一、前言
二、病例1 病情逐步进展加重
三、病例2 弥漫脑水肿合并恶性颅高压
大部分脑静脉窦血栓经抗凝等保守治疗后预后良好。然而,还是有部分患者,因抗凝等保守治疗效果不理想,或起病急剧合并严重脑实质损害病变等情况,需要更为激进干预措施,包括外科手术和血管内介入再通治疗。
文献中已有不少关于脑静脉窦血栓介入治疗的案例报道,显示效果还不错;但近期一项对照研究结果显示,介入治疗并不优于标准药物治疗。
然而,现实是复杂的,如脑静脉窦血栓这种疾病,发病率很低,病理机制复杂,治疗方法多样,开展大规模的临床随机对照研究几乎是不可能完成的任务。
如果基于临床随机对照研究的循证教条原则,很多情况下就会束手无策,徘徊不前,可能丧失良机。况且随机对照研究的循证结果也并不代表绝对真理,任何方法学均有其时代性和应用的边界极限,不可能放之四海而皆准。
所谓的循证医学还有另外一层意思,那就是基于临床实践的专家经验也是具有重要价值的,尤其是当实践中遭遇到那些少见、疑难或危重疾病时,这些经文献报道的案例诊治经验会发挥极大的指导价值,也是重要的循证结果。
脑静脉窦血栓也是一少见疾病,有时病情会异常凶险,可能导致严重后果,就需要更为积极的临床干预,如血管内介入治疗。笔者早年临床工作中时不时会遇到这些抗凝保守治疗效果差的脑静脉窦血栓患者,有时结局非常不好,让人非常遗憾和沮丧。这就促使笔者去查找关于脑静脉窦血栓血管内介入治疗的文献报道,以此为基础,结合本机构具体条件,逐步开展和完善了脑静脉窦血栓介入治疗的技术,取得了较好效果。下文就简要讲一下笔者的实践探索之路。
一开始是查找脑静脉窦血栓血管内介入治疗的文献,发现了不少的案例报道,绝大多数是英文世界发表的。表明发达国家早就有介入医生在这方面进行了探索,并取得了不少成功的经验,主要是在操作技巧和器械运用方面。通过研读文献,了解到脑静脉窦血栓血管内介入治疗在技术上并不难,有多种介入方法可用于治疗此疾病,包括(但不限于):微导管接触溶栓、球囊碎栓、支架取栓、导管抽吸血栓或支架植入等。同时,笔者当时已经开展了缺血性脑血管病择期介入治疗和急诊脑卒中取栓治疗,有一定的技术储备,大大增强了开展此项新业务的信心。
下一步工作就是识别出合适的脑静脉窦血栓病例进行介入治疗,但这方面严重缺乏经验,开始时,只有根据实际临床切实需求摸索前行。下文将通过几个病例展示,来说明一下是什么样的临床需求促使我们运用血管内介入的方法治疗脑静脉窦血栓。
病例1是位青年脑静脉窦血栓患者,影像学提示上矢状窦中部血栓,伴有左侧颞顶叶出血性梗死,组织肿胀明显。此患者就诊时右侧肢体肌力4级,入院后予以低分子肝素抗凝等治疗,但病情渐进加重,右侧肢体肌力于数日内逐渐下降至0级,并伴有频发的部分性癫痫,且药物难以控制。在这种积极临床药物治疗下病情仍然进展恶化的情况下,为了阻止病情进一步恶化,建议尝试行血管内介入治疗,患者及其家属态度积极,签署了介入手术知情同意书。术中只是单用支架取栓两次,虽然只是取出了一些碎小的红色血栓,但上矢状窦中部血栓位置的管腔明显改善,并且局部汇入的皮质静脉血液引流明显增快。令人欣慰的是,这个患者术后未再有部分性癫痫发作,且右侧肢体肌力逐渐恢复,出院时是独立行走离开病房的。

