
▶小径输送
直径≤3mm的支架可经其017微导管输送系统释放,轻松达到小血管病变
▶贴壁随形
Thermal Blue热处理技术加持,提升径向支撑力,随血管形状贴壁
▶闭合头端
一体化编制闭合头端,减少血管壁损伤,降低术后并发症,保证支架头端从输送系统中顺利打开
▶更全规格,2.0-6.5mm直径,10-55mm长度
给术者提供更多选择
华东首秀 | 强易达(Choydar)血流导向密网支架治疗颈内动脉C6段动脉瘤
患者:男,55岁。
主诉:体检发现颅内动脉瘤一年余。
既往史:否认高血压,糖尿病病史。
入院查体:神志清,言语流利,双侧瞳孔等大等圆,对光反射灵敏,四肢肌力肌张力正常。
CTA:右侧颈内动脉C6段动脉瘤。

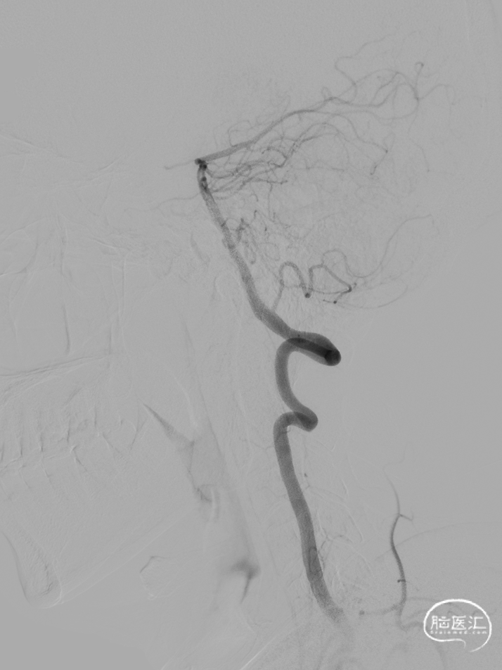
DSA:DSA提示右侧颈内动脉C6段可见多发动脉瘤。


其他血管造影未见明显异常。





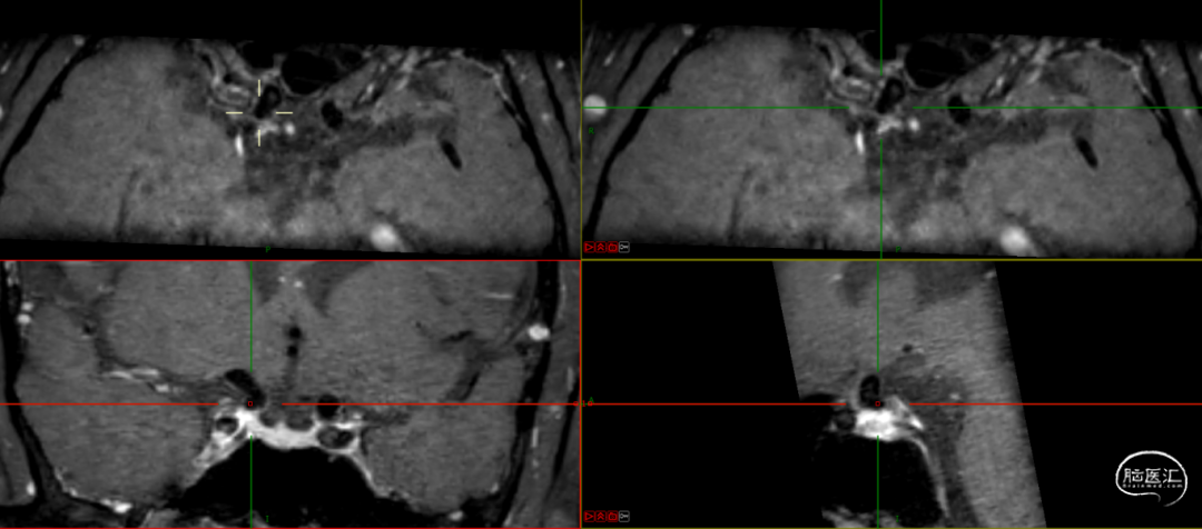
HRMR:

TEG:

术前诊断:右侧颈内动脉C6段多发动脉瘤。
治疗方案:血流导向装置植入术。
载瘤动脉远端血管直径:4.0mm
载瘤动脉近端血管直径:4.9mm、4.5mm(两个角度)

