科副主任医师。擅长脑出血,颅内肿瘤的诊治。优质完成大量重型颅脑损伤、高血压脑出血脑肿瘤等神经外科常见病的手术治疗。同时对神经急危重症患者的抢救、治疗有丰富的经验。以第一作者发表论文8篇。

最新评论
发表你的评论
发表你的评论