术前CT平扫:左侧颞顶叶出血性梗死,水肿占位效应明显。


术前CTV:上矢状窦中部血栓充盈缺损(红箭)。

术前增强CT冠状面重建:可见上矢状窦内血栓充盈缺损(红箭)。


术中DSA:上矢状窦中部血栓充盈缺损(红箭),局部皮质静脉引流不畅。

术中微导管通过上矢状窦血栓造影:血栓位置管腔狭窄,血流通过不畅。

于上矢状窦血栓位置置入取栓支架(S AB 6*30mm)取栓两次,取出多块红色血栓。


取栓术后造影:原血栓部位管腔较前明显改善,局部皮质静脉引流也改善。


术后第二日CTV:上矢状窦原血栓位置管腔显影良好。

术后两周复查CT平扫:左侧颞顶叶病灶明显缩小,水肿占位效应减轻。

术后约五周复查MRI:左侧颞顶叶病灶已吸收软化。

术后约五周复查TOF-MRV:上矢状窦管腔通畅。
病例1小结
选择介入治疗的原因:急性脑静脉窦血栓合并脑实质损害,抗凝治疗情况下,症状快速进展加重。
介入治疗效果:阻止了症状进展加重,还促进了功能障碍的快速恢复,预后良好。
病例2是一位青年男性,因头痛急诊就诊,CTV诊断为广泛脑静脉窦血栓,累及上矢状窦和双侧横窦-乙状窦,入院后评估发现合并SLE。虽然予以了积极的药物保守治疗,如抗凝、脱水降颅压等,但患者头痛症状仍然严重,双侧视乳头严重水肿,视物模糊,且双侧半球脑组织弥漫肿胀,伴脑室和脑沟受压变小。因病情严重,保守治疗效果不佳,遂建议尝试血管内介入治疗,患者及其家属同意,并签署知情同意书。术中运用中间管在右侧横窦-乙状窦和上矢状窦抽吸出不少血栓,同时还进行了球囊扩张碎栓和支架取栓。术后第二日复查CTV显示右侧横窦-乙状窦显影差,上矢状窦中后部仍然闭塞。术后患者头痛症状有所缓解,脑实质弥漫水肿也有改善,但视乳头水肿无变化,并双侧外展神经麻痹,腰穿脑脊液压力500mmH2O。鉴于患者术后仍然严重颅高压,以及弥漫脑水肿无明显缓解,经讨论后建议再次血管介入治疗,患者及其家属同意,并签署知情同意书。再次介入手术时,上矢状窦中后部的亚急性血栓质地粘滞,对抽吸、球囊碎栓和接触溶栓处理不起效果,最后予以植入支架,恢复管腔。第二次手术后,患者症状改善明显,头痛消失,视乳头水肿逐渐减退,弥漫性脑水肿也逐渐消退,外展神经麻痹恢复,复查腰穿脑脊液压力显著降低,出院时NIHSS-1。术后长期抗凝治疗,多次影像学复查提示主要脑静脉窦和支架内管腔通畅。