导管鞘组:6F×90cm
远端通路导管:6F×115cm
微导丝:Synchro-14
密网支架:强易达Choydar血流导向装置 FD475-20
微导管:畅医达accessway
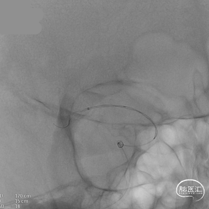
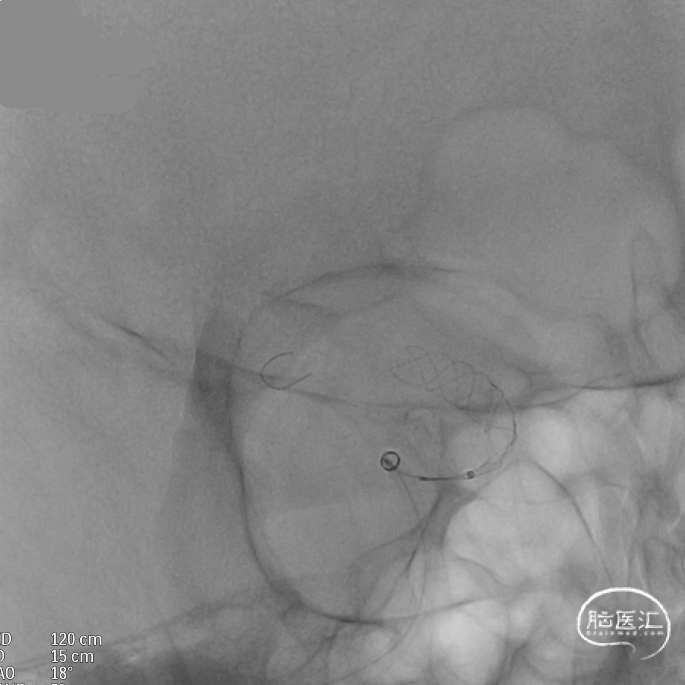
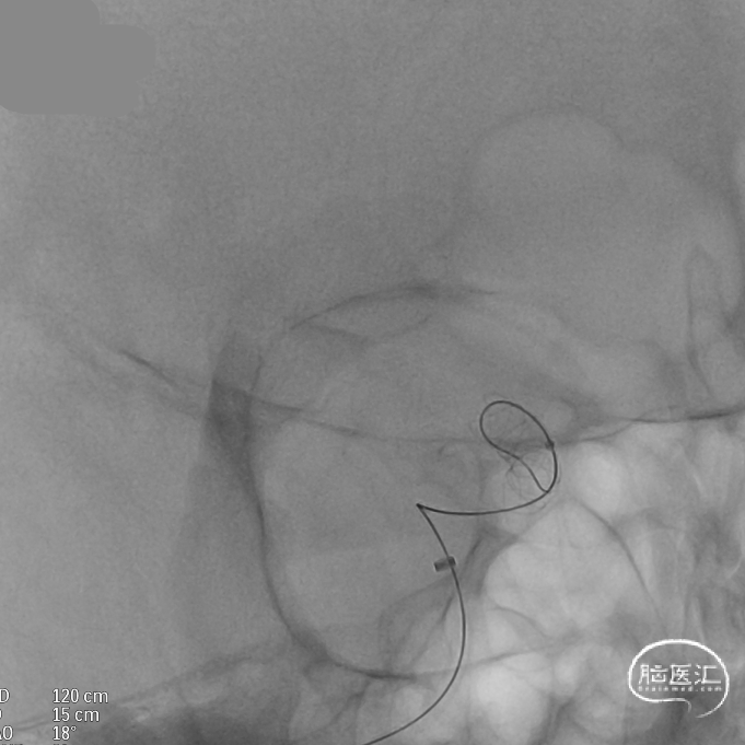
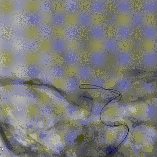
微导管到位:Synchro微导丝引领支架微导管通过病变血管进入大脑中动脉M1段远端。


支架到位,远端打开(正侧位):4.75-20mm支架在大脑中动脉M1段打开,回撤至C6段远端锚定。支架释放过程中,轻柔推送支架系统,可见支架导管沿血管壁大弯侧走行,支架打开良好。


支架中段打开:


