
患者女性,60岁。
主诉:右侧肢体无力12小时。
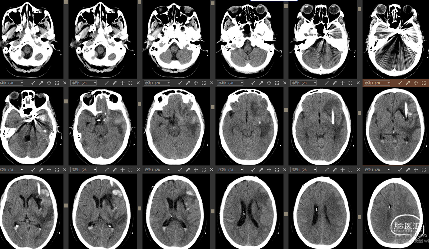
现病史:12小时前无明显诱因突发出现右侧肢体无力,伴言语不能,伴呕吐胃内容物3次,无人事不省,无肢体抽搐,无发热等。就诊当地医院,急查头颅CT示:“颅内出血”,予对症处理后转诊我院。我院急诊查头颅CTA示:“左侧基底节区及左侧额颞叶血肿伴大脑镰下疝、颞叶钩回疝及海马旁回疝可能,左侧颈内动脉C4段所见,考虑多发动脉瘤伴血管畸形,建议DSA检查”。
既往史:无特殊。
查体: T:36.7℃,P:89次/分,R:17次/分,BP:132/71mmHg。神志昏睡,眼球无突出,头部听诊无杂音,双侧瞳孔等大等圆,直径2mm,对光反射灵敏。右侧肌力0级,左侧肌力5级,肌张力正常。右侧病理征阳性,左侧病理征阴性。颈部无抵抗,克氏征、布氏征阴性。
评分:GCS评分:10分(E4V2M4)。
术前检查
影像资料:CT、CTA


初步诊断
1.左侧基底节区及左侧额颞叶血肿 2.左侧颈内动脉C4段多发动脉瘤 3.左侧额颞叶血管动静脉畸形
初步治疗方案
左侧额颞顶开颅动静脉畸形切除术+血肿清除术(备去骨瓣减压术)。
术前检查
DSA,“Ⅰ型主动脉弓”


R-CCA




L-VA





牛型主动脉弓
L-CCA




L-ECA
L-ICA




术前诊断
修正诊断:
1. 左侧基底节区及左侧额颞叶血肿
2. 左侧颈内动脉C4段动脉瘤破裂致颈内动脉海绵窦瘘
3. 左侧额颞叶血管动静脉畸形?
术前检查


L-MCA

L-An
术前诊断
最终诊断:
1. 左侧基底节区及左侧额颞叶血肿
2. 左侧颈内C4段动脉瘤破裂致颈内动脉海绵窦瘘(Barrow A型)
精确诊断:左侧颈内C4段动脉瘤破裂至大脑中浅静脉致左侧基底节区及左侧额颞叶静脉性梗死并出血转化。

治疗策略
颈内动脉海绵窦诊治中国专家共识

最终治疗方案:
· 一期:左侧颈内动脉C4段动脉瘤弹簧圈栓塞术(双微导管技术)
· 二期:左侧基底节区血肿穿刺引流术(备开颅血肿清除术+去骨瓣减压术)
术中操作






L-ICA
术后情况
术后检查





颈内动脉海绵窦瘘( CCF)的典型临床表现为搏动性突眼、球结膜充血、血管性杂音、耳鸣是CCF最常见的临床症状。颈内动脉及其脑膜支穿过海绵窦,一旦这些动脉破裂,动脉血便直接流入静脉窦内,使窦内压升高,逆流入眼上静脉,回流受限,表现出搏动性突眼、眼肌麻痹、球结膜充血以及与动脉搏动一致的血管性杂音等症状。海绵窦段动脉瘤破裂也是导致CCF的其中原因之一,但是其导致出血转化比较少见。本病例的难点在于诊断,通过大管+微导管造影才最终确诊。而最终的诊断和初步诊断差别悬殊。如果按初步诊断和治疗方案,可能造成不良后果,而单栓+穿刺的配合使得病人取得良好预后。因此要重视脑血管病责任病灶的诊断,不可一叶障目而不识神秀岱宗。

谢冰森
主治医师

福建医科大学附属第一医院
国家区域医疗中心、复旦大学附属华山医院福建医院、福建医科大学附属第一医院滨海院区神经外科主治医师;
从事脑、脊髓血管疾病的临床(介入和开颅手术)和科研工作,参与多项课题及多中心临床研究,以第一作者或通讯作者身份在Neurosurgery、World Neurosurgery等杂志发表SCI论文6篇,影响因子>20分;
2015年毕业于福建医科大学七年制临床医学,师从康德智教授;
2022年赴上海华山医院学习血管搭桥技术,师从徐斌教授;
2021年获得“神外有声”第二届脑脊液管理病例大赛全国第一名;
2021年荣获“医生请上台”第一届神经外科医生演说家大会“别具医格”奖(全国第二名);
2022年荣获首届中国神经介入医师手术大赛全国第三名。

郑树法
副主任医师

福建医科大学附属第一医院
医学博士,副主任医师,硕士生导师;国家区域医疗中心复旦大学附属华山医院福建医院、福建医科大学附属第一医院滨海院区主诊医师;
中国医药教育协会神经外科装备发展促进分会常务委员;
中国研究型医院学会脑血管病学专业委员会青年委员;
中国老年医学学会脑血管病分会委员;
卒中学会脑血管外科分会委员;
中国抗癌协会脑胶质瘤专委会青年委员;
中国医师协会脑胶质瘤专业委员会青年委员;
中国医师协会脑胶质瘤专委会化疗与免疫治疗专委会委员;
中国CBNS师资委员会委员;
脑医汇-神介资讯「Neuro-Intervention」编委;
福建省医学会神经外科学分会脑血管病学组成员;
福建省脑卒中质控中心专家组成员;
主要研究方向为脑血管病的诊疗和脑肿瘤的生物治疗。擅长脑血管病,脑肿瘤,颅脑损伤,癫痫,面肌痉挛,三叉神经痛的诊疗。精通脑出血、脑动脉瘤、脑血管畸形、烟雾病、脑/脊髓动静脉瘘、脑静脉窦血栓(静脉性梗死)、静脉窦狭窄、脑梗死、急性颅内外大动脉梗塞或栓塞、颈动脉狭窄,颅内血管狭窄或闭塞等脑血管病的诊疗。2019年开始开展脑动脉瘤血流导向装置(密网支架)植入术治疗脑内复杂动脉瘤。目前为福建省能独立开展血流导向装置植入术治疗脑动脉瘤的术者和Pipeline密网支架植入术导师之一。首次提出MT-TDSA技术可用来治疗脑静脉窦血栓。

声明:脑医汇旗下神外资讯、神介资讯、脑医咨询、Ai Brain 所发表内容之知识产权为脑医汇及主办方、原作者等相关权利人所有。
投稿邮箱:NAOYIHUI@163.com
未经许可,禁止进行转载、摘编、复制、裁切、录制等。经许可授权使用,亦须注明来源。欢迎转发、分享。
投稿/会议发布,请联系400-888-2526转3。