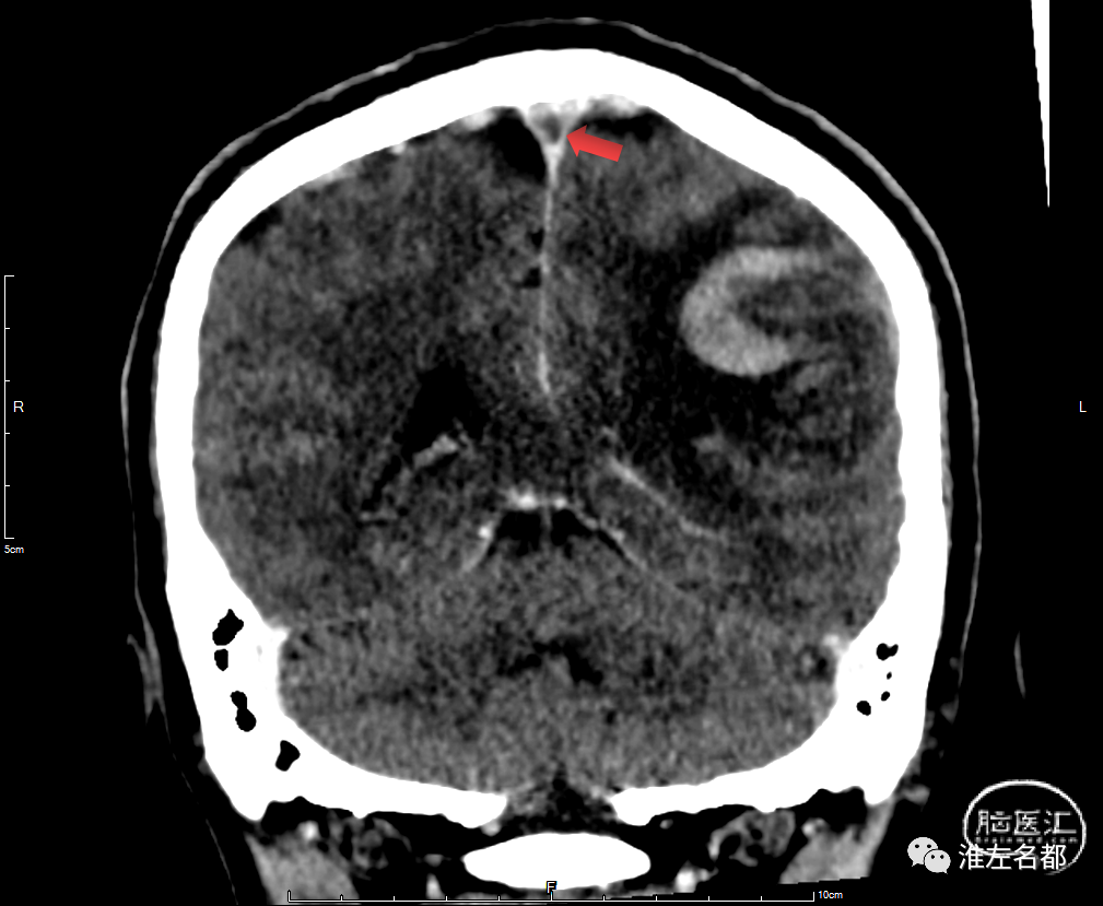
术前CT平扫:双侧半球弥漫肿胀,脑沟脑池受压显示不清;双侧侧脑室显影狭小。



右侧横窦-乙状窦和上矢状窦中后部显影不清,左侧横窦-乙状窦部分显影;双侧脑表面皮质静脉显影迂曲增粗,提示压力明显增高可能;直窦内明显血栓充盈缺损。


经右侧颈动脉造影






术后经右侧颈动脉造影


术后经左侧颈动脉造影
介入治疗术后DSA:上矢状窦引流恢复,右侧横窦显影改善。

术后第二日复查CT平扫:脑水肿较前改善,双侧侧裂池有显影,双侧侧脑室显影较术前增大。



术后第二日复查CTV:左侧横窦-乙状窦显影明显改善,上矢状窦中后部和右侧横窦-乙状窦仍然显影不清,但脑表面皮质静脉充盈迂曲较术前改善。


第二次介入治疗术前DSA(经左侧颈动脉造影):右侧乙状窦显影较前改善,上矢状窦中后部闭塞。

术中造影:上矢状窦中后部仍见较多血栓。


第二次介入治疗术后DSA:上矢状窦和右侧横窦-乙状窦显影通畅,引流良好。

第二次介入治疗术后复查CT:脑水肿进一步改善,脑沟脑池显影清晰。



第二次介入治疗术后复查CTV:主要脑静脉窦显影良好,未见明显狭窄或闭塞。
病例2小结
选择介入治疗的原因:患者弥漫脑静脉窦血栓形成,症状严重,伴恶性颅高压和弥漫脑肿胀,抗凝等保守治疗效果不佳,并有进一步进展加重的风险。
介入治疗效果:恶性颅高压得到缓解,逆转了弥漫脑水肿,症状明显改善,预后良好。
![]()
点击或扫描上方二维码
查看更多“介入”内容