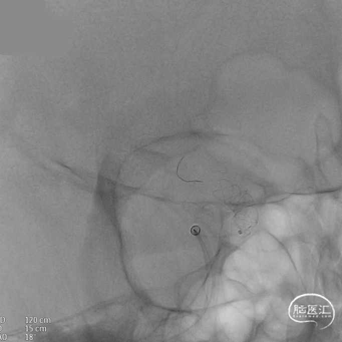
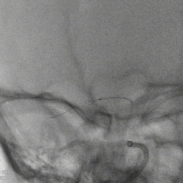
输送导丝及微导管回撤:释放至支架末端,减张系统,回撤支架导管,释放支架。沿支架推送杆,调节系统张力,将支架导管通过支架到达C7段。


支架内使用成襻微导丝进行按摩,使支架充分贴壁。




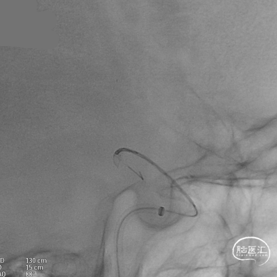
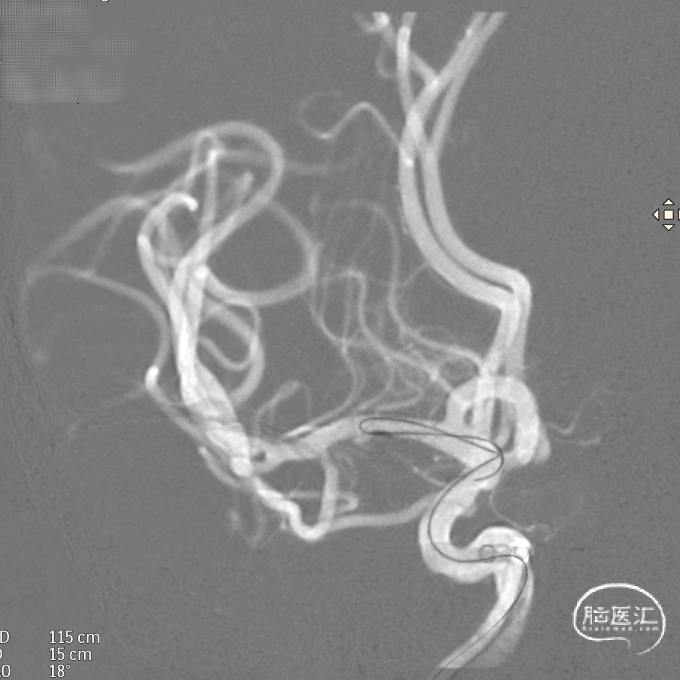
术后造影:支架覆盖两枚动脉瘤瘤颈,贴壁良好,瘤体内可见造影剂滞留。


术后支架显影:


强易达(Choydar)血流导向密网支架治疗右侧MCA-M1夹层动脉瘤
患者:男,51岁。
主诉:体检发现颅内动脉瘤一周。
入院查体:无神经系统阳性体征。
既往病史:2023年8月7日行基底动脉球囊扩张成形术。
DSA:DSA提示右侧大脑中动脉M1段动脉瘤,左侧大脑前动脉A1段发育不良。

其他血管造影未见明显异常。

HRMR:


术前诊断:动脉瘤位于M1主干,考虑夹层动脉瘤可能大。
载瘤动脉远端血管直径:2.4mm
载瘤动脉近端血管直径:2.5mm
动脉瘤尺寸:(瘤颈口宽度2.0mm/瘤体高度1.86mm/瘤囊宽度1.85mm)



手术方案:血流导向装置植入术。
长鞘:6F×90cm
远端通路导管:6F×115cm
微导丝:Synchro-14
密网支架:强易达Choydar血流导向装置 FD250-15
微导管:畅医达accessway 17系统
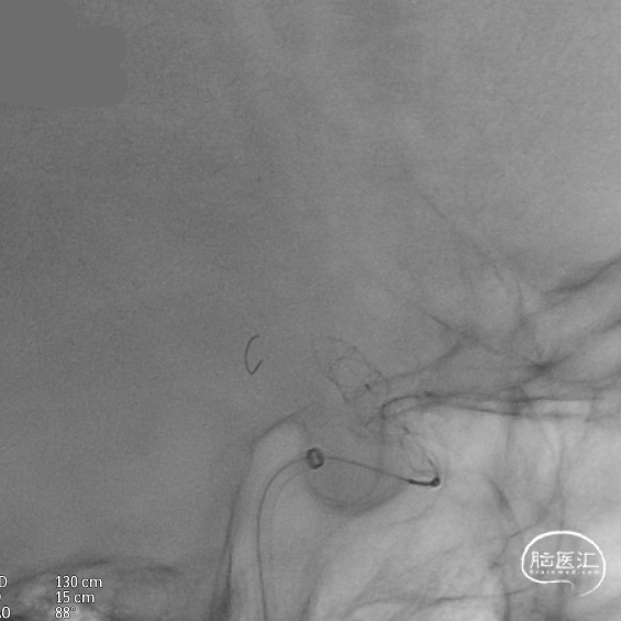
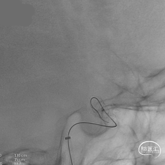
微导管到位:Synchro微导丝引领支架微导管通过病变血管进入大脑中动脉M2段。


支架到位,原位释放,前段打开。


造影确认支架远端打开充分,贴壁良好,继续推送支架。



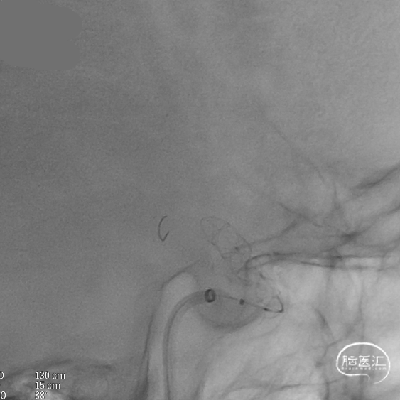
支架全部释放,调整张力,微导管通过支架,回收输送导丝。


支架内使用成襻微导丝进行按摩,使支架充分贴壁。





术后造影:支架充分覆盖动脉瘤瘤颈,贴壁良好,瘤体内可见造影剂滞留。



术后支架显影:定位精准,未覆盖颞前动脉及大脑前动脉。


术后小结
强易达Choydar血流导向装置支架显影清晰,推送柔顺。
在弯道内支架轻松打开,不易扭结。
改良工艺提升镍钛支架的径向支撑力,贴壁良好。
术者简介
万杰清
上海交通大学医学院附属仁济医院
主任医师、医学博士、教授、博士生导师
上海交通大学医学院附属仁济医院脑血管病中心主任、神经外科副主任
中国医师协会神经介入专业委员会常务委员
中国卒中协会神经介入委员会常务委员
中国医药教育协会脑卒中血运重建专委会副主任委员
上海医学会脑卒中专科分会副主任委员
上海卒中学会第二届理事会理事
丁圣豪
上海交通大学医学院附属仁济医院
副主任医师、外科学博士
上海交通大学医学院附属仁济医院神经外科脑血管病中心
上海市医学会脑卒中分会委员出血性规范化治疗学组组长
上海市医学会神经外科分会介入学组组员
上海市社会医疗机构协会神经外科分会副秘书长
第一、第二、第三届全国神经介入医师手术大赛评委
负责国家卫健委课题一项,市级申康课题一项
发表论文10余篇,其中SCI 10篇
擅长脑、脊髓血管疾病的血管内诊断及治疗
上海交通大学医学院附属仁济医院
脑血管病中心介绍
上海交通大学医学院附属仁济医院脑血管病中心(简称中心)于2021年5月正式成立,是仁济医院在深化医疗体制改革,落实医学科技发展“十四五”规划的重要举措。中心是由从事脑血管病工作的神经内外科医生共同组建,打破传统学科界限,坚持“以健康为中心,以疾病为先导”的创新诊疗模式。中心主任万杰清教授从事脑血管病临床和基础研究30余年,在脑血管病的临床诊治及基础研究、治疗等方面积累了丰富的经验。中心常规开展急性脑梗死溶栓取栓、脑及颈部动脉狭窄血管成形术、颅内动脉瘤栓塞术、颅内畸形血管栓塞术、颅内动脉瘤血流导向装置植入术、瘤内扰流装置植入术、颅内大动脉慢性闭塞开通术、脑膜中动脉栓塞术等新型微创介入手术,以及血管搭桥等显微手术。每年完成脑血管造影4000余台,脑血管介入治疗2000台。中心为国家卫健委首批神经介入培训基地之一,常年面向全国范围招收神经介入手术进修学员(包括神经内外科和介入科医生)。


扫描左侧二维码
进入畅医达品牌专区

声明:脑医汇旗下神外资讯、神介资讯、脑医咨询、Ai Brain 所发表内容之知识产权为脑医汇及主办方、原作者等相关权利人所有。







